特发性结肠静脉曲张出血的处理。

IF 0.5 Q4 GASTROENTEROLOGY & HEPATOLOGY
Abhimati Ravikulan, Richard Gearry, Jan Kubovy
{"title":"特发性结肠静脉曲张出血的处理。","authors":"Abhimati Ravikulan, Richard Gearry, Jan Kubovy","doi":"10.14309/crj.0000000000001791","DOIUrl":null,"url":null,"abstract":"<p><p>Lower gastrointestinal bleeding due to idiopathic colonic varices (ICV) is very rare. We present a 66-year-old man with recurrent hematochezia but without history of liver disease or portal hypertension. Colonoscopy revealed extensive varices throughout the colon. There was no biochemical or radiological evidence of cirrhosis or portal hypertension. The underlying etiology of ICV is unknown, and management of this condition is challenging without standardized treatment protocols. Nonselective beta-blockers could be considered despite the unknown ICV pathophysiology and their effect in this clinical entity. The successful management in our case included immediate endoscopic treatment and secondary prophylaxis with carvedilol.</p>","PeriodicalId":7394,"journal":{"name":"ACG Case Reports Journal","volume":"12 8","pages":"e01791"},"PeriodicalIF":0.5000,"publicationDate":"2025-08-01","publicationTypes":"Journal Article","fieldsOfStudy":null,"isOpenAccess":false,"openAccessPdf":"https://www.ncbi.nlm.nih.gov/pmc/articles/PMC12316347/pdf/","citationCount":"0","resultStr":"{\"title\":\"Management of Bleeding due to Idiopathic Colonic Varices.\",\"authors\":\"Abhimati Ravikulan, Richard Gearry, Jan Kubovy\",\"doi\":\"10.14309/crj.0000000000001791\",\"DOIUrl\":null,\"url\":null,\"abstract\":\"<p><p>Lower gastrointestinal bleeding due to idiopathic colonic varices (ICV) is very rare. We present a 66-year-old man with recurrent hematochezia but without history of liver disease or portal hypertension. Colonoscopy revealed extensive varices throughout the colon. There was no biochemical or radiological evidence of cirrhosis or portal hypertension. The underlying etiology of ICV is unknown, and management of this condition is challenging without standardized treatment protocols. Nonselective beta-blockers could be considered despite the unknown ICV pathophysiology and their effect in this clinical entity. The successful management in our case included immediate endoscopic treatment and secondary prophylaxis with carvedilol.</p>\",\"PeriodicalId\":7394,\"journal\":{\"name\":\"ACG Case Reports Journal\",\"volume\":\"12 8\",\"pages\":\"e01791\"},\"PeriodicalIF\":0.5000,\"publicationDate\":\"2025-08-01\",\"publicationTypes\":\"Journal Article\",\"fieldsOfStudy\":null,\"isOpenAccess\":false,\"openAccessPdf\":\"https://www.ncbi.nlm.nih.gov/pmc/articles/PMC12316347/pdf/\",\"citationCount\":\"0\",\"resultStr\":null,\"platform\":\"Semanticscholar\",\"paperid\":null,\"PeriodicalName\":\"ACG Case Reports Journal\",\"FirstCategoryId\":\"1085\",\"ListUrlMain\":\"https://doi.org/10.14309/crj.0000000000001791\",\"RegionNum\":0,\"RegionCategory\":null,\"ArticlePicture\":[],\"TitleCN\":null,\"AbstractTextCN\":null,\"PMCID\":null,\"EPubDate\":\"\",\"PubModel\":\"\",\"JCR\":\"Q4\",\"JCRName\":\"GASTROENTEROLOGY & HEPATOLOGY\",\"Score\":null,\"Total\":0}","platform":"Semanticscholar","paperid":null,"PeriodicalName":"ACG Case Reports Journal","FirstCategoryId":"1085","ListUrlMain":"https://doi.org/10.14309/crj.0000000000001791","RegionNum":0,"RegionCategory":null,"ArticlePicture":[],"TitleCN":null,"AbstractTextCN":null,"PMCID":null,"EPubDate":"","PubModel":"","JCR":"Q4","JCRName":"GASTROENTEROLOGY & HEPATOLOGY","Score":null,"Total":0}
引用次数: 0

