卡塔赫纳综合征完全性位置倒置患者原发性纤毛运动障碍的治疗。

IF 0.8 Q4 RESPIRATORY SYSTEM
Respirology Case Reports Pub Date : 2025-07-30 eCollection Date: 2025-08-01 DOI:10.1002/rcr2.70306
Ivan H Huang, Kenneth N Dang, Saarang Kashyap, Alexander J Sweidan
{"title":"卡塔赫纳综合征完全性位置倒置患者原发性纤毛运动障碍的治疗。","authors":"Ivan H Huang, Kenneth N Dang, Saarang Kashyap, Alexander J Sweidan","doi":"10.1002/rcr2.70306","DOIUrl":null,"url":null,"abstract":"<p><p>Kartagener's syndrome is a rare, autosomal recessive disorder characterised by primary ciliary dyskinesia (PCD) resulting in impaired mucociliary clearance and situs inversus. Common symptoms are chronic recurrent rhinosinusitis, bronchiectasis, otitis media and pneumonia. We report the case of a 62-year-old female patient with complete situs inversus of the chest and abdominal organs. Bronchoscopic washout of the lungs was performed for therapeutic benefit and culturing for targeted antibacterial therapy. Patients affected by Kartagener's syndrome are vulnerable to repeated respiratory infections and lower BMI due to impaired mucociliary clearance from PCD. Multimodal airway clearance through pulmonary hygiene is a research-backed strategy in treating this condition. This case highlights the importance of a comprehensive and effective management approach for patients with symptomatic Kartagener's syndrome and other forms of primary ciliary dyskinesia (PCD).</p>","PeriodicalId":45846,"journal":{"name":"Respirology Case Reports","volume":"13 8","pages":"e70306"},"PeriodicalIF":0.8000,"publicationDate":"2025-07-30","publicationTypes":"Journal Article","fieldsOfStudy":null,"isOpenAccess":false,"openAccessPdf":"https://www.ncbi.nlm.nih.gov/pmc/articles/PMC12310814/pdf/","citationCount":"0","resultStr":"{\"title\":\"Management of Primary Ciliary Dyskinesia in a Kartagener's Syndrome Patient With Total Situs Inversus.\",\"authors\":\"Ivan H Huang, Kenneth N Dang, Saarang Kashyap, Alexander J Sweidan\",\"doi\":\"10.1002/rcr2.70306\",\"DOIUrl\":null,\"url\":null,\"abstract\":\"<p><p>Kartagener's syndrome is a rare, autosomal recessive disorder characterised by primary ciliary dyskinesia (PCD) resulting in impaired mucociliary clearance and situs inversus. Common symptoms are chronic recurrent rhinosinusitis, bronchiectasis, otitis media and pneumonia. We report the case of a 62-year-old female patient with complete situs inversus of the chest and abdominal organs. Bronchoscopic washout of the lungs was performed for therapeutic benefit and culturing for targeted antibacterial therapy. Patients affected by Kartagener's syndrome are vulnerable to repeated respiratory infections and lower BMI due to impaired mucociliary clearance from PCD. Multimodal airway clearance through pulmonary hygiene is a research-backed strategy in treating this condition. This case highlights the importance of a comprehensive and effective management approach for patients with symptomatic Kartagener's syndrome and other forms of primary ciliary dyskinesia (PCD).</p>\",\"PeriodicalId\":45846,\"journal\":{\"name\":\"Respirology Case Reports\",\"volume\":\"13 8\",\"pages\":\"e70306\"},\"PeriodicalIF\":0.8000,\"publicationDate\":\"2025-07-30\",\"publicationTypes\":\"Journal Article\",\"fieldsOfStudy\":null,\"isOpenAccess\":false,\"openAccessPdf\":\"https://www.ncbi.nlm.nih.gov/pmc/articles/PMC12310814/pdf/\",\"citationCount\":\"0\",\"resultStr\":null,\"platform\":\"Semanticscholar\",\"paperid\":null,\"PeriodicalName\":\"Respirology Case Reports\",\"FirstCategoryId\":\"1085\",\"ListUrlMain\":\"https://doi.org/10.1002/rcr2.70306\",\"RegionNum\":0,\"RegionCategory\":null,\"ArticlePicture\":[],\"TitleCN\":null,\"AbstractTextCN\":null,\"PMCID\":null,\"EPubDate\":\"2025/8/1 0:00:00\",\"PubModel\":\"eCollection\",\"JCR\":\"Q4\",\"JCRName\":\"RESPIRATORY SYSTEM\",\"Score\":null,\"Total\":0}","platform":"Semanticscholar","paperid":null,"PeriodicalName":"Respirology Case Reports","FirstCategoryId":"1085","ListUrlMain":"https://doi.org/10.1002/rcr2.70306","RegionNum":0,"RegionCategory":null,"ArticlePicture":[],"TitleCN":null,"AbstractTextCN":null,"PMCID":null,"EPubDate":"2025/8/1 0:00:00","PubModel":"eCollection","JCR":"Q4","JCRName":"RESPIRATORY SYSTEM","Score":null,"Total":0}
引用次数: 0

