慢性髓系白血病母细胞期骨髓成瘤细胞转化1例。

IF 0.6 4区 医学 Q4 HEMATOLOGY
Abdulrahman F Al-Mashdali, Feryal Ibrahim, Samah Kohla, Ibrahim Ganwo, Susanna Akiki, Mohammed Abdulgayoom, Mohamed A Yassin
{"title":"慢性髓系白血病母细胞期骨髓成瘤细胞转化1例。","authors":"Abdulrahman F Al-Mashdali, Feryal Ibrahim, Samah Kohla, Ibrahim Ganwo, Susanna Akiki, Mohammed Abdulgayoom, Mohamed A Yassin","doi":"10.1007/s12308-025-00653-7","DOIUrl":null,"url":null,"abstract":"<p><p>Myelomastocytic leukemia (MML) presenting as a blast phase manifestation of Chronic Myeloid Leukemia (CML) is exceptionally rare, with limited documented cases in the literature. Understanding its distinct clinicopathologic features and treatment outcomes is crucial for optimal patient management. A 45-year-old male with a history of CML since 2016, previously treated with imatinib and dasatinib, presented after treatment interruption with leukocytosis (WBC 27.3 × 103/μL) and 58% circulating blasts showing metachromatic granulation. Bone marrow examination revealed 30% blast cells with strong CD117 and tryptase positivity. Flow cytometry identified two distinct populations: 7% myeloblasts and 27% immature myeloid cells with bright CD117 expression. BCR-ABL1 rearrangement was confirmed with a ratio of 112% (IS). The patient received combination therapy with standard \"3 + 7\" induction chemotherapy and dasatinib. Despite complications of febrile neutropenia, the post-induction bone marrow examination demonstrated achievement of complete morphologic remission. This case highlights the successful initial treatment of myelomastocytic transformation in CML blast phase using intensive combination therapy. The detailed morphologic, immunophenotypic and molecular characterization provides valuable insights into this rare entity, while the favorable initial response supports an aggressive treatment approach. Long-term follow-up and further studies are needed to establish optimal treatment strategies.</p>","PeriodicalId":51320,"journal":{"name":"Journal of Hematopathology","volume":"18 1","pages":"38"},"PeriodicalIF":0.6000,"publicationDate":"2025-08-02","publicationTypes":"Journal Article","fieldsOfStudy":null,"isOpenAccess":false,"openAccessPdf":"https://www.ncbi.nlm.nih.gov/pmc/articles/PMC12317855/pdf/","citationCount":"0","resultStr":"{\"title\":\"Myelomastocytic transformation in chronic myeloid leukemia blast phase: A case report.\",\"authors\":\"Abdulrahman F Al-Mashdali, Feryal Ibrahim, Samah Kohla, Ibrahim Ganwo, Susanna Akiki, Mohammed Abdulgayoom, Mohamed A Yassin\",\"doi\":\"10.1007/s12308-025-00653-7\",\"DOIUrl\":null,\"url\":null,\"abstract\":\"<p><p>Myelomastocytic leukemia (MML) presenting as a blast phase manifestation of Chronic Myeloid Leukemia (CML) is exceptionally rare, with limited documented cases in the literature. Understanding its distinct clinicopathologic features and treatment outcomes is crucial for optimal patient management. A 45-year-old male with a history of CML since 2016, previously treated with imatinib and dasatinib, presented after treatment interruption with leukocytosis (WBC 27.3 × 103/μL) and 58% circulating blasts showing metachromatic granulation. Bone marrow examination revealed 30% blast cells with strong CD117 and tryptase positivity. Flow cytometry identified two distinct populations: 7% myeloblasts and 27% immature myeloid cells with bright CD117 expression. BCR-ABL1 rearrangement was confirmed with a ratio of 112% (IS). The patient received combination therapy with standard \\\"3 + 7\\\" induction chemotherapy and dasatinib. Despite complications of febrile neutropenia, the post-induction bone marrow examination demonstrated achievement of complete morphologic remission. This case highlights the successful initial treatment of myelomastocytic transformation in CML blast phase using intensive combination therapy. The detailed morphologic, immunophenotypic and molecular characterization provides valuable insights into this rare entity, while the favorable initial response supports an aggressive treatment approach. Long-term follow-up and further studies are needed to establish optimal treatment strategies.</p>\",\"PeriodicalId\":51320,\"journal\":{\"name\":\"Journal of Hematopathology\",\"volume\":\"18 1\",\"pages\":\"38\"},\"PeriodicalIF\":0.6000,\"publicationDate\":\"2025-08-02\",\"publicationTypes\":\"Journal Article\",\"fieldsOfStudy\":null,\"isOpenAccess\":false,\"openAccessPdf\":\"https://www.ncbi.nlm.nih.gov/pmc/articles/PMC12317855/pdf/\",\"citationCount\":\"0\",\"resultStr\":null,\"platform\":\"Semanticscholar\",\"paperid\":null,\"PeriodicalName\":\"Journal of Hematopathology\",\"FirstCategoryId\":\"3\",\"ListUrlMain\":\"https://doi.org/10.1007/s12308-025-00653-7\",\"RegionNum\":4,\"RegionCategory\":\"医学\",\"ArticlePicture\":[],\"TitleCN\":null,\"AbstractTextCN\":null,\"PMCID\":null,\"EPubDate\":\"\",\"PubModel\":\"\",\"JCR\":\"Q4\",\"JCRName\":\"HEMATOLOGY\",\"Score\":null,\"Total\":0}","platform":"Semanticscholar","paperid":null,"PeriodicalName":"Journal of Hematopathology","FirstCategoryId":"3","ListUrlMain":"https://doi.org/10.1007/s12308-025-00653-7","RegionNum":4,"RegionCategory":"医学","ArticlePicture":[],"TitleCN":null,"AbstractTextCN":null,"PMCID":null,"EPubDate":"","PubModel":"","JCR":"Q4","JCRName":"HEMATOLOGY","Score":null,"Total":0}
引用次数: 0

