嗜酸性肉芽肿病合并多血管炎,原Churg-Strauss综合征的胃肠道表现:1例报告。

IF 0.6 Q4 GASTROENTEROLOGY & HEPATOLOGY
Case Reports in Gastroenterology Pub Date : 2025-08-01 eCollection Date: 2025-01-01 DOI:10.1159/000546038
Muhammad Umair Tayyub, Arsh Gupta, Rabia Ashraf, Meenal Gupta, Priyan Tantrige, Howard Curtis, Vinod Audimoolam
{"title":"嗜酸性肉芽肿病合并多血管炎,原Churg-Strauss综合征的胃肠道表现:1例报告。","authors":"Muhammad Umair Tayyub, Arsh Gupta, Rabia Ashraf, Meenal Gupta, Priyan Tantrige, Howard Curtis, Vinod Audimoolam","doi":"10.1159/000546038","DOIUrl":null,"url":null,"abstract":"<p><strong>Introduction: </strong>Some of the most common presentations of gastrointestinal diseases are nausea, vomiting, and generalized abdominal pain. These symptoms could also be associated with other diseases and require a structured approach to the specific diagnosis. Eosinophilic granulomatosis with polyangiitis (EGPA), also known as Churg-Strauss syndrome, is a small and medium-sized vessel vasculitis that can affect any body system and present with a wide range of symptoms and atypical presentation. Therefore, diagnosis of this condition may not always be straightforward.</p><p><strong>Case presentation: </strong>This case report presents a challenging case of a young man presenting with symptoms of abdominal pain, nausea, vomiting and non-specific symptoms of lethargy and fatigue. The case describes overlapping features with granulomatosis with polyangiitis (GPA) and anti-neutrophil cytoplasmic antibodies (ANCA)-positive and -negative vasculitis. The patient needed extensive workup and investigations to be eventually diagnosed with EGPA. In this case, myeloperoxidase (MPO) ANCA was negative, which is positive in the majority of EGPA cases, and this poses an additional diagnostic dilemma.</p><p><strong>Conclusion: </strong>The case highlights that non-specific complaints of vomiting and abdominal pain should be addressed methodically and not just be treated symptomatically.</p>","PeriodicalId":9614,"journal":{"name":"Case Reports in Gastroenterology","volume":"19 1","pages":"527-533"},"PeriodicalIF":0.6000,"publicationDate":"2025-08-01","publicationTypes":"Journal Article","fieldsOfStudy":null,"isOpenAccess":false,"openAccessPdf":"https://www.ncbi.nlm.nih.gov/pmc/articles/PMC12316446/pdf/","citationCount":"0","resultStr":"{\"title\":\"Gastrointestinal Presentation of Eosinophilic Granulomatosis with Polyangiitis, Formerly Churg-Strauss Syndrome: A Case Report.\",\"authors\":\"Muhammad Umair Tayyub, Arsh Gupta, Rabia Ashraf, Meenal Gupta, Priyan Tantrige, Howard Curtis, Vinod Audimoolam\",\"doi\":\"10.1159/000546038\",\"DOIUrl\":null,\"url\":null,\"abstract\":\"<p><strong>Introduction: </strong>Some of the most common presentations of gastrointestinal diseases are nausea, vomiting, and generalized abdominal pain. These symptoms could also be associated with other diseases and require a structured approach to the specific diagnosis. Eosinophilic granulomatosis with polyangiitis (EGPA), also known as Churg-Strauss syndrome, is a small and medium-sized vessel vasculitis that can affect any body system and present with a wide range of symptoms and atypical presentation. Therefore, diagnosis of this condition may not always be straightforward.</p><p><strong>Case presentation: </strong>This case report presents a challenging case of a young man presenting with symptoms of abdominal pain, nausea, vomiting and non-specific symptoms of lethargy and fatigue. The case describes overlapping features with granulomatosis with polyangiitis (GPA) and anti-neutrophil cytoplasmic antibodies (ANCA)-positive and -negative vasculitis. The patient needed extensive workup and investigations to be eventually diagnosed with EGPA. In this case, myeloperoxidase (MPO) ANCA was negative, which is positive in the majority of EGPA cases, and this poses an additional diagnostic dilemma.</p><p><strong>Conclusion: </strong>The case highlights that non-specific complaints of vomiting and abdominal pain should be addressed methodically and not just be treated symptomatically.</p>\",\"PeriodicalId\":9614,\"journal\":{\"name\":\"Case Reports in Gastroenterology\",\"volume\":\"19 1\",\"pages\":\"527-533\"},\"PeriodicalIF\":0.6000,\"publicationDate\":\"2025-08-01\",\"publicationTypes\":\"Journal Article\",\"fieldsOfStudy\":null,\"isOpenAccess\":false,\"openAccessPdf\":\"https://www.ncbi.nlm.nih.gov/pmc/articles/PMC12316446/pdf/\",\"citationCount\":\"0\",\"resultStr\":null,\"platform\":\"Semanticscholar\",\"paperid\":null,\"PeriodicalName\":\"Case Reports in Gastroenterology\",\"FirstCategoryId\":\"1085\",\"ListUrlMain\":\"https://doi.org/10.1159/000546038\",\"RegionNum\":0,\"RegionCategory\":null,\"ArticlePicture\":[],\"TitleCN\":null,\"AbstractTextCN\":null,\"PMCID\":null,\"EPubDate\":\"2025/1/1 0:00:00\",\"PubModel\":\"eCollection\",\"JCR\":\"Q4\",\"JCRName\":\"GASTROENTEROLOGY & HEPATOLOGY\",\"Score\":null,\"Total\":0}","platform":"Semanticscholar","paperid":null,"PeriodicalName":"Case Reports in Gastroenterology","FirstCategoryId":"1085","ListUrlMain":"https://doi.org/10.1159/000546038","RegionNum":0,"RegionCategory":null,"ArticlePicture":[],"TitleCN":null,"AbstractTextCN":null,"PMCID":null,"EPubDate":"2025/1/1 0:00:00","PubModel":"eCollection","JCR":"Q4","JCRName":"GASTROENTEROLOGY & HEPATOLOGY","Score":null,"Total":0}
引用次数: 0

