105例毛瘤的临床特征、诊断挑战和治疗结果。

IF 2.2 4区 医学 Q3 DERMATOLOGY
Clinical, Cosmetic and Investigational Dermatology Pub Date : 2025-07-28 eCollection Date: 2025-01-01 DOI:10.2147/CCID.S518408
Changpei Lu, Rongshuang Zhang, Lingbo Bi, Ting Luo, Wenbing Lai, Weixin Fan, Haixia Jing
{"title":"105例毛瘤的临床特征、诊断挑战和治疗结果。","authors":"Changpei Lu, Rongshuang Zhang, Lingbo Bi, Ting Luo, Wenbing Lai, Weixin Fan, Haixia Jing","doi":"10.2147/CCID.S518408","DOIUrl":null,"url":null,"abstract":"<p><strong>Purpose: </strong>To conduct a retrospective review and analysis of clinical data on pilomatricoma over the past 9 years, with a focus on clinical characteristics, Diagnostic Challenges, and Therapeutic Outcomes.</p><p><strong>Patients and methods: </strong>We performed a retrospective study on patients diagnosed with pilomatricoma at our department from 2013 to 2022. Data collected from hospital and outpatient records, as well as pathological reports, included patient age, sex, onset, clinical and histopathological features, preoperative diagnosis, treatment methods, recurrence, and outcomes.</p><p><strong>Results: </strong>A total of 105 patients were included. The primary clinical manifestation was a slowly growing subcutaneous mass. The median age at excision was 14 years, with the youngest patient being 8 months old and the oldest 71 years old. Head and neck tumors accounted for 67.6% (n=71) of cases, followed by the upper limbs (20.9%, n=22), with other sites including the back and lower limbs. The male-to-female ratio was 1:1.6. Tumor diameter ranged from 0.4 to 5.0 cm, with a mean of 1.0 cm. Only one case exhibited recurrence. Differential diagnoses included epidermoid cyst, sebaceous cyst, and fibroma, among others. The characteristic histopathological features were eosinophilic ghost cells and basophilic basal-like cells arranged in irregular strands or clusters. The preoperative diagnosis was consistent with the pathological diagnosis in only 28 cases (26.7%). The optimal treatment approach is complete surgical excision, with a low recurrence rate of 1.0%. No cases of malignant transformation were observed.</p><p><strong>Conclusion: </strong>Pilomatricoma is a benign tumor with atypical morphology, often leading to misdiagnosis. Careful histopathological examination is crucial, and early excision demonstrates significant effectiveness in preventing recurrence.</p>","PeriodicalId":10447,"journal":{"name":"Clinical, Cosmetic and Investigational Dermatology","volume":"18 ","pages":"1801-1807"},"PeriodicalIF":2.2000,"publicationDate":"2025-07-28","publicationTypes":"Journal Article","fieldsOfStudy":null,"isOpenAccess":false,"openAccessPdf":"https://www.ncbi.nlm.nih.gov/pmc/articles/PMC12316045/pdf/","citationCount":"0","resultStr":"{\"title\":\"Clinical Features, Diagnostic Challenges, and Therapeutic Outcomes of 105 Pilomatricoma Cases.\",\"authors\":\"Changpei Lu, Rongshuang Zhang, Lingbo Bi, Ting Luo, Wenbing Lai, Weixin Fan, Haixia Jing\",\"doi\":\"10.2147/CCID.S518408\",\"DOIUrl\":null,\"url\":null,\"abstract\":\"<p><strong>Purpose: </strong>To conduct a retrospective review and analysis of clinical data on pilomatricoma over the past 9 years, with a focus on clinical characteristics, Diagnostic Challenges, and Therapeutic Outcomes.</p><p><strong>Patients and methods: </strong>We performed a retrospective study on patients diagnosed with pilomatricoma at our department from 2013 to 2022. Data collected from hospital and outpatient records, as well as pathological reports, included patient age, sex, onset, clinical and histopathological features, preoperative diagnosis, treatment methods, recurrence, and outcomes.</p><p><strong>Results: </strong>A total of 105 patients were included. The primary clinical manifestation was a slowly growing subcutaneous mass. The median age at excision was 14 years, with the youngest patient being 8 months old and the oldest 71 years old. Head and neck tumors accounted for 67.6% (n=71) of cases, followed by the upper limbs (20.9%, n=22), with other sites including the back and lower limbs. The male-to-female ratio was 1:1.6. Tumor diameter ranged from 0.4 to 5.0 cm, with a mean of 1.0 cm. Only one case exhibited recurrence. Differential diagnoses included epidermoid cyst, sebaceous cyst, and fibroma, among others. The characteristic histopathological features were eosinophilic ghost cells and basophilic basal-like cells arranged in irregular strands or clusters. The preoperative diagnosis was consistent with the pathological diagnosis in only 28 cases (26.7%). The optimal treatment approach is complete surgical excision, with a low recurrence rate of 1.0%. No cases of malignant transformation were observed.</p><p><strong>Conclusion: </strong>Pilomatricoma is a benign tumor with atypical morphology, often leading to misdiagnosis. Careful histopathological examination is crucial, and early excision demonstrates significant effectiveness in preventing recurrence.</p>\",\"PeriodicalId\":10447,\"journal\":{\"name\":\"Clinical, Cosmetic and Investigational Dermatology\",\"volume\":\"18 \",\"pages\":\"1801-1807\"},\"PeriodicalIF\":2.2000,\"publicationDate\":\"2025-07-28\",\"publicationTypes\":\"Journal Article\",\"fieldsOfStudy\":null,\"isOpenAccess\":false,\"openAccessPdf\":\"https://www.ncbi.nlm.nih.gov/pmc/articles/PMC12316045/pdf/\",\"citationCount\":\"0\",\"resultStr\":null,\"platform\":\"Semanticscholar\",\"paperid\":null,\"PeriodicalName\":\"Clinical, Cosmetic and Investigational Dermatology\",\"FirstCategoryId\":\"3\",\"ListUrlMain\":\"https://doi.org/10.2147/CCID.S518408\",\"RegionNum\":4,\"RegionCategory\":\"医学\",\"ArticlePicture\":[],\"TitleCN\":null,\"AbstractTextCN\":null,\"PMCID\":null,\"EPubDate\":\"2025/1/1 0:00:00\",\"PubModel\":\"eCollection\",\"JCR\":\"Q3\",\"JCRName\":\"DERMATOLOGY\",\"Score\":null,\"Total\":0}","platform":"Semanticscholar","paperid":null,"PeriodicalName":"Clinical, Cosmetic and Investigational Dermatology","FirstCategoryId":"3","ListUrlMain":"https://doi.org/10.2147/CCID.S518408","RegionNum":4,"RegionCategory":"医学","ArticlePicture":[],"TitleCN":null,"AbstractTextCN":null,"PMCID":null,"EPubDate":"2025/1/1 0:00:00","PubModel":"eCollection","JCR":"Q3","JCRName":"DERMATOLOGY","Score":null,"Total":0}
引用次数: 0

