婴儿心导管置入术后浆膜和软组织增强的发生率及相关因素。

IF 2.3 3区 医学 Q2 PEDIATRICS
Pediatric Radiology Pub Date : 2025-08-01 Epub Date: 2025-08-02 DOI:10.1007/s00247-025-06343-x
Akhil Dhamija, Joshua D Wermers, Sarosh P Batlivala, Yinan Li, Bin Zhang, Alexander J Towbin
{"title":"婴儿心导管置入术后浆膜和软组织增强的发生率及相关因素。","authors":"Akhil Dhamija, Joshua D Wermers, Sarosh P Batlivala, Yinan Li, Bin Zhang, Alexander J Towbin","doi":"10.1007/s00247-025-06343-x","DOIUrl":null,"url":null,"abstract":"<p><strong>Background: </strong>Diffuse serosal and soft tissue enhancement is a rare imaging phenomenon observed in infants following cardiac catheterization. The appearance of serosal and soft tissue enhancement can mimic pneumoperitoneum, potentially leading to misdiagnosis and unnecessary diagnostic procedures. While serosal and soft tissue enhancement has been documented in case reports, no studies have systematically evaluated the risk factors associated with its development.</p><p><strong>Objective: </strong>To determine the frequency of serosal and soft tissue enhancement in infants following cardiac catheterization and identify clinical and imaging factors associated with this phenomenon.</p><p><strong>Materials and methods: </strong>This retrospective study analyzed infants who underwent cardiac catheterization at our institution between January 2010 and September 2019. Abdominal radiographs obtained within 2 days of the procedure were independently reviewed by three pediatric radiologists for the presence of serosal and soft tissue enhancement. Clinical data, including contrast dose, renal function, and cardiac physiology, were extracted from the electronic medical record. Statistical analysis, including t-tests and logistic regression, was performed to identify factors associated with serosal and soft tissue enhancement, with inter-observer reliability assessed using the Fleiss kappa test.</p><p><strong>Results: </strong>Among 1,796 infants who underwent cardiac catheterization, 294 had follow-up abdominal radiographs. Serosal and soft tissue enhancement was identified as present by all three radiologists in 21 patients (7.1%). Significant factors associated with serosal and soft tissue enhancement included lower pre- and post-catheterization creatinine levels (pre- 0.36 ± 0.17 vs 0.46 ± 0.30 mg/dL; P=0.043; post- 0.35 ± 0.11 vs 0.45 ± 0.29 mg/dL; P=0.009), higher contrast volume (31.8 ± 21.4 vs 21.0 ± 18.1 mL; P=0.013), and higher contrast volume per body surface area (123.0 ± 69.2 vs 80.8 ± 56.2 mL/m^2; P=0.002). Serosal and soft tissue enhancement occurred more frequently in patients with bi-ventricular cardiac physiology (125/294; 42.5% compared to 169/294; 57.5%).</p><p><strong>Conclusion: </strong>Serosal and soft tissue enhancement occurs in a small proportion of neonates following cardiac catheterization and is associated with higher contrast dosages and body surface area-adjusted contrast volumes. Awareness of serosal and soft tissue enhancement among pediatric radiologists is helpful to avoid misdiagnosis of pneumoperitoneum.</p>","PeriodicalId":19755,"journal":{"name":"Pediatric Radiology","volume":" ","pages":"1864-1872"},"PeriodicalIF":2.3000,"publicationDate":"2025-08-01","publicationTypes":"Journal Article","fieldsOfStudy":null,"isOpenAccess":false,"openAccessPdf":"https://www.ncbi.nlm.nih.gov/pmc/articles/PMC12394245/pdf/","citationCount":"0","resultStr":"{\"title\":\"Incidence and factors associated with serosal and soft tissue enhancement after cardiac catheterization in infants.