铅马丹素通过dna甲基转移酶1 (DNMT1)/microRNA-302a-3p (miR-302a-3p)/ atp酶铜转运β (ATP7B)轴引发肝细胞癌(HCC)中的铜转移

IF 10.7 Q1 MEDICINE, RESEARCH & EXPERIMENTAL
MedComm Pub Date : 2025-08-03 DOI:10.1002/mco2.70312
Chuyu Wang, Hao Wang, Chong Wang, Tongtong Tian, Anli Jin, Yu Liu, Ran Huo, Te Liu, Baishen Pan, Wei Guo, Wenjing Yang, Beili Wang
{"title":"铅马丹素通过dna甲基转移酶1 (DNMT1)/microRNA-302a-3p (miR-302a-3p)/ atp酶铜转运β (ATP7B)轴引发肝细胞癌(HCC)中的铜转移","authors":"Chuyu Wang,&nbsp;Hao Wang,&nbsp;Chong Wang,&nbsp;Tongtong Tian,&nbsp;Anli Jin,&nbsp;Yu Liu,&nbsp;Ran Huo,&nbsp;Te Liu,&nbsp;Baishen Pan,&nbsp;Wei Guo,&nbsp;Wenjing Yang,&nbsp;Beili Wang","doi":"10.1002/mco2.70312","DOIUrl":null,"url":null,"abstract":"<p>Induction of cuproptosis in tumor cells is an emerging direction for cancer drug development. Plumbagin (PLB), a natural biological molecule, has anticancer activities, partially via copper-dependent mechanisms. But it remains unclear if PLB can induce cuproptosis in hepatocellular carcinoma (HCC). In this study, PLB showed HCC-suppressive activities and caused representative molecular phenotypes of cuproptosis, whereas tetrathiomolybdate, an inhibitor of cuproptosis, could alleviate these effects the most. The mRNA and protein expression levels of the primary hepatic copper exporter, ATPase copper transporting beta (ATP7B), decreased in PLB-treated HCC cells, which might cause the accumulation of intracellular copper and trigger cuproptosis. An upstream ATP7B-regulatory microRNA, microRNA-302a-3p (miR-302a-3p), was identified by quantification and validated by the overexpression/inhibition experiment and luciferase reporter assay. Moreover, PLB was found to reduce the protein level of DNA-methyltransferase 1 (DNMT1), thereby enhancing the promoter hypomethylation and the expression of miR-302a-3p. Gene manipulation experiments further demonstrated that ATP7B, miR-302a-3p, and DNMT1 mediated PLB-induced cuproptosis. Preliminary clinical analyses showed that low ATP7B expression levels were associated with better prognosis, supporting the importance of ATP7B-lowering therapeutic strategies in HCC. Together, our results indicate that PLB triggers HCC cuproptosis via the DNMT1/miR-302a-3p/ATP7B axis, providing a potential therapeutic strategy for HCC.</p>","PeriodicalId":94133,"journal":{"name":"MedComm","volume":"6 8","pages":""},"PeriodicalIF":10.7000,"publicationDate":"2025-08-03","publicationTypes":"Journal Article","fieldsOfStudy":null,"isOpenAccess":false,"openAccessPdf":"https://onlinelibrary.wiley.com/doi/epdf/10.1002/mco2.70312","citationCount":"0","resultStr":"{\"title\":\"Plumbagin Triggers Cuproptosis in Hepatocellular Carcinoma (HCC) via the DNA-Methyltransferase 1 (DNMT1)/microRNA-302a-3p (miR-302a-3p)/ATPase Copper Transporting Beta (ATP7B) Axis\",\"authors\":\"Chuyu Wang,&nbsp;Hao Wang,&nbsp;Chong Wang,&nbsp;Tongtong Tian,&nbsp;Anli Jin,&nbsp;Yu Liu,&nbsp;Ran Huo,&nbsp;Te