术前脊柱颅角预测单节段前颈椎间盘切除术和融合后邻近节段退变。

IF 2.3 Q2 ORTHOPEDICS
Orthopedic Research and Reviews Pub Date : 2025-07-28 eCollection Date: 2025-01-01 DOI:10.2147/ORR.S533548
Yong Li, Peiyan Cheng, Xiaolei Zhang, Cai Cheng
{"title":"术前脊柱颅角预测单节段前颈椎间盘切除术和融合后邻近节段退变。","authors":"Yong Li, Peiyan Cheng, Xiaolei Zhang, Cai Cheng","doi":"10.2147/ORR.S533548","DOIUrl":null,"url":null,"abstract":"<p><strong>Background: </strong>Adjacent segment degeneration (ASD) is a common complication after anterior cervical decompression and fusion (ACDF). The spino cranial angle (SCA), a novel sagittal parameter reflecting head-to-cervical alignment, may be associated with ASD, yet its predictive value remains unclear.</p><p><strong>Methods: </strong>A total of 98 patients who underwent single-level ACDF with at least 24 months of follow-up were retrospectively analyzed. Radiographic evaluations were conducted preoperatively and at 3, 6, 12, and 24 months postoperatively. Patients were classified into ASD and non-ASD groups based on established radiographic criteria. Pre- and postoperative cervical sagittal parameters, including SCA, T1 slope (T1s), sagittal segmental alignment (SSA), sagittal alignment of the cervical spine (SACS), and C2-C7 sagittal vertical axis (cSVA) were measured. Clinical outcomes were assessed using the Japanese Orthopedic Association (JOA) score, Neck Disability Index (NDI), and Visual Analog Scale (VAS) scores. Multivariate logistic regression and Receiver operating characteristic (ROC) curve analysis were performed to identify independent predictors of ASD.</p><p><strong>Results: </strong>ASD occurred in 36 patients (36.7%). Preoperative SCA was significantly larger in the ASD group compared to the non-ASD group (86.7° ± 7.4° vs 80.5° ± 6.9°, p < 0.001), while T1s and SSA were significantly smaller (p = 0.015 and p = 0.001, respectively). Multivariate analysis identified preoperative SCA as the only independent risk factor for ASD (OR = 1.279, 95% CI: 1.010-1.619, p = 0.041). Patients with SCA > 84.2° showed a significantly higher incidence of ASD (55.8% vs 21.4%, p < 0.001). ROC analysis demonstrated that SCA had good predictive value for ASD development. No significant differences were observed in JOA, NDI, or VAS scores between the two groups at final follow-up.</p><p><strong>Conclusion: </strong>Preoperative SCA is a significant predictor of ASD, and may be considered in preoperative risk assessment.</p>","PeriodicalId":19608,"journal":{"name":"Orthopedic Research and Reviews","volume":"17 ","pages":"361-371"},"PeriodicalIF":2.3000,"publicationDate":"2025-07-28","publicationTypes":"Journal Article","fieldsOfStudy":null,"isOpenAccess":false,"openAccessPdf":"https://www.ncbi.nlm.nih.gov/pmc/articles/PMC12316177/pdf/","citationCount":"0","resultStr":"{\"title\":\"Preoperative Spino Cranial Angle Predicts Adjacent Segment Degeneration After Single-Level Anterior Cervical Discectomy and Fusion.\",\"authors\":\"Yong Li, Peiyan Cheng, Xiaolei Zhang, Cai Cheng\",\"doi\":\"10.2147/ORR.S533548\",\"DOIUrl\":null,\"url\":null,\"abstract\":\"<p><strong>Background: </strong>Adjacent segment degeneration (ASD) is a common complication after anterior cervical decompression and fusion (ACDF). The spino cranial angle (SCA), a novel sagittal parameter reflecting head-to-cervical alignment, may be associated with ASD, yet its predictive value remains unclear.</p><p><strong>Methods: </strong>A total of 98 patients who underwent single-level ACDF with at least 24 months of follow-up were retrospectively analyzed. Radiographic evaluations were conducted preoperatively and at 3, 6, 12, and 24 months postoperatively. Patients were classified into ASD and non-ASD groups based on established radiographic criteria. Pre- and postoperative cervical sagittal parameters, including SCA, T1 slope (T1s), sagittal segmental alignment (SSA), sagittal alignment of the cervical spine (SACS), and C2-C7 sagittal vertical axis (cSVA) were measured. Clinical outcomes were assessed using the Japanese Orthopedic Association (JOA) score, Neck Disability Index (NDI), and Visual Analog Scale (VAS) scores. Multivariate logistic regression and Receiver operating characteristic (ROC) curve analysis were performed to identify independent predictors of ASD.</p><p><strong>Results: </strong>ASD occurred in 36 patients (36.7%). Preoperative SCA was significantly larger in the ASD group compared to the non-ASD group (86.7° ± 7.4° vs 80.5° ± 6.9°, p < 0.001), while T1s and SSA were significantly smaller (p = 0.015 and p = 0.001, respectively). Multivariate analysis identified preoperative SCA as the only independent risk factor for ASD (OR = 1.279, 95% CI: 1.010-1.619, p = 0.041). Patients with SCA > 84.2° showed a significantly higher incidence of ASD (55.8% vs 21.4%, p < 0.001). ROC analysis demonstrated that SCA had good predictive value for ASD development. No significant differences were observed in JOA, NDI, or VAS scores between the two groups at final follow-up.</p><p><strong>Conclusion: </strong>Preoperative SCA is a significant predictor of ASD, and may be considered in preoperative risk assessment.</p>\",\"PeriodicalId\":19608,\"journal\":{\"name\":\"Orthopedic Research and Reviews\",\"volume\":\"17 \",\"pages\":\"361-371\"},\"PeriodicalIF\":2.3000,\"publicationDate\":\"2025-07-28\",\"publicationTypes\":\"Journal Article\",\"fieldsOfStudy\":null,\"isOpenAccess\":false,\"openAccessPdf\":\"https://www.ncbi.nlm.nih.gov/pmc/articles/PMC12316177/pdf/\",\"citationCount\":\"0\",\"resultStr\":null,\"platform\":\"Semanticscholar\",\"paperid\":null,\"PeriodicalName\":\"Orthopedic Research and Reviews\",\"FirstCategoryId\":\"1085\",\"ListUrlMain\":\"https://doi.org/10.2147/ORR.S533548\",\"RegionNum\":0,\"RegionCategory\":null,\"ArticlePicture\":[],\"TitleCN\":null,\"AbstractTextCN\":null,\"PMCID\":null,\"EPubDate\":\"2025/1/1 0:00:00\",\"PubModel\":\"eCollection\",\"JCR\":\"Q2\",\"JCRName\":\"ORTHOPEDICS\",\"Score\":null,\"Total\":0}","platform":"Semanticscholar","paperid":null,"PeriodicalName":"Orthopedic Research and Reviews","FirstCategoryId":"1085","ListUrlMain":"https://doi.org/10.2147/ORR.S533548","RegionNum":0,"RegionCategory":null,"ArticlePicture":[],"TitleCN":null,"AbstractTextCN":null,"PMCID":null,"EPubDate":"2025/1/1 0:00:00","PubModel":"eCollection","JCR":"Q2","JCRName":"ORTHOPEDICS","Score":null,"Total":0}
引用次数: 0