摘要

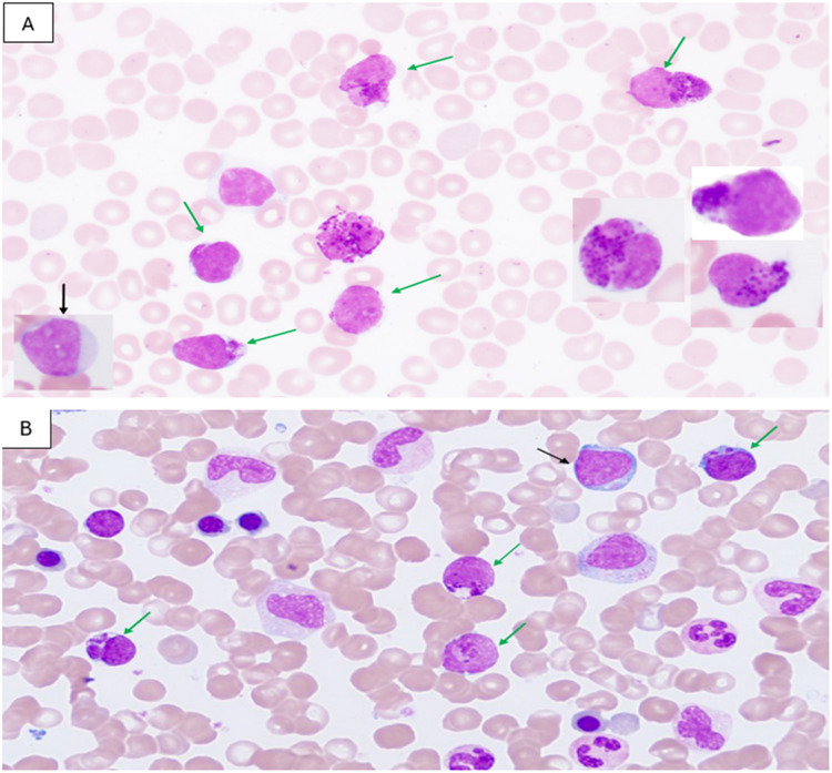
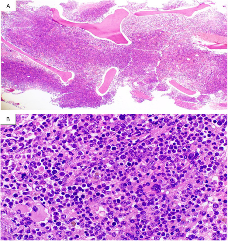
髓母细胞白血病(MML)表现为慢性髓系白血病(CML)的母细胞期表现是非常罕见的,文献中记录的病例有限。了解其独特的临床病理特征和治疗结果对优化患者管理至关重要。45岁男性,2016年起有CML病史,既往接受伊马替尼和达沙替尼治疗,治疗中断后出现白细胞增多(WBC 27.3 × 103/μL), 58%循环母细胞呈偏色肉芽。骨髓检查显示30%的母细胞CD117和胰蛋白酶阳性。流式细胞术鉴定出两种不同的群体:7%的成髓细胞和27%的未成熟髓细胞具有明亮的CD117表达。BCR-ABL1重排比例为112% (IS)。患者接受标准“3 + 7”诱导化疗和达沙替尼联合治疗。尽管有发热性中性粒细胞减少症的并发症,诱导后的骨髓检查显示完全的形态缓解。本病例强调了在CML母细胞期使用强化联合治疗成功的初始治疗髓母细胞转化。详细的形态学、免疫表型和分子特征为这种罕见的实体提供了有价值的见解,而良好的初始反应支持积极的治疗方法。需要长期随访和进一步研究来确定最佳治疗策略。
本文章由计算机程序翻译,如有差异,请以英文原文为准。

