拉合尔市饮用水配水系统对自由生活阿米巴尤其是纳格里亚阿米巴的影响评价。

IF 1.8 Q3 PARASITOLOGY
Journal of Parasitology Research Pub Date : 2025-07-26 eCollection Date: 2025-01-01 DOI:10.1155/japr/4286995
Ayesha Najam, Sana Ullah Iqbal, Waqas Ahmed, Rabia Tanvir, Haroon Akbar
{"title":"拉合尔市饮用水配水系统对自由生活阿米巴尤其是纳格里亚阿米巴的影响评价。","authors":"Ayesha Najam, Sana Ullah Iqbal, Waqas Ahmed, Rabia Tanvir, Haroon Akbar","doi":"10.1155/japr/4286995","DOIUrl":null,"url":null,"abstract":"<p><p>Free-living amoebas are ubiquitous in distribution systems and recreational waters. Numerous studies have described the problem posed by their presence in the drinking water distribution systems of Lahore; however, very few studies have been done on <i>Naegleria</i> spp., particularly <i>Naegleria fowleri</i> that causes primary amoebic meningoencephalitis. In this study, we aimed to screen for the free-living amoebas in 100 water samples from nine zones in Lahore. These samples included water from mosques (<i>n</i> = 45), homes (<i>n</i> = 45), swimming pools (<i>n</i> = 10), and the Lahore canal. Cysts (3-4 <i>μ</i>m) and rounded trophozoites (4-5 <i>μ</i>m) along with elongated trophozoites (8-10 <i>μ</i>m) were observed to be present in 37 (82.2%) water samples from mosques. In water from homes, we detected rounded trophozoites (5 <i>μ</i>m) and elongated trophozoites (10 <i>μ</i>m) from the Lahore canal. There was also a positive association with temperature (odds ratio 20.329, 95% CL) and a trend of negative association with pH (odds ratio 2.001, 95% CL). PCR amplification confirmed the presence of <i>Naegleria</i> spp. in three zones: Lahore canal and swimming pools. Our study indicates the presence of <i>Naegleria</i> spp. in drinking water distribution systems of Lahore; therefore, we recommend a routine screening for <i>N. fowleri</i> in order to reduce the risk of acquiring the fatal primary amoebic meningoencephalitis infection.</p>","PeriodicalId":16662,"journal":{"name":"Journal of Parasitology Research","volume":"2025 ","pages":"4286995"},"PeriodicalIF":1.8000,"publicationDate":"2025-07-26","publicationTypes":"Journal Article","fieldsOfStudy":null,"isOpenAccess":false,"openAccessPdf":"https://www.ncbi.nlm.nih.gov/pmc/articles/PMC12317814/pdf/","citationCount":"0","resultStr":"{\"title\":\"Evaluating the Drinking Water Distribution System of Lahore for Free-Living Amoebas, Particularly <i>Naegleria</i> spp.\",\"authors\":\"Ayesha Najam, Sana Ullah Iqbal, Waqas Ahmed, Rabia Tanvir, Haroon Akbar\",\"doi\":\"10.1155/japr/4286995\",\"DOIUrl\":null,\"url\":null,\"abstract\":\"<p><p>Free-living amoebas are ubiquitous in distribution systems and recreational waters. Numerous studies have described the problem posed by their presence in the drinking water distribution systems of Lahore; however, very few studies have been done on <i>Naegleria</i> spp., particularly <i>Naegleria fowleri</i> that causes primary amoebic meningoencephalitis. In this study, we aimed to screen for the free-living amoebas in 100 water samples from nine zones in Lahore. These samples included water from mosques (<i>n</i> = 45), homes (<i>n</i> = 45), swimming pools (<i>n</i> = 10), and the Lahore canal. Cysts (3-4 <i>μ</i>m) and rounded trophozoites (4-5 <i>μ</i>m) along with elongated trophozoites (8-10 <i>μ</i>m) were observed to be present in 37 (82.2%) water samples from mosques. In water from homes, we detected rounded trophozoites (5 <i>μ</i>m) and elongated trophozoites (10 <i>μ</i>m) from the Lahore canal. There was also a positive association with temperature (odds ratio 20.329, 95% CL) and a trend of negative association with pH (odds ratio 2.001, 95% CL). PCR amplification confirmed the presence of <i>Naegleria</i> spp. in three zones: Lahore canal and swimming pools. Our study indicates the presence of <i>Naegleria</i> spp. in drinking water distribution systems of Lahore; therefore, we recommend a routine screening for <i>N. fowleri</i> in order to reduce the risk of acquiring the fatal primary amoebic meningoencephalitis infection.</p>\",\"PeriodicalId\":16662,\"journal\":{\"name\":\"Journal of Parasitology Research\",\"volume\":\"2025 \",\"pages\":\"4286995\"},\"PeriodicalIF\":1.8000,\"publicationDate\":\"2025-07-26\",\"publicationTypes\":\"Journal Article\",\"fieldsOfStudy\":null,\"isOpenAccess\":false,\"openAccessPdf\":\"https://www.ncbi.nlm.nih.gov/pmc/articles/PMC12317814/pdf/\",\"citationCount\":\"0\",\"resultStr\":null,\"platform\":\"Semanticscholar\",\"paperid\":null,\"PeriodicalName\":\"Journal of Parasitology Research\",\"FirstCategoryId\":\"1085\",\"ListUrlMain\":\"https://doi.org/10.1155/japr/4286995\",\"RegionNum\":0,\"RegionCategory\":null,\"ArticlePicture\":[],\"TitleCN\":null,\"AbstractTextCN\":null,\"PMCID\":null,\"EPubDate\":\"2025/1/1 0:00:00\",\"PubModel\":\"eCollection\",\"JCR\":\"Q3\",\"JCRName\":\"PARASITOLOGY\",\"Score\":null,\"Total\":0}","platform":"Semanticscholar","paperid":null,"PeriodicalName":"Journal of Parasitology Research","FirstCategoryId":"1085","ListUrlMain":"https://doi.org/10.1155/japr/4286995","RegionNum":0,"RegionCategory":null,"ArticlePicture":[],"TitleCN":null,"AbstractTextCN":null,"PMCID":null,"EPubDate":"2025/1/1 0:00:00","PubModel":"eCollection","JCR":"Q3","JCRName":"PARASITOLOGY","Score":null,"Total":0}
引用次数: 0

