[突尼斯布鲁氏菌心内膜炎1例]。

Medecine tropicale et sante internationale Pub Date : 2025-03-04 eCollection Date: 2025-06-30 DOI:10.48327/mtsi.v5i2.2025.668
Oussema Haddar, Rania Ammar, Mabrouk Bahloul, Chokri Ben Hamida
{"title":"[突尼斯布鲁氏菌心内膜炎1例]。","authors":"Oussema Haddar, Rania Ammar, Mabrouk Bahloul, Chokri Ben Hamida","doi":"10.48327/mtsi.v5i2.2025.668","DOIUrl":null,"url":null,"abstract":"<p><strong>Introduction: </strong><i>Brucella</i> endocarditis (BE) is a rare but serious complication of brucellosis and is the leading cause of death from this infection. It is often difficult to diagnose due to its non-specific symptoms and low prevalence.</p><p><strong>Observation: </strong>This clinical case concerns a 59-year-old man with a mechanical aortic prosthesis who presented with heart failure with prosthetic disconnection, aortic annulus abscess, and negative blood cultures. The diagnosis was confirmed by serologic testing and culture of the surgical specimen, which revealed infection with <i>B. melitensis</i> associated with consumption of unpasteurized raw milk. Treatment required surgery to replace the prosthesis and drain the abscess, and prolonged antibiotic therapy with doxycycline, cotrimoxazole, and rifampicin. Despite postoperative complications, hemodynamic and infectious outcomes were favorable.</p><p><strong>Conclusion: </strong>This case highlights the importance of a multidisciplinary approach, including targeted serologic testing and cardiac imaging, for early diagnosis. It also emphasizes the need for surgical management combined with appropriate antibiotic therapy to improve the prognosis of patients with BE.</p>","PeriodicalId":101416,"journal":{"name":"Medecine tropicale et sante internationale","volume":"5 2","pages":""},"PeriodicalIF":0.0000,"publicationDate":"2025-03-04","publicationTypes":"Journal Article","fieldsOfStudy":null,"isOpenAccess":false,"openAccessPdf":"https://www.ncbi.nlm.nih.gov/pmc/articles/PMC12308575/pdf/","citationCount":"0","resultStr":"{\"title\":\"[A case of brucella endocarditis in Tunisia].\",\"authors\":\"Oussema Haddar, Rania Ammar, Mabrouk Bahloul, Chokri Ben Hamida\",\"doi\":\"10.48327/mtsi.v5i2.2025.668\",\"DOIUrl\":null,\"url\":null,\"abstract\":\"<p><strong>Introduction: </strong><i>Brucella</i> endocarditis (BE) is a rare but serious complication of brucellosis and is the leading cause of death from this infection. It is often difficult to diagnose due to its non-specific symptoms and low prevalence.</p><p><strong>Observation: </strong>This clinical case concerns a 59-year-old man with a mechanical aortic prosthesis who presented with heart failure with prosthetic disconnection, aortic annulus abscess, and negative blood cultures. The diagnosis was confirmed by serologic testing and culture of the surgical specimen, which revealed infection with <i>B. melitensis</i> associated with consumption of unpasteurized raw milk. Treatment required surgery to replace the prosthesis and drain the abscess, and prolonged antibiotic therapy with doxycycline, cotrimoxazole, and rifampicin. Despite postoperative complications, hemodynamic and infectious outcomes were favorable.</p><p><strong>Conclusion: </strong>This case highlights the importance of a multidisciplinary approach, including targeted serologic testing and cardiac imaging, for early diagnosis. It also emphasizes the need for surgical management combined with appropriate antibiotic therapy to improve the prognosis of patients with BE.</p>\",\"PeriodicalId\":101416,\"journal\":{\"name\":\"Medecine tropicale et sante internationale\",\"volume\":\"5 2\",\"pages\":\"\"},\"PeriodicalIF\":0.0000,\"publicationDate\":\"2025-03-04\",\"publicationTypes\":\"Journal Article\",\"fieldsOfStudy\":null,\"isOpenAccess\":false,\"openAccessPdf\":\"https://www.ncbi.nlm.nih.gov/pmc/articles/PMC12308575/pdf/\",\"citationCount\":\"0\",\"resultStr\":null,\"platform\":\"Semanticscholar\",\"paperid\":null,\"PeriodicalName\":\"Medecine tropicale et sante internationale\",\"FirstCategoryId\":\"1085\",\"ListUrlMain\":\"https://doi.org/10.48327/mtsi.v5i2.2025.668\",\"RegionNum\":0,\"RegionCategory\":null,\"ArticlePicture\":[],\"TitleCN\":null,\"AbstractTextCN\":null,\"PMCID\":null,\"EPubDate\":\"2025/6/30 0:00:00\",\"PubModel\":\"eCollection\",\"JCR\":\"\",\"JCRName\":\"\",\"Score\":null,\"Total\":0}","platform":"Semanticscholar","paperid":null,"PeriodicalName":"Medecine tropicale et sante internationale","FirstCategoryId":"1085","ListUrlMain":"https://doi.org/10.48327/mtsi.v5i2.2025.668","RegionNum":0,"RegionCategory":null,"ArticlePicture":[],"TitleCN":null,"AbstractTextCN":null,"PMCID":null,"EPubDate":"2025/6/30 0:00:00","PubModel":"eCollection","JCR":"","JCRName":"","Score":null,"Total":0}
引用次数: 0

