心外膜脂肪体积量化与冠状动脉钙化评分及冠状动脉CT血管造影狭窄程度的预后价值。

IF 0.9 Q3 MEDICINE, GENERAL & INTERNAL
Medical Bulletin of Sisli Etfal Hospital Pub Date : 2025-02-07 eCollection Date: 2025-01-01 DOI:10.14744/SEMB.2025.89896
Ahmet Mesrur Halefoglu, Ugur Yanc, Esra Belen
{"title":"心外膜脂肪体积量化与冠状动脉钙化评分及冠状动脉CT血管造影狭窄程度的预后价值。","authors":"Ahmet Mesrur Halefoglu, Ugur Yanc, Esra Belen","doi":"10.14744/SEMB.2025.89896","DOIUrl":null,"url":null,"abstract":"<p><strong>Objectives: </strong>Epicardial fatty tissue volume (EFV) is regarded as an important parameter in the evaluation of coronary artery disease (CAD). The aim of our study was to investigate the prognostic value of EFV measurements related to age, gender, coronary artery calcium score (CCS) and CAD severity through coronary computed tomography angiography (CCTA).</p><p><strong>Methods: </strong>We retrospectively evaluated a total of consecutive 688 patients who were either asymptomatic but had a positive family history or had typical or atypical symptoms suggesting the presence of CAD. They all underwent CCTA examination with multiplanar reformat (MPR), maximal intensity projection (MIP), and myocardial three-dimensional (3D) volume rendering (VRT) images were obtained. We calculated CCS, coronary artery plaque stenosis degrees, the number of main coronary arteries involved and the EFVs for each patient. Finally, the relationship between the EFVs and all other parameters was analyzed by performing the Pearson and Spearman correlation analysis.</p><p><strong>Results: </strong>We found a statistically significant difference between the genders of the patients where males presented higher EFVs than females (p=0.001, p<0.01). The correlation between the presence of CAD and the number of main vessels involved with EFVs was also statistically significantly higher in the analysis performed with the student t-test (p=0.001, p<0.01). There was a statistically significant but weak positive correlation between the ages of the patients (r=0.271, p=0.001, p<0.01), calculated total CCSs (r=0.149, p=0.001, p<0.01) and the degree of vessel stenosis determined based on coronary artery disease reporting and data system (CAD RADS) (r=0.347, p=0.001, p<0.01) and their EFV measurements.</p><p><strong>Conclusion: </strong>We assume that the quantification of EFV performed by the CCTA technique is a potential novel method and hence, can guide clinicians in predicting the presence and severity of CAD.</p>","PeriodicalId":42218,"journal":{"name":"Medical Bulletin of Sisli Etfal Hospital","volume":"59 2","pages":"218-225"},"PeriodicalIF":0.9000,"publicationDate":"2025-02-07","publicationTypes":"Journal Article","fieldsOfStudy":null,"isOpenAccess":false,"openAccessPdf":"https://www.ncbi.nlm.nih.gov/pmc/articles/PMC12314446/pdf/","citationCount":"0","resultStr":"{\"title\":\"Prognostic Value of Epicardial Fat Volume Quantification Related to Coronary Artery Calcium Score and Degree of Stenosis on Coronary CT Angiography.\",\"authors\":\"Ahmet Mesrur Halefoglu, Ugur Yanc, Esra Belen\",\"doi\":\"10.14744/SEMB.2025.89896\",\"DOIUrl\":null,\"url\":null,\"abstract\":\"<p><strong>Objectives: </strong>Epicardial fatty tissue volume (EFV) is regarded as an important parameter in the evaluation of coronary artery disease (CAD). The aim of our study was to investigate the prognostic value of EFV measurements related to age, gender, coronary artery calcium score (CCS) and CAD severity through coronary computed tomography angiography (CCTA).</p><p><strong>Methods: </strong>We retrospectively evaluated a total of consecutive 688 patients who were either asymptomatic but had a positive family history or had typical or atypical symptoms suggesting the presence of CAD. They all underwent CCTA examination with multiplanar reformat (MPR), maximal intensity projection (MIP), and myocardial three-dimensional (3D) volume rendering (VRT) images were obtained. We calculated CCS, coronary artery plaque stenosis degrees, the number of main coronary arteries involved and the EFVs for each patient. Finally, the relationship between the EFVs and all other parameters was analyzed by performing the Pearson and Spearman correlation analysis.</p><p><strong>Results: </strong>We found a statistically significant difference between the genders of the patients where males presented higher EFVs than females (p=0.001, p<0.01). The correlation between the presence of CAD and the number of main vessels involved with EFVs was also statistically significantly higher in the analysis performed with the student t-test (p=0.001, p<0.01). There was a statistically significant but weak positive correlation between the ages of the patients (r=0.271, p=0.001, p<0.01), calculated total CCSs (r=0.149, p=0.001, p<0.01) and the degree of vessel stenosis determined based on coronary artery disease reporting and data system (CAD RADS) (r=0.347, p=0.001, p<0.01) and their EFV measurements.</p><p><strong>Conclusion: </strong>We assume that the quantification of EFV performed by the CCTA technique is a potential novel method and hence, can guide clinicians in predicting the presence and severity of CAD.</p>\",\"PeriodicalId\":42218,\"journal\":{\"name\":\"Medical Bulletin of Sisli Etfal Hospital\",\"volume\":\"59 2\",\"pages\":\"218-225\"},\"PeriodicalIF\":0.9000,\"publicationDate\":\"2025-02-07\",\"publicationTypes\":\"Journal Article\",\"fieldsOfStudy\":null,\"isOpenAccess\":false,\"openAccessPdf\":\"https://www.ncbi.nlm.nih.gov/pmc/articles/PMC12314446/pdf/\",\"citationCount\":\"0\",\"resultStr\":null,\"platform\":\"Semanticscholar\",\"paperid\":null,\"PeriodicalName\":\"Medical Bulletin of Sisli Etfal Hospital\",\"FirstCategoryId\":\"1085\",\"ListUrlMain\":\"https://doi.org/10.14744/SEMB.2025.89896\",\"RegionNum\":0,\"RegionCategory\":null,\"ArticlePicture\":[],\"TitleCN\":null,\"AbstractTextCN\":null,\"PMCID\":null,\"EPubDate\":\"2025/1/1 0:00:00\",\"PubModel\":\"eCollection\",\"JCR\":\"Q3\",\"JCRName\":\"MEDICINE, GENERAL & INTERNAL\",\"Score\":null,\"Total\":0}","platform":"Semanticscholar","paperid":null,"PeriodicalName":"Medical Bulletin of Sisli Etfal Hospital","FirstCategoryId":"1085","ListUrlMain":"https://doi.org/10.14744/SEMB.2025.89896","RegionNum":0,"RegionCategory":null,"ArticlePicture":[],"TitleCN":null,"AbstractTextCN":null,"PMCID":null,"EPubDate":"2025/1/1 0:00:00","PubModel":"eCollection","JCR":"Q3","JCRName":"MEDICINE, GENERAL & INTERNAL","Score":null,"Total":0}
引用次数: 0

