心内血管球瘤阻塞右心室流出道1例罕见报告。

IF 0.9 Q3 MEDICINE, GENERAL & INTERNAL
Medical Bulletin of Sisli Etfal Hospital Pub Date : 2025-02-07 eCollection Date: 2025-01-01 DOI:10.14744/SEMB.2024.84115
Bilge Ecemis Yilmaz, Osman Fehmi Beyazal, Korhan Erkanli
{"title":"心内血管球瘤阻塞右心室流出道1例罕见报告。","authors":"Bilge Ecemis Yilmaz, Osman Fehmi Beyazal, Korhan Erkanli","doi":"10.14744/SEMB.2024.84115","DOIUrl":null,"url":null,"abstract":"<p><p>Intracardiac glomus tumors are very rare neoplasms arising from mesenchymal cells. Solitary glomus tumors are usually benign and mostly seen in the skin of limbs. Still, exceptional cases of noncutaneous visceral glomus tumors have been reported at sites other than the limbs. We present a case of glomangioma that was surgically removed from the right ventricle and briefly pointed to the importance of differential diagnosis of cardiac tumors. A 57-year-old woman was referred to our hospital for dyspnea and recurrent arrhythmia attacks. We performed a three-dimensional transthoracic echocardiogram, and contrast chest CT, which revealed a mass in the right ventricle. She was successfully treated with cardiac surgery. After pathological studies, the tumor was finally diagnosed as benign intracardiac glomangioma.</p>","PeriodicalId":42218,"journal":{"name":"Medical Bulletin of Sisli Etfal Hospital","volume":"59 2","pages":"240-243"},"PeriodicalIF":0.9000,"publicationDate":"2025-02-07","publicationTypes":"Journal Article","fieldsOfStudy":null,"isOpenAccess":false,"openAccessPdf":"https://www.ncbi.nlm.nih.gov/pmc/articles/PMC12314448/pdf/","citationCount":"0","resultStr":"{\"title\":\"Intracardiac Glomus Tumor Obstructing the Right Ventricular Outflow Tract: A Rare Case Report.\",\"authors\":\"Bilge Ecemis Yilmaz, Osman Fehmi Beyazal, Korhan Erkanli\",\"doi\":\"10.14744/SEMB.2024.84115\",\"DOIUrl\":null,\"url\":null,\"abstract\":\"<p><p>Intracardiac glomus tumors are very rare neoplasms arising from mesenchymal cells. Solitary glomus tumors are usually benign and mostly seen in the skin of limbs. Still, exceptional cases of noncutaneous visceral glomus tumors have been reported at sites other than the limbs. We present a case of glomangioma that was surgically removed from the right ventricle and briefly pointed to the importance of differential diagnosis of cardiac tumors. A 57-year-old woman was referred to our hospital for dyspnea and recurrent arrhythmia attacks. We performed a three-dimensional transthoracic echocardiogram, and contrast chest CT, which revealed a mass in the right ventricle. She was successfully treated with cardiac surgery. After pathological studies, the tumor was finally diagnosed as benign intracardiac glomangioma.</p>\",\"PeriodicalId\":42218,\"journal\":{\"name\":\"Medical Bulletin of Sisli Etfal Hospital\",\"volume\":\"59 2\",\"pages\":\"240-243\"},\"PeriodicalIF\":0.9000,\"publicationDate\":\"2025-02-07\",\"publicationTypes\":\"Journal Article\",\"fieldsOfStudy\":null,\"isOpenAccess\":false,\"openAccessPdf\":\"https://www.ncbi.nlm.nih.gov/pmc/articles/PMC12314448/pdf/\",\"citationCount\":\"0\",\"resultStr\":null,\"platform\":\"Semanticscholar\",\"paperid\":null,\"PeriodicalName\":\"Medical Bulletin of Sisli Etfal Hospital\",\"FirstCategoryId\":\"1085\",\"ListUrlMain\":\"https://doi.org/10.14744/SEMB.2024.84115\",\"RegionNum\":0,\"RegionCategory\":null,\"ArticlePicture\":[],\"TitleCN\":null,\"AbstractTextCN\":null,\"PMCID\":null,\"EPubDate\":\"2025/1/1 0:00:00\",\"PubModel\":\"eCollection\",\"JCR\":\"Q3\",\"JCRName\":\"MEDICINE, GENERAL & INTERNAL\",\"Score\":null,\"Total\":0}","platform":"Semanticscholar","paperid":null,"PeriodicalName":"Medical Bulletin of Sisli Etfal Hospital","FirstCategoryId":"1085","ListUrlMain":"https://doi.org/10.14744/SEMB.2024.84115","RegionNum":0,"RegionCategory":null,"ArticlePicture":[],"TitleCN":null,"AbstractTextCN":null,"PMCID":null,"EPubDate":"2025/1/1 0:00:00","PubModel":"eCollection","JCR":"Q3","JCRName":"MEDICINE, GENERAL & INTERNAL","Score":null,"Total":0}
引用次数: 0

