支气管内Watanabe插管治疗Lemierre综合征所致顽固性气胸。

IF 0.8 Q4 RESPIRATORY SYSTEM
Respirology Case Reports Pub Date : 2025-07-30 eCollection Date: 2025-08-01 DOI:10.1002/rcr2.70302
Mio Sugino, Masao Hashimoto, Sho Morishima, Ayumi Tonsho, Hiroto Hatano, Yutaro Ueki, Mika Iwasaki, Akane Ishida, Go Naka, Shinyu Izumi, Tatsuo Maeyashiki, Satoshi Nagasaka, Masayuki Hojo
{"title":"支气管内Watanabe插管治疗Lemierre综合征所致顽固性气胸。","authors":"Mio Sugino, Masao Hashimoto, Sho Morishima, Ayumi Tonsho, Hiroto Hatano, Yutaro Ueki, Mika Iwasaki, Akane Ishida, Go Naka, Shinyu Izumi, Tatsuo Maeyashiki, Satoshi Nagasaka, Masayuki Hojo","doi":"10.1002/rcr2.70302","DOIUrl":null,"url":null,"abstract":"<p><p>Lemierre's syndrome is a rare condition characterised by internal jugular vein thrombophlebitis and bacteremia caused by anaerobic organisms following an oropharyngeal infection. We report the case of a 29-year-old woman who presented with fever, sore throat, dyspnea, and chest pain. Chest computed tomography (CT) revealed lung suppuration, pneumothorax, and thrombosis of the left internal jugular vein, confirming the diagnosis of Lemierre's syndrome. During treatment, she developed pyothorax with bronchopleural fistulas and intractable pneumothorax. Although antibiotics and thoracic drainage controlled the infection, persistent air leakage and incomplete lung expansion remained. Placement of an endobronchial watanabe spigot (EWS) successfully resolved the air leak, allowing the patient to avoid surgery and be discharged. This case highlights the effectiveness of EWS in managing intractable pyopneumothorax secondary to Lemierre's syndrome.</p>","PeriodicalId":45846,"journal":{"name":"Respirology Case Reports","volume":"13 8","pages":"e70302"},"PeriodicalIF":0.8000,"publicationDate":"2025-07-30","publicationTypes":"Journal Article","fieldsOfStudy":null,"isOpenAccess":false,"openAccessPdf":"https://www.ncbi.nlm.nih.gov/pmc/articles/PMC12310820/pdf/","citationCount":"0","resultStr":"{\"title\":\"Intractable Pyopneumothorax due to Lemierre's Syndrome Treated With an Endobronchial Watanabe Spigot (EWS).\",\"authors\":\"Mio Sugino, Masao Hashimoto, Sho Morishima, Ayumi Tonsho, Hiroto Hatano, Yutaro Ueki, Mika Iwasaki, Akane Ishida, Go Naka, Shinyu Izumi, Tatsuo Maeyashiki, Satoshi Nagasaka, Masayuki Hojo\",\"doi\":\"10.1002/rcr2.70302\",\"DOIUrl\":null,\"url\":null,\"abstract\":\"<p><p>Lemierre's syndrome is a rare condition characterised by internal jugular vein thrombophlebitis and bacteremia caused by anaerobic organisms following an oropharyngeal infection. We report the case of a 29-year-old woman who presented with fever, sore throat, dyspnea, and chest pain. Chest computed tomography (CT) revealed lung suppuration, pneumothorax, and thrombosis of the left internal jugular vein, confirming the diagnosis of Lemierre's syndrome. During treatment, she developed pyothorax with bronchopleural fistulas and intractable pneumothorax. Although antibiotics and thoracic drainage controlled the infection, persistent air leakage and incomplete lung expansion remained. Placement of an endobronchial watanabe spigot (EWS) successfully resolved the air leak, allowing the patient to avoid surgery and be discharged. This case highlights the effectiveness of EWS in managing intractable pyopneumothorax secondary to Lemierre's syndrome.</p>\",\"PeriodicalId\":45846,\"journal\":{\"name\":\"Respirology Case Reports\",\"volume\":\"13 8\",\"pages\":\"e70302\"},\"PeriodicalIF\":0.8000,\"publicationDate\":\"2025-07-30\",\"publicationTypes\":\"Journal Article\",\"fieldsOfStudy\":null,\"isOpenAccess\":false,\"openAccessPdf\":\"https://www.ncbi.nlm.nih.gov/pmc/articles/PMC12310820/pdf/\",\"citationCount\":\"0\",\"resultStr\":null,\"platform\":\"Semanticscholar\",\"paperid\":null,\"PeriodicalName\":\"Respirology Case Reports\",\"FirstCategoryId\":\"1085\",\"ListUrlMain\":\"https://doi.org/10.1002/rcr2.70302\",\"RegionNum\":0,\"RegionCategory\":null,\"ArticlePicture\":[],\"TitleCN\":null,\"AbstractTextCN\":null,\"PMCID\":null,\"EPubDate\":\"2025/8/1 0:00:00\",\"PubModel\":\"eCollection\",\"JCR\":\"Q4\",\"JCRName\":\"RESPIRATORY SYSTEM\",\"Score\":null,\"Total\":0}","platform":"Semanticscholar","paperid":null,"PeriodicalName":"Respirology Case Reports","FirstCategoryId":"1085","ListUrlMain":"https://doi.org/10.1002/rcr2.70302","RegionNum":0,"RegionCategory":null,"ArticlePicture":[],"TitleCN":null,"AbstractTextCN":null,"PMCID":null,"EPubDate":"2025/8/1 0:00:00","PubModel":"eCollection","JCR":"Q4","JCRName":"RESPIRATORY SYSTEM","Score":null,"Total":0}
引用次数: 0

