慢性静脉溃疡患者经动脉微栓塞治疗微动静脉瘘后的严重并发症1例报告。

IF 2.3
Frontiers in radiology Pub Date : 2025-07-18 eCollection Date: 2025-01-01 DOI:10.3389/fradi.2025.1613940
Wankarn Boonlorm, Panat Nisityotakul
{"title":"慢性静脉溃疡患者经动脉微栓塞治疗微动静脉瘘后的严重并发症1例报告。","authors":"Wankarn Boonlorm, Panat Nisityotakul","doi":"10.3389/fradi.2025.1613940","DOIUrl":null,"url":null,"abstract":"<p><p>Transarterial microembolization (TAME) has gained recognition as a minimally invasive treatment for chronic musculoskeletal pain, demonstrating significant efficacy with a favorable safety profile ( 1, 2). However, complications remain underreported. This case report describes the first documented severe adverse event in a patient with a chronic venous ulcer undergoing TAME for a micro arteriovenous fistula (AVF). The patient developed significant complications, including extensive leg swelling, skin changes, and cellulitis requiring prolonged inpatient care. These findings highlight the importance of patient selection and embolic agent considerations to mitigate potential risks associated with TAME.</p>","PeriodicalId":73101,"journal":{"name":"Frontiers in radiology","volume":"5 ","pages":"1613940"},"PeriodicalIF":2.3000,"publicationDate":"2025-07-18","publicationTypes":"Journal Article","fieldsOfStudy":null,"isOpenAccess":false,"openAccessPdf":"https://www.ncbi.nlm.nih.gov/pmc/articles/PMC12313676/pdf/","citationCount":"0","resultStr":"{\"title\":\"Severe complications following transarterial microembolization for a micro arterio-venous fistula in a patient with chronic venous ulcer: a case report.\",\"authors\":\"Wankarn Boonlorm, Panat Nisityotakul\",\"doi\":\"10.3389/fradi.2025.1613940\",\"DOIUrl\":null,\"url\":null,\"abstract\":\"<p><p>Transarterial microembolization (TAME) has gained recognition as a minimally invasive treatment for chronic musculoskeletal pain, demonstrating significant efficacy with a favorable safety profile ( 1, 2). However, complications remain underreported. This case report describes the first documented severe adverse event in a patient with a chronic venous ulcer undergoing TAME for a micro arteriovenous fistula (AVF). The patient developed significant complications, including extensive leg swelling, skin changes, and cellulitis requiring prolonged inpatient care. These findings highlight the importance of patient selection and embolic agent considerations to mitigate potential risks associated with TAME.</p>\",\"PeriodicalId\":73101,\"journal\":{\"name\":\"Frontiers in radiology\",\"volume\":\"5 \",\"pages\":\"1613940\"},\"PeriodicalIF\":2.3000,\"publicationDate\":\"2025-07-18\",\"publicationTypes\":\"Journal Article\",\"fieldsOfStudy\":null,\"isOpenAccess\":false,\"openAccessPdf\":\"https://www.ncbi.nlm.nih.gov/pmc/articles/PMC12313676/pdf/\",\"citationCount\":\"0\",\"resultStr\":null,\"platform\":\"Semanticscholar\",\"paperid\":null,\"PeriodicalName\":\"Frontiers in radiology\",\"FirstCategoryId\":\"1085\",\"ListUrlMain\":\"https://doi.org/10.3389/fradi.2025.1613940\",\"RegionNum\":0,\"RegionCategory\":null,\"ArticlePicture\":[],\"TitleCN\":null,\"AbstractTextCN\":null,\"PMCID\":null,\"EPubDate\":\"2025/1/1 0:00:00\",\"PubModel\":\"eCollection\",\"JCR\":\"\",\"JCRName\":\"\",\"Score\":null,\"Total\":0}","platform":"Semanticscholar","paperid":null,"PeriodicalName":"Frontiers in radiology","FirstCategoryId":"1085","ListUrlMain":"https://doi.org/10.3389/fradi.2025.1613940","RegionNum":0,"RegionCategory":null,"ArticlePicture":[],"TitleCN":null,"AbstractTextCN":null,"PMCID":null,"EPubDate":"2025/1/1 0:00:00","PubModel":"eCollection","JCR":"","JCRName":"","Score":null,"Total":0}
引用次数: 0

摘要

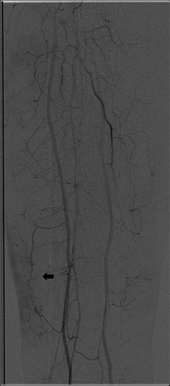
经动脉微栓塞(TAME)已被公认为慢性肌肉骨骼疼痛的微创治疗方法,具有显著的疗效和良好的安全性(1,2)。然而,并发症的报道仍然不足。本病例报告描述了第一个记录严重不良事件的患者慢性静脉溃疡接受TAME微动静脉瘘(AVF)。患者出现了明显的并发症,包括广泛的腿部肿胀、皮肤变化和蜂窝织炎,需要长期住院治疗。这些发现强调了患者选择和栓塞剂考虑的重要性,以减轻与TAME相关的潜在风险。
本文章由计算机程序翻译,如有差异,请以英文原文为准。

Severe complications following transarterial microembolization for a micro arterio-venous fistula in a patient with chronic venous ulcer: a case report.

Severe complications following transarterial microembolization for a micro arterio-venous fistula in a patient with chronic venous ulcer: a case report.

Severe complications following transarterial microembolization for a micro arterio-venous fistula in a patient with chronic venous ulcer: a case report.

Severe complications following transarterial microembolization for a micro arterio-venous fistula in a patient with chronic venous ulcer: a case report.

Transarterial microembolization (TAME) has gained recognition as a minimally invasive treatment for chronic musculoskeletal pain, demonstrating significant efficacy with a favorable safety profile ( 1, 2). However, complications remain underreported. This case report describes the first documented severe adverse event in a patient with a chronic venous ulcer undergoing TAME for a micro arteriovenous fistula (AVF). The patient developed significant complications, including extensive leg swelling, skin changes, and cellulitis requiring prolonged inpatient care. These findings highlight the importance of patient selection and embolic agent considerations to mitigate potential risks associated with TAME.

求助全文
通过发布文献求助,成功后即可免费获取论文全文。 去求助
来源期刊
CiteScore
1.20
自引率
0.00%
发文量
0
×
引用
GB/T 7714-2015
复制
MLA
复制
APA
复制
导出至
BibTeX EndNote RefMan NoteFirst NoteExpress
×
提示
您的信息不完整,为了账户安全,请先补充。
现在去补充
×
提示
您因"违规操作"
具体请查看互助需知
我知道了
×
提示
确定
请完成安全验证×
copy
已复制链接
快去分享给好友吧!
我知道了
右上角分享
点击右上角分享
0
联系我们:info@booksci.cn Book学术提供免费学术资源搜索服务,方便国内外学者检索中英文文献。致力于提供最便捷和优质的服务体验。 Copyright © 2023 布克学术 All rights reserved.
京ICP备2023020795号-1
ghs 京公网安备 11010802042870号
Book学术文献互助
Book学术文献互助群
群 号:604180095
Book学术官方微信