\",\"authors\":\"Akhil Dhamija, Joshua D Wermers, Sarosh P Batlivala, Yinan Li, Bin Zhang, Alexander J Towbin\",\"doi\":\"10.1007/s00247-025-06343-x\",\"DOIUrl\":null,\"url\":null,\"abstract\":\"<p><strong>Background: </strong>Diffuse serosal and soft tissue enhancement is a rare imaging phenomenon observed in infants following cardiac catheterization. The appearance of serosal and soft tissue enhancement can mimic pneumoperitoneum, potentially leading to misdiagnosis and unnecessary diagnostic procedures. While serosal and soft tissue enhancement has been documented in case reports, no studies have systematically evaluated the risk factors associated with its development.</p><p><strong>Objective: </strong>To determine the frequency of serosal and soft tissue enhancement in infants following cardiac catheterization and identify clinical and imaging factors associated with this phenomenon.</p><p><strong>Materials and methods: </strong>This retrospective study analyzed infants who underwent cardiac catheterization at our institution between January 2010 and September 2019. Abdominal radiographs obtained within 2 days of the procedure were independently reviewed by three pediatric radiologists for the presence of serosal and soft tissue enhancement. Clinical data, including contrast dose, renal function, and cardiac physiology, were extracted from the electronic medical record. Statistical analysis, including t-tests and logistic regression, was performed to identify factors associated with serosal and soft tissue enhancement, with inter-observer reliability assessed using the Fleiss kappa test.</p><p><strong>Results: </strong>Among 1,796 infants who underwent cardiac catheterization, 294 had follow-up abdominal radiographs. Serosal and soft tissue enhancement was identified as present by all three radiologists in 21 patients (7.1%). Significant factors associated with serosal and soft tissue enhancement included lower pre- and post-catheterization creatinine levels (pre- 0.36 ± 0.17 vs 0.46 ± 0.30 mg/dL; P=0.043; post- 0.35 ± 0.11 vs 0.45 ± 0.29 mg/dL; P=0.009), higher contrast volume (31.8 ± 21.4 vs 21.0 ± 18.1 mL; P=0.013), and higher contrast volume per body surface area (123.0 ± 69.2 vs 80.8 ± 56.2 mL/m^2; P=0.002). Serosal and soft tissue enhancement occurred more frequently in patients with bi-ventricular cardiac physiology (125/294; 42.5% compared to 169/294; 57.5%).</p><p><strong>Conclusion: </strong>Serosal and soft tissue enhancement occurs in a small proportion of neonates following cardiac catheterization and is associated with higher contrast dosages and body surface area-adjusted contrast volumes. Awareness of serosal and soft tissue enhancement among pediatric radiologists is helpful to avoid misdiagnosis of pneumoperitoneum.</p>\",\"PeriodicalId\":19755,\"journal\":{\"name\":\"Pediatric Radiology\",\"volume\":\" \",\"pages\":\"1864-1872\"},\"PeriodicalIF\":2.3000,\"publicationDate\":\"2025-08-01\",\"publicationTypes\":\"Journal Article\",\"fieldsOfStudy\":null,\"isOpenAccess\":false,\"openAccessPdf\":\"https://www.ncbi.nlm.nih.gov/pmc/articles/PMC12394245/pdf/\",\"citationCount\":\"0\",\"resultStr\":null,\"platform\":\"Semanticscholar\",\"paperid\":null,\"PeriodicalName\":\"Pediatric Radiology\",\"FirstCategoryId\":\"3\",\"ListUrlMain\":\"https://doi.org/10.1007/s00247-025-06343-x\",\"RegionNum\":3,\"RegionCategory\":\"医学\",\"ArticlePicture\":[],\"TitleCN\":null,\"AbstractTextCN\":null,\"PMCID\":null,\"EPubDate\":\"2025/8/2 0:00:00\",\"PubModel\":\"Epub\",\"JCR\":\"Q2\",\"JCRName\":\"PEDIATRICS\",\"Score\":null,\"Total\":0}","platform":"Semanticscholar","paperid":null,"PeriodicalName":"Pediatric Radiology","FirstCategoryId":"3","ListUrlMain":"https://doi.org/10.1007/s00247-025-06343-x","RegionNum":3,"RegionCategory":"医学","ArticlePicture":[],"TitleCN":null,"AbstractTextCN":null,"PMCID":null,"EPubDate":"2025/8/2 0:00:00","PubModel":"Epub","JCR":"Q2","JCRName":"PEDIATRICS","Score":null,"Total":0}
引用次数: 0

