荚膜预警综合征:夜间血压下降,临床意识和治疗方法。

IF 2.3 Q3 EMERGENCY MEDICINE
Erum Shariff, Rizwana Shahid
{"title":"荚膜预警综合征:夜间血压下降,临床意识和治疗方法。","authors":"Erum Shariff, Rizwana Shahid","doi":"10.4103/tjem.tjem_220_24","DOIUrl":null,"url":null,"abstract":"<p><p>Capsular warning syndrome (CWS) is a rare condition marked by recurrent, stereotypical transient ischemic attacks (TIAs) affecting the face, arm, and leg, without cortical involvement. It is associated with a high risk of a full-blown stroke within 7 days. The exact pathophysiological mechanism and optimal management strategies remain debated. It is crucial to distinguish CWS from crescendo TIAs and consider reperfusion therapy if new episodes occur within the therapeutic window for systemic reperfusion, in order to prevent a disabling stroke. We present the case of a 53-year-old male who arrived at the emergency department (ED) with right hemiparesis and facial weakness lasting for 1 h. He had experienced four recurrent, stereotypical episodes over the past 7 h and was diagnosed with a TIA, despite being within the therapeutic window for thrombolysis. He was started on dual antiplatelet therapy, high-dose statins, and management of other vascular risk factors. However, within 24 h, his condition progressed to a complete stroke with severe hemiparesis and facial weakness. Magnetic resonance imaging confirmed infarction in the left hemisphere, while a computed tomography angiogram was normal. This case underscores the importance of prompt recognition of CWS in the ED, enabling activation of stroke services and the consideration of reperfusion therapy when appropriate, to minimize the risk of a disabling stroke.</p>","PeriodicalId":46536,"journal":{"name":"Turkish Journal of Emergency Medicine","volume":"25 3","pages":"246-249"},"PeriodicalIF":2.3000,"publicationDate":"2025-07-01","publicationTypes":"Journal Article","fieldsOfStudy":null,"isOpenAccess":false,"openAccessPdf":"https://www.ncbi.nlm.nih.gov/pmc/articles/PMC12309815/pdf/","citationCount":"0","resultStr":"{\"title\":\"Capsular warning syndrome: Nighttime blood pressure drops, clinical awareness, and therapeutic approach.\",\"authors\":\"Erum Shariff, Rizwana Shahid\",\"doi\":\"10.4103/tjem.tjem_220_24\",\"DOIUrl\":null,\"url\":null,\"abstract\":\"<p><p>Capsular warning syndrome (CWS) is a rare condition marked by recurrent, stereotypical transient ischemic attacks (TIAs) affecting the face, arm, and leg, without cortical involvement. It is associated with a high risk of a full-blown stroke within 7 days. The exact pathophysiological mechanism and optimal management strategies remain debated. It is crucial to distinguish CWS from crescendo TIAs and consider reperfusion therapy if new episodes occur within the therapeutic window for systemic reperfusion, in order to prevent a disabling stroke. We present the case of a 53-year-old male who arrived at the emergency department (ED) with right hemiparesis and facial weakness lasting for 1 h. He had experienced four recurrent, stereotypical episodes over the past 7 h and was diagnosed with a TIA, despite being within the therapeutic window for thrombolysis. He was started on dual antiplatelet therapy, high-dose statins, and management of other vascular risk factors. However, within 24 h, his condition progressed to a complete stroke with severe hemiparesis and facial weakness. Magnetic resonance imaging confirmed infarction in the left hemisphere, while a computed tomography angiogram was normal. This case underscores the importance of prompt recognition of CWS in the ED, enabling activation of stroke services and the consideration of reperfusion therapy when appropriate, to minimize the risk of a disabling stroke.</p>\",\"PeriodicalId\":46536,\"journal\":{\"name\":\"Turkish Journal of Emergency Medicine\",\"volume\":\"25 3\",\"pages\":\"246-249\"},\"PeriodicalIF\":2.3000,\"publicationDate\":\"2025-07-01\",\"publicationTypes\":\"Journal Article\",\"fieldsOfStudy\":null,\"isOpenAccess\":false,\"openAccessPdf\":\"https://www.ncbi.nlm.nih.gov/pmc/articles/PMC12309815/pdf/\",\"citationCount\":\"0\",\"resultStr\":null,\"platform\":\"Semanticscholar\",\"paperid\":null,\"PeriodicalName\":\"Turkish Journal of Emergency Medicine\",\"FirstCategoryId\":\"1085\",\"ListUrlMain\":\"https://doi.org/10.4103/tjem.tjem_220_24\",\"RegionNum\":0,\"RegionCategory\":null,\"ArticlePicture\":[],\"TitleCN\":null,\"AbstractTextCN\":null,\"PMCID\":null,\"EPubDate\":\"\",\"PubModel\":\"\",\"JCR\":\"Q3\",\"JCRName\":\"EMERGENCY MEDICINE\",\"Score\":null,\"Total\":0}","platform":"Semanticscholar","paperid":null,"PeriodicalName":"Turkish Journal of Emergency Medicine","FirstCategoryId":"1085","ListUrlMain":"https://doi.org/10.4103/tjem.tjem_220_24","RegionNum":0,"RegionCategory":null,"ArticlePicture":[],"TitleCN":null,"AbstractTextCN":null,"PMCID":null,"EPubDate":"","PubModel":"","JCR":"Q3","JCRName":"EMERGENCY MEDICINE","Score":null,"Total":0}
引用次数: 0

