罕见的肾脏尤因肉瘤:1例报告。

IF 0.7 Q3 MEDICINE, GENERAL & INTERNAL
Case Reports in Medicine Pub Date : 2025-07-26 eCollection Date: 2025-01-01 DOI:10.1155/carm/2598222
Alina Baral, C B Pun, Binita Goyal, Subha Lamichhane
{"title":"罕见的肾脏尤因肉瘤:1例报告。","authors":"Alina Baral, C B Pun, Binita Goyal, Subha Lamichhane","doi":"10.1155/carm/2598222","DOIUrl":null,"url":null,"abstract":"<p><p>Ewing sarcoma is a small round cell tumor of uncertain differentiation, primarily originating in bone in children and adolescents. Ewing sarcoma of the kidney is a rare occurrence and follows an aggressive course with early metastasis. Herein, we present a case of a 16-year-old male presenting with abdominal pain and lump. He underwent nephrectomy and histopathological diagnosis of small round cell tumor with differential diagnosis of Ewing sarcoma was made which was further confirmed by immunohistochemistry. Thus, Ewing sarcoma must also be taken into consideration while dealing with tumors of the kidney in young age group.</p>","PeriodicalId":9627,"journal":{"name":"Case Reports in Medicine","volume":"2025 ","pages":"2598222"},"PeriodicalIF":0.7000,"publicationDate":"2025-07-26","publicationTypes":"Journal Article","fieldsOfStudy":null,"isOpenAccess":false,"openAccessPdf":"https://www.ncbi.nlm.nih.gov/pmc/articles/PMC12317806/pdf/","citationCount":"0","resultStr":"{\"title\":\"Ewing Sarcoma of the Kidney, a Rare Entity: Case Report.\",\"authors\":\"Alina Baral, C B Pun, Binita Goyal, Subha Lamichhane\",\"doi\":\"10.1155/carm/2598222\",\"DOIUrl\":null,\"url\":null,\"abstract\":\"<p><p>Ewing sarcoma is a small round cell tumor of uncertain differentiation, primarily originating in bone in children and adolescents. Ewing sarcoma of the kidney is a rare occurrence and follows an aggressive course with early metastasis. Herein, we present a case of a 16-year-old male presenting with abdominal pain and lump. He underwent nephrectomy and histopathological diagnosis of small round cell tumor with differential diagnosis of Ewing sarcoma was made which was further confirmed by immunohistochemistry. Thus, Ewing sarcoma must also be taken into consideration while dealing with tumors of the kidney in young age group.</p>\",\"PeriodicalId\":9627,\"journal\":{\"name\":\"Case Reports in Medicine\",\"volume\":\"2025 \",\"pages\":\"2598222\"},\"PeriodicalIF\":0.7000,\"publicationDate\":\"2025-07-26\",\"publicationTypes\":\"Journal Article\",\"fieldsOfStudy\":null,\"isOpenAccess\":false,\"openAccessPdf\":\"https://www.ncbi.nlm.nih.gov/pmc/articles/PMC12317806/pdf/\",\"citationCount\":\"0\",\"resultStr\":null,\"platform\":\"Semanticscholar\",\"paperid\":null,\"PeriodicalName\":\"Case Reports in Medicine\",\"FirstCategoryId\":\"1085\",\"ListUrlMain\":\"https://doi.org/10.1155/carm/2598222\",\"RegionNum\":0,\"RegionCategory\":null,\"ArticlePicture\":[],\"TitleCN\":null,\"AbstractTextCN\":null,\"PMCID\":null,\"EPubDate\":\"2025/1/1 0:00:00\",\"PubModel\":\"eCollection\",\"JCR\":\"Q3\",\"JCRName\":\"MEDICINE, GENERAL & INTERNAL\",\"Score\":null,\"Total\":0}","platform":"Semanticscholar","paperid":null,"PeriodicalName":"Case Reports in Medicine","FirstCategoryId":"1085","ListUrlMain":"https://doi.org/10.1155/carm/2598222","RegionNum":0,"RegionCategory":null,"ArticlePicture":[],"TitleCN":null,"AbstractTextCN":null,"PMCID":null,"EPubDate":"2025/1/1 0:00:00","PubModel":"eCollection","JCR":"Q3","JCRName":"MEDICINE, GENERAL & INTERNAL","Score":null,"Total":0}
引用次数: 0

摘要

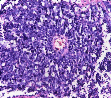
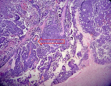
尤文氏肉瘤是一种分化不明确的小圆细胞肿瘤,主要起源于儿童和青少年的骨骼。肾脏尤文氏肉瘤是一种罕见的肿瘤,具有早期转移的侵袭性病程。在此,我们提出一个16岁的男性表现为腹痛和肿块。行肾切除术,组织病理诊断为小圆细胞瘤,鉴别诊断为尤因肉瘤,免疫组化进一步证实。因此,在处理年轻年龄组肾脏肿瘤时,也必须考虑尤因肉瘤。
本文章由计算机程序翻译,如有差异,请以英文原文为准。

Ewing Sarcoma of the Kidney, a Rare Entity: Case Report.

Ewing Sarcoma of the Kidney, a Rare Entity: Case Report.

Ewing Sarcoma of the Kidney, a Rare Entity: Case Report.

Ewing sarcoma is a small round cell tumor of uncertain differentiation, primarily originating in bone in children and adolescents. Ewing sarcoma of the kidney is a rare occurrence and follows an aggressive course with early metastasis. Herein, we present a case of a 16-year-old male presenting with abdominal pain and lump. He underwent nephrectomy and histopathological diagnosis of small round cell tumor with differential diagnosis of Ewing sarcoma was made which was further confirmed by immunohistochemistry. Thus, Ewing sarcoma must also be taken into consideration while dealing with tumors of the kidney in young age group.

求助全文
通过发布文献求助,成功后即可免费获取论文全文。 去求助
来源期刊
Case Reports in Medicine
Case Reports in Medicine MEDICINE, GENERAL & INTERNAL-
CiteScore
1.70
自引率
0.00%
发文量
53
审稿时长
13 weeks
×
引用
GB/T 7714-2015
复制
MLA
复制
APA
复制
导出至
BibTeX EndNote RefMan NoteFirst NoteExpress
×
提示
您的信息不完整,为了账户安全,请先补充。
现在去补充
×
提示
您因"违规操作"
具体请查看互助需知
我知道了
×
提示
确定
请完成安全验证×
copy
已复制链接
快去分享给好友吧!
我知道了
右上角分享
点击右上角分享
0
联系我们:info@booksci.cn Book学术提供免费学术资源搜索服务,方便国内外学者检索中英文文献。致力于提供最便捷和优质的服务体验。 Copyright © 2023 布克学术 All rights reserved.
京ICP备2023020795号-1
ghs 京公网安备 11010802042870号
Book学术文献互助
Book学术文献互助群
群 号:604180095
Book学术官方微信