组织细胞肿瘤中PDL1的表达及预后。

IF 0.7 Q4 ONCOLOGY
Case Reports in Oncology Pub Date : 2025-07-03 eCollection Date: 2025-01-01 DOI:10.1159/000546447
Matthew J Moon, Mohammed M Milhem, John M Rieth
{"title":"组织细胞肿瘤中PDL1的表达及预后。","authors":"Matthew J Moon, Mohammed M Milhem, John M Rieth","doi":"10.1159/000546447","DOIUrl":null,"url":null,"abstract":"<p><strong>Introduction: </strong>Histiocytic sarcoma (HS) and interdigitating dendritic cell sarcoma (IDCS) are both extremely rare and aggressive histiocytic neoplasms that are most often treated with lymphoma-based chemotherapy; however, there is growing use of immune checkpoint inhibitors (ICI) in the second- or further-line settings as prognosis is typically poor in these neoplasms.</p><p><strong>Case presentations: </strong>We describe two cases: first, HS in a 60-year-old man with primary tumor in the right anterior lower limb, and second, IDCS in an 82-year-old man in the right para-parotid region after initial wide local excision of a right postauricular mass suggestive of a pleomorphic undifferentiated sarcoma. Systemic imaging showed retroperitoneal, inguinal, and pelvic adenopathy in the first case and no distant metastases in the second case. Both were diagnosed via biopsy with extensive immunohistochemistry and were also found to be strongly positive on PDL1 testing. Treatment was initiated with ICIs in both patients, which was paired with palliative radiotherapy for the HS patient. Both cases exhibited a durable response to treatment upon repeated systemic imaging.</p><p><strong>Conclusion: </strong>To our knowledge, these are the first-reported cases of the use of ICIs in the first-line setting in these histiocytic neoplasms and highlight their efficacy. The significant elevation in PDL1 expression seen in both cases may serve as a potential biomarker of excellent response in these neoplasms.</p>","PeriodicalId":9625,"journal":{"name":"Case Reports in Oncology","volume":"18 1","pages":"1050-1056"},"PeriodicalIF":0.7000,"publicationDate":"2025-07-03","publicationTypes":"Journal Article","fieldsOfStudy":null,"isOpenAccess":false,"openAccessPdf":"https://www.ncbi.nlm.nih.gov/pmc/articles/PMC12316448/pdf/","citationCount":"0","resultStr":"{\"title\":\"PDL1 Expression and Outcomes in Histiocytic Neoplasms.\",\"authors\":\"Matthew J Moon, Mohammed M Milhem, John M Rieth\",\"doi\":\"10.1159/000546447\",\"DOIUrl\":null,\"url\":null,\"abstract\":\"<p><strong>Introduction: </strong>Histiocytic sarcoma (HS) and interdigitating dendritic cell sarcoma (IDCS) are both extremely rare and aggressive histiocytic neoplasms that are most often treated with lymphoma-based chemotherapy; however, there is growing use of immune checkpoint inhibitors (ICI) in the second- or further-line settings as prognosis is typically poor in these neoplasms.</p><p><strong>Case presentations: </strong>We describe two cases: first, HS in a 60-year-old man with primary tumor in the right anterior lower limb, and second, IDCS in an 82-year-old man in the right para-parotid region after initial wide local excision of a right postauricular mass suggestive of a pleomorphic undifferentiated sarcoma. Systemic imaging showed retroperitoneal, inguinal, and pelvic adenopathy in the first case and no distant metastases in the second case. Both were diagnosed via biopsy with extensive immunohistochemistry and were also found to be strongly positive on PDL1 testing. Treatment was initiated with ICIs in both patients, which was paired with palliative radiotherapy for the HS patient. Both cases exhibited a durable response to treatment upon repeated systemic imaging.</p><p><strong>Conclusion: </strong>To our knowledge, these are the first-reported cases of the use of ICIs in the first-line setting in these histiocytic neoplasms and highlight their efficacy. The significant elevation in PDL1 expression seen in both cases may serve as a potential biomarker of excellent response in these neoplasms.</p>\",\"PeriodicalId\":9625,\"journal\":{\"name\":\"Case Reports in Oncology\",\"volume\":\"18 1\",\"pages\":\"1050-1056\"},\"PeriodicalIF\":0.7000,\"publicationDate\":\"2025-07-03\",\"publicationTypes\":\"Journal Article\",\"fieldsOfStudy\":null,\"isOpenAccess\":false,\"openAccessPdf\":\"https://www.ncbi.nlm.nih.gov/pmc/articles/PMC12316448/pdf/\",\"citationCount\":\"0\",\"resultStr\":null,\"platform\":\"Semanticscholar\",\"paperid\":null,\"PeriodicalName\":\"Case Reports in Oncology\",\"FirstCategoryId\":\"1085\",\"ListUrlMain\":\"https://doi.org/10.1159/000546447\",\"RegionNum\":0,\"RegionCategory\":null,\"ArticlePicture\":[],\"TitleCN\":null,\"AbstractTextCN\":null,\"PMCID\":null,\"EPubDate\":\"2025/1/1 0:00:00\",\"PubModel\":\"eCollection\",\"JCR\":\"Q4\",\"JCRName\":\"ONCOLOGY\",\"Score\":null,\"Total\":0}","platform":"Semanticscholar","paperid":null,"PeriodicalName":"Case Reports in Oncology","FirstCategoryId":"1085","ListUrlMain":"https://doi.org/10.1159/000546447","RegionNum":0,"RegionCategory":null,"ArticlePicture":[],"TitleCN":null,"AbstractTextCN":null,"PMCID":null,"EPubDate":"2025/1/1 0:00:00","PubModel":"eCollection","JCR":"Q4","JCRName":"ONCOLOGY","Score":null,"Total":0}
引用次数: 0