摘要

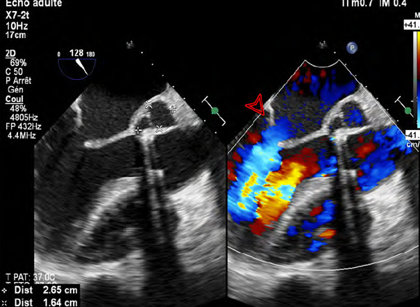
布鲁氏菌心内膜炎(BE)是一种罕见但严重的布鲁氏菌病并发症,是这种感染导致死亡的主要原因。由于其非特异性症状和低患病率,通常难以诊断。观察:本临床病例涉及一位59岁男性机械主动脉假体患者,其表现为心力衰竭,假体脱落,主动脉环脓肿,血培养阴性。手术标本的血清学检测和培养证实了这一诊断,结果显示与食用未经巴氏消毒的原料奶有关的猪利氏芽孢杆菌感染。治疗需要手术更换假体并排出脓肿,并延长抗生素治疗时间,包括强力霉素、复方新诺明和利福平。尽管有术后并发症,但血流动力学和感染结果良好。结论:该病例强调了多学科方法的重要性,包括靶向血清学检测和心脏成像,以早期诊断。同时强调了外科治疗结合适当的抗生素治疗以改善BE患者预后的必要性。
本文章由计算机程序翻译,如有差异,请以英文原文为准。

[A case of brucella endocarditis in Tunisia].

[A case of brucella endocarditis in Tunisia].

Introduction: Brucella endocarditis (BE) is a rare but serious complication of brucellosis and is the leading cause of death from this infection. It is often difficult to diagnose due to its non-specific symptoms and low prevalence.

Observation: This clinical case concerns a 59-year-old man with a mechanical aortic prosthesis who presented with heart failure with prosthetic disconnection, aortic annulus abscess, and negative blood cultures. The diagnosis was confirmed by serologic testing and culture of the surgical specimen, which revealed infection with B. melitensis associated with consumption of unpasteurized raw milk. Treatment required surgery to replace the prosthesis and drain the abscess, and prolonged antibiotic therapy with doxycycline, cotrimoxazole, and rifampicin. Despite postoperative complications, hemodynamic and infectious outcomes were favorable.

Conclusion: This case highlights the importance of a multidisciplinary approach, including targeted serologic testing and cardiac imaging, for early diagnosis. It also emphasizes the need for surgical management combined with appropriate antibiotic therapy to improve the prognosis of patients with BE.

求助全文
通过发布文献求助,成功后即可免费获取论文全文。 去求助
来源期刊
CiteScore
0.20
自引率
0.00%
发文量
0
×
引用
GB/T 7714-2015
复制
MLA
复制
APA
复制
导出至
BibTeX EndNote RefMan NoteFirst NoteExpress
×
提示
您的信息不完整,为了账户安全,请先补充。
现在去补充
×
提示
您因"违规操作"
具体请查看互助需知
我知道了
×
提示
确定
请完成安全验证×
copy
已复制链接
快去分享给好友吧!
我知道了
右上角分享
点击右上角分享
0
联系我们:info@booksci.cn Book学术提供免费学术资源搜索服务,方便国内外学者检索中英文文献。致力于提供最便捷和优质的服务体验。 Copyright © 2023 布克学术 All rights reserved.
京ICP备2023020795号-1
ghs 京公网安备 11010802042870号
Book学术文献互助
Book学术文献互助群
群 号:604180095
Book学术官方微信