摘要

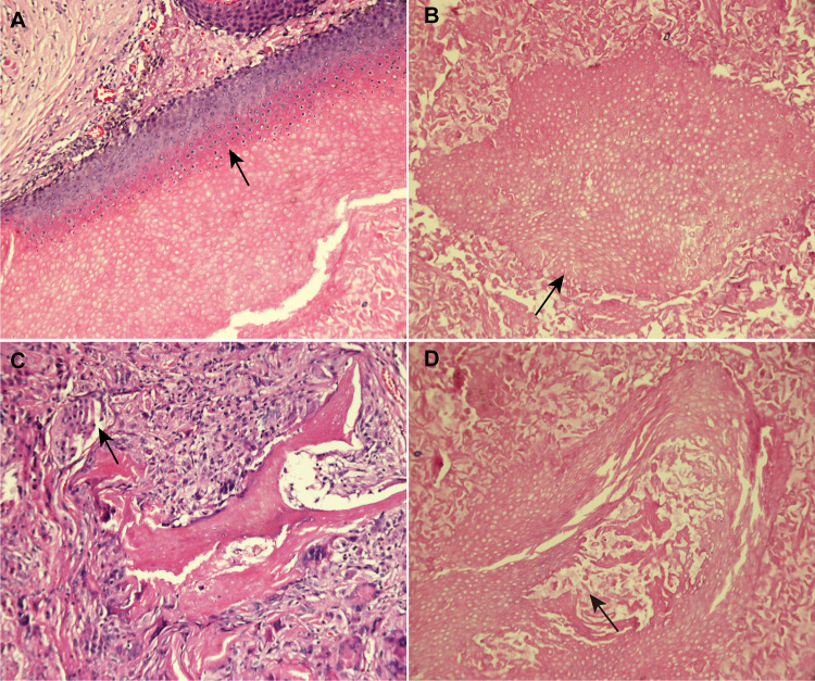
目的:回顾性分析近9年来头毛瘤的临床资料,重点分析临床特征、诊断挑战和治疗结果。患者和方法:我们对2013年至2022年在我科诊断为毛瘤的患者进行了回顾性研究。从医院和门诊记录以及病理报告中收集的数据包括患者的年龄、性别、发病、临床和组织病理学特征、术前诊断、治疗方法、复发和结局。结果:共纳入105例患者。主要临床表现为皮下缓慢生长的肿块。切除时的中位年龄为14岁,最小的患者为8个月大,最大的患者为71岁。头颈部肿瘤占67.6% (n=71),其次是上肢(20.9%,n=22),其他部位包括背部和下肢。男女比例为1:6 .6。肿瘤直径0.4 ~ 5.0 cm,平均1.0 cm。仅有1例复发。鉴别诊断包括表皮样囊肿、皮脂腺囊肿和纤维瘤等。组织病理学特征为嗜酸性鬼细胞和嗜碱性基底样细胞不规则排列。术前诊断与病理诊断相符者仅28例(26.7%)。最佳的治疗方法是完全手术切除,复发率低,为1.0%。未见恶性转化病例。结论:毛瘤是一种形态不典型的良性肿瘤,易误诊。仔细的组织病理学检查是至关重要的,早期切除对预防复发有显著的效果。
本文章由计算机程序翻译,如有差异,请以英文原文为准。

