igg4相关疾病多器官与单器官受累的临床特征比较分析:单中心回顾性研究

IF 1 4区 医学 Q3 MEDICINE, GENERAL & INTERNAL
Dong-Ge Han, Chun-Lin Ying, Zi-Ping Cai, Qiao-Yun Tong, Wei Liu
{"title":"igg4相关疾病多器官与单器官受累的临床特征比较分析:单中心回顾性研究","authors":"Dong-Ge Han, Chun-Lin Ying, Zi-Ping Cai, Qiao-Yun Tong, Wei Liu","doi":"10.34172/aim.34027","DOIUrl":null,"url":null,"abstract":"<p><strong>Background: </strong>Immunoglobulin G4-related disease (IgG4-RD) is a rare, chronic inflammatory condition characterized by fibrosis and tendency for multi-organ involvement. This study aims to analyze the clinical characteristics associated with multi-organ versus single-organ involvement in IgG4-RD, thereby enhancing clinicians' understanding of the differences between these two patient groups and ultimately improving patient prognosis.</p><p><strong>Methods: </strong>We performed a retrospective analysis of clinical data from 82 patients diagnosed with IgG4-RD admitted to Yichang Central People's Hospital between January 2019 and December 2024.</p><p><strong>Results: </strong>Among the 82 patients diagnosed with IgG4-RD, 47 patients (57.32%) exhibited involvement of multiple organs. The incidence of multi-organ involvement was significantly higher in male patients than female patients [63.49% vs. 36.84%, odds ratio (OR): 2.98, 95% confidence intervals (CI): 1.03-8.64, <i>P</i><0.05]. The misdiagnosis rate in the multi-organ involvement group was significantly higher than that in the single-organ involvement group (29.79% vs. 8.57%, OR: 4.525, 95% CI: 1.19-17.26, <i>P</i><0.05). In patients with involvement of the pancreas (72.50% vs. 42.86%, OR: 3.515, 95% CI: 1.39-8.86, <i>P</i><0.05), or lymph nodes (83.72% vs. 28.21%, OR: 13.091, 95% CI: 4.50-38.11, <i>P</i><0.05), the incidence of additional organ involvement was significantly higher than those with involvement of other organs. The eosinophil percentage [median difference (Hodges-Lehmann): 1.60%, 95% CI: 0.40-2.80, <i>P</i><0.05], absolute eosinophil count [median difference (Hodges-Lehmann): 0.10×10<sup>9</sup>/L , 95% CI: 0.30-0.16, <i>P</i><0.05], serum immunoglobulin G (IgG) levels [median difference (Hodges-Lehmann): 4.10 g/L, 95% CI: 0.10-7.80, <i>P</i><0.05], and erythrocyte sedimentation rate (ESR) [median difference (Hodges-Lehmann): 30.50 mm/h, 95% CI: 13.00-48.00, <i>P</i><0.05] were significantly higher in the multi-organ involvement group compared to the single-organ involvement group. There was a positive correlation between the number of involved organs and ESR (<i>r</i>=0.404, 95% CI: 0.166-0.597, <i>P</i>=0.001), eosinophil percentage (<i>r</i>=0.287, 95% CI: 0.068-0.480, <i>P</i>=0.009), absolute eosinophil count (<i>r</i>=0.293, 95% CI: 0.075-0.485, <i>P</i>=0.007), serum IgG levels (<i>r</i>=0.370, 95% CI: 0.130-0.570, <i>P</i>=0.003), and serum IgG4 levels (<i>r</i>=0.370, 95% CI: 0.130-0.570, <i>P</i>=0.003).</p><p><strong>Conclusion: </strong>The clinical features associated with multi-organ involvement in IgG4-RD are characterized by significant diversity and complexity. Clinicians must enhance their understanding of the characteristics associated with multi-organ involvement to more effectively improve patient prognosis.</p>","PeriodicalId":55469,"journal":{"name":"Archives of Iranian Medicine","volume":"28 5","pages":"303-312"},"PeriodicalIF":1.0000,"publicationDate":"2025-05-01","publicationTypes":"Journal Article","fieldsOfStudy":null,"isOpenAccess":false,"openAccessPdf":"https://www.ncbi.nlm.nih.gov/pmc/articles/PMC12305410/pdf/","citationCount":"0","resultStr":"{\"title\":\"Comparative Analysis of Clinical Characteristics in Multi-organ and Single-organ Involvement of IgG4-Related Disease: A Single-center Retrospective Study.