摘要

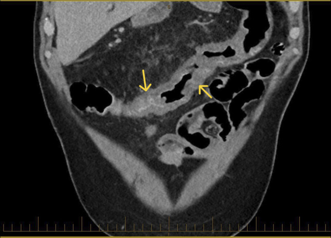
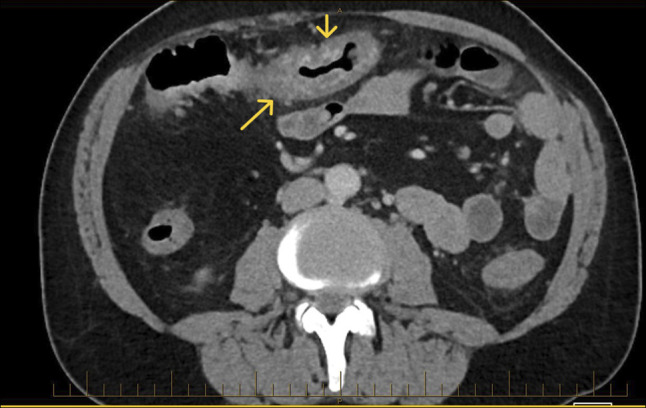
由于特发性结肠静脉曲张(ICV)引起的下消化道出血是非常罕见的。我们报告一位66岁男性复发性尿血,但没有肝脏疾病或门静脉高压症病史。结肠镜检查显示整个结肠有广泛的静脉曲张。没有生化或放射学证据表明肝硬化或门静脉高压症。ICV的潜在病因尚不清楚,在没有标准化治疗方案的情况下,这种疾病的管理具有挑战性。非选择性β受体阻滞剂可以考虑,尽管未知的ICV病理生理和他们的作用在这个临床实体。在我们的病例中,成功的管理包括立即内窥镜治疗和卡维地洛的二级预防。
本文章由计算机程序翻译,如有差异,请以英文原文为准。

Management of Bleeding due to Idiopathic Colonic Varices.

Management of Bleeding due to Idiopathic Colonic Varices.

Management of Bleeding due to Idiopathic Colonic Varices.

Management of Bleeding due to Idiopathic Colonic Varices.

Lower gastrointestinal bleeding due to idiopathic colonic varices (ICV) is very rare. We present a 66-year-old man with recurrent hematochezia but without history of liver disease or portal hypertension. Colonoscopy revealed extensive varices throughout the colon. There was no biochemical or radiological evidence of cirrhosis or portal hypertension. The underlying etiology of ICV is unknown, and management of this condition is challenging without standardized treatment protocols. Nonselective beta-blockers could be considered despite the unknown ICV pathophysiology and their effect in this clinical entity. The successful management in our case included immediate endoscopic treatment and secondary prophylaxis with carvedilol.

求助全文
通过发布文献求助,成功后即可免费获取论文全文。 去求助
来源期刊
ACG Case Reports Journal
ACG Case Reports Journal GASTROENTEROLOGY & HEPATOLOGY-
自引率
14.30%
发文量
170
审稿时长
12 weeks
期刊介绍: ACG Case Reports Journal is a peer-reviewed, open-access publication that provides GI and hepatology fellows, private practice clinicians, and other healthcare providers an opportunity to share interesting case reports with their peers and with leaders in the field. ACG Case Reports Journal publishes case reports, images, videos and letters to the editor in all topics of gastroenterology and hepatology, including: Biliary Colon Endoscopy Esophagus Functional Bowel Disorders Inflammatory Bowel Disease Liver Nutrition and Obesity Pancreas Pathology Pediatric Small Bowel Stomach.
×
引用
GB/T 7714-2015
复制
MLA
复制
APA
复制
导出至
BibTeX EndNote RefMan NoteFirst NoteExpress
×
提示
您的信息不完整,为了账户安全,请先补充。
现在去补充
×
提示
您因"违规操作"
具体请查看互助需知
我知道了
×
提示
确定
请完成安全验证×
copy
已复制链接
快去分享给好友吧!
我知道了
右上角分享
点击右上角分享
0
联系我们:info@booksci.cn Book学术提供免费学术资源搜索服务,方便国内外学者检索中英文文献。致力于提供最便捷和优质的服务体验。 Copyright © 2023 布克学术 All rights reserved.
京ICP备2023020795号-1
ghs 京公网安备 11010802042870号
Book学术文献互助
Book学术文献互助群
群 号:604180095
Book学术官方微信