Liu,&nbsp;Baishen Pan,&nbsp;Wei Guo,&nbsp;Wenjing Yang,&nbsp;Beili Wang\",\"doi\":\"10.1002/mco2.70312\",\"DOIUrl\":null,\"url\":null,\"abstract\":\"<p>Induction of cuproptosis in tumor cells is an emerging direction for cancer drug development. Plumbagin (PLB), a natural biological molecule, has anticancer activities, partially via copper-dependent mechanisms. But it remains unclear if PLB can induce cuproptosis in hepatocellular carcinoma (HCC). In this study, PLB showed HCC-suppressive activities and caused representative molecular phenotypes of cuproptosis, whereas tetrathiomolybdate, an inhibitor of cuproptosis, could alleviate these effects the most. The mRNA and protein expression levels of the primary hepatic copper exporter, ATPase copper transporting beta (ATP7B), decreased in PLB-treated HCC cells, which might cause the accumulation of intracellular copper and trigger cuproptosis. An upstream ATP7B-regulatory microRNA, microRNA-302a-3p (miR-302a-3p), was identified by quantification and validated by the overexpression/inhibition experiment and luciferase reporter assay. Moreover, PLB was found to reduce the protein level of DNA-methyltransferase 1 (DNMT1), thereby enhancing the promoter hypomethylation and the expression of miR-302a-3p. Gene manipulation experiments further demonstrated that ATP7B, miR-302a-3p, and DNMT1 mediated PLB-induced cuproptosis. Preliminary clinical analyses showed that low ATP7B expression levels were associated with better prognosis, supporting the importance of ATP7B-lowering therapeutic strategies in HCC. Together, our results indicate that PLB triggers HCC cuproptosis via the DNMT1/miR-302a-3p/ATP7B axis, providing a potential therapeutic strategy for HCC.</p>\",\"PeriodicalId\":94133,\"journal\":{\"name\":\"MedComm\",\"volume\":\"6 8\",\"pages\":\"\"},\"PeriodicalIF\":10.7000,\"publicationDate\":\"2025-08-03\",\"publicationTypes\":\"Journal Article\",\"fieldsOfStudy\":null,\"isOpenAccess\":false,\"openAccessPdf\":\"https://onlinelibrary.wiley.com/doi/epdf/10.1002/mco2.70312\",\"citationCount\":\"0\",\"resultStr\":null,\"platform\":\"Semanticscholar\",\"paperid\":null,\"PeriodicalName\":\"MedComm\",\"FirstCategoryId\":\"1085\",\"ListUrlMain\":\"https://onlinelibrary.wiley.com/doi/10.1002/mco2.70312\",\"RegionNum\":0,\"RegionCategory\":null,\"ArticlePicture\":[],\"TitleCN\":null,\"AbstractTextCN\":null,\"PMCID\":null,\"EPubDate\":\"\",\"PubModel\":\"\",\"JCR\":\"Q1\",\"JCRName\":\"MEDICINE, RESEARCH & EXPERIMENTAL\",\"Score\":null,\"Total\":0}","platform":"Semanticscholar","paperid":null,"PeriodicalName":"MedComm","FirstCategoryId":"1085","ListUrlMain":"https://onlinelibrary.wiley.com/doi/10.1002/mco2.70312","RegionNum":0,"RegionCategory":null,"ArticlePicture":[],"TitleCN":null,"AbstractTextCN":null,"PMCID":null,"EPubDate":"","PubModel":"","JCR":"Q1","JCRName":"MEDICINE, RESEARCH & EXPERIMENTAL","Score":null,"Total":0}
引用次数: 0