\",\"authors\":\"Dong-Ge Han, Chun-Lin Ying, Zi-Ping Cai, Qiao-Yun Tong, Wei Liu\",\"doi\":\"10.34172/aim.34027\",\"DOIUrl\":null,\"url\":null,\"abstract\":\"<p><strong>Background: </strong>Immunoglobulin G4-related disease (IgG4-RD) is a rare, chronic inflammatory condition characterized by fibrosis and tendency for multi-organ involvement. This study aims to analyze the clinical characteristics associated with multi-organ versus single-organ involvement in IgG4-RD, thereby enhancing clinicians' understanding of the differences between these two patient groups and ultimately improving patient prognosis.</p><p><strong>Methods: </strong>We performed a retrospective analysis of clinical data from 82 patients diagnosed with IgG4-RD admitted to Yichang Central People's Hospital between January 2019 and December 2024.</p><p><strong>Results: </strong>Among the 82 patients diagnosed with IgG4-RD, 47 patients (57.32%) exhibited involvement of multiple organs. The incidence of multi-organ involvement was significantly higher in male patients than female patients [63.49% vs. 36.84%, odds ratio (OR): 2.98, 95% confidence intervals (CI): 1.03-8.64, <i>P</i><0.05]. The misdiagnosis rate in the multi-organ involvement group was significantly higher than that in the single-organ involvement group (29.79% vs. 8.57%, OR: 4.525, 95% CI: 1.19-17.26, <i>P</i><0.05). In patients with involvement of the pancreas (72.50% vs. 42.86%, OR: 3.515, 95% CI: 1.39-8.86, <i>P</i><0.05), or lymph nodes (83.72% vs. 28.21%, OR: 13.091, 95% CI: 4.50-38.11, <i>P</i><0.05), the incidence of additional organ involvement was significantly higher than those with involvement of other organs. The eosinophil percentage [median difference (Hodges-Lehmann): 1.60%, 95% CI: 0.40-2.80, <i>P</i><0.05], absolute eosinophil count [median difference (Hodges-Lehmann): 0.10×10<sup>9</sup>/L , 95% CI: 0.30-0.16, <i>P</i><0.05], serum immunoglobulin G (IgG) levels [median difference (Hodges-Lehmann): 4.10 g/L, 95% CI: 0.10-7.80, <i>P</i><0.05], and erythrocyte sedimentation rate (ESR) [median difference (Hodges-Lehmann): 30.50 mm/h, 95% CI: 13.00-48.00, <i>P</i><0.05] were significantly higher in the multi-organ involvement group compared to the single-organ involvement group. There was a positive correlation between the number of involved organs and ESR (<i>r</i>=0.404, 95% CI: 0.166-0.597, <i>P</i>=0.001), eosinophil percentage (<i>r</i>=0.287, 95% CI: 0.068-0.480, <i>P</i>=0.009), absolute eosinophil count (<i>r</i>=0.293, 95% CI: 0.075-0.485, <i>P</i>=0.007), serum IgG levels (<i>r</i>=0.370, 95% CI: 0.130-0.570, <i>P</i>=0.003), and serum IgG4 levels (<i>r</i>=0.370, 95% CI: 0.130-0.570, <i>P</i>=0.003).</p><p><strong>Conclusion: </strong>The clinical features associated with multi-organ involvement in IgG4-RD are characterized by significant diversity and complexity. Clinicians must enhance their understanding of the characteristics associated with multi-organ involvement to more effectively improve patient prognosis.</p>\",\"PeriodicalId\":55469,\"journal\":{\"name\":\"Archives of Iranian Medicine\",\"volume\":\"28 5\",\"pages\":\"303-312\"},\"PeriodicalIF\":1.0000,\"publicationDate\":\"2025-05-01\",\"publicationTypes\":\"Journal Article\",\"fieldsOfStudy\":null,\"isOpenAccess\":false,\"openAccessPdf\":\"https://www.ncbi.nlm.nih.gov/pmc/articles/PMC12305410/pdf/\",\"citationCount\":\"0\",\"resultStr\":null,\"platform\":\"Semanticscholar\",\"paperid\":null,\"PeriodicalName\":\"Archives of Iranian Medicine\",\"FirstCategoryId\":\"3\",\"ListUrlMain\":\"https://doi.org/10.34172/aim.34027\",\"RegionNum\":4,\"RegionCategory\":\"医学\",\"ArticlePicture\":[],\"TitleCN\":null,\"AbstractTextCN\":null,\"PMCID\":null,\"EPubDate\":\"\",\"PubModel\":\"\",\"JCR\":\"Q3\",\"JCRName\":\"MEDICINE, GENERAL & INTERNAL\",\"Score\":null,\"Total\":0}","platform":"Semanticscholar","paperid":null,"PeriodicalName":"Archives of Iranian Medicine","FirstCategoryId":"3","ListUrlMain":"https://doi.org/10.34172/aim.34027","RegionNum":4,"RegionCategory":"医学","ArticlePicture":[],"TitleCN":null,"AbstractTextCN":null,"PMCID":null,"EPubDate":"","PubModel":"","JCR":"Q3","JCRName":"MEDICINE, GENERAL & INTERNAL","Score":null,"Total":0}
引用次数: 0