摘要

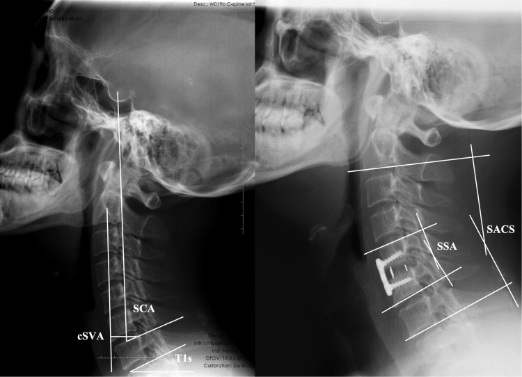
背景:邻段退变(ASD)是颈椎前路减压融合(ACDF)术后常见的并发症。spino颅角(SCA)是一种反映头颈对齐的新型矢状参数,可能与ASD有关,但其预测价值尚不清楚。方法:回顾性分析98例接受单级ACDF治疗且随访至少24个月的患者。术前、术后3、6、12、24个月进行影像学评价。根据既定的影像学标准将患者分为ASD组和非ASD组。测量术前和术后颈椎矢状面参数,包括SCA、T1斜率(T1s)、矢状节段对中(SSA)、颈椎矢状面对中(SACS)和C2-C7矢状垂直轴(cSVA)。临床结果采用日本骨科协会(JOA)评分、颈部残疾指数(NDI)和视觉模拟量表(VAS)评分进行评估。采用多变量logistic回归和受试者工作特征(ROC)曲线分析来确定ASD的独立预测因素。结果:36例患者发生ASD,占36.7%。ASD组术前SCA明显大于非ASD组(86.7°±7.4°vs 80.5°±6.9°,p < 0.001), T1s和SSA明显小于非ASD组(p = 0.015和p = 0.001)。多因素分析发现术前SCA是ASD的唯一独立危险因素(OR = 1.279, 95% CI: 1.010-1.619, p = 0.041)。SCA患者> 84.2°的ASD发生率显著高于对照组(55.8% vs 21.4%, p < 0.001)。ROC分析显示SCA对ASD的发展有较好的预测价值。在最后随访时,两组患者的JOA、NDI或VAS评分均无显著差异。结论:术前SCA是ASD的重要预测因子,可作为术前风险评估的参考因素。
本文章由计算机程序翻译,如有差异,请以英文原文为准。

Preoperative Spino Cranial Angle Predicts Adjacent Segment Degeneration After Single-Level Anterior Cervical Discectomy and Fusion.