摘要

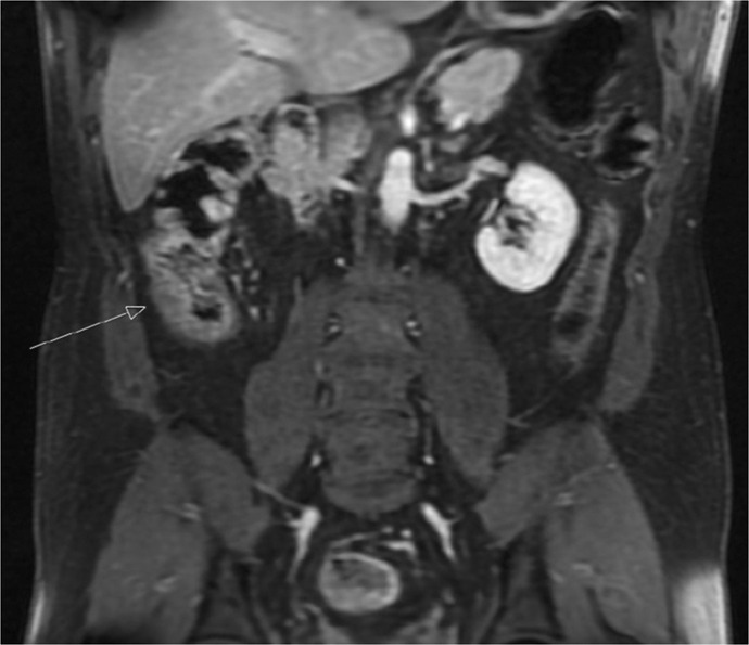
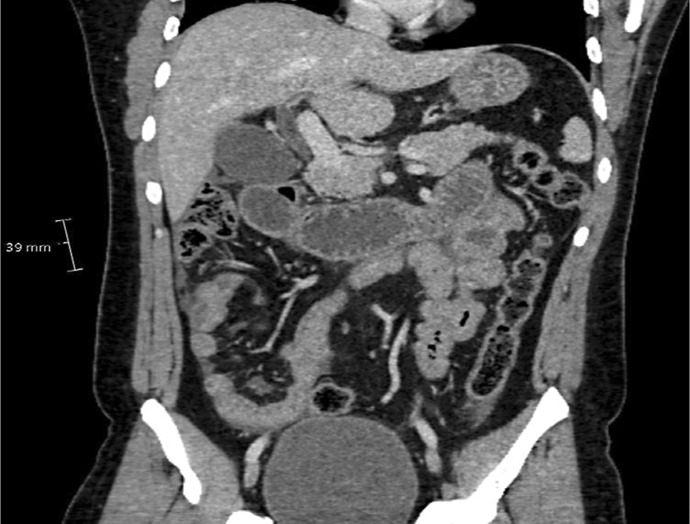
胃肠道疾病的一些最常见的表现是恶心、呕吐和全身腹痛。这些症状也可能与其他疾病有关,需要有条理的方法进行具体诊断。嗜酸性肉芽肿病合并多血管炎(EGPA),也称为Churg-Strauss综合征,是一种中小型血管炎,可影响身体的任何系统,表现为广泛的症状和不典型表现。因此,这种情况的诊断可能并不总是直截了当的。病例报告:本病例报告提出了一个具有挑战性的病例,一名年轻男子表现为腹痛、恶心、呕吐和非特异性嗜睡和疲劳症状。该病例描述了与肉芽肿病合并多血管炎(GPA)和抗中性粒细胞细胞质抗体(ANCA)-阳性和阴性血管炎的重叠特征。患者需要广泛的检查和调查才能最终诊断为EGPA。在本例中,髓过氧化物酶(MPO) ANCA为阴性,而在大多数EGPA病例中为阳性,这造成了额外的诊断困境。结论:该病例强调非特异性呕吐和腹痛的主诉应有条不紊地处理,而不仅仅是对症治疗。
本文章由计算机程序翻译,如有差异,请以英文原文为准。

