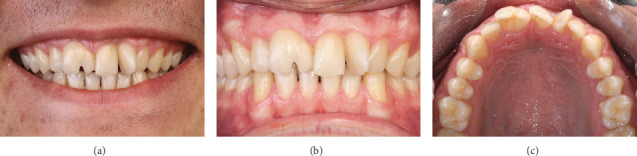
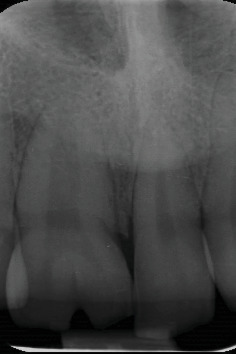
采用保守的跨学科方法治疗上颌分生门牙和余生门牙的美学管理。

IF 0.9 Q4 DENTISTRY, ORAL SURGERY & MEDICINE
Case Reports in Dentistry Pub Date : 2025-07-26 eCollection Date: 2025-01-01 DOI:10.1155/crid/9091745
Mandana Karimi, Elham Ahmadi, Sepideh Arab, Pooya Raeesi
{"title":"采用保守的跨学科方法治疗上颌分生门牙和余生门牙的美学管理。","authors":"Mandana Karimi, Elham Ahmadi, Sepideh Arab, Pooya Raeesi","doi":"10.1155/crid/9091745","DOIUrl":null,"url":null,"abstract":"<p><p>This clinical report describes an 18-year-old male patient that had geminated and supernumerary maxillary incisor teeth causing anterior dental crowding and esthetic problems. In this case, a conservative interdisciplinary approach that included digital analysis, supernumerary tooth extraction, orthodontic space management, and ceramic veneers was done. With these conservative multidisciplinary treatments and digital analysis, the vitality of the geminated tooth was maintained, and the esthetic, function, and patient self-esteem were improved significantly.</p>","PeriodicalId":46841,"journal":{"name":"Case Reports in Dentistry","volume":"2025 ","pages":"9091745"},"PeriodicalIF":0.9000,"publicationDate":"2025-07-26","publicationTypes":"Journal Article","fieldsOfStudy":null,"isOpenAccess":false,"openAccessPdf":"https://www.ncbi.nlm.nih.gov/pmc/articles/PMC12317815/pdf/","citationCount":"0","resultStr":"{\"title\":\"Esthetic Management in Geminated and Supernumerary Maxillary Incisor Teeth With a Conservative Interdisciplinary Approach.\",\"authors\":\"Mandana Karimi, Elham Ahmadi, Sepideh Arab, Pooya Raeesi\",\"doi\":\"10.1155/crid/9091745\",\"DOIUrl\":null,\"url\":null,\"abstract\":\"<p><p>This clinical report describes an 18-year-old male patient that had geminated and supernumerary maxillary incisor teeth causing anterior dental crowding and esthetic problems. In this case, a conservative interdisciplinary approach that included digital analysis, supernumerary tooth extraction, orthodontic space management, and ceramic veneers was done. With these conservative multidisciplinary treatments and digital analysis, the vitality of the geminated tooth was maintained, and the esthetic, function, and patient self-esteem were improved significantly.</p>\",\"PeriodicalId\":46841,\"journal\":{\"name\":\"Case Reports in Dentistry\",\"volume\":\"2025 \",\"pages\":\"9091745\"},\"PeriodicalIF\":0.9000,\"publicationDate\":\"2025-07-26\",\"publicationTypes\":\"Journal Article\",\"fieldsOfStudy\":null,\"isOpenAccess\":false,\"openAccessPdf\":\"https://www.ncbi.nlm.nih.gov/pmc/articles/PMC12317815/pdf/\",\"citationCount\":\"0\",\"resultStr\":null,\"platform\":\"Semanticscholar\",\"paperid\":null,\"PeriodicalName\":\"Case Reports in Dentistry\",\"FirstCategoryId\":\"1085\",\"ListUrlMain\":\"https://doi.org/10.1155/crid/9091745\",\"RegionNum\":0,\"RegionCategory\":null,\"ArticlePicture\":[],\"TitleCN\":null,\"AbstractTextCN\":null,\"PMCID\":null,\"EPubDate\":\"2025/1/1 0:00:00\",\"PubModel\":\"eCollection\",\"JCR\":\"Q4\",\"JCRName\":\"DENTISTRY, ORAL SURGERY & MEDICINE\",\"Score\":null,\"Total\":0}","platform":"Semanticscholar","paperid":null,"PeriodicalName":"Case Reports in Dentistry","FirstCategoryId":"1085","ListUrlMain":"https://doi.org/10.1155/crid/9091745","RegionNum":0,"RegionCategory":null,"ArticlePicture":[],"TitleCN":null,"AbstractTextCN":null,"PMCID":null,"EPubDate":"2025/1/1 0:00:00","PubModel":"eCollection","JCR":"Q4","JCRName":"DENTISTRY, ORAL SURGERY & MEDICINE","Score":null,"Total":0}
引用次数: 0

