渗透性脱髓鞘综合征2例临床表现分析。

IF 0.7 Q3 MEDICINE, GENERAL & INTERNAL
International Medical Case Reports Journal Pub Date : 2025-07-30 eCollection Date: 2025-01-01 DOI:10.2147/IMCRJ.S532153
Noon Elimam, Eman Elimam, Victoria Krylova, Oleg Lobanov, Larysa Panteleienko
{"title":"渗透性脱髓鞘综合征2例临床表现分析。","authors":"Noon Elimam, Eman Elimam, Victoria Krylova, Oleg Lobanov, Larysa Panteleienko","doi":"10.2147/IMCRJ.S532153","DOIUrl":null,"url":null,"abstract":"<p><p>Osmotic demyelination syndrome (ODS) is an emergency acute neurological condition that usually occurs secondary to rapid correction of chronic hyponatremia (low concentration of sodium in the blood). We present two cases: one with typical ODS following rapid sodium correction, showing classic MRI findings in the pons and basal ganglia; and another with atypical ODS presenting with cranial nerve palsy and ataxia, despite normal sodium levels, and diffuse hyperintensities in the pons and medulla on MRI. These cases emphasize the clinical and radiological variability of ODS, highlighting the importance of careful monitoring and gradual correction of electrolytes, particularly sodium, in high-risk patients.</p>","PeriodicalId":14337,"journal":{"name":"International Medical Case Reports Journal","volume":"18 ","pages":"949-952"},"PeriodicalIF":0.7000,"publicationDate":"2025-07-30","publicationTypes":"Journal Article","fieldsOfStudy":null,"isOpenAccess":false,"openAccessPdf":"https://www.ncbi.nlm.nih.gov/pmc/articles/PMC12318515/pdf/","citationCount":"0","resultStr":"{\"title\":\"Phenotypic Manifestations in Two Cases of Osmotic Demyelination Syndrome.\",\"authors\":\"Noon Elimam, Eman Elimam, Victoria Krylova, Oleg Lobanov, Larysa Panteleienko\",\"doi\":\"10.2147/IMCRJ.S532153\",\"DOIUrl\":null,\"url\":null,\"abstract\":\"<p><p>Osmotic demyelination syndrome (ODS) is an emergency acute neurological condition that usually occurs secondary to rapid correction of chronic hyponatremia (low concentration of sodium in the blood). We present two cases: one with typical ODS following rapid sodium correction, showing classic MRI findings in the pons and basal ganglia; and another with atypical ODS presenting with cranial nerve palsy and ataxia, despite normal sodium levels, and diffuse hyperintensities in the pons and medulla on MRI. These cases emphasize the clinical and radiological variability of ODS, highlighting the importance of careful monitoring and gradual correction of electrolytes, particularly sodium, in high-risk patients.</p>\",\"PeriodicalId\":14337,\"journal\":{\"name\":\"International Medical Case Reports Journal\",\"volume\":\"18 \",\"pages\":\"949-952\"},\"PeriodicalIF\":0.7000,\"publicationDate\":\"2025-07-30\",\"publicationTypes\":\"Journal Article\",\"fieldsOfStudy\":null,\"isOpenAccess\":false,\"openAccessPdf\":\"https://www.ncbi.nlm.nih.gov/pmc/articles/PMC12318515/pdf/\",\"citationCount\":\"0\",\"resultStr\":null,\"platform\":\"Semanticscholar\",\"paperid\":null,\"PeriodicalName\":\"International Medical Case Reports Journal\",\"FirstCategoryId\":\"1085\",\"ListUrlMain\":\"https://doi.org/10.2147/IMCRJ.S532153\",\"RegionNum\":0,\"RegionCategory\":null,\"ArticlePicture\":[],\"TitleCN\":null,\"AbstractTextCN\":null,\"PMCID\":null,\"EPubDate\":\"2025/1/1 0:00:00\",\"PubModel\":\"eCollection\",\"JCR\":\"Q3\",\"JCRName\":\"MEDICINE, GENERAL & INTERNAL\",\"Score\":null,\"Total\":0}","platform":"Semanticscholar","paperid":null,"PeriodicalName":"International Medical Case Reports Journal","FirstCategoryId":"1085","ListUrlMain":"https://doi.org/10.2147/IMCRJ.S532153","RegionNum":0,"RegionCategory":null,"ArticlePicture":[],"TitleCN":null,"AbstractTextCN":null,"PMCID":null,"EPubDate":"2025/1/1 0:00:00","PubModel":"eCollection","JCR":"Q3","JCRName":"MEDICINE, GENERAL & INTERNAL","Score":null,"Total":0}
引用次数: 0