Myelomastocytic transformation in chronic myeloid leukemia blast phase: A case report.

Myelomastocytic transformation in chronic myeloid leukemia blast phase: A case report.

Myelomastocytic transformation in chronic myeloid leukemia blast phase: A case report.

Myelomastocytic transformation in chronic myeloid leukemia blast phase: A case report.

Myelomastocytic leukemia (MML) presenting as a blast phase manifestation of Chronic Myeloid Leukemia (CML) is exceptionally rare, with limited documented cases in the literature. Understanding its distinct clinicopathologic features and treatment outcomes is crucial for optimal patient management. A 45-year-old male with a history of CML since 2016, previously treated with imatinib and dasatinib, presented after treatment interruption with leukocytosis (WBC 27.3 × 103/μL) and 58% circulating blasts showing metachromatic granulation. Bone marrow examination revealed 30% blast cells with strong CD117 and tryptase positivity. Flow cytometry identified two distinct populations: 7% myeloblasts and 27% immature myeloid cells with bright CD117 expression. BCR-ABL1 rearrangement was confirmed with a ratio of 112% (IS). The patient received combination therapy with standard "3 + 7" induction chemotherapy and dasatinib. Despite complications of febrile neutropenia, the post-induction bone marrow examination demonstrated achievement of complete morphologic remission. This case highlights the successful initial treatment of myelomastocytic transformation in CML blast phase using intensive combination therapy. The detailed morphologic, immunophenotypic and molecular characterization provides valuable insights into this rare entity, while the favorable initial response supports an aggressive treatment approach. Long-term follow-up and further studies are needed to establish optimal treatment strategies.

求助全文
通过发布文献求助,成功后即可免费获取论文全文。 去求助
来源期刊
Journal of Hematopathology
Journal of Hematopathology HEMATOLOGYPATHOLOGY-PATHOLOGY
CiteScore
0.80
自引率
0.00%
发文量
45
期刊介绍: The Journal of Hematopathology aims at providing pathologists with a special interest in hematopathology with all the information needed to perform modern pathology in evaluating lymphoid tissues and bone marrow. To this end the journal publishes reviews, editorials, comments, original papers, guidelines and protocols, papers on ancillary techniques, and occasional case reports in the fields of the pathology, molecular biology, and clinical features of diseases of the hematopoietic system. The journal is the unique reference point for all pathologists with an interest in hematopathology. Molecular biologists involved in the expanding field of molecular diagnostics and research on lymphomas and leukemia benefit from the journal, too. Furthermore, the journal is of major interest for hematologists dealing with patients suffering from lymphomas, leukemias, and other diseases. The journal is unique in its true international character. Especially in the field of hematopathology it is clear that there are huge geographical variations in incidence of diseases. This is not only locally relevant, but due to globalization, relevant for all those involved in the management of patients.
×
引用
GB/T 7714-2015
复制
MLA
复制
APA
复制
导出至
BibTeX EndNote RefMan NoteFirst NoteExpress
×
提示
您的信息不完整,为了账户安全,请先补充。
现在去补充
×
提示
您因"违规操作"
具体请查看互助需知
我知道了
×
提示
确定
请完成安全验证×
copy
已复制链接
快去分享给好友吧!
我知道了
右上角分享
点击右上角分享
0
联系我们:info@booksci.cn Book学术提供免费学术资源搜索服务,方便国内外学者检索中英文文献。致力于提供最便捷和优质的服务体验。 Copyright © 2023 布克学术 All rights reserved.
京ICP备2023020795号-1
ghs 京公网安备 11010802042870号
Book学术文献互助
Book学术文献互助群
群 号:604180095
Book学术官方微信