摘要

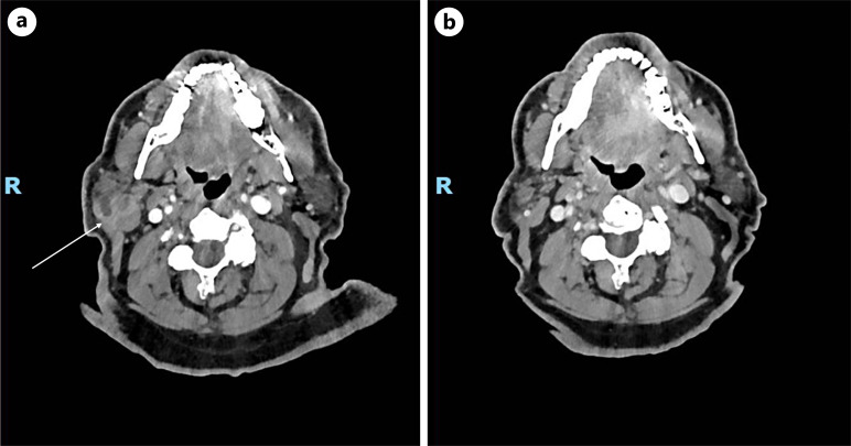
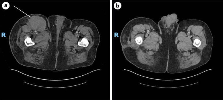
组织细胞肉瘤(HS)和间指树突状细胞肉瘤(IDCS)都是极为罕见的侵袭性组织细胞肿瘤,最常采用淋巴瘤化疗治疗;然而,由于这些肿瘤的预后通常较差,在二线或二线治疗中越来越多地使用免疫检查点抑制剂(ICI)。病例报告:我们描述了两个病例:第一,60岁男性右侧前下肢原发肿瘤的HS;第二,82岁男性右侧腮腺旁区,在最初广泛局部切除右侧耳后肿块后提示多形性未分化肉瘤的IDCS。全身性影像学显示第一例为腹膜后、腹股沟及盆腔腺病变,第二例无远处转移。两者都是通过广泛的免疫组织化学活检诊断出来的,并且在PDL1检测中也发现了强烈的阳性。两例患者均开始使用ICIs治疗,同时对HS患者进行姑息性放疗。两例均表现出对反复全身显像治疗的持久反应。结论:据我们所知,这是首次报道的在这些组织细胞肿瘤的一线使用ICIs的病例,并突出了其疗效。在这两种情况下,PDL1表达的显著升高可能是这些肿瘤良好反应的潜在生物标志物。
本文章由计算机程序翻译,如有差异,请以英文原文为准。

PDL1 Expression and Outcomes in Histiocytic Neoplasms.

PDL1 Expression and Outcomes in Histiocytic Neoplasms.

PDL1 Expression and Outcomes in Histiocytic Neoplasms.

PDL1 Expression and Outcomes in Histiocytic Neoplasms.

Introduction: Histiocytic sarcoma (HS) and interdigitating dendritic cell sarcoma (IDCS) are both extremely rare and aggressive histiocytic neoplasms that are most often treated with lymphoma-based chemotherapy; however, there is growing use of immune checkpoint inhibitors (ICI) in the second- or further-line settings as prognosis is typically poor in these neoplasms.

Case presentations: We describe two cases: first, HS in a 60-year-old man with primary tumor in the right anterior lower limb, and second, IDCS in an 82-year-old man in the right para-parotid region after initial wide local excision of a right postauricular mass suggestive of a pleomorphic undifferentiated sarcoma. Systemic imaging showed retroperitoneal, inguinal, and pelvic adenopathy in the first case and no distant metastases in the second case. Both were diagnosed via biopsy with extensive immunohistochemistry and were also found to be strongly positive on PDL1 testing. Treatment was initiated with ICIs in both patients, which was paired with palliative radiotherapy for the HS patient. Both cases exhibited a durable response to treatment upon repeated systemic imaging.

Conclusion: To our knowledge, these are the first-reported cases of the use of ICIs in the first-line setting in these histiocytic neoplasms and highlight their efficacy. The significant elevation in PDL1 expression seen in both cases may serve as a potential biomarker of excellent response in these neoplasms.

求助全文
通过发布文献求助,成功后即可免费获取论文全文。 去求助
来源期刊
CiteScore
1.40
自引率
12.50%
发文量
151
审稿时长
7 weeks
×
引用
GB/T 7714-2015
复制
MLA
复制
APA
复制
导出至
BibTeX EndNote RefMan NoteFirst NoteExpress
×
提示
您的信息不完整,为了账户安全,请先补充。
现在去补充
×
提示
您因"违规操作"
具体请查看互助需知
我知道了
×
提示
确定
请完成安全验证×
copy
已复制链接
快去分享给好友吧!
我知道了
右上角分享
点击右上角分享
0
联系我们:info@booksci.cn Book学术提供免费学术资源搜索服务,方便国内外学者检索中英文文献。致力于提供最便捷和优质的服务体验。 Copyright © 2023 布克学术 All rights reserved.
京ICP备2023020795号-1
ghs 京公网安备 11010802042870号
Book学术文献互助
Book学术文献互助群
群 号:604180095
Book学术官方微信