乳腺癌向蝶窦转移的罕见病例:诊断和治疗。

IF 0.7 Q4 ONCOLOGY
Case Reports in Oncology Pub Date : 2025-07-08 eCollection Date: 2025-01-01 DOI:10.1159/000546040
Nazirah Baharudin, Hardip Singh Gendeh, Muhammad Amir Hashim, Noor Elyana Ahmad Fawzi, Hemlata Kumari Gnanasegaram
{"title":"乳腺癌向蝶窦转移的罕见病例:诊断和治疗。","authors":"Nazirah Baharudin, Hardip Singh Gendeh, Muhammad Amir Hashim, Noor Elyana Ahmad Fawzi, Hemlata Kumari Gnanasegaram","doi":"10.1159/000546040","DOIUrl":null,"url":null,"abstract":"<p><strong>Introduction: </strong>Breast cancer (BC) is the most common cancer among women worldwide. While metastases typically affect the lungs, liver, and bones, spread to the paranasal sinuses, especially the sphenoid sinus, is extremely rare.</p><p><strong>Case report: </strong>A 57-year-old woman with a history of infiltrative ductal carcinoma of the breast diagnosed 12 years earlier presented with progressive left-sided vision blurring and headaches for 3 weeks. Imaging revealed a heterogeneous lesion in the left sphenoid sinus compressing the optic nerve. The metastatic breast carcinoma with histopathological and immunohistochemical profiles matching the primary tumour was confirmed by biopsy. Because of the lesion's unresectable nature and additional metastases to the bones and lungs, palliative treatment was initiated, consisting of intensity-modulated radiation therapy and systemic therapy with abemaciclib and letrozole. After treatment, the patient's vision improved, and follow-up imaging showed reduced lesion size.</p><p><strong>Conclusion: </strong>Metastasis of BC in the sphenoid sinus is rare; it can occur even after a prolonged remission period. This case highlights the need for maintaining a high index of suspicion in patients with a history of malignancy who present with unusual orbital or sinonasal symptoms. Early diagnosis prior to the multidisciplinary treatment approach can help to improve patient outcome.</p>","PeriodicalId":9625,"journal":{"name":"Case Reports in Oncology","volume":"18 1","pages":"1040-1049"},"PeriodicalIF":0.7000,"publicationDate":"2025-07-08","publicationTypes":"Journal Article","fieldsOfStudy":null,"isOpenAccess":false,"openAccessPdf":"https://www.ncbi.nlm.nih.gov/pmc/articles/PMC12316449/pdf/","citationCount":"0","resultStr":"{\"title\":\"Rare Case of Metastatic Breast Cancer to the Sphenoid Sinus: Diagnosis and Treatment.\",\"authors\":\"Nazirah Baharudin, Hardip Singh Gendeh, Muhammad Amir Hashim, Noor Elyana Ahmad Fawzi, Hemlata Kumari Gnanasegaram\",\"doi\":\"10.1159/000546040\",\"DOIUrl\":null,\"url\":null,\"abstract\":\"<p><strong>Introduction: </strong>Breast cancer (BC) is the most common cancer among women worldwide. While metastases typically affect the lungs, liver, and bones, spread to the paranasal sinuses, especially the sphenoid sinus, is extremely rare.</p><p><strong>Case report: </strong>A 57-year-old woman with a history of infiltrative ductal carcinoma of the breast diagnosed 12 years earlier presented with progressive left-sided vision blurring and headaches for 3 weeks. Imaging revealed a heterogeneous lesion in the left sphenoid sinus compressing the optic nerve. The metastatic breast carcinoma with histopathological and immunohistochemical profiles matching the primary tumour was confirmed by biopsy. Because of the lesion's unresectable nature and additional metastases to the bones and lungs, palliative treatment was initiated, consisting of intensity-modulated radiation therapy and systemic therapy with abemaciclib and letrozole. After treatment, the patient's vision improved, and follow-up imaging showed reduced lesion size.</p><p><strong>Conclusion: </strong>Metastasis of BC in the sphenoid sinus is rare; it can occur even after a prolonged remission period. This case highlights the need for maintaining a high index of suspicion in patients with a history of malignancy who present with unusual orbital or sinonasal symptoms. Early diagnosis prior to the multidisciplinary treatment approach can help to improve patient outcome.</p>\",\"PeriodicalId\":9625,\"journal\":{\"name\":\"Case Reports in Oncology\",\"volume\":\"18 1\",\"pages\":\"1040-1049\"},\"PeriodicalIF\":0.7000,\"publicationDate\":\"2025-07-08\",\"publicationTypes\":\"Journal Article\",\"fieldsOfStudy\":null,\"isOpenAccess\":false,\"openAccessPdf\":\"https://www.ncbi.nlm.nih.gov/pmc/articles/PMC12316449/pdf/\",\"citationCount\":\"0\",\"resultStr\":null,\"platform\":\"Semanticscholar\",\"paperid\":null,\"PeriodicalName\":\"Case Reports in Oncology\",\"FirstCategoryId\":\"1085\",\"ListUrlMain\":\"https://doi.org/10.1159/000546040\",\"RegionNum\":0,\"RegionCategory\":null,\"ArticlePicture\":[],\"TitleCN\":null,\"AbstractTextCN\":null,\"PMCID\":null,\"EPubDate\":\"2025/1/1 0:00:00\",\"PubModel\":\"eCollection\",\"JCR\":\"Q4\",\"JCRName\":\"ONCOLOGY\",\"Score\":null,\"Total\":0}","platform":"Semanticscholar","paperid":null,"PeriodicalName":"Case Reports in Oncology","FirstCategoryId":"1085","ListUrlMain":"https://doi.org/10.1159/000546040","RegionNum":0,"RegionCategory":null,"ArticlePicture":[],"TitleCN":null,"AbstractTextCN":null,"PMCID":null,"EPubDate":"2025/1/1 0:00:00","PubModel":"eCollection","JCR":"Q4","JCRName":"ONCOLOGY","Score":null,"Total":0}
引用次数: 0