摘要

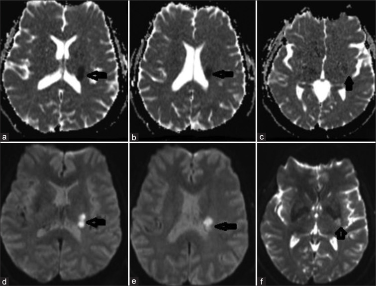
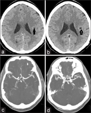
囊膜预警综合征(CWS)是一种罕见的疾病,其特征是复发性、典型的短暂性脑缺血发作(tia),影响面部、手臂和腿部,没有皮层受累。它与7天内发生全面中风的高风险有关。确切的病理生理机制和最佳管理策略仍有争议。区分CWS和渐强性tia至关重要,如果在全身再灌注治疗窗口内出现新的发作,则考虑再灌注治疗,以防止致残性卒中。我们报告一例53岁男性患者,因右偏瘫和面部虚弱持续1小时来到急诊科(ED)。在过去的7小时内,他经历了四次复发,典型发作,并被诊断为TIA,尽管在溶栓治疗窗口内。他开始双重抗血小板治疗,大剂量他汀类药物,并管理其他血管危险因素。然而,在24小时内,他的病情发展为完全中风,伴有严重的偏瘫和面部无力。磁共振成像证实左半球梗死,而计算机断层扫描血管造影正常。该病例强调了在ED中及时识别CWS的重要性,使卒中服务得以启动,并在适当时考虑再灌注治疗,以尽量减少致残性卒中的风险。
本文章由计算机程序翻译,如有差异,请以英文原文为准。

Capsular warning syndrome: Nighttime blood pressure drops, clinical awareness, and therapeutic approach.

Capsular warning syndrome: Nighttime blood pressure drops, clinical awareness, and therapeutic approach.

Capsular warning syndrome: Nighttime blood pressure drops, clinical awareness, and therapeutic approach.

Capsular warning syndrome: Nighttime blood pressure drops, clinical awareness, and therapeutic approach.

Capsular warning syndrome (CWS) is a rare condition marked by recurrent, stereotypical transient ischemic attacks (TIAs) affecting the face, arm, and leg, without cortical involvement. It is associated with a high risk of a full-blown stroke within 7 days. The exact pathophysiological mechanism and optimal management strategies remain debated. It is crucial to distinguish CWS from crescendo TIAs and consider reperfusion therapy if new episodes occur within the therapeutic window for systemic reperfusion, in order to prevent a disabling stroke. We present the case of a 53-year-old male who arrived at the emergency department (ED) with right hemiparesis and facial weakness lasting for 1 h. He had experienced four recurrent, stereotypical episodes over the past 7 h and was diagnosed with a TIA, despite being within the therapeutic window for thrombolysis. He was started on dual antiplatelet therapy, high-dose statins, and management of other vascular risk factors. However, within 24 h, his condition progressed to a complete stroke with severe hemiparesis and facial weakness. Magnetic resonance imaging confirmed infarction in the left hemisphere, while a computed tomography angiogram was normal. This case underscores the importance of prompt recognition of CWS in the ED, enabling activation of stroke services and the consideration of reperfusion therapy when appropriate, to minimize the risk of a disabling stroke.

求助全文
通过发布文献求助,成功后即可免费获取论文全文。 去求助
来源期刊
CiteScore
1.70
自引率
0.00%
发文量
30
审稿时长
22 weeks
期刊介绍: The Turkish Journal of Emergency Medicine (Turk J Emerg Med) is an International, peer-reviewed, open-access journal that publishes clinical and experimental trials, case reports, invited reviews, case images, letters to the Editor, and interesting research conducted in all fields of Emergency Medicine. The Journal is the official scientific publication of the Emergency Medicine Association of Turkey (EMAT) and is printed four times a year, in January, April, July and October. The language of the journal is English. The Journal is based on independent and unbiased double-blinded peer-reviewed principles. Only unpublished papers that are not under review for publication elsewhere can be submitted. The authors are responsible for the scientific content of the material to be published. The Turkish Journal of Emergency Medicine reserves the right to request any research materials on which the paper is based. The Editorial Board of the Turkish Journal of Emergency Medicine and the Publisher adheres to the principles of the International Council of Medical Journal Editors, the World Association of Medical Editors, the Council of Science Editors, the Committee on Publication Ethics, the US National Library of Medicine, the US Office of Research Integrity, the European Association of Science Editors, and the International Society of Managing and Technical Editors.
×
引用
GB/T 7714-2015
复制
MLA
复制
APA
复制
导出至
BibTeX EndNote RefMan NoteFirst NoteExpress
×
提示
您的信息不完整,为了账户安全,请先补充。
现在去补充
×
提示
您因"违规操作"
具体请查看互助需知
我知道了
×
提示
确定
请完成安全验证×
copy
已复制链接
快去分享给好友吧!
我知道了
右上角分享
点击右上角分享
0
联系我们:info@booksci.cn Book学术提供免费学术资源搜索服务,方便国内外学者检索中英文文献。致力于提供最便捷和优质的服务体验。 Copyright © 2023 布克学术 All rights reserved.
京ICP备2023020795号-1
ghs 京公网安备 11010802042870号
Book学术文献互助
Book学术文献互助群
群 号:604180095
Book学术官方微信