努南综合征的口腔健康和牙科管理策略:1例报告。

Q3 Dentistry
Iranian Endodontic Journal Pub Date : 2025-01-01 Epub Date: 2025-04-30 DOI:10.22037/iej.v20i1.48029
Pourya Esmaeelpour, Maryam Forghani, Sahar Karimpour
{"title":"努南综合征的口腔健康和牙科管理策略:1例报告。","authors":"Pourya Esmaeelpour, Maryam Forghani, Sahar Karimpour","doi":"10.22037/iej.v20i1.48029","DOIUrl":null,"url":null,"abstract":"<p><p>Noonan syndrome is a genetic condition characterized by various systemic issues, including cardiac defects, short stature, bleeding problems, and intellectual disabilities. This disorder also shows several manifestations in the oral and maxillofacial region, highlighting the dentist's role in diagnosing and addressing related complications. This report represents the effective dental management of a 15-year-old boy with Noonan syndrome who suffered from several oral and dental problems and was clinically and radiographically asymptomatic in a nine-month follow-up session. Awareness of the medical conditions and orofacial manifestations of patients with Noonan syndrome can be effective in determining a better treatment plan, providing more effective and safer treatment, and subsequently enhancing the long-term prognosis.</p>","PeriodicalId":14534,"journal":{"name":"Iranian Endodontic Journal","volume":"20 1","pages":"e26"},"PeriodicalIF":0.0000,"publicationDate":"2025-01-01","publicationTypes":"Journal Article","fieldsOfStudy":null,"isOpenAccess":false,"openAccessPdf":"https://www.ncbi.nlm.nih.gov/pmc/articles/PMC12318321/pdf/","citationCount":"0","resultStr":"{\"title\":\"Oral Health and Dental Management Strategies in Noonan Syndrome: A Case Report.\",\"authors\":\"Pourya Esmaeelpour, Maryam Forghani, Sahar Karimpour\",\"doi\":\"10.22037/iej.v20i1.48029\",\"DOIUrl\":null,\"url\":null,\"abstract\":\"<p><p>Noonan syndrome is a genetic condition characterized by various systemic issues, including cardiac defects, short stature, bleeding problems, and intellectual disabilities. This disorder also shows several manifestations in the oral and maxillofacial region, highlighting the dentist's role in diagnosing and addressing related complications. This report represents the effective dental management of a 15-year-old boy with Noonan syndrome who suffered from several oral and dental problems and was clinically and radiographically asymptomatic in a nine-month follow-up session. Awareness of the medical conditions and orofacial manifestations of patients with Noonan syndrome can be effective in determining a better treatment plan, providing more effective and safer treatment, and subsequently enhancing the long-term prognosis.</p>\",\"PeriodicalId\":14534,\"journal\":{\"name\":\"Iranian Endodontic Journal\",\"volume\":\"20 1\",\"pages\":\"e26\"},\"PeriodicalIF\":0.0000,\"publicationDate\":\"2025-01-01\",\"publicationTypes\":\"Journal Article\",\"fieldsOfStudy\":null,\"isOpenAccess\":false,\"openAccessPdf\":\"https://www.ncbi.nlm.nih.gov/pmc/articles/PMC12318321/pdf/\",\"citationCount\":\"0\",\"resultStr\":null,\"platform\":\"Semanticscholar\",\"paperid\":null,\"PeriodicalName\":\"Iranian Endodontic Journal\",\"FirstCategoryId\":\"1085\",\"ListUrlMain\":\"https://doi.org/10.22037/iej.v20i1.48029\",\"RegionNum\":0,\"RegionCategory\":null,\"ArticlePicture\":[],\"TitleCN\":null,\"AbstractTextCN\":null,\"PMCID\":null,\"EPubDate\":\"2025/4/30 0:00:00\",\"PubModel\":\"Epub\",\"JCR\":\"Q3\",\"JCRName\":\"Dentistry\",\"Score\":null,\"Total\":0}","platform":"Semanticscholar","paperid":null,"PeriodicalName":"Iranian Endodontic Journal","FirstCategoryId":"1085","ListUrlMain":"https://doi.org/10.22037/iej.v20i1.48029","RegionNum":0,"RegionCategory":null,"ArticlePicture":[],"TitleCN":null,"AbstractTextCN":null,"PMCID":null,"EPubDate":"2025/4/30 0:00:00","PubModel":"Epub","JCR":"Q3","JCRName":"Dentistry","Score":null,"Total":0}
引用次数: 0