摘要

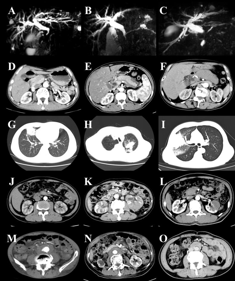
背景:免疫球蛋白g4相关疾病(IgG4-RD)是一种罕见的慢性炎症性疾病,以纤维化和多器官累及为特征。本研究旨在分析IgG4-RD多器官受累与单器官受累的临床特征,从而提高临床医生对这两组患者差异的认识,最终改善患者预后。方法:回顾性分析2019年1月至2024年12月宜昌市中心人民医院收治的82例确诊为IgG4-RD患者的临床资料。结果:在82例确诊为IgG4-RD的患者中,47例(57.32%)表现为多脏器受累。男性患者多器官受累发生率明显高于女性患者[63.49% vs. 36.84%,优势比(OR): 2.98, 95%可信区间(CI): 1.03-8.64, PPPPP9/L, 95% CI: 0.30-0.16, PPPr=0.404, 95% CI: 0.166-0.597, P=0.001],嗜酸性粒细胞百分比(r=0.287, 95% CI: 0.068-0.480, P=0.009),嗜酸性粒细胞绝对计数(r=0.293, 95% CI: 0.075-0.485, P=0.007),血清IgG水平(r=0.370, 95% CI: 0.130-0.570, P=0.003),血清IgG4水平(r=0.370, 95% CI: 0.130-0.570, P=0.003),血清IgG4水平(r=0.370, 95% CI:0.130 - -0.570, P = 0.003)。结论:IgG4-RD多器官受累的临床特征具有显著的多样性和复杂性。临床医生必须加强对多器官受累特征的了解,以更有效地改善患者预后。
本文章由计算机程序翻译,如有差异,请以英文原文为准。

Comparative Analysis of Clinical Characteristics in Multi-organ and Single-organ Involvement of IgG4-Related Disease: A Single-center Retrospective Study.

Comparative Analysis of Clinical Characteristics in Multi-organ and Single-organ Involvement of IgG4-Related Disease: A Single-center Retrospective Study.

Comparative Analysis of Clinical Characteristics in Multi-organ and Single-organ Involvement of IgG4-Related Disease: A Single-center Retrospective Study.

Background: Immunoglobulin G4-related disease (IgG4-RD) is a rare, chronic inflammatory condition characterized by fibrosis and tendency for multi-organ involvement. This study aims to analyze the clinical characteristics associated with multi-organ versus single-organ involvement in IgG4-RD, thereby enhancing clinicians' understanding of the differences between these two patient groups and ultimately improving patient prognosis.

