新生儿吸入o -氯苄二烯丙二腈气体致食管声带烧伤1例。

IF 0.9 Q3 MEDICINE, GENERAL & INTERNAL
Medical Bulletin of Sisli Etfal Hospital Pub Date : 2025-02-07 eCollection Date: 2025-01-01 DOI:10.14744/SEMB.2024.41882
Yucel Pekal, Musa Turgut, Gulay Sonmez Demir, Ece Koyuncu, Osman Uzunlu, Ozmert M A Ozdemir
{"title":"新生儿吸入o -氯苄二烯丙二腈气体致食管声带烧伤1例。","authors":"Yucel Pekal, Musa Turgut, Gulay Sonmez Demir, Ece Koyuncu, Osman Uzunlu, Ozmert M A Ozdemir","doi":"10.14744/SEMB.2024.41882","DOIUrl":null,"url":null,"abstract":"<p><p>Among the agents used for self-defense, O-chlorobenzylidene malononitrile (CS) is the most commonly used substance. It has been suggested that CS use is characterized by rapid onset of action, short duration of action, and minimal side effects. When the clinical situations and case series resulting from exposure to CS were examined, we saw that no cases of exposure during the neonatal period were identified. A male baby born at 40 weeks, weighing 3260 grams, was brought to the emergency room on the 24<sup>th</sup> postnatal day with bruising and respiratory distress due to a stranger spraying CS into his mouth. There was a widespread hyperemic erosive lesion in the mouth, tongue exfoliation, and leg ecchymosis. Widespread edema and hyperemia were observed in the vocal cords, and the patient was intubated and followed up. An epithelial defect involving the corneal limbus and conjunctiva was detected in the upper and lower eyelid membranes. Endoscopy revealed a grade 2 burn in the esophagus, and normal pseudomembrane and gastric mucosa in some areas. It was observed that the lesions around the patient's mouth and tongue completely resolved. After discharge, the esophagus-stomach-duodenum radiograph showed no suspicion of obstruction. At the 3rd-month post-discharge check-up, his eye examination was normal, and his stridor and wheezing at rest continued. This case, in which we have shown that CS used for self-defense or riot suppression, seriously threatens the life of a newborn patient for the first time and may perhaps cause permanent morbidities during follow-up, suggests the need to restrict access to such substances.</p>","PeriodicalId":42218,"journal":{"name":"Medical Bulletin of Sisli Etfal Hospital","volume":"59 2","pages":"258-261"},"PeriodicalIF":0.9000,"publicationDate":"2025-02-07","publicationTypes":"Journal Article","fieldsOfStudy":null,"isOpenAccess":false,"openAccessPdf":"https://www.ncbi.nlm.nih.gov/pmc/articles/PMC12314454/pdf/","citationCount":"0","resultStr":"{\"title\":\"A Newborn Case of Esophagus and Vocal Cord Burn After CS (O-Chlorobenzylindene Malononitrile) Gas Inhalation.\",\"authors\":\"Yucel Pekal, Musa Turgut, Gulay Sonmez Demir, Ece Koyuncu, Osman Uzunlu, Ozmert M A Ozdemir\",\"doi\":\"10.14744/SEMB.2024.41882\",\"DOIUrl\":null,\"url\":null,\"abstract\":\"<p><p>Among the agents used for self-defense, O-chlorobenzylidene malononitrile (CS) is the most commonly used substance. It has been suggested that CS use is characterized by rapid onset of action, short duration of action, and minimal side effects. When the clinical situations and case series resulting from exposure to CS were examined, we saw that no cases of exposure during the neonatal period were identified. A male baby born at 40 weeks, weighing 3260 grams, was brought to the emergency room on the 24<sup>th</sup> postnatal day with bruising and respiratory distress due to a stranger spraying CS into his mouth. There was a widespread hyperemic erosive lesion in the mouth, tongue exfoliation, and leg ecchymosis. Widespread edema and hyperemia were observed in the vocal cords, and the patient was intubated and followed up. An epithelial defect involving the corneal limbus and conjunctiva was detected in the upper and lower eyelid membranes. Endoscopy revealed a grade 2 burn in the esophagus, and normal pseudomembrane and gastric mucosa in some areas. It was observed that the lesions around the patient's mouth and tongue completely resolved. After discharge, the esophagus-stomach-duodenum radiograph showed no suspicion of obstruction. At the 3rd-month post-discharge check-up, his eye examination was normal, and his stridor and wheezing at rest continued. This case, in which we have shown that CS used for self-defense or riot suppression, seriously threatens the life of a newborn patient for the first time and may perhaps cause permanent morbidities during follow-up, suggests the need to restrict access to such substances.</p>\",\"PeriodicalId\":42218,\"journal\":{\"name\":\"Medical Bulletin of Sisli Etfal Hospital\",\"volume\":\"59 2\",\"pages\":\"258-261\"},\"PeriodicalIF\":0.9000,\"publicationDate\":\"2025-02-07\",\"publicationTypes\":\"Journal Article\",\"fieldsOfStudy\":null,\"isOpenAccess\":false,\"openAccessPdf\":\"https://www.ncbi.nlm.nih.gov/pmc/articles/PMC12314454/pdf/\",\"citationCount\":\"0\",\"resultStr\":null,\"platform\":\"Semanticscholar\",\"paperid\":null,\"PeriodicalName\":\"Medical Bulletin of Sisli Etfal Hospital\",\"FirstCategoryId\":\"1085\",\"ListUrlMain\":\"https://doi.org/10.14744/SEMB.2024.41882\",\"RegionNum\":0,\"RegionCategory\":null,\"ArticlePicture\":[],\"TitleCN\":null,\"AbstractTextCN\":null,\"PMCID\":null,\"EPubDate\":\"2025/1/1 0:00:00\",\"PubModel\":\"eCollection\",\"JCR\":\"Q3\",\"JCRName\":\"MEDICINE, GENERAL & INTERNAL\",\"Score\":null,\"Total\":0}","platform":"Semanticscholar","paperid":null,"PeriodicalName":"Medical Bulletin of Sisli Etfal Hospital","FirstCategoryId":"1085","ListUrlMain":"https://doi.org/10.14744/SEMB.2024.41882","RegionNum":0,"RegionCategory":null,"ArticlePicture":[],"TitleCN":null,"AbstractTextCN":null,"PMCID":null,"EPubDate":"2025/1/1 0:00:00","PubModel":"eCollection","JCR":"Q3","JCRName":"MEDICINE, GENERAL & INTERNAL","Score":null,"Total":0}
引用次数: 0