摘要

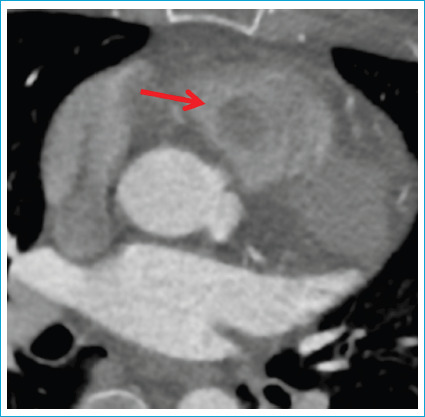
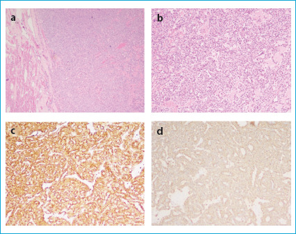
心内血管球瘤是由间充质细胞引起的罕见肿瘤。单发血管球瘤通常为良性,多见于四肢皮肤。尽管如此,非皮肤的内脏血管球瘤的例外情况已报道在其他部位,而不是四肢。我们报告一例右心室血管瘤手术切除的病例,并简要指出心脏肿瘤鉴别诊断的重要性。一位57岁的女性因呼吸困难和反复发作的心律失常而转诊至我院。我们进行了三维经胸超声心动图和胸部CT对比,发现右心室有肿块。她成功地接受了心脏手术。经病理检查,最终诊断为良性心内血管瘤。
本文章由计算机程序翻译,如有差异,请以英文原文为准。

Intracardiac Glomus Tumor Obstructing the Right Ventricular Outflow Tract: A Rare Case Report.

Intracardiac Glomus Tumor Obstructing the Right Ventricular Outflow Tract: A Rare Case Report.

Intracardiac Glomus Tumor Obstructing the Right Ventricular Outflow Tract: A Rare Case Report.

Intracardiac Glomus Tumor Obstructing the Right Ventricular Outflow Tract: A Rare Case Report.

Intracardiac glomus tumors are very rare neoplasms arising from mesenchymal cells. Solitary glomus tumors are usually benign and mostly seen in the skin of limbs. Still, exceptional cases of noncutaneous visceral glomus tumors have been reported at sites other than the limbs. We present a case of glomangioma that was surgically removed from the right ventricle and briefly pointed to the importance of differential diagnosis of cardiac tumors. A 57-year-old woman was referred to our hospital for dyspnea and recurrent arrhythmia attacks. We performed a three-dimensional transthoracic echocardiogram, and contrast chest CT, which revealed a mass in the right ventricle. She was successfully treated with cardiac surgery. After pathological studies, the tumor was finally diagnosed as benign intracardiac glomangioma.

求助全文
通过发布文献求助,成功后即可免费获取论文全文。 去求助
来源期刊
Medical Bulletin of Sisli Etfal Hospital
Medical Bulletin of Sisli Etfal Hospital MEDICINE, GENERAL & INTERNAL-
自引率
16.70%
发文量
41
×
引用
GB/T 7714-2015
复制
MLA
复制
APA
复制
导出至
BibTeX EndNote RefMan NoteFirst NoteExpress
×
提示
您的信息不完整,为了账户安全,请先补充。
现在去补充
×
提示
您因"违规操作"
具体请查看互助需知
我知道了
×
提示
确定
请完成安全验证×
copy
已复制链接
快去分享给好友吧!
我知道了
右上角分享
点击右上角分享
0
联系我们:info@booksci.cn Book学术提供免费学术资源搜索服务,方便国内外学者检索中英文文献。致力于提供最便捷和优质的服务体验。 Copyright © 2023 布克学术 All rights reserved.
京ICP备2023020795号-1
ghs 京公网安备 11010802042870号
Book学术文献互助
Book学术文献互助群
群 号:604180095
Book学术官方微信