摘要

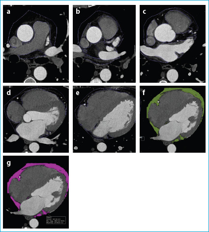
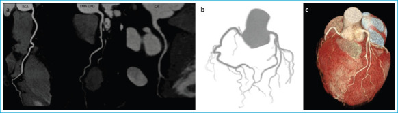
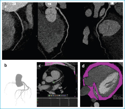
目的:心外膜脂肪组织体积(EFV)是评价冠状动脉疾病(CAD)的重要指标。我们的研究目的是通过冠状动脉计算机断层血管造影(CCTA)研究EFV测量与年龄、性别、冠状动脉钙评分(CCS)和CAD严重程度相关的预后价值。方法:我们回顾性评估了连续688例无症状但有阳性家族史或有提示CAD存在的典型或非典型症状的患者。所有患者均行CCTA检查,获得多平面重构(MPR)、最大强度投影(MIP)和心肌三维(3D)体绘制(VRT)图像。我们计算每个患者的CCS、冠状动脉斑块狭窄程度、累及的主要冠状动脉数量和efv。最后,通过Pearson和Spearman相关分析分析efv与所有其他参数之间的关系。结果:我们发现男性EFV高于女性患者的性别差异具有统计学意义(p=0.001)。结论:我们认为CCTA技术量化EFV是一种潜在的新方法,因此可以指导临床医生预测CAD的存在和严重程度。
本文章由计算机程序翻译,如有差异,请以英文原文为准。