摘要

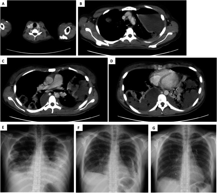
Lemierre综合征是一种罕见的疾病,其特征是口咽部感染后由厌氧生物引起的颈内静脉血栓性静脉炎和菌血症。我们报告的情况下,一个29岁的妇女谁提出发烧,喉咙痛,呼吸困难,胸痛。胸部计算机断层扫描(CT)显示肺化脓,气胸,左颈内静脉血栓形成,确认Lemierre综合征的诊断。在治疗期间,她出现脓胸合并支气管胸膜瘘和难治性气胸。虽然抗生素和胸腔引流控制了感染,但持续漏气和不完全肺扩张仍然存在。放置支气管内watanabe插管(EWS)成功解决了空气泄漏,使患者避免手术并出院。本病例强调了EWS治疗继发于Lemierre综合征的难治性气胸的有效性。
本文章由计算机程序翻译,如有差异,请以英文原文为准。

Intractable Pyopneumothorax due to Lemierre's Syndrome Treated With an Endobronchial Watanabe Spigot (EWS).

Intractable Pyopneumothorax due to Lemierre's Syndrome Treated With an Endobronchial Watanabe Spigot (EWS).

Intractable Pyopneumothorax due to Lemierre's Syndrome Treated With an Endobronchial Watanabe Spigot (EWS).

Intractable Pyopneumothorax due to Lemierre's Syndrome Treated With an Endobronchial Watanabe Spigot (EWS).

Lemierre's syndrome is a rare condition characterised by internal jugular vein thrombophlebitis and bacteremia caused by anaerobic organisms following an oropharyngeal infection. We report the case of a 29-year-old woman who presented with fever, sore throat, dyspnea, and chest pain. Chest computed tomography (CT) revealed lung suppuration, pneumothorax, and thrombosis of the left internal jugular vein, confirming the diagnosis of Lemierre's syndrome. During treatment, she developed pyothorax with bronchopleural fistulas and intractable pneumothorax. Although antibiotics and thoracic drainage controlled the infection, persistent air leakage and incomplete lung expansion remained. Placement of an endobronchial watanabe spigot (EWS) successfully resolved the air leak, allowing the patient to avoid surgery and be discharged. This case highlights the effectiveness of EWS in managing intractable pyopneumothorax secondary to Lemierre's syndrome.

求助全文
通过发布文献求助,成功后即可免费获取论文全文。 去求助
来源期刊
Respirology Case Reports
Respirology Case Reports RESPIRATORY SYSTEM-
CiteScore
1.40
自引率
0.00%
发文量
178
审稿时长
8 weeks
期刊介绍: Respirology Case Reports is an open-access online journal dedicated to the publication of original clinical case reports, case series, clinical images and clinical videos in all fields of respiratory medicine. The Journal encourages the international exchange between clinicians and researchers of experiences in diagnosing and treating uncommon diseases or diseases with unusual presentations. All manuscripts are peer-reviewed through a streamlined process that aims at providing a rapid turnaround time from submission to publication.
×
引用
GB/T 7714-2015
复制
MLA
复制
APA
复制
导出至
BibTeX EndNote RefMan NoteFirst NoteExpress
×
提示
您的信息不完整,为了账户安全,请先补充。
现在去补充
×
提示
您因"违规操作"
具体请查看互助需知
我知道了
×
提示
确定
请完成安全验证×
copy
已复制链接
快去分享给好友吧!
我知道了
右上角分享
点击右上角分享
0
联系我们:info@booksci.cn Book学术提供免费学术资源搜索服务,方便国内外学者检索中英文文献。致力于提供最便捷和优质的服务体验。 Copyright © 2023 布克学术 All rights reserved.
京ICP备2023020795号-1
ghs 京公网安备 11010802042870号
Book学术文献互助
Book学术文献互助群
群 号:604180095
Book学术官方微信