下颌切牙髓管闭塞引导根管技术1例报告。

Q3 Dentistry
Iranian Endodontic Journal Pub Date : 2025-01-01 Epub Date: 2025-05-11 DOI:10.22037/iej.v20i1.47737
Saide Nabavi, Erfan Latifian
{"title":"下颌切牙髓管闭塞引导根管技术1例报告。","authors":"Saide Nabavi, Erfan Latifian","doi":"10.22037/iej.v20i1.47737","DOIUrl":null,"url":null,"abstract":"<p><p>The American Association of Endodontics classifies the management of pulp canal obliteration (PCO) cases as a high-risk difficulty. This classification indicates an increased likelihood of procedural errors. However, advancements in dental technology have simplified the endodontic treatment of calcified teeth. Guided endodontics uses cone-beam computed tomography (CBCT) and a three-dimensional (3D) printer to create a patient-specific guide, enhancing accuracy and predictability in complex cases. A healthy 60-year-old male was referred by a prosthodontist for root canal treatment on teeth #23, #24, and #25. Periapical radiographic examination revealed partial PCO in all teeth. After choosing guided endodontics treatment, CBCT imaging and intraoral 3D scanning were utilized to design a patient-specific endodontic guide. After verifying the stability of the endo-guide, access cavities were prepared using a Munce Discovery bur. Following the negotiation of the canals, the working length was determined. Root canal treatment was performed using rotary files up to size 25/0.04% and sodium hypochlorite irrigation. The obturation was completed using the warm condensation technique. Although PCO was present, no complications occurred during treatment. The teeth remained completely asymptomatic and functional, demonstrating the success of the treatment. Guided endodontics can be a practical and predictable approach for managing PCO in mandibular incisors. This technique provides accurate canal location, reduces procedural errors, and preserves tooth structure. Despite concerns about cost, radiation exposure, and challenges with anatomical variations, it represents a promising advancement in endodontic treatment.</p>","PeriodicalId":14534,"journal":{"name":"Iranian Endodontic Journal","volume":"20 1","pages":"e21"},"PeriodicalIF":0.0000,"publicationDate":"2025-01-01","publicationTypes":"Journal Article","fieldsOfStudy":null,"isOpenAccess":false,"openAccessPdf":"https://www.ncbi.nlm.nih.gov/pmc/articles/PMC12318319/pdf/","citationCount":"0","resultStr":"{\"title\":\"Guided Endodontic Technique in Mandibular Incisors with Pulp Canal Obliteration: A Case Report.\",\"authors\":\"Saide Nabavi, Erfan Latifian\",\"doi\":\"10.22037/iej.v20i1.47737\",\"DOIUrl\":null,\"url\":null,\"abstract\":\"<p><p>The American Association of Endodontics classifies the management of pulp canal obliteration (PCO) cases as a high-risk difficulty. This classification indicates an increased likelihood of procedural errors. However, advancements in dental technology have simplified the endodontic treatment of calcified teeth. Guided endodontics uses cone-beam computed tomography (CBCT) and a three-dimensional (3D) printer to create a patient-specific guide, enhancing accuracy and predictability in complex cases. A healthy 60-year-old male was referred by a prosthodontist for root canal treatment on teeth #23, #24, and #25. Periapical radiographic examination revealed partial PCO in all teeth. After choosing guided endodontics treatment, CBCT imaging and intraoral 3D scanning were utilized to design a patient-specific endodontic guide. After verifying the stability of the endo-guide, access cavities were prepared using a Munce Discovery bur. Following the negotiation of the canals, the working length was determined. Root canal treatment was performed using rotary files up to size 25/0.04% and sodium hypochlorite irrigation. The obturation was completed using the warm condensation technique. Although PCO was present, no complications occurred during treatment. The teeth remained completely asymptomatic and functional, demonstrating the success of the treatment. Guided endodontics can be a practical and predictable approach for managing PCO in mandibular incisors. This technique provides accurate canal location, reduces procedural errors, and preserves tooth structure. Despite concerns about cost, radiation exposure, and challenges with anatomical variations, it represents a promising advancement in endodontic treatment.</p>\",\"PeriodicalId\":14534,\"journal\":{\"name\":\"Iranian Endodontic Journal\",\"volume\":\"20 1\",\"pages\":\"e21\"},\"PeriodicalIF\":0.0000,\"publicationDate\":\"2025-01-01\",\"publicationTypes\":\"Journal Article\",\"fieldsOfStudy\":null,\"isOpenAccess\":false,\"openAccessPdf\":\"https://www.ncbi.nlm.nih.gov/pmc/articles/PMC12318319/pdf/\",\"citationCount\":\"0\",\"resultStr\":null,\"platform\":\"Semanticscholar\",\"paperid\":null,\"PeriodicalName\":\"Iranian Endodontic Journal\",\"FirstCategoryId\":\"1085\",\"ListUrlMain\":\"https://doi.org/10.22037/iej.v20i1.47737\",\"RegionNum\":0,\"RegionCategory\":null,\"ArticlePicture\":[],\"TitleCN\":null,\"AbstractTextCN\":null,\"PMCID\":null,\"EPubDate\":\"2025/5/11 0:00:00\",\"PubModel\":\"Epub\",\"JCR\":\"Q3\",\"JCRName\":\"Dentistry\",\"Score\":null,\"Total\":0}","platform":"Semanticscholar","paperid":null,"PeriodicalName":"Iranian Endodontic Journal","FirstCategoryId":"1085","ListUrlMain":"https://doi.org/10.22037/iej.v20i1.47737","RegionNum":0,"RegionCategory":null,"ArticlePicture":[],"TitleCN":null,"AbstractTextCN":null,"PMCID":null,"EPubDate":"2025/5/11 0:00:00","PubModel":"Epub","JCR":"Q3","JCRName":"Dentistry","Score":null,"Total":0}
引用次数: 0

