镰状细胞病患儿急性软头综合征和眶受压综合征1例报告

IF 0.8 Q3 MEDICINE, GENERAL & INTERNAL
David Mukunya, Catherine Nabaggala, Oguttu Faith, Annet Nakirulu, Rebecca Claire Lusobya, Patience Atuhaire, Lyness Bitira, Doris Nduhukire, Robert Kitenge, Dorah Nakayiwa, Ruth Namazzi, Deogratias Munube
{"title":"镰状细胞病患儿急性软头综合征和眶受压综合征1例报告","authors":"David Mukunya, Catherine Nabaggala, Oguttu Faith, Annet Nakirulu, Rebecca Claire Lusobya, Patience Atuhaire, Lyness Bitira, Doris Nduhukire, Robert Kitenge, Dorah Nakayiwa, Ruth Namazzi, Deogratias Munube","doi":"10.1186/s13256-025-05467-w","DOIUrl":null,"url":null,"abstract":"<p><strong>Background: </strong>Sickle cell disease affects 7.7 million people worldwide, mostly in sub-Saharan Africa. However, due to migration trends, patients with sickle cell disease are increasingly found in the Western world. As such, knowing rare complications of sickle cell disease, such as acute soft head syndrome and orbital compression syndrome, is important to avoid misdiagnosis and mismanagement.</p><p><strong>Case presentation: </strong>A 9-year-old Ugandan male patient known to have sickle cell anemia presented to our pediatric emergency unit with areas of swelling of the head that progressed in a couple of hours to involve the right eye and were associated with a low-grade fever but no headache. A diagnosis of acute soft head syndrome complicated by orbital compression syndrome was made. The patient was treated conservatively with fluids, analgesia, steroids and prophylactic antibiotics. The orbital compression syndrome was complicated by a corneal ulcer; however, vision was retained in all visual fields due to the corneal ulcer's location below the pupillary axis.</p><p><strong>Conclusion: </strong>We highlight the reversible nature of acute soft head syndrome and orbital compression syndrome in a child with sickle cell disease. We also highlight the importance of protective eye care in orbital compression syndrome to avoid exposure keratopathy. Physicians should resist the temptation to aspirate these areas of swelling, as this can introduce infection.</p>","PeriodicalId":16236,"journal":{"name":"Journal of Medical Case Reports","volume":"19 1","pages":"383"},"PeriodicalIF":0.8000,"publicationDate":"2025-08-02","publicationTypes":"Journal Article","fieldsOfStudy":null,"isOpenAccess":false,"openAccessPdf":"https://www.ncbi.nlm.nih.gov/pmc/articles/PMC12318402/pdf/","citationCount":"0","resultStr":"{\"title\":\"Acute soft head syndrome and orbital compression syndrome in a child with sickle cell disease: a case report.\",\"authors\":\"David Mukunya, Catherine Nabaggala, Oguttu Faith, Annet Nakirulu, Rebecca Claire Lusobya, Patience Atuhaire, Lyness Bitira, Doris Nduhukire, Robert Kitenge, Dorah Nakayiwa, Ruth Namazzi, Deogratias Munube\",\"doi\":\"10.1186/s13256-025-05467-w\",\"DOIUrl\":null,\"url\":null,\"abstract\":\"<p><strong>Background: </strong>Sickle cell disease affects 7.7 million people worldwide, mostly in sub-Saharan Africa. However, due to migration trends, patients with sickle cell disease are increasingly found in the Western world. As such, knowing rare complications of sickle cell disease, such as acute soft head syndrome and orbital compression syndrome, is important to avoid misdiagnosis and mismanagement.</p><p><strong>Case presentation: </strong>A 9-year-old Ugandan male patient known to have sickle cell anemia presented to our pediatric emergency unit with areas of swelling of the head that progressed in a couple of hours to involve the right eye and were associated with a low-grade fever but no headache. A diagnosis of acute soft head syndrome complicated by orbital compression syndrome was made. The patient was treated conservatively with fluids, analgesia, steroids and prophylactic antibiotics. The orbital compression syndrome was complicated by a corneal ulcer; however, vision was retained in all visual fields due to the corneal ulcer's location below the pupillary axis.</p><p><strong>Conclusion: </strong>We highlight the reversible nature of acute soft head syndrome and orbital compression syndrome in a child with sickle cell disease. We also highlight the importance of protective eye care in orbital compression syndrome to avoid exposure keratopathy. Physicians should resist the temptation to aspirate these areas of swelling, as this can introduce infection.</p>\",\"PeriodicalId\":16236,\"journal\":{\"name\":\"Journal of Medical Case Reports\",\"volume\":\"19 1\",\"pages\":\"383\"},\"PeriodicalIF\":0.8000,\"publicationDate\":\"2025-08-02\",\"publicationTypes\":\"Journal Article\",\"fieldsOfStudy\":null,\"isOpenAccess\":false,\"openAccessPdf\":\"https://www.ncbi.nlm.nih.gov/pmc/articles/PMC12318402/pdf/\",\"citationCount\":\"0\",\"resultStr\":null,\"platform\":\"Semanticscholar\",\"paperid\":null,\"PeriodicalName\":\"Journal of Medical Case Reports\",\"FirstCategoryId\":\"1085\",\"ListUrlMain\":\"https://doi.org/10.1186/s13256-025-05467-w\",\"RegionNum\":0,\"RegionCategory\":null,\"ArticlePicture\":[],\"TitleCN\":null,\"AbstractTextCN\":null,\"PMCID\":null,\"EPubDate\":\"\",\"PubModel\":\"\",\"JCR\":\"Q3\",\"JCRName\":\"MEDICINE, GENERAL & INTERNAL\",\"Score\":null,\"Total\":0}","platform":"Semanticscholar","paperid":null,"PeriodicalName":"Journal of Medical Case Reports","FirstCategoryId":"1085","ListUrlMain":"https://doi.org/10.1186/s13256-025-05467-w","RegionNum":0,"RegionCategory":null,"ArticlePicture":[],"TitleCN":null,"AbstractTextCN":null,"PMCID":null,"EPubDate":"","PubModel":"","JCR":"Q3","JCRName":"MEDICINE, GENERAL & INTERNAL","Score":null,"Total":0}
引用次数: 0