摘要

这个临床报告描述了一个18岁的男性患者,有新生和多余的上颌门牙导致前牙拥挤和审美问题。在这种情况下,保守的跨学科方法包括数字分析,多牙拔牙,正畸空间管理和陶瓷贴面。通过这些保守的多学科治疗和数字分析,保持了生牙的活力,美观,功能和患者自尊得到了显着改善。
本文章由计算机程序翻译,如有差异,请以英文原文为准。

Esthetic Management in Geminated and Supernumerary Maxillary Incisor Teeth With a Conservative Interdisciplinary Approach.

Esthetic Management in Geminated and Supernumerary Maxillary Incisor Teeth With a Conservative Interdisciplinary Approach.

Esthetic Management in Geminated and Supernumerary Maxillary Incisor Teeth With a Conservative Interdisciplinary Approach.

Esthetic Management in Geminated and Supernumerary Maxillary Incisor Teeth With a Conservative Interdisciplinary Approach.

This clinical report describes an 18-year-old male patient that had geminated and supernumerary maxillary incisor teeth causing anterior dental crowding and esthetic problems. In this case, a conservative interdisciplinary approach that included digital analysis, supernumerary tooth extraction, orthodontic space management, and ceramic veneers was done. With these conservative multidisciplinary treatments and digital analysis, the vitality of the geminated tooth was maintained, and the esthetic, function, and patient self-esteem were improved significantly.

求助全文
通过发布文献求助,成功后即可免费获取论文全文。 去求助
来源期刊
Case Reports in Dentistry
Case Reports in Dentistry DENTISTRY, ORAL SURGERY & MEDICINE-
CiteScore
1.40
自引率
12.50%
发文量
107
审稿时长
14 weeks
期刊介绍: Case Reports in Dentistry is a peer-reviewed, Open Access journal that publishes case reports and case series in all areas of dentistry, including periodontal diseases, dental implants, oral pathology, as well as oral and maxillofacial surgery.
×
引用
GB/T 7714-2015
复制
MLA
复制
APA
复制
导出至
BibTeX EndNote RefMan NoteFirst NoteExpress
×
提示
您的信息不完整,为了账户安全,请先补充。
现在去补充
×
提示
您因"违规操作"
具体请查看互助需知
我知道了
×
提示
确定
请完成安全验证×
copy
已复制链接
快去分享给好友吧!
我知道了
右上角分享
点击右上角分享
0
联系我们:info@booksci.cn Book学术提供免费学术资源搜索服务,方便国内外学者检索中英文文献。致力于提供最便捷和优质的服务体验。 Copyright © 2023 布克学术 All rights reserved.
京ICP备2023020795号-1
ghs 京公网安备 11010802042870号
Book学术文献互助
Book学术文献互助群
群 号:604180095
Book学术官方微信