免疫检查点抑制剂治疗后转移性黑色素瘤患者发生igg4相关疾病伴间质性肾炎:1例报告

IF 2.5 Q3 RHEUMATOLOGY
Thabuna Sivaprakasam, Prachaya Nitchaikulvatana, Jodi Gedallovich, Jagruti Shah, Matthew Charles Baker
{"title":"免疫检查点抑制剂治疗后转移性黑色素瘤患者发生igg4相关疾病伴间质性肾炎:1例报告","authors":"Thabuna Sivaprakasam, Prachaya Nitchaikulvatana, Jodi Gedallovich, Jagruti Shah, Matthew Charles Baker","doi":"10.1186/s41927-025-00548-1","DOIUrl":null,"url":null,"abstract":"<p><strong>Background: </strong>Immune checkpoint inhibitors (ICIs) have become a cornerstone in the treatment of metastatic melanoma. Several case reports have documented IgG4-related disease (IgG4-RD) as an adverse event following ICI therapy. Here we report the first instance of interstitial nephritis associated with IgG4-RD as an immune-related adverse event (irAE) following ICI treatment.</p><p><strong>Case presentation: </strong>A 71-year-old male with malignant melanoma (BRAF wild-type) initially received one cycle of adjuvant pembrolizumab, followed by four cycles of ipilimumab/nivolumab after the occurrence of lung metastases. Four months later, a follow-up computed tomography (CT) revealed infiltrative masses in the kidneys, along with abnormal mediastinal and hilar lymphadenopathy but his baseline serum creatinine remained stable. A subsequent kidney biopsy showed renal parenchyma with significant interstitial nephritis and an increase in IgG4-positive plasma cells, with no evidence of malignancy. Plasma IgG4 levels were elevated at 294 mg/dL (normal 11-157 mg/dL), and complement C4 level was low at < 8 mg/dL. In addition, the patient had an asymptomatic rise in lipase (105 U/L, normal 7-60 U/L), but had no other findings to suggest pancreatitis. The patient was started on prednisone 40 mg daily with a plan to taper. A follow-up CT scan performed four weeks later showed near-complete resolution of the previously observed mediastinal lymphadenopathy and bilateral infiltrative renal masses.</p><p><strong>Conclusion: </strong>This represents the first reported case of interstitial nephritis resulting from IgG4-related disease following ICI treatment. Clinicians should consider the potential for IgG4-RD, particularly with associated renal manifestations, in patients undergoing ICI therapy. Early recognition and treatment of this rare side effect can significantly impact the clinical outcome. This case highlights the importance of being vigilant for uncommon and new adverse effects following ICI treatment, especially as the field continues to evolve and new immunotherapies are developed.</p><p><strong>Clinical trial number: </strong>Not applicable.</p>","PeriodicalId":9150,"journal":{"name":"BMC Rheumatology","volume":"9 1","pages":"95"},"PeriodicalIF":2.5000,"publicationDate":"2025-08-01","publicationTypes":"Journal Article","fieldsOfStudy":null,"isOpenAccess":false,"openAccessPdf":"https://www.ncbi.nlm.nih.gov/pmc/articles/PMC12315461/pdf/","citationCount":"0","resultStr":"{\"title\":\"IgG4-related disease with interstitial nephritis in a patient with metastatic melanoma following immune checkpoint inhibitor treatment: a case report.\",\"authors\":\"Thabuna Sivaprakasam, Prachaya Nitchaikulvatana, Jodi Gedallovich, Jagruti Shah, Matthew Charles Baker\",\"doi\":\"10.1186/s41927-025-00548-1\",\"DOIUrl\":null,\"url\":null,\"abstract\":\"<p><strong>Background: </strong>Immune checkpoint inhibitors (ICIs) have become a cornerstone in the treatment of metastatic melanoma. Several case reports have documented IgG4-related disease (IgG4-RD) as an adverse event following ICI therapy. Here we report the first instance of interstitial nephritis associated with IgG4-RD as an immune-related adverse event (irAE) following ICI treatment.</p><p><strong>Case presentation: </strong>A 71-year-old male with malignant melanoma (BRAF wild-type) initially received one cycle of adjuvant pembrolizumab, followed by four cycles of ipilimumab/nivolumab after the occurrence of lung metastases. Four months later, a follow-up computed tomography (CT) revealed infiltrative masses in the kidneys, along with abnormal mediastinal and hilar lymphadenopathy but his baseline serum creatinine remained stable. A subsequent kidney biopsy showed renal parenchyma with significant interstitial nephritis and an increase in IgG4-positive plasma cells, with no evidence of malignancy. Plasma IgG4 levels were elevated at 294 mg/dL (normal 11-157 mg/dL), and complement C4 level was low at < 8 mg/dL. In addition, the patient had an asymptomatic rise in lipase (105 U/L, normal 7-60 U/L), but had no other findings to suggest pancreatitis. The patient was started on prednisone 40 mg daily with a plan to taper. A follow-up CT scan performed four weeks later showed near-complete resolution of the previously observed mediastinal lymphadenopathy and bilateral infiltrative renal masses.</p><p><strong>Conclusion: </strong>This represents the first reported case of interstitial nephritis resulting from IgG4-related disease following ICI treatment. Clinicians should consider the potential for IgG4-RD, particularly with associated renal manifestations, in patients undergoing ICI therapy. Early recognition and treatment of this rare side effect can significantly impact the clinical outcome. This case highlights the importance of being vigilant for uncommon and new adverse effects following ICI treatment, especially as the field continues to evolve and new immunotherapies are developed.</p><p><strong>Clinical trial number: </strong>Not applicable.</p>\",\"PeriodicalId\":9150,\"journal\":{\"name\":\"BMC Rheumatology\",\"volume\":\"9 1\",\"pages\":\"95\"},\"PeriodicalIF\":2.5000,\"publicationDate\":\"2025-08-01\",\"publicationTypes\":\"Journal Article\",\"fieldsOfStudy\":null,\"isOpenAccess\":false,\"openAccessPdf\":\"https://www.ncbi.nlm.nih.gov/pmc/articles/PMC12315461/pdf/\",\"citationCount\":\"0\",\"resultStr\":null,\"platform\":\"Semanticscholar\",\"paperid\":null,\"PeriodicalName\":\"BMC Rheumatology\",\"FirstCategoryId\":\"1085\",\"ListUrlMain\":\"https://doi.org/10.1186/s41927-025-00548-1\",\"RegionNum\":0,\"RegionCategory\":null,\"ArticlePicture\":[],\"TitleCN\":null,\"AbstractTextCN\":null,\"PMCID\":null,\"EPubDate\":\"\",\"PubModel\":\"\",\"JCR\":\"Q3\",\"JCRName\":\"RHEUMATOLOGY\",\"Score\":null,\"Total\":0}","platform":"Semanticscholar","paperid":null,"PeriodicalName":"BMC Rheumatology","FirstCategoryId":"1085","ListUrlMain":"https://doi.org/10.1186/s41927-025-00548-1","RegionNum":0,"RegionCategory":null,"ArticlePicture":[],"TitleCN":null,"AbstractTextCN":null,"PMCID":null,"EPubDate":"","PubModel":"","JCR":"Q3","JCRName":"RHEUMATOLOGY","Score":null,"Total":0}
引用次数: 0