Prognostic Value of Epicardial Fat Volume Quantification Related to Coronary Artery Calcium Score and Degree of Stenosis on Coronary CT Angiography.

Prognostic Value of Epicardial Fat Volume Quantification Related to Coronary Artery Calcium Score and Degree of Stenosis on Coronary CT Angiography.

Prognostic Value of Epicardial Fat Volume Quantification Related to Coronary Artery Calcium Score and Degree of Stenosis on Coronary CT Angiography.

Prognostic Value of Epicardial Fat Volume Quantification Related to Coronary Artery Calcium Score and Degree of Stenosis on Coronary CT Angiography.

Objectives: Epicardial fatty tissue volume (EFV) is regarded as an important parameter in the evaluation of coronary artery disease (CAD). The aim of our study was to investigate the prognostic value of EFV measurements related to age, gender, coronary artery calcium score (CCS) and CAD severity through coronary computed tomography angiography (CCTA).

Methods: We retrospectively evaluated a total of consecutive 688 patients who were either asymptomatic but had a positive family history or had typical or atypical symptoms suggesting the presence of CAD. They all underwent CCTA examination with multiplanar reformat (MPR), maximal intensity projection (MIP), and myocardial three-dimensional (3D) volume rendering (VRT) images were obtained. We calculated CCS, coronary artery plaque stenosis degrees, the number of main coronary arteries involved and the EFVs for each patient. Finally, the relationship between the EFVs and all other parameters was analyzed by performing the Pearson and Spearman correlation analysis.

Results: We found a statistically significant difference between the genders of the patients where males presented higher EFVs than females (p=0.001, p<0.01). The correlation between the presence of CAD and the number of main vessels involved with EFVs was also statistically significantly higher in the analysis performed with the student t-test (p=0.001, p<0.01). There was a statistically significant but weak positive correlation between the ages of the patients (r=0.271, p=0.001, p<0.01), calculated total CCSs (r=0.149, p=0.001, p<0.01) and the degree of vessel stenosis determined based on coronary artery disease reporting and data system (CAD RADS) (r=0.347, p=0.001, p<0.01) and their EFV measurements.

Conclusion: We assume that the quantification of EFV performed by the CCTA technique is a potential novel method and hence, can guide clinicians in predicting the presence and severity of CAD.

求助全文
通过发布文献求助,成功后即可免费获取论文全文。 去求助
来源期刊
Medical Bulletin of Sisli Etfal Hospital
Medical Bulletin of Sisli Etfal Hospital MEDICINE, GENERAL & INTERNAL-
自引率
16.70%
发文量
41
×
引用
GB/T 7714-2015
复制
MLA
复制
APA
复制
导出至
BibTeX EndNote RefMan NoteFirst NoteExpress
×
提示
您的信息不完整,为了账户安全,请先补充。
现在去补充
×
提示
您因"违规操作"
具体请查看互助需知
我知道了
×
提示
确定
请完成安全验证×
copy
已复制链接
快去分享给好友吧!
我知道了
右上角分享
点击右上角分享
0
联系我们:info@booksci.cn Book学术提供免费学术资源搜索服务,方便国内外学者检索中英文文献。致力于提供最便捷和优质的服务体验。 Copyright © 2023 布克学术 All rights reserved.
京ICP备2023020795号-1
ghs 京公网安备 11010802042870号
Book学术文献互助
Book学术文献互助群
群 号:604180095
Book学术官方微信