摘要

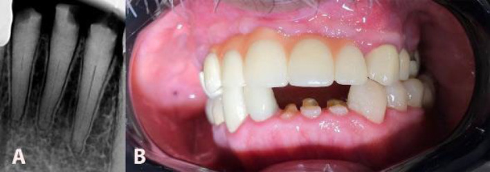
美国牙髓学协会将髓管闭塞(PCO)病例的处理列为高风险困难。这种分类表明程序错误的可能性增加了。然而,牙科技术的进步简化了钙化牙齿的牙髓治疗。引导牙髓学使用锥形束计算机断层扫描(CBCT)和三维(3D)打印机来创建针对患者的指南,提高了复杂病例的准确性和可预测性。一名健康的60岁男性由一名修复医生转介对23号、24号和25号牙齿进行根管治疗。根尖周x线检查显示所有牙齿均有部分PCO。选择牙髓治疗后,利用CBCT成像和口腔内3D扫描设计患者特异性牙髓治疗指南。在验证了内导器的稳定性后,使用Munce Discovery钻头制备了通道腔。在运河协商之后,确定了工作长度。根管治疗使用25/0.04%旋转锉和次氯酸钠冲洗。采用热冷凝技术完成封闭。虽然PCO存在,但治疗过程中未发生并发症。牙齿保持完全无症状和功能,表明治疗成功。引导牙髓治疗是治疗下颌骨PCO的一种实用且可预测的方法。该技术提供了准确的根管定位,减少了程序错误,并保留了牙齿结构。尽管担心成本、辐射暴露和解剖学变异的挑战,但它代表了根管治疗的一个有希望的进步。
本文章由计算机程序翻译,如有差异,请以英文原文为准。

Guided Endodontic Technique in Mandibular Incisors with Pulp Canal Obliteration: A Case Report.

Guided Endodontic Technique in Mandibular Incisors with Pulp Canal Obliteration: A Case Report.

Guided Endodontic Technique in Mandibular Incisors with Pulp Canal Obliteration: A Case Report.

Guided Endodontic Technique in Mandibular Incisors with Pulp Canal Obliteration: A Case Report.

The American Association of Endodontics classifies the management of pulp canal obliteration (PCO) cases as a high-risk difficulty. This classification indicates an increased likelihood of procedural errors. However, advancements in dental technology have simplified the endodontic treatment of calcified teeth. Guided endodontics uses cone-beam computed tomography (CBCT) and a three-dimensional (3D) printer to create a patient-specific guide, enhancing accuracy and predictability in complex cases. A healthy 60-year-old male was referred by a prosthodontist for root canal treatment on teeth #23, #24, and #25. Periapical radiographic examination revealed partial PCO in all teeth. After choosing guided endodontics treatment, CBCT imaging and intraoral 3D scanning were utilized to design a patient-specific endodontic guide. After verifying the stability of the endo-guide, access cavities were prepared using a Munce Discovery bur. Following the negotiation of the canals, the working length was determined. Root canal treatment was performed using rotary files up to size 25/0.04% and sodium hypochlorite irrigation. The obturation was completed using the warm condensation technique. Although PCO was present, no complications occurred during treatment. The teeth remained completely asymptomatic and functional, demonstrating the success of the treatment. Guided endodontics can be a practical and predictable approach for managing PCO in mandibular incisors. This technique provides accurate canal location, reduces procedural errors, and preserves tooth structure. Despite concerns about cost, radiation exposure, and challenges with anatomical variations, it represents a promising advancement in endodontic treatment.

求助全文
通过发布文献求助,成功后即可免费获取论文全文。 去求助
来源期刊
Iranian Endodontic Journal
Iranian Endodontic Journal Dentistry-Dentistry (all)
CiteScore
1.30
自引率
0.00%
发文量
0
审稿时长
12 weeks
期刊介绍: The Iranian Endodontic Journal (IEJ) is an international peer-reviewed biomedical publication, the aim of which is to provide a scientific medium of communication for researchers throughout the globe. IEJ aims to publish the highest quality articles, both clinical and scientific, on all aspects of Endodontics. The journal is an official Journal of the Iranian Center for Endodontic Research (ICER) and the Iranian Association of Endodontists (IAE). The Journal welcomes articles related to the scientific or applied aspects of endodontics e.g. original researches, systematic reviews, meta-analyses, review articles, clinical trials, case series/reports, hypotheses, letters to the editor, etc. From the beginning (i.e. since 2006), the IEJ was the first open access endodontic journal in the world, which gave readers free and instant access to published articles and enabling them faster discovery of the latest endodontic research.
×
引用
GB/T 7714-2015
复制
MLA
复制
APA
复制
导出至
BibTeX EndNote RefMan NoteFirst NoteExpress
×
提示
您的信息不完整,为了账户安全,请先补充。
现在去补充
×
提示
您因"违规操作"
具体请查看互助需知
我知道了
×
提示
确定
请完成安全验证×
copy
已复制链接
快去分享给好友吧!
我知道了
右上角分享
点击右上角分享
0
联系我们:info@booksci.cn Book学术提供免费学术资源搜索服务,方便国内外学者检索中英文文献。致力于提供最便捷和优质的服务体验。 Copyright © 2023 布克学术 All rights reserved.
京ICP备2023020795号-1
ghs 京公网安备 11010802042870号
Book学术文献互助
Book学术文献互助群
群 号:604180095
Book学术官方微信