摘要

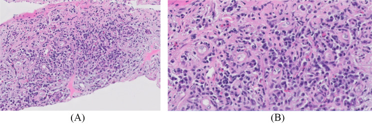
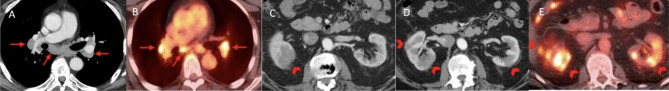
背景:免疫检查点抑制剂(ICIs)已成为转移性黑色素瘤治疗的基石。一些病例报告已经记录了igg4相关疾病(IgG4-RD)作为ICI治疗后的不良事件。在这里,我们报告了第一例与IgG4-RD相关的间质性肾炎作为ICI治疗后的免疫相关不良事件(irAE)。病例介绍:一名71岁男性恶性黑色素瘤(BRAF野生型)患者最初接受了一个周期的辅助派姆单抗,随后在发生肺转移后接受了四个周期的伊匹单抗/纳沃单抗。四个月后,随访的计算机断层扫描(CT)显示肾脏浸润性肿块,同时纵膈和肝门淋巴结病变异常,但他的基线血清肌酐保持稳定。随后的肾活检显示肾实质有明显的间质性肾炎和igg4阳性浆细胞增加,没有恶性肿瘤的证据。血浆IgG4水平升高至294 mg/dL(正常11-157 mg/dL),补体C4水平低。结论:这是第一例在ICI治疗后由IgG4相关疾病引起的间质性肾炎。临床医生应考虑在接受ICI治疗的患者中发生IgG4-RD的可能性,特别是与肾脏相关的表现。早期认识和治疗这种罕见的副作用可以显著影响临床结果。该病例强调了警惕ICI治疗后不常见和新的不良反应的重要性,特别是随着该领域的不断发展和新的免疫疗法的发展。临床试验号:不适用。
本文章由计算机程序翻译,如有差异,请以英文原文为准。