摘要

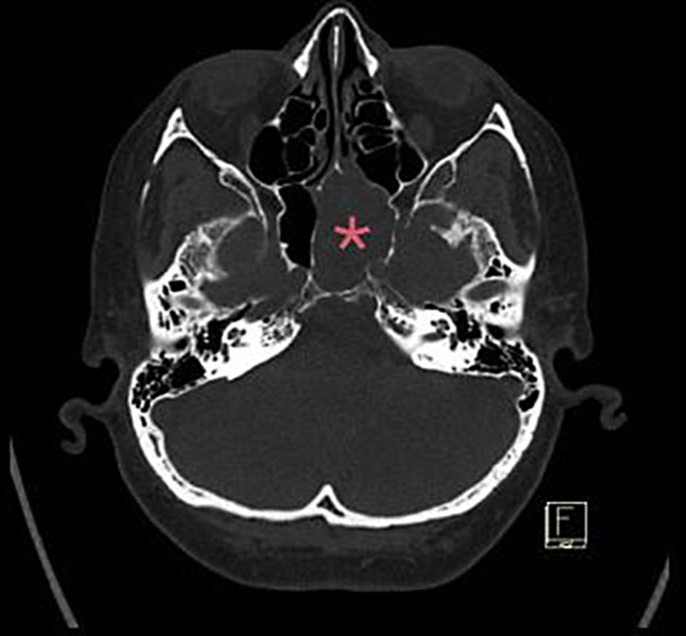
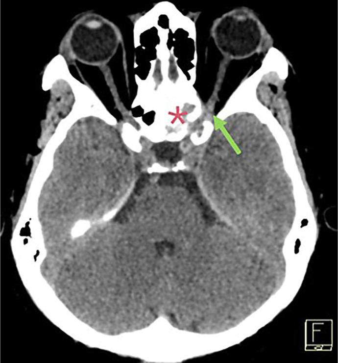
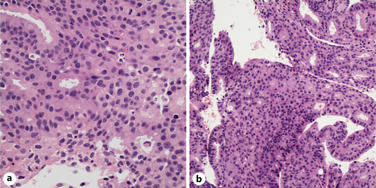
乳腺癌(BC)是全世界女性中最常见的癌症。虽然转移瘤通常影响肺、肝和骨骼,但转移到鼻窦,尤其是蝶窦,是极其罕见的。病例报告:一名57岁女性,12年前诊断为乳腺浸润性导管癌病史,表现为进行性左侧视力模糊和头痛3周。影像学显示左侧蝶窦有异质病变压迫视神经。组织病理学和免疫组织化学特征与原发肿瘤相匹配的转移性乳腺癌经活检证实。由于病变的不可切除性和额外的骨和肺转移,姑息治疗开始,包括强度调节放射治疗和全身治疗阿贝马昔利布和来曲唑。治疗后,患者视力改善,随访影像显示病变缩小。结论:BC在蝶窦转移较为少见;即使在很长一段缓解期后也可能发生。本病例强调了对有恶性肿瘤病史且有异常眼眶或鼻窦症状的患者保持高度怀疑的必要性。在多学科治疗方法之前的早期诊断有助于改善患者的预后。
本文章由计算机程序翻译,如有差异,请以英文原文为准。