Methods: We performed a retrospective analysis of clinical data from 82 patients diagnosed with IgG4-RD admitted to Yichang Central People's Hospital between January 2019 and December 2024.

Results: Among the 82 patients diagnosed with IgG4-RD, 47 patients (57.32%) exhibited involvement of multiple organs. The incidence of multi-organ involvement was significantly higher in male patients than female patients [63.49% vs. 36.84%, odds ratio (OR): 2.98, 95% confidence intervals (CI): 1.03-8.64, P<0.05]. The misdiagnosis rate in the multi-organ involvement group was significantly higher than that in the single-organ involvement group (29.79% vs. 8.57%, OR: 4.525, 95% CI: 1.19-17.26, P<0.05). In patients with involvement of the pancreas (72.50% vs. 42.86%, OR: 3.515, 95% CI: 1.39-8.86, P<0.05), or lymph nodes (83.72% vs. 28.21%, OR: 13.091, 95% CI: 4.50-38.11, P<0.05), the incidence of additional organ involvement was significantly higher than those with involvement of other organs. The eosinophil percentage [median difference (Hodges-Lehmann): 1.60%, 95% CI: 0.40-2.80, P<0.05], absolute eosinophil count [median difference (Hodges-Lehmann): 0.10×109/L , 95% CI: 0.30-0.16, P<0.05], serum immunoglobulin G (IgG) levels [median difference (Hodges-Lehmann): 4.10 g/L, 95% CI: 0.10-7.80, P<0.05], and erythrocyte sedimentation rate (ESR) [median difference (Hodges-Lehmann): 30.50 mm/h, 95% CI: 13.00-48.00, P<0.05] were significantly higher in the multi-organ involvement group compared to the single-organ involvement group. There was a positive correlation between the number of involved organs and ESR (r=0.404, 95% CI: 0.166-0.597, P=0.001), eosinophil percentage (r=0.287, 95% CI: 0.068-0.480, P=0.009), absolute eosinophil count (r=0.293, 95% CI: 0.075-0.485, P=0.007), serum IgG levels (r=0.370, 95% CI: 0.130-0.570, P=0.003), and serum IgG4 levels (r=0.370, 95% CI: 0.130-0.570, P=0.003).

Conclusion: The clinical features associated with multi-organ involvement in IgG4-RD are characterized by significant diversity and complexity. Clinicians must enhance their understanding of the characteristics associated with multi-organ involvement to more effectively improve patient prognosis.

求助全文
通过发布文献求助,成功后即可免费获取论文全文。 去求助
来源期刊
Archives of Iranian Medicine
Archives of Iranian Medicine 医学-医学:内科
CiteScore
4.20
自引率
0.00%
发文量
67
审稿时长
3-8 weeks
期刊介绍: Aim and Scope: The Archives of Iranian Medicine (AIM) is a monthly peer-reviewed multidisciplinary medical publication. The journal welcomes contributions particularly relevant to the Middle-East region and publishes biomedical experiences and clinical investigations on prevalent diseases in the region as well as analyses of factors that may modulate the incidence, course, and management of diseases and pertinent medical problems. Manuscripts with didactic orientation and subjects exclusively of local interest will not be considered for publication.The 2016 Impact Factor of "Archives of Iranian Medicine" is 1.20.
×
引用
GB/T 7714-2015
复制
MLA
复制
APA
复制
导出至
BibTeX EndNote RefMan NoteFirst NoteExpress
×
提示
您的信息不完整,为了账户安全,请先补充。
现在去补充
×
提示
您因"违规操作"
具体请查看互助需知
我知道了
×
提示
确定
请完成安全验证×
copy
已复制链接
快去分享给好友吧!
我知道了
右上角分享
点击右上角分享
0
联系我们:info@booksci.cn Book学术提供免费学术资源搜索服务,方便国内外学者检索中英文文献。致力于提供最便捷和优质的服务体验。 Copyright © 2023 布克学术 All rights reserved.
京ICP备2023020795号-1
ghs 京公网安备 11010802042870号
Book学术文献互助
Book学术文献互助群
群 号:604180095
Book学术官方微信