摘要

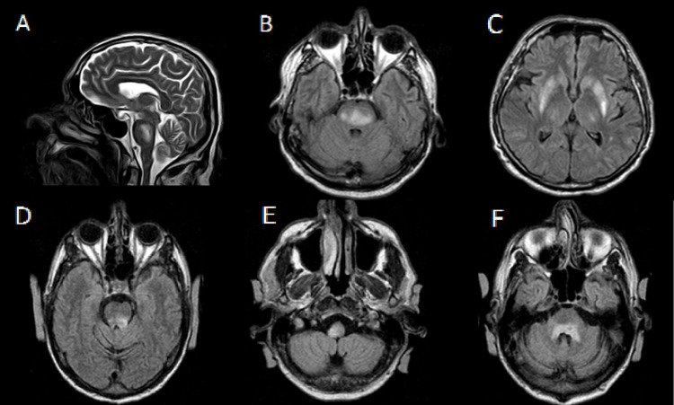
渗透性脱髓鞘综合征(ODS)是一种紧急急性神经系统疾病,通常继发于慢性低钠血症(血液中钠浓度低)的快速纠正。我们报告了两个病例:一个是快速钠校正后的典型ODS,在脑桥和基底节区表现出典型的MRI结果;另一例为非典型ODS,表现为脑神经麻痹和共济失调,尽管钠水平正常,MRI显示脑桥和髓质弥漫性高信号。这些病例强调了ODS的临床和放射学变异性,强调了在高危患者中仔细监测和逐渐纠正电解质(特别是钠)的重要性。
本文章由计算机程序翻译,如有差异,请以英文原文为准。

Phenotypic Manifestations in Two Cases of Osmotic Demyelination Syndrome.

Phenotypic Manifestations in Two Cases of Osmotic Demyelination Syndrome.

Osmotic demyelination syndrome (ODS) is an emergency acute neurological condition that usually occurs secondary to rapid correction of chronic hyponatremia (low concentration of sodium in the blood). We present two cases: one with typical ODS following rapid sodium correction, showing classic MRI findings in the pons and basal ganglia; and another with atypical ODS presenting with cranial nerve palsy and ataxia, despite normal sodium levels, and diffuse hyperintensities in the pons and medulla on MRI. These cases emphasize the clinical and radiological variability of ODS, highlighting the importance of careful monitoring and gradual correction of electrolytes, particularly sodium, in high-risk patients.

求助全文
通过发布文献求助,成功后即可免费获取论文全文。 去求助
来源期刊
International Medical Case Reports Journal
International Medical Case Reports Journal MEDICINE, GENERAL & INTERNAL-
CiteScore
1.40
自引率
0.00%
发文量
135
审稿时长
16 weeks
期刊介绍: International Medical Case Reports Journal is an international, peer-reviewed, open access, online journal publishing original case reports from all medical specialties. Submissions should not normally exceed 3,000 words or 4 published pages including figures, diagrams and references. As of 1st April 2019, the International Medical Case Reports Journal will no longer consider meta-analyses for publication.
×
引用
GB/T 7714-2015
复制
MLA
复制
APA
复制
导出至
BibTeX EndNote RefMan NoteFirst NoteExpress
×
提示
您的信息不完整,为了账户安全,请先补充。
现在去补充
×
提示
您因"违规操作"
具体请查看互助需知
我知道了
×
提示
确定
请完成安全验证×
copy
已复制链接
快去分享给好友吧!
我知道了
右上角分享
点击右上角分享
0
联系我们:info@booksci.cn Book学术提供免费学术资源搜索服务,方便国内外学者检索中英文文献。致力于提供最便捷和优质的服务体验。 Copyright © 2023 布克学术 All rights reserved.
京ICP备2023020795号-1
ghs 京公网安备 11010802042870号
Book学术文献互助
Book学术文献互助群
群 号:604180095
Book学术官方微信