IgG4-related disease with interstitial nephritis in a patient with metastatic melanoma following immune checkpoint inhibitor treatment: a case report.

IgG4-related disease with interstitial nephritis in a patient with metastatic melanoma following immune checkpoint inhibitor treatment: a case report.

IgG4-related disease with interstitial nephritis in a patient with metastatic melanoma following immune checkpoint inhibitor treatment: a case report.

IgG4-related disease with interstitial nephritis in a patient with metastatic melanoma following immune checkpoint inhibitor treatment: a case report.

Background: Immune checkpoint inhibitors (ICIs) have become a cornerstone in the treatment of metastatic melanoma. Several case reports have documented IgG4-related disease (IgG4-RD) as an adverse event following ICI therapy. Here we report the first instance of interstitial nephritis associated with IgG4-RD as an immune-related adverse event (irAE) following ICI treatment.

Case presentation: A 71-year-old male with malignant melanoma (BRAF wild-type) initially received one cycle of adjuvant pembrolizumab, followed by four cycles of ipilimumab/nivolumab after the occurrence of lung metastases. Four months later, a follow-up computed tomography (CT) revealed infiltrative masses in the kidneys, along with abnormal mediastinal and hilar lymphadenopathy but his baseline serum creatinine remained stable. A subsequent kidney biopsy showed renal parenchyma with significant interstitial nephritis and an increase in IgG4-positive plasma cells, with no evidence of malignancy. Plasma IgG4 levels were elevated at 294 mg/dL (normal 11-157 mg/dL), and complement C4 level was low at < 8 mg/dL. In addition, the patient had an asymptomatic rise in lipase (105 U/L, normal 7-60 U/L), but had no other findings to suggest pancreatitis. The patient was started on prednisone 40 mg daily with a plan to taper. A follow-up CT scan performed four weeks later showed near-complete resolution of the previously observed mediastinal lymphadenopathy and bilateral infiltrative renal masses.

Conclusion: This represents the first reported case of interstitial nephritis resulting from IgG4-related disease following ICI treatment. Clinicians should consider the potential for IgG4-RD, particularly with associated renal manifestations, in patients undergoing ICI therapy. Early recognition and treatment of this rare side effect can significantly impact the clinical outcome. This case highlights the importance of being vigilant for uncommon and new adverse effects following ICI treatment, especially as the field continues to evolve and new immunotherapies are developed.

Clinical trial number: Not applicable.

求助全文
通过发布文献求助,成功后即可免费获取论文全文。 去求助
来源期刊
BMC Rheumatology
BMC Rheumatology Medicine-Rheumatology
CiteScore
3.80
自引率
0.00%
发文量
73
审稿时长
15 weeks
×
引用
GB/T 7714-2015
复制
MLA
复制
APA
复制
导出至
BibTeX EndNote RefMan NoteFirst NoteExpress
×
提示
您的信息不完整,为了账户安全,请先补充。
现在去补充
×
提示
您因"违规操作"
具体请查看互助需知
我知道了
×
提示
确定
请完成安全验证×
copy
已复制链接
快去分享给好友吧!
我知道了
右上角分享
点击右上角分享
0
联系我们:info@booksci.cn Book学术提供免费学术资源搜索服务,方便国内外学者检索中英文文献。致力于提供最便捷和优质的服务体验。 Copyright © 2023 布克学术 All rights reserved.
京ICP备2023020795号-1
ghs 京公网安备 11010802042870号
Book学术文献互助
Book学术文献互助群
群 号:604180095
Book学术官方微信