瑞非尼致难治性直肠癌间质性肺炎1例。

IF 0.8 Q4 RESPIRATORY SYSTEM
Respirology Case Reports Pub Date : 2025-07-30 eCollection Date: 2025-08-01 DOI:10.1002/rcr2.70286
Tomo Tsunoda, Yoshiyuki Oyama, Ryota Miyamoto, Taisuke Ito, Takuro Akashi, Kazuo Tsuchiya, Masaki Ikeda
{"title":"瑞非尼致难治性直肠癌间质性肺炎1例。","authors":"Tomo Tsunoda, Yoshiyuki Oyama, Ryota Miyamoto, Taisuke Ito, Takuro Akashi, Kazuo Tsuchiya, Masaki Ikeda","doi":"10.1002/rcr2.70286","DOIUrl":null,"url":null,"abstract":"<p><p>Regorafenib, a multi-targeted tyrosine kinase inhibitor (TKI), is indicated for refractory colorectal carcinoma, gastrointestinal stromal tumours (GIST), and hepatocellular carcinoma (HCC). We present a case involving a 66-year-old male patient with refractory colorectal cancer who developed interstitial pneumonia as a consequence of regorafenib therapy. Three months following the initiation of regorafenib administration, a chest computed tomography scan revealed bilateral ground-glass opacities, a characteristic finding in interstitial lung disease. This case illustrates a relatively rapid progression of regorafenib-induced interstitial lung disease following its radiographic manifestation. Clinicians should remain vigilant for this potential pulmonary toxicity in patients receiving regorafenib, even with an apparently short latency period after treatment commencement. Early recognition and prompt intervention are crucial in managing this adverse event.</p>","PeriodicalId":45846,"journal":{"name":"Respirology Case Reports","volume":"13 8","pages":"e70286"},"PeriodicalIF":0.8000,"publicationDate":"2025-07-30","publicationTypes":"Journal Article","fieldsOfStudy":null,"isOpenAccess":false,"openAccessPdf":"https://www.ncbi.nlm.nih.gov/pmc/articles/PMC12308151/pdf/","citationCount":"0","resultStr":"{\"title\":\"Regorafenib Induced Interstitial Pneumonia in a Patient With Refractory Rectal Cancer.\",\"authors\":\"Tomo Tsunoda, Yoshiyuki Oyama, Ryota Miyamoto, Taisuke Ito, Takuro Akashi, Kazuo Tsuchiya, Masaki Ikeda\",\"doi\":\"10.1002/rcr2.70286\",\"DOIUrl\":null,\"url\":null,\"abstract\":\"<p><p>Regorafenib, a multi-targeted tyrosine kinase inhibitor (TKI), is indicated for refractory colorectal carcinoma, gastrointestinal stromal tumours (GIST), and hepatocellular carcinoma (HCC). We present a case involving a 66-year-old male patient with refractory colorectal cancer who developed interstitial pneumonia as a consequence of regorafenib therapy. Three months following the initiation of regorafenib administration, a chest computed tomography scan revealed bilateral ground-glass opacities, a characteristic finding in interstitial lung disease. This case illustrates a relatively rapid progression of regorafenib-induced interstitial lung disease following its radiographic manifestation. Clinicians should remain vigilant for this potential pulmonary toxicity in patients receiving regorafenib, even with an apparently short latency period after treatment commencement. Early recognition and prompt intervention are crucial in managing this adverse event.</p>\",\"PeriodicalId\":45846,\"journal\":{\"name\":\"Respirology Case Reports\",\"volume\":\"13 8\",\"pages\":\"e70286\"},\"PeriodicalIF\":0.8000,\"publicationDate\":\"2025-07-30\",\"publicationTypes\":\"Journal Article\",\"fieldsOfStudy\":null,\"isOpenAccess\":false,\"openAccessPdf\":\"https://www.ncbi.nlm.nih.gov/pmc/articles/PMC12308151/pdf/\",\"citationCount\":\"0\",\"resultStr\":null,\"platform\":\"Semanticscholar\",\"paperid\":null,\"PeriodicalName\":\"Respirology Case Reports\",\"FirstCategoryId\":\"1085\",\"ListUrlMain\":\"https://doi.org/10.1002/rcr2.70286\",\"RegionNum\":0,\"RegionCategory\":null,\"ArticlePicture\":[],\"TitleCN\":null,\"AbstractTextCN\":null,\"PMCID\":null,\"EPubDate\":\"2025/8/1 0:00:00\",\"PubModel\":\"eCollection\",\"JCR\":\"Q4\",\"JCRName\":\"RESPIRATORY SYSTEM\",\"Score\":null,\"Total\":0}","platform":"Semanticscholar","paperid":null,"PeriodicalName":"Respirology Case Reports","FirstCategoryId":"1085","ListUrlMain":"https://doi.org/10.1002/rcr2.70286","RegionNum":0,"RegionCategory":null,"ArticlePicture":[],"TitleCN":null,"AbstractTextCN":null,"PMCID":null,"EPubDate":"2025/8/1 0:00:00","PubModel":"eCollection","JCR":"Q4","JCRName":"RESPIRATORY SYSTEM","Score":null,"Total":0}
引用次数: 0

