北毛海豹胎盘中刚地弓形虫的分离及其经胎盘传播的可能性。

IF 2.4 2区 医学 Q2 PARASITOLOGY
Parasite Pub Date : 2025-01-01 Epub Date: 2025-08-01 DOI:10.1051/parasite/2025045
Gaohui Mao, Bingyan Guo, Shanshan Xie, Yurong Yang
{"title":"北毛海豹胎盘中刚地弓形虫的分离及其经胎盘传播的可能性。","authors":"Gaohui Mao, Bingyan Guo, Shanshan Xie, Yurong Yang","doi":"10.1051/parasite/2025045","DOIUrl":null,"url":null,"abstract":"<p><p>Toxoplasma gondii infects almost all warm-blooded animals, including marine mammals. Toxoplasmosis has been reported in wild and captive marine mammals in North America; however, no viable T. gondii strains have been isolated from northern fur seals. In this study, reproduction and T. gondii infection status were investigated in 10 northern fur seals (Callorhinus ursinus), from tissues collected from 2012 to 2024 in China. Toxoplasma gondii infections were determined by the modified agglutination test (MAT), PCR, immunohistochemical (IHC) staining, and isolation of the parasite by bioassay in mice. MAT was performed using placenta or tissue exudates to detect anti-T. gondii IgG antibodies. Four of the 10 seals had anti-T. gondii antibodies; Toxoplasma gondii DNA was detected by PCR in placenta tissues of two of these four animals, and T. gondii antibody positive reactions were observed in four seals by IHC. A viable T. gondii strain, TgFurSealCHn1, was isolated from placenta of one seal by bioassay in mice. In all, five seals had signs of T. gondii infection, and three of them had fetal stillbirth. One stillborn fetus had T. gondii nucleic acid detected by PCR, indicating potential vertical transmission of the parasite. Multilocus genetic typing of the TgFurSealCHn1 isolate revealed ToxoDB #5 genotype, which had demonstrated avirulence in Swiss Webster outbred mice, and the ROP18/ROP5 type was 2/2. ToxoDB #5 is the dominant genotype of wild terrestrial and marine mammals in North America. This is the first report of a viable T. gondii strain isolated from northern fur seal placenta.</p>","PeriodicalId":19796,"journal":{"name":"Parasite","volume":"32 ","pages":"48"},"PeriodicalIF":2.4000,"publicationDate":"2025-01-01","publicationTypes":"Journal Article","fieldsOfStudy":null,"isOpenAccess":false,"openAccessPdf":"https://www.ncbi.nlm.nih.gov/pmc/articles/PMC12316408/pdf/","citationCount":"0","resultStr":"{\"title\":\"Isolation of Toxoplasma gondii from the placenta of northern fur seals (Callorhinus ursinus) and potential transplacental transmission of the parasite.\",\"authors\":\"Gaohui Mao, Bingyan Guo, Shanshan Xie, Yurong Yang\",\"doi\":\"10.1051/parasite/2025045\",\"DOIUrl\":null,\"url\":null,\"abstract\":\"<p><p>Toxoplasma gondii infects almost all warm-blooded animals, including marine mammals. Toxoplasmosis has been reported in wild and captive marine mammals in North America; however, no viable T. gondii strains have been isolated from northern fur seals. In this study, reproduction and T. gondii infection status were investigated in 10 northern fur seals (Callorhinus ursinus), from tissues collected from 2012 to 2024 in China. Toxoplasma gondii infections were determined by the modified agglutination test (MAT), PCR, immunohistochemical (IHC) staining, and isolation of the parasite by bioassay in mice. MAT was performed using placenta or tissue exudates to detect anti-T. gondii IgG antibodies. Four of the 10 seals had anti-T. gondii antibodies; Toxoplasma gondii DNA was detected by PCR in placenta tissues of two of these four animals, and T. gondii antibody positive reactions were observed in four seals by IHC. A viable T. gondii strain, TgFurSealCHn1, was isolated from placenta of one seal by bioassay in mice. In all, five seals had signs of T. gondii infection, and three of them had fetal stillbirth. One stillborn fetus had T. gondii nucleic acid detected by PCR, indicating potential vertical transmission of the parasite. Multilocus genetic typing of the TgFurSealCHn1 isolate revealed ToxoDB #5 genotype, which had demonstrated avirulence in Swiss Webster outbred mice, and the ROP18/ROP5 type was 2/2. ToxoDB #5 is the dominant genotype of wild terrestrial and marine mammals in North America. This is the first report of a viable T. gondii strain isolated from northern fur seal placenta.</p>\",\"PeriodicalId\":19796,\"journal\":{\"name\":\"Parasite\",\"volume\":\"32 \",\"pages\":\"48\"},\"PeriodicalIF\":2.4000,\"publicationDate\":\"2025-01-01\",\"publicationTypes\":\"Journal Article\",\"fieldsOfStudy\":null,\"isOpenAccess\":false,\"openAccessPdf\":\"https://www.ncbi.nlm.nih.gov/pmc/articles/PMC12316408/pdf/\",\"citationCount\":\"0\",\"resultStr\":null,\"platform\":\"Semanticscholar\",\"paperid\":null,\"PeriodicalName\":\"Parasite\",\"FirstCategoryId\":\"3\",\"ListUrlMain\":\"https://doi.org/10.1051/parasite/2025045\",\"RegionNum\":2,\"RegionCategory\":\"医学\",\"ArticlePicture\":[],\"TitleCN\":null,\"AbstractTextCN\":null,\"PMCID\":null,\"EPubDate\":\"2025/8/1 0:00:00\",\"PubModel\":\"Epub\",\"JCR\":\"Q2\",\"JCRName\":\"PARASITOLOGY\",\"Score\":null,\"Total\":0}","platform":"Semanticscholar","paperid":null,"PeriodicalName":"Parasite","FirstCategoryId":"3","ListUrlMain":"https://doi.org/10.1051/parasite/2025045","RegionNum":2,"RegionCategory":"医学","ArticlePicture":[],"TitleCN":null,"AbstractTextCN":null,"PMCID":null,"EPubDate":"2025/8/1 0:00:00","PubModel":"Epub","JCR":"Q2","JCRName":"PARASITOLOGY","Score":null,"Total":0}
引用次数: 0