Gastrointestinal Presentation of Eosinophilic Granulomatosis with Polyangiitis, Formerly Churg-Strauss Syndrome: A Case Report.

Gastrointestinal Presentation of Eosinophilic Granulomatosis with Polyangiitis, Formerly Churg-Strauss Syndrome: A Case Report.

Gastrointestinal Presentation of Eosinophilic Granulomatosis with Polyangiitis, Formerly Churg-Strauss Syndrome: A Case Report.

Gastrointestinal Presentation of Eosinophilic Granulomatosis with Polyangiitis, Formerly Churg-Strauss Syndrome: A Case Report.

Introduction: Some of the most common presentations of gastrointestinal diseases are nausea, vomiting, and generalized abdominal pain. These symptoms could also be associated with other diseases and require a structured approach to the specific diagnosis. Eosinophilic granulomatosis with polyangiitis (EGPA), also known as Churg-Strauss syndrome, is a small and medium-sized vessel vasculitis that can affect any body system and present with a wide range of symptoms and atypical presentation. Therefore, diagnosis of this condition may not always be straightforward.

Case presentation: This case report presents a challenging case of a young man presenting with symptoms of abdominal pain, nausea, vomiting and non-specific symptoms of lethargy and fatigue. The case describes overlapping features with granulomatosis with polyangiitis (GPA) and anti-neutrophil cytoplasmic antibodies (ANCA)-positive and -negative vasculitis. The patient needed extensive workup and investigations to be eventually diagnosed with EGPA. In this case, myeloperoxidase (MPO) ANCA was negative, which is positive in the majority of EGPA cases, and this poses an additional diagnostic dilemma.

Conclusion: The case highlights that non-specific complaints of vomiting and abdominal pain should be addressed methodically and not just be treated symptomatically.

求助全文
通过发布文献求助,成功后即可免费获取论文全文。 去求助
来源期刊
Case Reports in Gastroenterology
Case Reports in Gastroenterology Medicine-Gastroenterology
CiteScore
1.10
自引率
0.00%
发文量
99
审稿时长
7 weeks
期刊介绍:
×
引用
GB/T 7714-2015
复制
MLA
复制
APA
复制
导出至
BibTeX EndNote RefMan NoteFirst NoteExpress
×
提示
您的信息不完整,为了账户安全,请先补充。
现在去补充
×
提示
您因"违规操作"
具体请查看互助需知
我知道了
×
提示
确定
请完成安全验证×
copy
已复制链接
快去分享给好友吧!
我知道了
右上角分享
点击右上角分享
0
联系我们:info@booksci.cn Book学术提供免费学术资源搜索服务,方便国内外学者检索中英文文献。致力于提供最便捷和优质的服务体验。 Copyright © 2023 布克学术 All rights reserved.
京ICP备2023020795号-1
ghs 京公网安备 11010802042870号
Book学术文献互助
Book学术文献互助群
群 号:604180095
Book学术官方微信