摘要

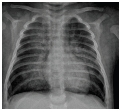
在用于自卫的药剂中,o -氯苯丙腈(CS)是最常用的物质。已有研究表明,使用CS的特点是起效快,作用时间短,副作用小。当检查暴露于CS的临床情况和病例系列时,我们发现在新生儿期没有发现暴露病例。一名40周出生的男婴,体重3260克,在出生后的第24天被送往急诊室,由于陌生人向他嘴里喷洒CS,他身上有瘀伤和呼吸窘迫。口腔有广泛的充血性糜烂病变,舌部有脱落,腿部有瘀斑。观察到声带广泛水肿和充血,患者插管并随访。在上、下睑膜上发现了累及角膜缘和结膜的上皮缺陷。内镜检查显示食管有2级烧伤,部分区域假膜和胃黏膜正常。观察到患者口腔和舌头周围的病变完全消失。出院后,食管-胃-十二指肠x线片未见梗阻。出院后第3个月复查视力检查正常,休息时喘鸣持续。在这个案例中,我们已经证明,CS用于自卫或镇压暴乱,严重威胁到新生儿的生命,并可能在随访期间造成永久性的疾病,这表明需要限制此类物质的使用。
本文章由计算机程序翻译,如有差异,请以英文原文为准。

A Newborn Case of Esophagus and Vocal Cord Burn After CS (O-Chlorobenzylindene Malononitrile) Gas Inhalation.

A Newborn Case of Esophagus and Vocal Cord Burn After CS (O-Chlorobenzylindene Malononitrile) Gas Inhalation.

A Newborn Case of Esophagus and Vocal Cord Burn After CS (O-Chlorobenzylindene Malononitrile) Gas Inhalation.

A Newborn Case of Esophagus and Vocal Cord Burn After CS (O-Chlorobenzylindene Malononitrile) Gas Inhalation.

Among the agents used for self-defense, O-chlorobenzylidene malononitrile (CS) is the most commonly used substance. It has been suggested that CS use is characterized by rapid onset of action, short duration of action, and minimal side effects. When the clinical situations and case series resulting from exposure to CS were examined, we saw that no cases of exposure during the neonatal period were identified. A male baby born at 40 weeks, weighing 3260 grams, was brought to the emergency room on the 24th postnatal day with bruising and respiratory distress due to a stranger spraying CS into his mouth. There was a widespread hyperemic erosive lesion in the mouth, tongue exfoliation, and leg ecchymosis. Widespread edema and hyperemia were observed in the vocal cords, and the patient was intubated and followed up. An epithelial defect involving the corneal limbus and conjunctiva was detected in the upper and lower eyelid membranes. Endoscopy revealed a grade 2 burn in the esophagus, and normal pseudomembrane and gastric mucosa in some areas. It was observed that the lesions around the patient's mouth and tongue completely resolved. After discharge, the esophagus-stomach-duodenum radiograph showed no suspicion of obstruction. At the 3rd-month post-discharge check-up, his eye examination was normal, and his stridor and wheezing at rest continued. This case, in which we have shown that CS used for self-defense or riot suppression, seriously threatens the life of a newborn patient for the first time and may perhaps cause permanent morbidities during follow-up, suggests the need to restrict access to such substances.

求助全文
通过发布文献求助,成功后即可免费获取论文全文。 去求助
来源期刊
Medical Bulletin of Sisli Etfal Hospital
Medical Bulletin of Sisli Etfal Hospital MEDICINE, GENERAL & INTERNAL-
自引率
16.70%
发文量
41
×
引用
GB/T 7714-2015
复制
MLA
复制
APA
复制
导出至
BibTeX EndNote RefMan NoteFirst NoteExpress
×
提示
您的信息不完整,为了账户安全,请先补充。
现在去补充
×
提示
您因"违规操作"
具体请查看互助需知
我知道了
×
提示
确定
请完成安全验证×
copy
已复制链接
快去分享给好友吧!
我知道了
右上角分享
点击右上角分享
0
联系我们:info@booksci.cn Book学术提供免费学术资源搜索服务,方便国内外学者检索中英文文献。致力于提供最便捷和优质的服务体验。 Copyright © 2023 布克学术 All rights reserved.
京ICP备2023020795号-1
ghs 京公网安备 11010802042870号
Book学术文献互助
Book学术文献互助群
群 号:604180095
Book学术官方微信