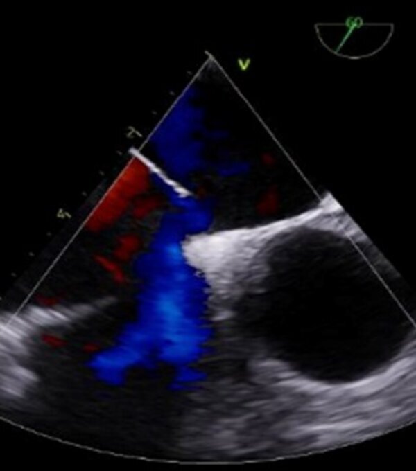
房间隔封堵器移至胸主动脉1例。

IF 1 Q4 PERIPHERAL VASCULAR DISEASE
Jornal Vascular Brasileiro Pub Date : 2025-07-28 eCollection Date: 2025-01-01 DOI:10.1590/1677-5449.202401062
Felipe Carrasco Ferreira Dionisio, Pedro Henrique Amaral Ângelo da Silva, Bruno Lima Moreira, Augusto Kreling Medeiros
{"title":"房间隔封堵器移至胸主动脉1例。","authors":"Felipe Carrasco Ferreira Dionisio, Pedro Henrique Amaral Ângelo da Silva, Bruno Lima Moreira, Augusto Kreling Medeiros","doi":"10.1590/1677-5449.202401062","DOIUrl":null,"url":null,"abstract":"<p><p>Atrial septal defect (ASD) is a common cardiac defect with significant implications if left untreated. Although open heart surgery is the traditional approach, transcatheter closure devices, such as the Amplatzer™ Septal Occluder Device, have gained prominence due to advantages like shorter hospital stays and reduced costs. Among potential complications, device migration is a rare complication, with an incidence of 0.5 to 1.1%. We report a rare case of migration of an Amplatzer™ device in an asymptomatic patient, diagnosed 6 months after its implantation. After detecting the issue, the medical team opted for percutaneous device removal followed by open surgery to correct the ASD. In conclusion, managing Amplatzer™ device embolization requires careful consideration of the patient's circumstances and device anatomy. This case highlights the importance of correlating clinical and imaging findings when selecting the management approach and assessing the feasibility of a less invasive approach in cases of late migration.</p>","PeriodicalId":14814,"journal":{"name":"Jornal Vascular Brasileiro","volume":"24 ","pages":"e20240106"},"PeriodicalIF":1.0000,"publicationDate":"2025-07-28","publicationTypes":"Journal Article","fieldsOfStudy":null,"isOpenAccess":false,"openAccessPdf":"https://www.ncbi.nlm.nih.gov/pmc/articles/PMC12315574/pdf/","citationCount":"0","resultStr":"{\"title\":\"Migration of atrial septal occluder device to the thoracic aorta: case report.\",\"authors\":\"Felipe Carrasco Ferreira Dionisio, Pedro Henrique Amaral Ângelo da Silva, Bruno Lima Moreira, Augusto Kreling Medeiros\",\"doi\":\"10.1590/1677-5449.202401062\",\"DOIUrl\":null,\"url\":null,\"abstract\":\"<p><p>Atrial septal defect (ASD) is a common cardiac defect with significant implications if left untreated. Although open heart surgery is the traditional approach, transcatheter closure devices, such as the Amplatzer™ Septal Occluder Device, have gained prominence due to advantages like shorter hospital stays and reduced costs. Among potential complications, device migration is a rare complication, with an incidence of 0.5 to 1.1%. We report a rare case of migration of an Amplatzer™ device in an asymptomatic patient, diagnosed 6 months after its implantation. After detecting the issue, the medical team opted for percutaneous device removal followed by open surgery to correct the ASD. In conclusion, managing Amplatzer™ device embolization requires careful consideration of the patient's circumstances and device anatomy. This case highlights the importance of correlating clinical and imaging findings when selecting the management approach and assessing the feasibility of a less invasive approach in cases of late migration.</p>\",\"PeriodicalId\":14814,\"journal\":{\"name\":\"Jornal Vascular Brasileiro\",\"volume\":\"24 \",\"pages\":\"e20240106\"},\"PeriodicalIF\":1.0000,\"publicationDate\":\"2025-07-28\",\"publicationTypes\":\"Journal Article\",\"fieldsOfStudy\":null,\"isOpenAccess\":false,\"openAccessPdf\":\"https://www.ncbi.nlm.nih.gov/pmc/articles/PMC12315574/pdf/\",\"citationCount\":\"0\",\"resultStr\":null,\"platform\":\"Semanticscholar\",\"paperid\":null,\"PeriodicalName\":\"Jornal Vascular Brasileiro\",\"FirstCategoryId\":\"1085\",\"ListUrlMain\":\"https://doi.org/10.1590/1677-5449.202401062\",\"RegionNum\":0,\"RegionCategory\":null,\"ArticlePicture\":[],\"TitleCN\":null,\"AbstractTextCN\":null,\"PMCID\":null,\"EPubDate\":\"2025/1/1 0:00:00\",\"PubModel\":\"eCollection\",\"JCR\":\"Q4\",\"JCRName\":\"PERIPHERAL VASCULAR DISEASE\",\"Score\":null,\"Total\":0}","platform":"Semanticscholar","paperid":null,"PeriodicalName":"Jornal Vascular Brasileiro","FirstCategoryId":"1085","ListUrlMain":"https://doi.org/10.1590/1677-5449.202401062","RegionNum":0,"RegionCategory":null,"ArticlePicture":[],"TitleCN":null,"AbstractTextCN":null,"PMCID":null,"EPubDate":"2025/1/1 0:00:00","PubModel":"eCollection","JCR":"Q4","JCRName":"PERIPHERAL VASCULAR DISEASE","Score":null,"Total":0}
引用次数: 0