Clinical Features, Diagnostic Challenges, and Therapeutic Outcomes of 105 Pilomatricoma Cases.

Clinical Features, Diagnostic Challenges, and Therapeutic Outcomes of 105 Pilomatricoma Cases.

Clinical Features, Diagnostic Challenges, and Therapeutic Outcomes of 105 Pilomatricoma Cases.

Purpose: To conduct a retrospective review and analysis of clinical data on pilomatricoma over the past 9 years, with a focus on clinical characteristics, Diagnostic Challenges, and Therapeutic Outcomes.

Patients and methods: We performed a retrospective study on patients diagnosed with pilomatricoma at our department from 2013 to 2022. Data collected from hospital and outpatient records, as well as pathological reports, included patient age, sex, onset, clinical and histopathological features, preoperative diagnosis, treatment methods, recurrence, and outcomes.

Results: A total of 105 patients were included. The primary clinical manifestation was a slowly growing subcutaneous mass. The median age at excision was 14 years, with the youngest patient being 8 months old and the oldest 71 years old. Head and neck tumors accounted for 67.6% (n=71) of cases, followed by the upper limbs (20.9%, n=22), with other sites including the back and lower limbs. The male-to-female ratio was 1:1.6. Tumor diameter ranged from 0.4 to 5.0 cm, with a mean of 1.0 cm. Only one case exhibited recurrence. Differential diagnoses included epidermoid cyst, sebaceous cyst, and fibroma, among others. The characteristic histopathological features were eosinophilic ghost cells and basophilic basal-like cells arranged in irregular strands or clusters. The preoperative diagnosis was consistent with the pathological diagnosis in only 28 cases (26.7%). The optimal treatment approach is complete surgical excision, with a low recurrence rate of 1.0%. No cases of malignant transformation were observed.

Conclusion: Pilomatricoma is a benign tumor with atypical morphology, often leading to misdiagnosis. Careful histopathological examination is crucial, and early excision demonstrates significant effectiveness in preventing recurrence.

求助全文
通过发布文献求助,成功后即可免费获取论文全文。 去求助
来源期刊
CiteScore
2.80
自引率
4.30%
发文量
353
审稿时长
16 weeks
期刊介绍: Clinical, Cosmetic and Investigational Dermatology is an international, peer-reviewed, open access journal that focuses on the latest clinical and experimental research in all aspects of skin disease and cosmetic interventions. Normal and pathological processes in skin development and aging, their modification and treatment, as well as basic research into histology of dermal and dermal structures that provide clinical insights and potential treatment options are key topics for the journal. Patient satisfaction, preference, quality of life, compliance, persistence and their role in developing new management options to optimize outcomes for target conditions constitute major areas of interest. The journal is characterized by the rapid reporting of clinical studies, reviews and original research in skin research and skin care. All areas of dermatology will be covered; contributions will be welcomed from all clinicians and basic science researchers globally.
×
引用
GB/T 7714-2015
复制
MLA
复制
APA
复制
导出至
BibTeX EndNote RefMan NoteFirst NoteExpress
×
提示
您的信息不完整,为了账户安全,请先补充。
现在去补充
×
提示
您因"违规操作"
具体请查看互助需知
我知道了
×
提示
确定
请完成安全验证×
copy
已复制链接
快去分享给好友吧!
我知道了
右上角分享
点击右上角分享
0
联系我们:info@booksci.cn Book学术提供免费学术资源搜索服务,方便国内外学者检索中英文文献。致力于提供最便捷和优质的服务体验。 Copyright © 2023 布克学术 All rights reserved.
京ICP备2023020795号-1
ghs 京公网安备 11010802042870号
Book学术文献互助
Book学术文献互助群
群 号:604180095
Book学术官方微信