摘要

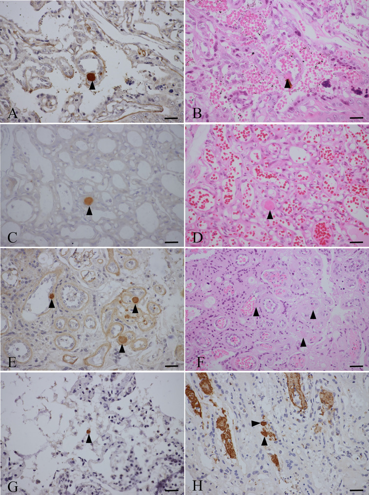
刚地弓形虫几乎感染所有温血动物,包括海洋哺乳动物。据报道,北美的野生和圈养海洋哺乳动物中存在弓形虫病;然而,没有从北方毛海豹中分离出有活力的弓形虫菌株。本研究对2012 - 2024年在中国采集的10只北方海狗的生殖和弓形虫感染情况进行了调查。采用改良凝集试验(MAT)、聚合酶链反应(PCR)、免疫组化(IHC)染色和生物测定法分离小鼠弓形虫感染情况。采用胎盘或组织渗出液进行MAT检测抗t。刚地IgG抗体。10个封条中有4个有抗t抗体。刚抗体;其中2只动物胎盘组织中PCR检测到刚地弓形虫DNA, 4只动物免疫组化检测到刚地弓形虫抗体阳性反应。从一只海豹的胎盘中分离出一株有活力的刚地弓形虫TgFurSealCHn1。总共有5只海豹有弓形虫感染的迹象,其中3只有死胎。1例死产胎儿PCR检测到弓形虫核酸,提示弓形虫可能垂直传播。TgFurSealCHn1分离物的多位点遗传分型显示弓形虫b #5基因型,在瑞士Webster远交种小鼠中显示出无毒,ROP18/ROP5型为2/2。弓形虫b #5是北美野生陆生和海洋哺乳动物的优势基因型。这是首次从北方毛海豹胎盘中分离到一株有活力的刚地弓形虫。
本文章由计算机程序翻译,如有差异,请以英文原文为准。

Isolation of Toxoplasma gondii from the placenta of northern fur seals (Callorhinus ursinus) and potential transplacental transmission of the parasite.