摘要

房间隔缺损(ASD)是一种常见的心脏缺陷,如果不及时治疗,会产生重大影响。虽然心内直视手术是传统的方法,但经导管封闭装置,如Amplatzer™中隔闭塞装置,由于其缩短住院时间和降低成本等优势而获得了突出的地位。在潜在的并发症中,器械移位是一种罕见的并发症,发生率为0.5 - 1.1%。我们报告一个罕见的病例迁移的Amplatzer™装置在无症状患者,诊断6个月后其植入。在发现问题后,医疗团队选择了经皮切除装置,然后进行开放手术来纠正ASD。总之,管理Amplatzer™设备栓塞需要仔细考虑患者的情况和设备的解剖结构。该病例强调了在选择治疗方法和评估微创治疗晚期迁移的可行性时,将临床和影像学结果相关联的重要性。
本文章由计算机程序翻译,如有差异,请以英文原文为准。

Migration of atrial septal occluder device to the thoracic aorta: case report.

Migration of atrial septal occluder device to the thoracic aorta: case report.

Migration of atrial septal occluder device to the thoracic aorta: case report.

Migration of atrial septal occluder device to the thoracic aorta: case report.

Atrial septal defect (ASD) is a common cardiac defect with significant implications if left untreated. Although open heart surgery is the traditional approach, transcatheter closure devices, such as the Amplatzer™ Septal Occluder Device, have gained prominence due to advantages like shorter hospital stays and reduced costs. Among potential complications, device migration is a rare complication, with an incidence of 0.5 to 1.1%. We report a rare case of migration of an Amplatzer™ device in an asymptomatic patient, diagnosed 6 months after its implantation. After detecting the issue, the medical team opted for percutaneous device removal followed by open surgery to correct the ASD. In conclusion, managing Amplatzer™ device embolization requires careful consideration of the patient's circumstances and device anatomy. This case highlights the importance of correlating clinical and imaging findings when selecting the management approach and assessing the feasibility of a less invasive approach in cases of late migration.

求助全文
通过发布文献求助,成功后即可免费获取论文全文。 去求助
来源期刊
Jornal Vascular Brasileiro
Jornal Vascular Brasileiro Medicine-Cardiology and Cardiovascular Medicine
CiteScore
1.20
自引率
0.00%
发文量
57
审稿时长
20 weeks
期刊介绍: The Jornal Vascular Brasileiro is editated and published quaterly to select and disseminate high-quality scientific contents concerning original research, novel surgical and diagnostic techniques, and clinical observations in the field of vascular surgery, angiology, and endovascular surgery. Its abbreviated title is J. Vasc. Bras., which should be used in bibliographies, footnotes and bibliographical references and strips.
×
引用
GB/T 7714-2015
复制
MLA
复制
APA
复制
导出至
BibTeX EndNote RefMan NoteFirst NoteExpress
×
提示
您的信息不完整,为了账户安全,请先补充。
现在去补充
×
提示
您因"违规操作"
具体请查看互助需知
我知道了
×
提示
确定
请完成安全验证×
copy
已复制链接
快去分享给好友吧!
我知道了
右上角分享
点击右上角分享
0
联系我们:info@booksci.cn Book学术提供免费学术资源搜索服务,方便国内外学者检索中英文文献。致力于提供最便捷和优质的服务体验。 Copyright © 2023 布克学术 All rights reserved.
京ICP备2023020795号-1
ghs 京公网安备 11010802042870号
Book学术文献互助
Book学术文献互助群
群 号:604180095
Book学术官方微信