DDX41解决g -四联体维持红系基因组完整性和防止cgas介导的细胞死亡

IF 15.7 1区 综合性期刊 Q1 MULTIDISCIPLINARY SCIENCES
Honghao Bi, Kehan Ren, Pan Wang, Ermin Li, Xu Han, Wen Wang, Jing Yang, Inci Aydemir, Kara Tao, Renee Ma, Lucy A. Godley, Yan Liu, Vipul Shukla, Elizabeth T. Bartom, Yuefeng Tang, Lionel Blanc, Madina Sukhanova, Peng Ji
{"title":"DDX41解决g -四联体维持红系基因组完整性和防止cgas介导的细胞死亡","authors":"Honghao Bi, Kehan Ren, Pan Wang, Ermin Li, Xu Han, Wen Wang, Jing Yang, Inci Aydemir, Kara Tao, Renee Ma, Lucy A. Godley, Yan Liu, Vipul Shukla, Elizabeth T. Bartom, Yuefeng Tang, Lionel Blanc, Madina Sukhanova, Peng Ji","doi":"10.1038/s41467-025-62307-7","DOIUrl":null,"url":null,"abstract":"<p>Deleterious germline <i>DDX41</i> variants constitute the most common inherited predisposition disorder linked to myeloid neoplasms (MNs), yet their role in MNs remains unclear. Here we show that DDX41 is essential for erythropoiesis but dispensable for other hematopoietic lineages. Ddx41 knockout in early erythropoiesis is embryonically lethal, while knockout in late-stage terminal erythropoiesis allows mice to survive with normal blood counts. DDX41 deficiency induces a significant upregulation of G-quadruplexes (G4), which co-distribute with DDX41 on the erythroid genome. DDX41 directly binds to and resolves G4, which is significantly compromised in MN-associated <i>DDX41</i> mutants. G4 accumulation induces erythroid genome instability, ribosomal defects, and p53 upregulation. However, p53 deficiency does not rescue the embryonic death of Ddx41 hematopoietic-specific knockout mice. In parallel, genome instability also activates the cGas-Sting pathway, impairing survival, as cGas deficiency rescues the lethality of hematopoietic-specific Ddx41 knockout mice. This is supported by data from a DDX41-mutated MN patient and human iPSC-derived bone marrow organoids. Our study establishes DDX41 as a G4 resolvase, essential for erythroid genome stability and suppressing the cGAS-STING pathway.</p>","PeriodicalId":19066,"journal":{"name":"Nature Communications","volume":"52 1","pages":""},"PeriodicalIF":15.7000,"publicationDate":"2025-08-05","publicationTypes":"Journal Article","fieldsOfStudy":null,"isOpenAccess":false,"openAccessPdf":"","citationCount":"0","resultStr":"{\"title\":\"DDX41 resolves G-quadruplexes to maintain erythroid genome integrity and prevent cGAS-mediated cell death\",\"authors\":\"Honghao Bi, Kehan Ren, Pan Wang, Ermin Li, Xu Han, Wen Wang, Jing Yang, Inci Aydemir, Kara Tao, Renee Ma, Lucy A. Godley, Yan Liu, Vipul Shukla, Elizabeth T. Bartom, Yuefeng Tang, Lionel Blanc, Madina Sukhanova, Peng Ji\",\"doi\":\"10.1038/s41467-025-62307-7\",\"DOIUrl\":null,\"url\":null,\"abstract\":\"<p>Deleterious germline <i>DDX41</i> variants constitute the most common inherited predisposition disorder linked to myeloid neoplasms (MNs), yet their role in MNs remains unclear. Here we show that DDX41 is essential for erythropoiesis but dispensable for other hematopoietic lineages. Ddx41 knockout in early erythropoiesis is embryonically lethal, while knockout in late-stage terminal erythropoiesis allows mice to survive with normal blood counts. DDX41 deficiency induces a significant upregulation of G-quadruplexes (G4), which co-distribute with DDX41 on the erythroid genome. DDX41 directly binds to and resolves G4, which is significantly compromised in MN-associated <i>DDX41</i> mutants. G4 accumulation induces erythroid genome instability, ribosomal defects, and p53 upregulation. However, p53 deficiency does not rescue the embryonic death of Ddx41 hematopoietic-specific knockout mice. In parallel, genome instability also activates the cGas-Sting pathway, impairing survival, as cGas deficiency rescues the lethality of hematopoietic-specific Ddx41 knockout mice. This is supported by data from a DDX41-mutated MN patient and human iPSC-derived bone marrow organoids. Our study establishes DDX41 as a G4 resolvase, essential for erythroid genome stability and suppressing the cGAS-STING pathway.</p>\",\"PeriodicalId\":19066,\"journal\":{\"name\":\"Nature Communications\",\"volume\":\"52 1\",\"pages\":\"\"},\"PeriodicalIF\":15.7000,\"publicationDate\":\"2025-08-05\",\"publicationTypes\":\"Journal Article\",\"fieldsOfStudy\":null,\"isOpenAccess\":false,\"openAccessPdf\":\"\",\"citationCount\":\"0\",\"resultStr\":null,\"platform\":\"Semanticscholar\",\"paperid\":null,\"PeriodicalName\":\"Nature Communications\",\"FirstCategoryId\":\"103\",\"ListUrlMain\":\"https://doi.org/10.1038/s41467-025-62307-7\",\"RegionNum\":1,\"RegionCategory\":\"综合性期刊\",\"ArticlePicture\":[],\"TitleCN\":null,\"AbstractTextCN\":null,\"PMCID\":null,\"EPubDate\":\"\",\"PubModel\":\"\",\"JCR\":\"Q1\",\"JCRName\":\"MULTIDISCIPLINARY SCIENCES\",\"Score\":null,\"Total\":0}","platform":"Semanticscholar","paperid":null,"PeriodicalName":"Nature Communications","FirstCategoryId":"103","ListUrlMain":"https://doi.org/10.1038/s41467-025-62307-7","RegionNum":1,"RegionCategory":"综合性期刊","ArticlePicture":[],"TitleCN":null,"AbstractTextCN":null,"PMCID":null,"EPubDate":"","PubModel":"","JCR":"Q1","JCRName":"MULTIDISCIPLINARY SCIENCES","Score":null,"Total":0}
引用次数: 0

