b细胞急性淋巴母细胞白血病和淋巴母细胞淋巴瘤合并p190 BCR::ABL1转录本1例。

Q3 Medicine
Budiono Raharjo, Catherine Keiko Gunawan, Stephani Linggawan, Siprianus Ugroseno Yudho Bintoro, Anton Sumarpo
{"title":"b细胞急性淋巴母细胞白血病和淋巴母细胞淋巴瘤合并p190 BCR::ABL1转录本1例。","authors":"Budiono Raharjo, Catherine Keiko Gunawan, Stephani Linggawan, Siprianus Ugroseno Yudho Bintoro, Anton Sumarpo","doi":"10.25122/jml-2025-0020","DOIUrl":null,"url":null,"abstract":"<p><p>Lymphoblastic lymphoma (LBL) is a rare and aggressive lymphoblastic neoplasm, accounting for approximately 2% of non-Hodgkin lymphoma cases. Despite sharing clinical and morphological similarities with acute lymphoblastic leukemia (ALL), LBL is characterized by distinct genetic abnormalities. Due to the ambiguity surrounding treatments, the prognosis for LBL remains poor, with complete remission rates between 40-58% and 5-year disease-free survival rates between 36-70%. We present a case of a 42-year-old man diagnosed with B-acute lymphoblastic leukemia (B-ALL)/lymphoblastic lymphoma (LBL). The diagnosis was challenging due to the rarity of the condition and the overlapping features of LBL and ALL. This case report highlights the predominance of lymphoblasts and the presence of the p190 (e1a2) <i>BCR::ABL1</i> transcript, which is frequently associated with poor prognostic outcomes in lymphoblastic malignancies. The coexistence of both B-ALL and LBL underscores the necessity of a comprehensive understanding of the diagnostic approach, which is essential for optimizing treatment strategies and improving prognosis.</p>","PeriodicalId":16386,"journal":{"name":"Journal of Medicine and Life","volume":"18 6","pages":"600-603"},"PeriodicalIF":0.0000,"publicationDate":"2025-06-01","publicationTypes":"Journal Article","fieldsOfStudy":null,"isOpenAccess":false,"openAccessPdf":"https://www.ncbi.nlm.nih.gov/pmc/articles/PMC12314840/pdf/","citationCount":"0","resultStr":"{\"title\":\"B-cell acute lymphoblastic leukemia and lymphoblastic lymphoma with p190 <i>BCR::ABL1</i> transcript: a case report.\",\"authors\":\"Budiono Raharjo, Catherine Keiko Gunawan, Stephani Linggawan, Siprianus Ugroseno Yudho Bintoro, Anton Sumarpo\",\"doi\":\"10.25122/jml-2025-0020\",\"DOIUrl\":null,\"url\":null,\"abstract\":\"<p><p>Lymphoblastic lymphoma (LBL) is a rare and aggressive lymphoblastic neoplasm, accounting for approximately 2% of non-Hodgkin lymphoma cases. Despite sharing clinical and morphological similarities with acute lymphoblastic leukemia (ALL), LBL is characterized by distinct genetic abnormalities. Due to the ambiguity surrounding treatments, the prognosis for LBL remains poor, with complete remission rates between 40-58% and 5-year disease-free survival rates between 36-70%. We present a case of a 42-year-old man diagnosed with B-acute lymphoblastic leukemia (B-ALL)/lymphoblastic lymphoma (LBL). The diagnosis was challenging due to the rarity of the condition and the overlapping features of LBL and ALL. This case report highlights the predominance of lymphoblasts and the presence of the p190 (e1a2) <i>BCR::ABL1</i> transcript, which is frequently associated with poor prognostic outcomes in lymphoblastic malignancies. The coexistence of both B-ALL and LBL underscores the necessity of a comprehensive understanding of the diagnostic approach, which is essential for optimizing treatment strategies and improving prognosis.</p>\",\"PeriodicalId\":16386,\"journal\":{\"name\":\"Journal of Medicine and Life\",\"volume\":\"18 6\",\"pages\":\"600-603\"},\"PeriodicalIF\":0.0000,\"publicationDate\":\"2025-06-01\",\"publicationTypes\":\"Journal Article\",\"fieldsOfStudy\":null,\"isOpenAccess\":false,\"openAccessPdf\":\"https://www.ncbi.nlm.nih.gov/pmc/articles/PMC12314840/pdf/\",\"citationCount\":\"0\",\"resultStr\":null,\"platform\":\"Semanticscholar\",\"paperid\":null,\"PeriodicalName\":\"Journal of Medicine and Life\",\"FirstCategoryId\":\"1085\",\"ListUrlMain\":\"https://doi.org/10.25122/jml-2025-0020\",\"RegionNum\":0,\"RegionCategory\":null,\"ArticlePicture\":[],\"TitleCN\":null,\"AbstractTextCN\":null,\"PMCID\":null,\"EPubDate\":\"\",\"PubModel\":\"\",\"JCR\":\"Q3\",\"JCRName\":\"Medicine\",\"Score\":null,\"Total\":0}","platform":"Semanticscholar","paperid":null,"PeriodicalName":"Journal of Medicine and Life","FirstCategoryId":"1085","ListUrlMain":"https://doi.org/10.25122/jml-2025-0020","RegionNum":0,"RegionCategory":null,"ArticlePicture":[],"TitleCN":null,"AbstractTextCN":null,"PMCID":null,"EPubDate":"","PubModel":"","JCR":"Q3","JCRName":"Medicine","Score":null,"Total":0}
引用次数: 0