摘要

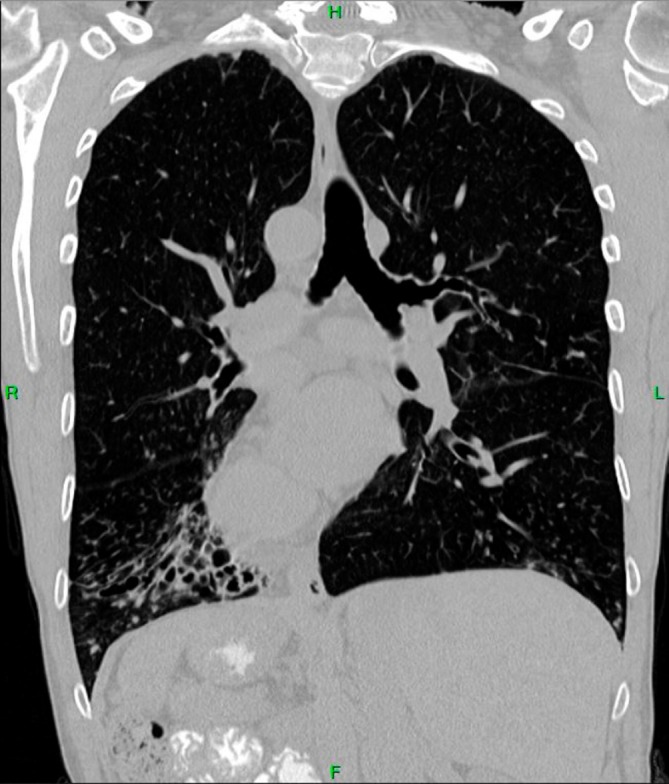
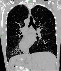
Kartagener综合征是一种罕见的常染色体隐性遗传病,以原发性纤毛运动障碍(PCD)为特征,导致纤毛粘膜清除和逆转部位受损。常见的症状是慢性复发性鼻窦炎、支气管扩张、中耳炎和肺炎。我们报告的情况下,62岁的女性患者完全倒置的胸部和腹部器官。支气管镜冲洗肺以获得治疗效果并培养靶向抗菌治疗。由于PCD引起的纤毛粘膜清除受损,卡塔赫纳综合征患者容易发生反复呼吸道感染和较低的BMI。通过肺部卫生进行多模式气道清除是一种有研究支持的治疗此病的策略。本病例强调了对有症状的Kartagener综合征和其他形式的原发性纤毛运动障碍(PCD)患者采取全面有效的治疗方法的重要性。
本文章由计算机程序翻译,如有差异,请以英文原文为准。

Management of Primary Ciliary Dyskinesia in a Kartagener's Syndrome Patient With Total Situs Inversus.

Management of Primary Ciliary Dyskinesia in a Kartagener's Syndrome Patient With Total Situs Inversus.

Management of Primary Ciliary Dyskinesia in a Kartagener's Syndrome Patient With Total Situs Inversus.

Kartagener's syndrome is a rare, autosomal recessive disorder characterised by primary ciliary dyskinesia (PCD) resulting in impaired mucociliary clearance and situs inversus. Common symptoms are chronic recurrent rhinosinusitis, bronchiectasis, otitis media and pneumonia. We report the case of a 62-year-old female patient with complete situs inversus of the chest and abdominal organs. Bronchoscopic washout of the lungs was performed for therapeutic benefit and culturing for targeted antibacterial therapy. Patients affected by Kartagener's syndrome are vulnerable to repeated respiratory infections and lower BMI due to impaired mucociliary clearance from PCD. Multimodal airway clearance through pulmonary hygiene is a research-backed strategy in treating this condition. This case highlights the importance of a comprehensive and effective management approach for patients with symptomatic Kartagener's syndrome and other forms of primary ciliary dyskinesia (PCD).

求助全文
通过发布文献求助,成功后即可免费获取论文全文。 去求助
来源期刊
Respirology Case Reports
Respirology Case Reports RESPIRATORY SYSTEM-
CiteScore
1.40
自引率
0.00%
发文量
178
审稿时长
8 weeks
期刊介绍: Respirology Case Reports is an open-access online journal dedicated to the publication of original clinical case reports, case series, clinical images and clinical videos in all fields of respiratory medicine. The Journal encourages the international exchange between clinicians and researchers of experiences in diagnosing and treating uncommon diseases or diseases with unusual presentations. All manuscripts are peer-reviewed through a streamlined process that aims at providing a rapid turnaround time from submission to publication.
×
引用
GB/T 7714-2015
复制
MLA
复制
APA
复制
导出至
BibTeX EndNote RefMan NoteFirst NoteExpress
×
提示
您的信息不完整,为了账户安全,请先补充。
现在去补充
×
提示
您因"违规操作"
具体请查看互助需知
我知道了
×
提示
确定
请完成安全验证×
copy
已复制链接
快去分享给好友吧!
我知道了
右上角分享
点击右上角分享
0
联系我们:info@booksci.cn Book学术提供免费学术资源搜索服务,方便国内外学者检索中英文文献。致力于提供最便捷和优质的服务体验。 Copyright © 2023 布克学术 All rights reserved.
京ICP备2023020795号-1
ghs 京公网安备 11010802042870号
Book学术文献互助
Book学术文献互助群
群 号:604180095
Book学术官方微信