摘要

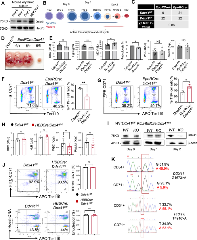
有害的种系DDX41变异构成了与髓系肿瘤(MNs)相关的最常见的遗传易感性疾病,但它们在MNs中的作用尚不清楚。在这里,我们发现DDX41对红细胞生成是必需的,但对其他造血谱系是必不可少的。在红细胞生成早期敲除Ddx41是胚胎致命的,而在红细胞生成晚期敲除Ddx41可以使小鼠在正常血细胞计数下存活。DDX41缺失导致g -四重体(G4)显著上调,G4与DDX41共同分布在红系基因组上。DDX41直接结合并分解G4,而G4在mn相关的DDX41突变体中显著受损。G4积累诱导红系基因组不稳定、核糖体缺陷和p53上调。然而,p53缺失并不能挽救Ddx41造血特异性敲除小鼠的胚胎死亡。与此同时,基因组不稳定也激活了cGas- sting通路,损害了存活,因为cGas缺乏挽救了造血特异性Ddx41敲除小鼠的致命性。来自ddx41突变的MN患者和人类ipsc衍生的骨髓类器官的数据支持了这一点。我们的研究证实了DDX41是一个G4分解酶,对红系基因组稳定和抑制cGAS-STING通路至关重要。
本文章由计算机程序翻译,如有差异,请以英文原文为准。

DDX41 resolves G-quadruplexes to maintain erythroid genome integrity and prevent cGAS-mediated cell death

DDX41 resolves G-quadruplexes to maintain erythroid genome integrity and prevent cGAS-mediated cell death

Deleterious germline DDX41 variants constitute the most common inherited predisposition disorder linked to myeloid neoplasms (MNs), yet their role in MNs remains unclear. Here we show that DDX41 is essential for erythropoiesis but dispensable for other hematopoietic lineages. Ddx41 knockout in early erythropoiesis is embryonically lethal, while knockout in late-stage terminal erythropoiesis allows mice to survive with normal blood counts. DDX41 deficiency induces a significant upregulation of G-quadruplexes (G4), which co-distribute with DDX41 on the erythroid genome. DDX41 directly binds to and resolves G4, which is significantly compromised in MN-associated DDX41 mutants. G4 accumulation induces erythroid genome instability, ribosomal defects, and p53 upregulation. However, p53 deficiency does not rescue the embryonic death of Ddx41 hematopoietic-specific knockout mice. In parallel, genome instability also activates the cGas-Sting pathway, impairing survival, as cGas deficiency rescues the lethality of hematopoietic-specific Ddx41 knockout mice. This is supported by data from a DDX41-mutated MN patient and human iPSC-derived bone marrow organoids. Our study establishes DDX41 as a G4 resolvase, essential for erythroid genome stability and suppressing the cGAS-STING pathway.

求助全文
通过发布文献求助,成功后即可免费获取论文全文。 去求助
来源期刊
Nature Communications
Nature Communications Biological Science Disciplines-
CiteScore
24.90
自引率
2.40%
发文量
6928
审稿时长
3.7 months
期刊介绍: Nature Communications, an open-access journal, publishes high-quality research spanning all areas of the natural sciences. Papers featured in the journal showcase significant advances relevant to specialists in each respective field. With a 2-year impact factor of 16.6 (2022) and a median time of 8 days from submission to the first editorial decision, Nature Communications is committed to rapid dissemination of research findings. As a multidisciplinary journal, it welcomes contributions from biological, health, physical, chemical, Earth, social, mathematical, applied, and engineering sciences, aiming to highlight important breakthroughs within each domain.
×
引用
GB/T 7714-2015
复制
MLA
复制
APA
复制
导出至
BibTeX EndNote RefMan NoteFirst NoteExpress
×
提示
您的信息不完整,为了账户安全,请先补充。
现在去补充
×
提示
您因"违规操作"
具体请查看互助需知
我知道了
×
提示
确定
请完成安全验证×
copy
已复制链接
快去分享给好友吧!
我知道了
右上角分享
点击右上角分享
0
联系我们:info@booksci.cn Book学术提供免费学术资源搜索服务,方便国内外学者检索中英文文献。致力于提供最便捷和优质的服务体验。 Copyright © 2023 布克学术 All rights reserved.
京ICP备2023020795号-1
ghs 京公网安备 11010802042870号
Book学术文献互助
Book学术文献互助群
群 号:604180095
Book学术官方微信