摘要

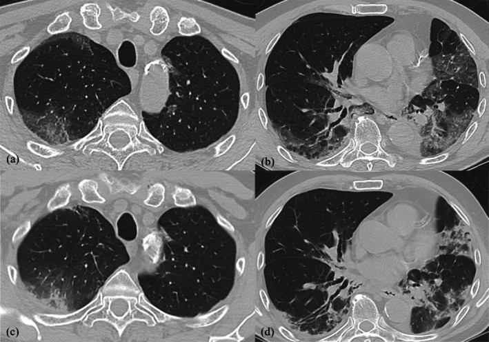
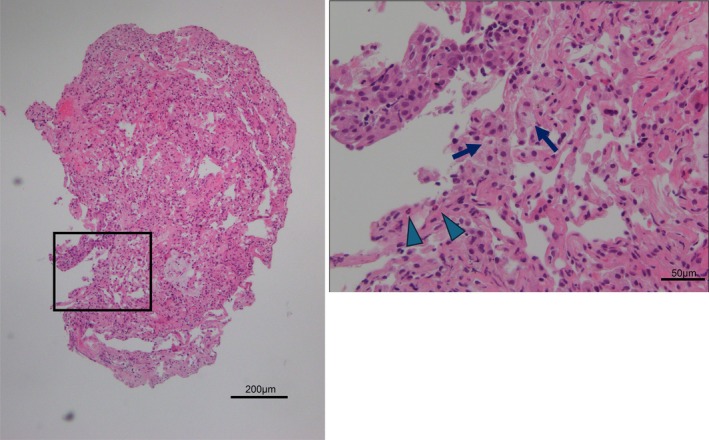
Regorafenib是一种多靶点酪氨酸激酶抑制剂(TKI),适用于难治性结直肠癌、胃肠道间质瘤(GIST)和肝细胞癌(HCC)。我们报告一例66岁男性顽固性结直肠癌患者,由于瑞非尼治疗而发展为间质性肺炎。开始瑞非尼治疗3个月后,胸部计算机断层扫描显示双侧磨玻璃混浊,这是间质性肺疾病的特征性发现。本病例显示瑞非尼诱发的间质性肺疾病在影像学表现后进展相对较快。临床医生应该对接受瑞非尼治疗的患者的潜在肺毒性保持警惕,即使治疗开始后潜伏期明显较短。早期识别和及时干预是处理这一不良事件的关键。
本文章由计算机程序翻译,如有差异,请以英文原文为准。

Regorafenib Induced Interstitial Pneumonia in a Patient With Refractory Rectal Cancer.

Regorafenib Induced Interstitial Pneumonia in a Patient With Refractory Rectal Cancer.

Regorafenib Induced Interstitial Pneumonia in a Patient With Refractory Rectal Cancer.

Regorafenib Induced Interstitial Pneumonia in a Patient With Refractory Rectal Cancer.

Regorafenib, a multi-targeted tyrosine kinase inhibitor (TKI), is indicated for refractory colorectal carcinoma, gastrointestinal stromal tumours (GIST), and hepatocellular carcinoma (HCC). We present a case involving a 66-year-old male patient with refractory colorectal cancer who developed interstitial pneumonia as a consequence of regorafenib therapy. Three months following the initiation of regorafenib administration, a chest computed tomography scan revealed bilateral ground-glass opacities, a characteristic finding in interstitial lung disease. This case illustrates a relatively rapid progression of regorafenib-induced interstitial lung disease following its radiographic manifestation. Clinicians should remain vigilant for this potential pulmonary toxicity in patients receiving regorafenib, even with an apparently short latency period after treatment commencement. Early recognition and prompt intervention are crucial in managing this adverse event.

求助全文
通过发布文献求助,成功后即可免费获取论文全文。 去求助
来源期刊
Respirology Case Reports
Respirology Case Reports RESPIRATORY SYSTEM-
CiteScore
1.40
自引率
0.00%
发文量
178
审稿时长
8 weeks
期刊介绍: Respirology Case Reports is an open-access online journal dedicated to the publication of original clinical case reports, case series, clinical images and clinical videos in all fields of respiratory medicine. The Journal encourages the international exchange between clinicians and researchers of experiences in diagnosing and treating uncommon diseases or diseases with unusual presentations. All manuscripts are peer-reviewed through a streamlined process that aims at providing a rapid turnaround time from submission to publication.
×
引用
GB/T 7714-2015
复制
MLA
复制
APA
复制
导出至
BibTeX EndNote RefMan NoteFirst NoteExpress
×
提示
您的信息不完整,为了账户安全,请先补充。
现在去补充
×
提示
您因"违规操作"
具体请查看互助需知
我知道了
×
提示
确定
请完成安全验证×
copy
已复制链接
快去分享给好友吧!
我知道了
右上角分享
点击右上角分享
0
联系我们:info@booksci.cn Book学术提供免费学术资源搜索服务,方便国内外学者检索中英文文献。致力于提供最便捷和优质的服务体验。 Copyright © 2023 布克学术 All rights reserved.
京ICP备2023020795号-1
ghs 京公网安备 11010802042870号
Book学术文献互助
Book学术文献互助群
群 号:604180095
Book学术官方微信