摘要

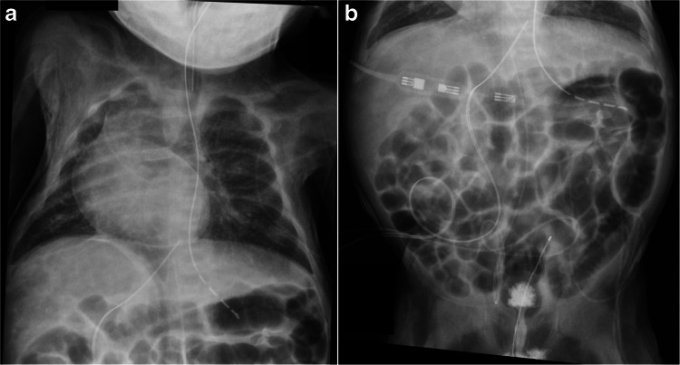
背景:弥漫性浆膜和软组织增强是婴儿心导管置入术后罕见的影像学现象。浆膜和软组织增强的外观可以模拟气腹,可能导致误诊和不必要的诊断程序。虽然病例报告中记录了浆膜和软组织增强,但没有研究系统地评估与其发展相关的危险因素。目的:确定婴儿心导管术后浆膜及软组织强化的频率,并确定与此现象相关的临床及影像学因素。材料和方法:本回顾性研究分析了2010年1月至2019年9月期间在我院接受心导管插入术的婴儿。手术后2天内获得的腹部x线片由三名儿科放射科医生独立审查是否存在浆膜和软组织增强。从电子病历中提取临床数据,包括对比剂、肾功能和心脏生理学。统计分析包括t检验和逻辑回归,以确定与浆膜和软组织增强相关的因素,并使用Fleiss kappa检验评估观察者间的信度。结果:在1796名接受心导管插入术的婴儿中,294名接受了腹部x线片随访。在21例(7.1%)患者中,所有三名放射科医生均发现浆膜和软组织增强。与浆膜和软组织增强相关的重要因素包括插管前和插管后肌酐水平较低(术前0.36±0.17 vs 0.46±0.30 mg/dL;P = 0.043;后0.35±0.11 vs 0.45±0.29 mg/dL;P=0.009),对比度更高(31.8±21.4 vs 21.0±18.1 mL;P=0.013),单位体表面积造影剂体积更高(123.0±69.2 vs 80.8±56.2 mL/m^2;P = 0.002)。浆膜和软组织增强在双心室心脏生理患者中更常见(125/294;42.5%比169/294;57.5%)。结论:一小部分新生儿心导管术后出现浆膜和软组织增强,并与较高的造影剂剂量和体表面积调整的造影剂体积有关。儿科放射科医师对浆膜和软组织增强的认识有助于避免气腹的误诊。
本文章由计算机程序翻译,如有差异,请以英文原文为准。

Incidence and factors associated with serosal and soft tissue enhancement after cardiac catheterization in infants.

Incidence and factors associated with serosal and soft tissue enhancement after cardiac catheterization in infants.

Incidence and factors associated with serosal and soft tissue enhancement after cardiac catheterization in infants.

Incidence and factors associated with serosal and soft tissue enhancement after cardiac catheterization in infants.

Background: Diffuse serosal and soft tissue enhancement is a rare imaging phenomenon observed in infants following cardiac catheterization. The appearance of serosal and soft tissue enhancement can mimic pneumoperitoneum, potentially leading to misdiagnosis and unnecessary diagnostic procedures. While serosal and soft tissue enhancement has been documented in case reports, no studies have systematically evaluated the risk factors associated with its development.