摘要

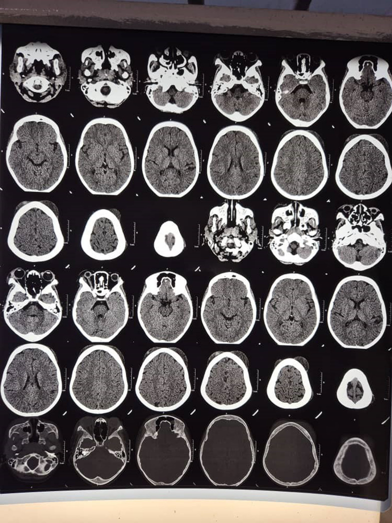
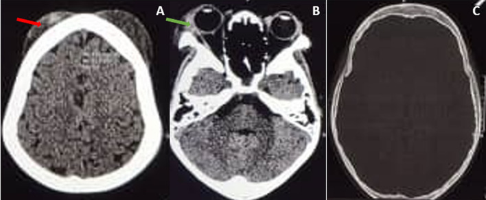
背景:镰状细胞病影响全球770万人,主要在撒哈拉以南非洲。然而,由于移民趋势,镰状细胞病患者越来越多地出现在西方世界。因此,了解镰状细胞病的罕见并发症,如急性软头综合征和眶压综合征,对避免误诊和治疗不当至关重要。病例介绍:一名已知患有镰状细胞性贫血的9岁乌干达男性患者来到我们的儿科急诊科,头部肿胀区域在几小时内进展到右眼,并伴有低烧但无头痛。诊断急性软头综合征合并眶受压综合征。患者给予液体、镇痛、类固醇和预防性抗生素保守治疗。眼眶压迫综合征并发角膜溃疡;然而,由于角膜溃疡位于瞳孔轴以下,所有视野的视力都保持不变。结论:我们强调了镰状细胞病儿童急性软头综合征和眶压综合征的可逆性。我们也强调了眼窝压迫综合征的保护眼护理的重要性,以避免暴露性角膜病变。医生应该抵制对这些肿胀区域进行抽吸的诱惑,因为这可能会引起感染。
本文章由计算机程序翻译,如有差异,请以英文原文为准。