Rare Case of Metastatic Breast Cancer to the Sphenoid Sinus: Diagnosis and Treatment.

Rare Case of Metastatic Breast Cancer to the Sphenoid Sinus: Diagnosis and Treatment.

Rare Case of Metastatic Breast Cancer to the Sphenoid Sinus: Diagnosis and Treatment.

Rare Case of Metastatic Breast Cancer to the Sphenoid Sinus: Diagnosis and Treatment.

Introduction: Breast cancer (BC) is the most common cancer among women worldwide. While metastases typically affect the lungs, liver, and bones, spread to the paranasal sinuses, especially the sphenoid sinus, is extremely rare.

Case report: A 57-year-old woman with a history of infiltrative ductal carcinoma of the breast diagnosed 12 years earlier presented with progressive left-sided vision blurring and headaches for 3 weeks. Imaging revealed a heterogeneous lesion in the left sphenoid sinus compressing the optic nerve. The metastatic breast carcinoma with histopathological and immunohistochemical profiles matching the primary tumour was confirmed by biopsy. Because of the lesion's unresectable nature and additional metastases to the bones and lungs, palliative treatment was initiated, consisting of intensity-modulated radiation therapy and systemic therapy with abemaciclib and letrozole. After treatment, the patient's vision improved, and follow-up imaging showed reduced lesion size.

Conclusion: Metastasis of BC in the sphenoid sinus is rare; it can occur even after a prolonged remission period. This case highlights the need for maintaining a high index of suspicion in patients with a history of malignancy who present with unusual orbital or sinonasal symptoms. Early diagnosis prior to the multidisciplinary treatment approach can help to improve patient outcome.

求助全文
通过发布文献求助,成功后即可免费获取论文全文。 去求助
来源期刊
CiteScore
1.40
自引率
12.50%
发文量
151
审稿时长
7 weeks
×
引用
GB/T 7714-2015
复制
MLA
复制
APA
复制
导出至
BibTeX EndNote RefMan NoteFirst NoteExpress
×
提示
您的信息不完整,为了账户安全,请先补充。
现在去补充
×
提示
您因"违规操作"
具体请查看互助需知
我知道了
×
提示
确定
请完成安全验证×
copy
已复制链接
快去分享给好友吧!
我知道了
右上角分享
点击右上角分享
0
联系我们:info@booksci.cn Book学术提供免费学术资源搜索服务,方便国内外学者检索中英文文献。致力于提供最便捷和优质的服务体验。 Copyright © 2023 布克学术 All rights reserved.
京ICP备2023020795号-1
ghs 京公网安备 11010802042870号
Book学术文献互助
Book学术文献互助群
群 号:604180095
Book学术官方微信