Isolation of Toxoplasma gondii from the placenta of northern fur seals (Callorhinus ursinus) and potential transplacental transmission of the parasite.

Isolation of Toxoplasma gondii from the placenta of northern fur seals (Callorhinus ursinus) and potential transplacental transmission of the parasite.

Isolation of Toxoplasma gondii from the placenta of northern fur seals (Callorhinus ursinus) and potential transplacental transmission of the parasite.

Toxoplasma gondii infects almost all warm-blooded animals, including marine mammals. Toxoplasmosis has been reported in wild and captive marine mammals in North America; however, no viable T. gondii strains have been isolated from northern fur seals. In this study, reproduction and T. gondii infection status were investigated in 10 northern fur seals (Callorhinus ursinus), from tissues collected from 2012 to 2024 in China. Toxoplasma gondii infections were determined by the modified agglutination test (MAT), PCR, immunohistochemical (IHC) staining, and isolation of the parasite by bioassay in mice. MAT was performed using placenta or tissue exudates to detect anti-T. gondii IgG antibodies. Four of the 10 seals had anti-T. gondii antibodies; Toxoplasma gondii DNA was detected by PCR in placenta tissues of two of these four animals, and T. gondii antibody positive reactions were observed in four seals by IHC. A viable T. gondii strain, TgFurSealCHn1, was isolated from placenta of one seal by bioassay in mice. In all, five seals had signs of T. gondii infection, and three of them had fetal stillbirth. One stillborn fetus had T. gondii nucleic acid detected by PCR, indicating potential vertical transmission of the parasite. Multilocus genetic typing of the TgFurSealCHn1 isolate revealed ToxoDB #5 genotype, which had demonstrated avirulence in Swiss Webster outbred mice, and the ROP18/ROP5 type was 2/2. ToxoDB #5 is the dominant genotype of wild terrestrial and marine mammals in North America. This is the first report of a viable T. gondii strain isolated from northern fur seal placenta.

求助全文
通过发布文献求助,成功后即可免费获取论文全文。 去求助
来源期刊
Parasite
Parasite 医学-寄生虫学
CiteScore
5.50
自引率
6.90%
发文量
49
审稿时长
3 months
期刊介绍: Parasite is an international open-access, peer-reviewed, online journal publishing high quality papers on all aspects of human and animal parasitology. Reviews, articles and short notes may be submitted. Fields include, but are not limited to: general, medical and veterinary parasitology; morphology, including ultrastructure; parasite systematics, including entomology, acarology, helminthology and protistology, and molecular analyses; molecular biology and biochemistry; immunology of parasitic diseases; host-parasite relationships; ecology and life history of parasites; epidemiology; therapeutics; new diagnostic tools. All papers in Parasite are published in English. Manuscripts should have a broad interest and must not have been published or submitted elsewhere. No limit is imposed on the length of manuscripts, but they should be concisely written. Papers of limited interest such as case reports, epidemiological studies in punctual areas, isolated new geographical records, and systematic descriptions of single species will generally not be accepted, but might be considered if the authors succeed in demonstrating their interest.
×
引用
GB/T 7714-2015
复制
MLA
复制
APA
复制
导出至
BibTeX EndNote RefMan NoteFirst NoteExpress
×
提示
您的信息不完整,为了账户安全,请先补充。
现在去补充
×
提示
您因"违规操作"
具体请查看互助需知
我知道了
×
提示
确定
请完成安全验证×
copy
已复制链接
快去分享给好友吧!
我知道了
右上角分享
点击右上角分享
0
联系我们:info@booksci.cn Book学术提供免费学术资源搜索服务,方便国内外学者检索中英文文献。致力于提供最便捷和优质的服务体验。 Copyright © 2023 布克学术 All rights reserved.
京ICP备2023020795号-1
ghs 京公网安备 11010802042870号
Book学术文献互助
Book学术文献互助群
群 号:604180095
Book学术官方微信