Objective: To determine the frequency of serosal and soft tissue enhancement in infants following cardiac catheterization and identify clinical and imaging factors associated with this phenomenon.

Materials and methods: This retrospective study analyzed infants who underwent cardiac catheterization at our institution between January 2010 and September 2019. Abdominal radiographs obtained within 2 days of the procedure were independently reviewed by three pediatric radiologists for the presence of serosal and soft tissue enhancement. Clinical data, including contrast dose, renal function, and cardiac physiology, were extracted from the electronic medical record. Statistical analysis, including t-tests and logistic regression, was performed to identify factors associated with serosal and soft tissue enhancement, with inter-observer reliability assessed using the Fleiss kappa test.

Results: Among 1,796 infants who underwent cardiac catheterization, 294 had follow-up abdominal radiographs. Serosal and soft tissue enhancement was identified as present by all three radiologists in 21 patients (7.1%). Significant factors associated with serosal and soft tissue enhancement included lower pre- and post-catheterization creatinine levels (pre- 0.36 ± 0.17 vs 0.46 ± 0.30 mg/dL; P=0.043; post- 0.35 ± 0.11 vs 0.45 ± 0.29 mg/dL; P=0.009), higher contrast volume (31.8 ± 21.4 vs 21.0 ± 18.1 mL; P=0.013), and higher contrast volume per body surface area (123.0 ± 69.2 vs 80.8 ± 56.2 mL/m^2; P=0.002). Serosal and soft tissue enhancement occurred more frequently in patients with bi-ventricular cardiac physiology (125/294; 42.5% compared to 169/294; 57.5%).

Conclusion: Serosal and soft tissue enhancement occurs in a small proportion of neonates following cardiac catheterization and is associated with higher contrast dosages and body surface area-adjusted contrast volumes. Awareness of serosal and soft tissue enhancement among pediatric radiologists is helpful to avoid misdiagnosis of pneumoperitoneum.

求助全文
通过发布文献求助,成功后即可免费获取论文全文。 去求助
来源期刊
Pediatric Radiology
Pediatric Radiology 医学-核医学
CiteScore
4.40
自引率
17.40%
发文量
300
审稿时长
3-6 weeks
期刊介绍: Official Journal of the European Society of Pediatric Radiology, the Society for Pediatric Radiology and the Asian and Oceanic Society for Pediatric Radiology Pediatric Radiology informs its readers of new findings and progress in all areas of pediatric imaging and in related fields. This is achieved by a blend of original papers, complemented by reviews that set out the present state of knowledge in a particular area of the specialty or summarize specific topics in which discussion has led to clear conclusions. Advances in technology, methodology, apparatus and auxiliary equipment are presented, and modifications of standard techniques are described. Manuscripts submitted for publication must contain a statement to the effect that all human studies have been reviewed by the appropriate ethics committee and have therefore been performed in accordance with the ethical standards laid down in an appropriate version of the 1964 Declaration of Helsinki. It should also be stated clearly in the text that all persons gave their informed consent prior to their inclusion in the study. Details that might disclose the identity of the subjects under study should be omitted.
×
引用
GB/T 7714-2015
复制
MLA
复制
APA
复制
导出至
BibTeX EndNote RefMan NoteFirst NoteExpress
×
提示
您的信息不完整,为了账户安全,请先补充。
现在去补充
×
提示
您因"违规操作"
具体请查看互助需知
我知道了
×
提示
确定
请完成安全验证×
copy
已复制链接
快去分享给好友吧!
我知道了
右上角分享
点击右上角分享
0
联系我们:info@booksci.cn Book学术提供免费学术资源搜索服务,方便国内外学者检索中英文文献。致力于提供最便捷和优质的服务体验。 Copyright © 2023 布克学术 All rights reserved.
京ICP备2023020795号-1
ghs 京公网安备 11010802042870号
Book学术文献互助
Book学术文献互助群
群 号:604180095
Book学术官方微信