摘要

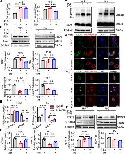
诱导肿瘤细胞铜增生是肿瘤药物开发的一个新兴方向。白丹素(PLB)是一种天然的生物分子,具有抗癌活性,部分是通过铜依赖机制实现的。但目前尚不清楚PLB是否能在肝细胞癌(HCC)中诱导cuprotosis。在本研究中,PLB具有hcc抑制活性,并引起cuprotosis的典型分子表型,而cuprotosis抑制剂四硫钼酸盐最能缓解这些影响。肝内主要铜输出物ATPase铜转运β (ATP7B)的mRNA和蛋白表达水平在plb处理的HCC细胞中下降,这可能导致细胞内铜的积累并引发铜沉积。通过定量鉴定atp7b上游调控microRNA-302a-3p (miR-302a-3p),并通过过表达/抑制实验和荧光素酶报告基因实验进行验证。此外,我们发现PLB可以降低dna甲基转移酶1 (DNMT1)的蛋白水平,从而增强启动子的低甲基化和miR-302a-3p的表达。基因操作实验进一步证明,ATP7B、miR-302a-3p和DNMT1介导plb诱导的铜体畸形。初步临床分析显示,低ATP7B表达水平与较好的预后相关,支持降低ATP7B治疗策略在HCC中的重要性。总之,我们的研究结果表明,PLB通过DNMT1/miR-302a-3p/ATP7B轴触发HCC铜变,为HCC提供了一种潜在的治疗策略。
本文章由计算机程序翻译,如有差异,请以英文原文为准。

Plumbagin Triggers Cuproptosis in Hepatocellular Carcinoma (HCC) via the DNA-Methyltransferase 1 (DNMT1)/microRNA-302a-3p (miR-302a-3p)/ATPase Copper Transporting Beta (ATP7B) Axis

Plumbagin Triggers Cuproptosis in Hepatocellular Carcinoma (HCC) via the DNA-Methyltransferase 1 (DNMT1)/microRNA-302a-3p (miR-302a-3p)/ATPase Copper Transporting Beta (ATP7B) Axis

Induction of cuproptosis in tumor cells is an emerging direction for cancer drug development. Plumbagin (PLB), a natural biological molecule, has anticancer activities, partially via copper-dependent mechanisms. But it remains unclear if PLB can induce cuproptosis in hepatocellular carcinoma (HCC). In this study, PLB showed HCC-suppressive activities and caused representative molecular phenotypes of cuproptosis, whereas tetrathiomolybdate, an inhibitor of cuproptosis, could alleviate these effects the most. The mRNA and protein expression levels of the primary hepatic copper exporter, ATPase copper transporting beta (ATP7B), decreased in PLB-treated HCC cells, which might cause the accumulation of intracellular copper and trigger cuproptosis. An upstream ATP7B-regulatory microRNA, microRNA-302a-3p (miR-302a-3p), was identified by quantification and validated by the overexpression/inhibition experiment and luciferase reporter assay. Moreover, PLB was found to reduce the protein level of DNA-methyltransferase 1 (DNMT1), thereby enhancing the promoter hypomethylation and the expression of miR-302a-3p. Gene manipulation experiments further demonstrated that ATP7B, miR-302a-3p, and DNMT1 mediated PLB-induced cuproptosis. Preliminary clinical analyses showed that low ATP7B expression levels were associated with better prognosis, supporting the importance of ATP7B-lowering therapeutic strategies in HCC. Together, our results indicate that PLB triggers HCC cuproptosis via the DNMT1/miR-302a-3p/ATP7B axis, providing a potential therapeutic strategy for HCC.

求助全文
通过发布文献求助,成功后即可免费获取论文全文。 去求助
来源期刊
CiteScore
6.70
自引率
0.00%
发文量
0
审稿时长
10 weeks
×
引用
GB/T 7714-2015
复制
MLA
复制
APA
复制
导出至
BibTeX EndNote RefMan NoteFirst NoteExpress
×
提示
您的信息不完整,为了账户安全,请先补充。
现在去补充
×
提示
您因"违规操作"
具体请查看互助需知
我知道了
×
提示
确定
请完成安全验证×
copy
已复制链接
快去分享给好友吧!
我知道了
右上角分享
点击右上角分享
0
联系我们:info@booksci.cn Book学术提供免费学术资源搜索服务,方便国内外学者检索中英文文献。致力于提供最便捷和优质的服务体验。 Copyright © 2023 布克学术 All rights reserved.
京ICP备2023020795号-1
ghs 京公网安备 11010802042870号
Book学术文献互助
Book学术文献互助群
群 号:604180095
Book学术官方微信