Acute soft head syndrome and orbital compression syndrome in a child with sickle cell disease: a case report.

Acute soft head syndrome and orbital compression syndrome in a child with sickle cell disease: a case report.

Acute soft head syndrome and orbital compression syndrome in a child with sickle cell disease: a case report.

Acute soft head syndrome and orbital compression syndrome in a child with sickle cell disease: a case report.

Background: Sickle cell disease affects 7.7 million people worldwide, mostly in sub-Saharan Africa. However, due to migration trends, patients with sickle cell disease are increasingly found in the Western world. As such, knowing rare complications of sickle cell disease, such as acute soft head syndrome and orbital compression syndrome, is important to avoid misdiagnosis and mismanagement.

Case presentation: A 9-year-old Ugandan male patient known to have sickle cell anemia presented to our pediatric emergency unit with areas of swelling of the head that progressed in a couple of hours to involve the right eye and were associated with a low-grade fever but no headache. A diagnosis of acute soft head syndrome complicated by orbital compression syndrome was made. The patient was treated conservatively with fluids, analgesia, steroids and prophylactic antibiotics. The orbital compression syndrome was complicated by a corneal ulcer; however, vision was retained in all visual fields due to the corneal ulcer's location below the pupillary axis.

Conclusion: We highlight the reversible nature of acute soft head syndrome and orbital compression syndrome in a child with sickle cell disease. We also highlight the importance of protective eye care in orbital compression syndrome to avoid exposure keratopathy. Physicians should resist the temptation to aspirate these areas of swelling, as this can introduce infection.

求助全文
通过发布文献求助,成功后即可免费获取论文全文。 去求助
来源期刊
Journal of Medical Case Reports
Journal of Medical Case Reports Medicine-Medicine (all)
CiteScore
1.50
自引率
0.00%
发文量
436
期刊介绍: JMCR is an open access, peer-reviewed online journal that will consider any original case report that expands the field of general medical knowledge. Reports should show one of the following: 1. Unreported or unusual side effects or adverse interactions involving medications 2. Unexpected or unusual presentations of a disease 3. New associations or variations in disease processes 4. Presentations, diagnoses and/or management of new and emerging diseases 5. An unexpected association between diseases or symptoms 6. An unexpected event in the course of observing or treating a patient 7. Findings that shed new light on the possible pathogenesis of a disease or an adverse effect
×
引用
GB/T 7714-2015
复制
MLA
复制
APA
复制
导出至
BibTeX EndNote RefMan NoteFirst NoteExpress
×
提示
您的信息不完整,为了账户安全,请先补充。
现在去补充
×
提示
您因"违规操作"
具体请查看互助需知
我知道了
×
提示
确定
请完成安全验证×
copy
已复制链接
快去分享给好友吧!
我知道了
右上角分享
点击右上角分享
0
联系我们:info@booksci.cn Book学术提供免费学术资源搜索服务,方便国内外学者检索中英文文献。致力于提供最便捷和优质的服务体验。 Copyright © 2023 布克学术 All rights reserved.
京ICP备2023020795号-1
ghs 京公网安备 11010802042870号
Book学术文献互助
Book学术文献互助群
群 号:604180095
Book学术官方微信