Preoperative Spino Cranial Angle Predicts Adjacent Segment Degeneration After Single-Level Anterior Cervical Discectomy and Fusion.

Preoperative Spino Cranial Angle Predicts Adjacent Segment Degeneration After Single-Level Anterior Cervical Discectomy and Fusion.

Preoperative Spino Cranial Angle Predicts Adjacent Segment Degeneration After Single-Level Anterior Cervical Discectomy and Fusion.

Background: Adjacent segment degeneration (ASD) is a common complication after anterior cervical decompression and fusion (ACDF). The spino cranial angle (SCA), a novel sagittal parameter reflecting head-to-cervical alignment, may be associated with ASD, yet its predictive value remains unclear.

Methods: A total of 98 patients who underwent single-level ACDF with at least 24 months of follow-up were retrospectively analyzed. Radiographic evaluations were conducted preoperatively and at 3, 6, 12, and 24 months postoperatively. Patients were classified into ASD and non-ASD groups based on established radiographic criteria. Pre- and postoperative cervical sagittal parameters, including SCA, T1 slope (T1s), sagittal segmental alignment (SSA), sagittal alignment of the cervical spine (SACS), and C2-C7 sagittal vertical axis (cSVA) were measured. Clinical outcomes were assessed using the Japanese Orthopedic Association (JOA) score, Neck Disability Index (NDI), and Visual Analog Scale (VAS) scores. Multivariate logistic regression and Receiver operating characteristic (ROC) curve analysis were performed to identify independent predictors of ASD.

Results: ASD occurred in 36 patients (36.7%). Preoperative SCA was significantly larger in the ASD group compared to the non-ASD group (86.7° ± 7.4° vs 80.5° ± 6.9°, p < 0.001), while T1s and SSA were significantly smaller (p = 0.015 and p = 0.001, respectively). Multivariate analysis identified preoperative SCA as the only independent risk factor for ASD (OR = 1.279, 95% CI: 1.010-1.619, p = 0.041). Patients with SCA > 84.2° showed a significantly higher incidence of ASD (55.8% vs 21.4%, p < 0.001). ROC analysis demonstrated that SCA had good predictive value for ASD development. No significant differences were observed in JOA, NDI, or VAS scores between the two groups at final follow-up.

Conclusion: Preoperative SCA is a significant predictor of ASD, and may be considered in preoperative risk assessment.

求助全文
通过发布文献求助,成功后即可免费获取论文全文。 去求助
来源期刊
Orthopedic Research and Reviews
Orthopedic Research and Reviews Medicine-Orthopedics and Sports Medicine
CiteScore
2.80
自引率
0.00%
发文量
51
审稿时长
16 weeks
期刊介绍: Orthopedic Research and Reviews is an international, peer-reviewed, open-access journal focusing on the patho-physiology of the musculoskeletal system, trauma, surgery and other corrective interventions to restore mobility and function. Advances in new technologies, materials, techniques and pharmacological agents will be particularly welcome. Specific topics covered in the journal include: Patho-physiology and bioengineering, Technologies and materials science, Surgical techniques, including robotics, Trauma management and care, Treatment including pharmacological and non-pharmacological, Rehabilitation and Multidisciplinarian care approaches, Patient quality of life, satisfaction and preference, Health economic evaluations. The journal welcomes submitted papers covering original research, basic science and technology, clinical studies, reviews and evaluations, guidelines, expert opinion and commentary, case reports and extended reports.
×
引用
GB/T 7714-2015
复制
MLA
复制
APA
复制
导出至
BibTeX EndNote RefMan NoteFirst NoteExpress
×
提示
您的信息不完整,为了账户安全,请先补充。
现在去补充
×
提示
您因"违规操作"
具体请查看互助需知
我知道了
×
提示
确定
请完成安全验证×
copy
已复制链接
快去分享给好友吧!
我知道了
右上角分享
点击右上角分享
0
联系我们:info@booksci.cn Book学术提供免费学术资源搜索服务,方便国内外学者检索中英文文献。致力于提供最便捷和优质的服务体验。 Copyright © 2023 布克学术 All rights reserved.
京ICP备2023020795号-1
ghs 京公网安备 11010802042870号
Book学术文献互助
Book学术文献互助群
群 号:604180095
Book学术官方微信