摘要

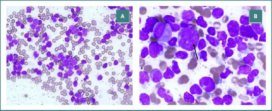
淋巴母细胞淋巴瘤(LBL)是一种罕见的侵袭性淋巴母细胞肿瘤,约占非霍奇金淋巴瘤病例的2%。尽管与急性淋巴细胞白血病(ALL)具有临床和形态学上的相似性,但LBL的特征是明显的遗传异常。由于治疗方法的不确定性,LBL的预后仍然很差,完全缓解率在40-58%之间,5年无病生存率在36-70%之间。我们报告一例42岁男性被诊断为b急性淋巴细胞白血病(B-ALL)/淋巴母细胞淋巴瘤(LBL)。由于这种疾病的罕见性和LBL和ALL的重叠特征,诊断具有挑战性。本病例报告强调了淋巴母细胞的优势和p190 (e1a2) BCR::ABL1转录物的存在,这通常与淋巴母细胞恶性肿瘤的预后不良有关。B-ALL和LBL的共存强调了全面了解诊断方法的必要性,这对于优化治疗策略和改善预后至关重要。
本文章由计算机程序翻译,如有差异,请以英文原文为准。

B-cell acute lymphoblastic leukemia and lymphoblastic lymphoma with p190 <i>BCR::ABL1</i> transcript: a case report.

B-cell acute lymphoblastic leukemia and lymphoblastic lymphoma with p190 BCR::ABL1 transcript: a case report.

Lymphoblastic lymphoma (LBL) is a rare and aggressive lymphoblastic neoplasm, accounting for approximately 2% of non-Hodgkin lymphoma cases. Despite sharing clinical and morphological similarities with acute lymphoblastic leukemia (ALL), LBL is characterized by distinct genetic abnormalities. Due to the ambiguity surrounding treatments, the prognosis for LBL remains poor, with complete remission rates between 40-58% and 5-year disease-free survival rates between 36-70%. We present a case of a 42-year-old man diagnosed with B-acute lymphoblastic leukemia (B-ALL)/lymphoblastic lymphoma (LBL). The diagnosis was challenging due to the rarity of the condition and the overlapping features of LBL and ALL. This case report highlights the predominance of lymphoblasts and the presence of the p190 (e1a2) BCR::ABL1 transcript, which is frequently associated with poor prognostic outcomes in lymphoblastic malignancies. The coexistence of both B-ALL and LBL underscores the necessity of a comprehensive understanding of the diagnostic approach, which is essential for optimizing treatment strategies and improving prognosis.

求助全文
通过发布文献求助,成功后即可免费获取论文全文。 去求助
来源期刊
Journal of Medicine and Life
Journal of Medicine and Life Medicine-Medicine (all)
CiteScore
1.90
自引率
0.00%
发文量
202
期刊介绍: The Journal of Medicine and Life publishes peer-reviewed articles from various fields of medicine and life sciences, including original research, systematic reviews, special reports, case presentations, major medical breakthroughs and letters to the editor. The Journal focuses on current matters that lie at the intersection of biomedical science and clinical practice and strives to present this information to inform health care delivery and improve patient outcomes. Papers addressing topics such as neuroprotection, neurorehabilitation, neuroplasticity, and neuroregeneration are particularly encouraged, as part of the Journal''s continuous interest in neuroscience research. The Editorial Board of the Journal of Medicine and Life is open to consider manuscripts from all levels of research and areas of biological sciences, including fundamental, experimental or clinical research and matters of public health. As part of our pledge to promote an educational and community-building environment, our issues feature sections designated to informing our readers regarding exciting international congresses, teaching courses and relevant institutional-level events.
×
引用
GB/T 7714-2015
复制
MLA
复制
APA
复制
导出至
BibTeX EndNote RefMan NoteFirst NoteExpress
×
提示
您的信息不完整,为了账户安全,请先补充。
现在去补充
×
提示
您因"违规操作"
具体请查看互助需知
我知道了
×
提示
确定
请完成安全验证×
copy
已复制链接
快去分享给好友吧!
我知道了
右上角分享
点击右上角分享
0
联系我们:info@booksci.cn Book学术提供免费学术资源搜索服务,方便国内外学者检索中英文文献。致力于提供最便捷和优质的服务体验。 Copyright © 2023 布克学术 All rights reserved.
京ICP备2023020795号-1
ghs 京公网安备 11010802042870号
Book学术文献互助
Book学术文献互助群
群 号:604180095
Book学术官方微信