摘要

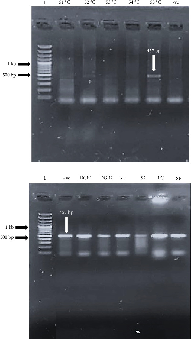
自由生活的阿米巴虫在配电系统和娱乐水域中无处不在。许多研究描述了它们在拉合尔饮用水分配系统中的存在所造成的问题;然而,对奈格里氏杆菌的研究很少,特别是引起原发性阿米巴脑膜脑炎的福氏奈格里氏杆菌。在这项研究中,我们旨在筛选拉合尔9个地区的100个水样中的自由生活阿米巴原虫。这些样本包括清真寺(n = 45)、家庭(n = 45)、游泳池(n = 10)和拉合尔运河的水。37份(82.2%)清真寺水样中存在囊状(3 ~ 4 μm)、圆形滋养体(4 ~ 5 μm)和细长滋养体(8 ~ 10 μm)。在来自家庭的水中,我们从拉合尔运河检测到圆形滋养体(5 μm)和细长滋养体(10 μm)。与温度呈正相关(比值比20.329,95% CL),与pH呈负相关(比值比2.001,95% CL)。PCR扩增证实在拉合尔运河和游泳池三个区域存在奈格里亚原虫。本研究表明,拉合尔饮用水分配系统中存在奈格里亚氏菌;因此,我们建议常规筛查福氏奈希菌,以减少获得致命的原发性阿米巴脑膜脑炎感染的风险。
本文章由计算机程序翻译,如有差异,请以英文原文为准。

Evaluating the Drinking Water Distribution System of Lahore for Free-Living Amoebas, Particularly <i>Naegleria</i> spp.

Evaluating the Drinking Water Distribution System of Lahore for Free-Living Amoebas, Particularly <i>Naegleria</i> spp.

Evaluating the Drinking Water Distribution System of Lahore for Free-Living Amoebas, Particularly <i>Naegleria</i> spp.

Evaluating the Drinking Water Distribution System of Lahore for Free-Living Amoebas, Particularly Naegleria spp.

Free-living amoebas are ubiquitous in distribution systems and recreational waters. Numerous studies have described the problem posed by their presence in the drinking water distribution systems of Lahore; however, very few studies have been done on Naegleria spp., particularly Naegleria fowleri that causes primary amoebic meningoencephalitis. In this study, we aimed to screen for the free-living amoebas in 100 water samples from nine zones in Lahore. These samples included water from mosques (n = 45), homes (n = 45), swimming pools (n = 10), and the Lahore canal. Cysts (3-4 μm) and rounded trophozoites (4-5 μm) along with elongated trophozoites (8-10 μm) were observed to be present in 37 (82.2%) water samples from mosques. In water from homes, we detected rounded trophozoites (5 μm) and elongated trophozoites (10 μm) from the Lahore canal. There was also a positive association with temperature (odds ratio 20.329, 95% CL) and a trend of negative association with pH (odds ratio 2.001, 95% CL). PCR amplification confirmed the presence of Naegleria spp. in three zones: Lahore canal and swimming pools. Our study indicates the presence of Naegleria spp. in drinking water distribution systems of Lahore; therefore, we recommend a routine screening for N. fowleri in order to reduce the risk of acquiring the fatal primary amoebic meningoencephalitis infection.

求助全文
通过发布文献求助,成功后即可免费获取论文全文。 去求助
来源期刊
Journal of Parasitology Research
Journal of Parasitology Research Medicine-Infectious Diseases
CiteScore
3.50
自引率
9.10%
发文量
49
审稿时长
13 weeks
期刊介绍: Journal of Parasitology Research is a peer-reviewed, Open Access journal that publishes original research articles, review articles, and clinical studies in all areas of basic and applied parasitology. Articles covering host-parasite relationships and parasitic diseases will be considered, as well as studies on disease vectors. Articles highlighting social and economic issues around the impact of parasites are also encouraged. As an international, Open Access publication, Journal of Parasitology Research aims to foster learning and collaboration between countries and communities.
×
引用
GB/T 7714-2015
复制
MLA
复制
APA
复制
导出至
BibTeX EndNote RefMan NoteFirst NoteExpress
×
提示
您的信息不完整,为了账户安全,请先补充。
现在去补充
×
提示
您因"违规操作"
具体请查看互助需知
我知道了
×
提示
确定
请完成安全验证×
copy
已复制链接
快去分享给好友吧!
我知道了
右上角分享
点击右上角分享
0
联系我们:info@booksci.cn Book学术提供免费学术资源搜索服务,方便国内外学者检索中英文文献。致力于提供最便捷和优质的服务体验。 Copyright © 2023 布克学术 All rights reserved.
京ICP备2023020795号-1
ghs 京公网安备 11010802042870号
Book学术文献互助
Book学术文献互助群
群 号:604180095
Book学术官方微信