摘要

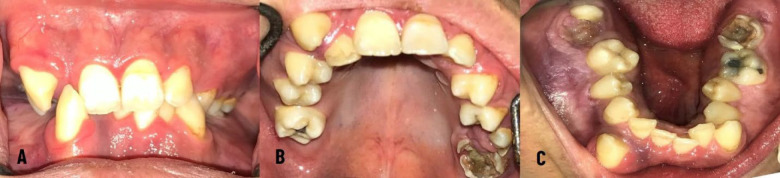
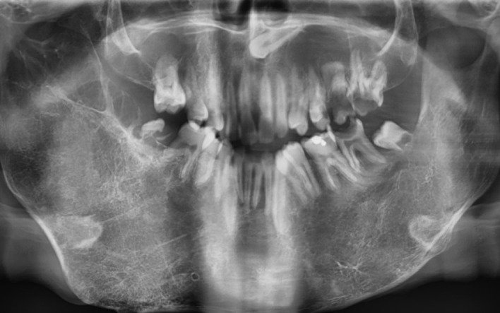
努南综合征是一种以各种系统性问题为特征的遗传病,包括心脏缺陷、身材矮小、出血问题和智力残疾。这种疾病也表现在口腔和颌面区域,突出了牙医在诊断和解决相关并发症中的作用。本报告描述了一名患有努南综合征的15岁男孩的有效牙科治疗,该男孩患有几种口腔和牙齿问题,在9个月的随访期间临床和放射学无症状。了解努南综合征患者的医疗状况和口腔面部表现可以有效地确定更好的治疗计划,提供更有效和更安全的治疗,并随后改善长期预后。
本文章由计算机程序翻译,如有差异,请以英文原文为准。

Oral Health and Dental Management Strategies in Noonan Syndrome: A Case Report.

Oral Health and Dental Management Strategies in Noonan Syndrome: A Case Report.

Oral Health and Dental Management Strategies in Noonan Syndrome: A Case Report.

Oral Health and Dental Management Strategies in Noonan Syndrome: A Case Report.

Noonan syndrome is a genetic condition characterized by various systemic issues, including cardiac defects, short stature, bleeding problems, and intellectual disabilities. This disorder also shows several manifestations in the oral and maxillofacial region, highlighting the dentist's role in diagnosing and addressing related complications. This report represents the effective dental management of a 15-year-old boy with Noonan syndrome who suffered from several oral and dental problems and was clinically and radiographically asymptomatic in a nine-month follow-up session. Awareness of the medical conditions and orofacial manifestations of patients with Noonan syndrome can be effective in determining a better treatment plan, providing more effective and safer treatment, and subsequently enhancing the long-term prognosis.

求助全文
通过发布文献求助,成功后即可免费获取论文全文。 去求助
来源期刊
Iranian Endodontic Journal
Iranian Endodontic Journal Dentistry-Dentistry (all)
CiteScore
1.30
自引率
0.00%
发文量
0
审稿时长
12 weeks
期刊介绍: The Iranian Endodontic Journal (IEJ) is an international peer-reviewed biomedical publication, the aim of which is to provide a scientific medium of communication for researchers throughout the globe. IEJ aims to publish the highest quality articles, both clinical and scientific, on all aspects of Endodontics. The journal is an official Journal of the Iranian Center for Endodontic Research (ICER) and the Iranian Association of Endodontists (IAE). The Journal welcomes articles related to the scientific or applied aspects of endodontics e.g. original researches, systematic reviews, meta-analyses, review articles, clinical trials, case series/reports, hypotheses, letters to the editor, etc. From the beginning (i.e. since 2006), the IEJ was the first open access endodontic journal in the world, which gave readers free and instant access to published articles and enabling them faster discovery of the latest endodontic research.
×
引用
GB/T 7714-2015
复制
MLA
复制
APA
复制
导出至
BibTeX EndNote RefMan NoteFirst NoteExpress
×
提示
您的信息不完整,为了账户安全,请先补充。
现在去补充
×
提示
您因"违规操作"
具体请查看互助需知
我知道了
×
提示
确定
请完成安全验证×
copy
已复制链接
快去分享给好友吧!
我知道了
右上角分享
点击右上角分享
0
联系我们:info@booksci.cn Book学术提供免费学术资源搜索服务,方便国内外学者检索中英文文献。致力于提供最便捷和优质的服务体验。 Copyright © 2023 布克学术 All rights reserved.
京ICP备2023020795号-1
ghs 京公网安备 11010802042870号
Book学术文献互助
Book学术文献互助群
群 号:604180095
Book学术官方微信