68Ga-DOTATATE PET/MRI显示生长抑素受体表达增高的甲状腺乳头状癌臀肌转移。

IF 1.1 Q4 RADIOLOGY, NUCLEAR MEDICINE & MEDICAL IMAGING
Ali Kibar, Sertaç Asa, Lebriz Uslu-Beşli, Mine Önenerk, Sait Sağer, Kerim Sönmezoğlu, Haluk Burçak Sayman
{"title":"68Ga-DOTATATE PET/MRI显示生长抑素受体表达增高的甲状腺乳头状癌臀肌转移。","authors":"Ali Kibar, Sertaç Asa, Lebriz Uslu-Beşli, Mine Önenerk, Sait Sağer, Kerim Sönmezoğlu, Haluk Burçak Sayman","doi":"10.4274/mirt.galenos.2025.89847","DOIUrl":null,"url":null,"abstract":"<p><p>A 56-year-old male patient underwent total thyroidectomy, and pathology revealed multicentric papillary thyroid cancer. His post-operative stimulated thyroglobulin value was >500 ng/mL. <sup>18</sup>F-fluorodeoxyglucose positron emission tomography (PET) computed tomography revealed hypermetabolic metastatic pulmonary nodules, cervical, and mediastinal lymph nodes. There was also a hypermetabolic lesion in the left gluteal muscle. Due to the patient's history of a pilonidal cyst in the same region, the possibility of an abscess was also considered, and due to the absence of radioactive iodine (RAI) uptake in the lesion, follow-up was deemed appropriate. During follow-up, as the patient progressed to RAI-refractory state, <sup>68</sup>Ga-DOTATATE PET/magnetic resonance imaging, which was done for radionuclide therapy planning, revealed heterogeneously increased uptake in the gluteal lesion. A subsequent biopsy confirmed the diagnosis of PTC metastasis.</p>","PeriodicalId":44681,"journal":{"name":"Molecular Imaging and Radionuclide Therapy","volume":" ","pages":"242-245"},"PeriodicalIF":1.1000,"publicationDate":"2025-10-08","publicationTypes":"Journal Article","fieldsOfStudy":null,"isOpenAccess":false,"openAccessPdf":"https://www.ncbi.nlm.nih.gov/pmc/articles/PMC12505213/pdf/","citationCount":"0","resultStr":"{\"title\":\"Gluteal Muscle Metastasis of Papillary Thyroid Cancer with Increased Somatostatin Receptor Expression in <sup>68</sup>Ga-DOTATATE PET/MRI.\",\"authors\":\"Ali Kibar, Sertaç Asa, Lebriz Uslu-Beşli, Mine Önenerk, Sait Sağer, Kerim Sönmezoğlu, Haluk Burçak Sayman\",\"doi\":\"10.4274/mirt.galenos.2025.89847\",\"DOIUrl\":null,\"url\":null,\"abstract\":\"<p><p>A 56-year-old male patient underwent total thyroidectomy, and pathology revealed multicentric papillary thyroid cancer. His post-operative stimulated thyroglobulin value was >500 ng/mL. <sup>18</sup>F-fluorodeoxyglucose positron emission tomography (PET) computed tomography revealed hypermetabolic metastatic pulmonary nodules, cervical, and mediastinal lymph nodes. There was also a hypermetabolic lesion in the left gluteal muscle. Due to the patient's history of a pilonidal cyst in the same region, the possibility of an abscess was also considered, and due to the absence of radioactive iodine (RAI) uptake in the lesion, follow-up was deemed appropriate. During follow-up, as the patient progressed to RAI-refractory state, <sup>68</sup>Ga-DOTATATE PET/magnetic resonance imaging, which was done for radionuclide therapy planning, revealed heterogeneously increased uptake in the gluteal lesion. A subsequent biopsy confirmed the diagnosis of PTC metastasis.</p>\",\"PeriodicalId\":44681,\"journal\":{\"name\":\"Molecular Imaging and Radionuclide Therapy\",\"volume\":\" \",\"pages\":\"242-245\"},\"PeriodicalIF\":1.1000,\"publicationDate\":\"2025-10-08\",\"publicationTypes\":\"Journal Article\",\"fieldsOfStudy\":null,\"isOpenAccess\":false,\"openAccessPdf\":\"https://www.ncbi.nlm.nih.gov/pmc/articles/PMC12505213/pdf/\",\"citationCount\":\"0\",\"resultStr\":null,\"platform\":\"Semanticscholar\",\"paperid\":null,\"PeriodicalName\":\"Molecular Imaging and Radionuclide Therapy\",\"FirstCategoryId\":\"1085\",\"ListUrlMain\":\"https://doi.org/10.4274/mirt.galenos.2025.89847\",\"RegionNum\":0,\"RegionCategory\":null,\"ArticlePicture\":[],\"TitleCN\":null,\"AbstractTextCN\":null,\"PMCID\":null,\"EPubDate\":\"2025/8/1 0:00:00\",\"PubModel\":\"Epub\",\"JCR\":\"Q4\",\"JCRName\":\"RADIOLOGY, NUCLEAR MEDICINE & MEDICAL IMAGING\",\"Score\":null,\"Total\":0}","platform":"Semanticscholar","paperid":null,"PeriodicalName":"Molecular Imaging and Radionuclide Therapy","FirstCategoryId":"1085","ListUrlMain":"https://doi.org/10.4274/mirt.galenos.2025.89847","RegionNum":0,"RegionCategory":null,"ArticlePicture":[],"TitleCN":null,"AbstractTextCN":null,"PMCID":null,"EPubDate":"2025/8/1 0:00:00","PubModel":"Epub","JCR":"Q4","JCRName":"RADIOLOGY, NUCLEAR MEDICINE & MEDICAL IMAGING","Score":null,"Total":0}
引用次数: 0

摘要

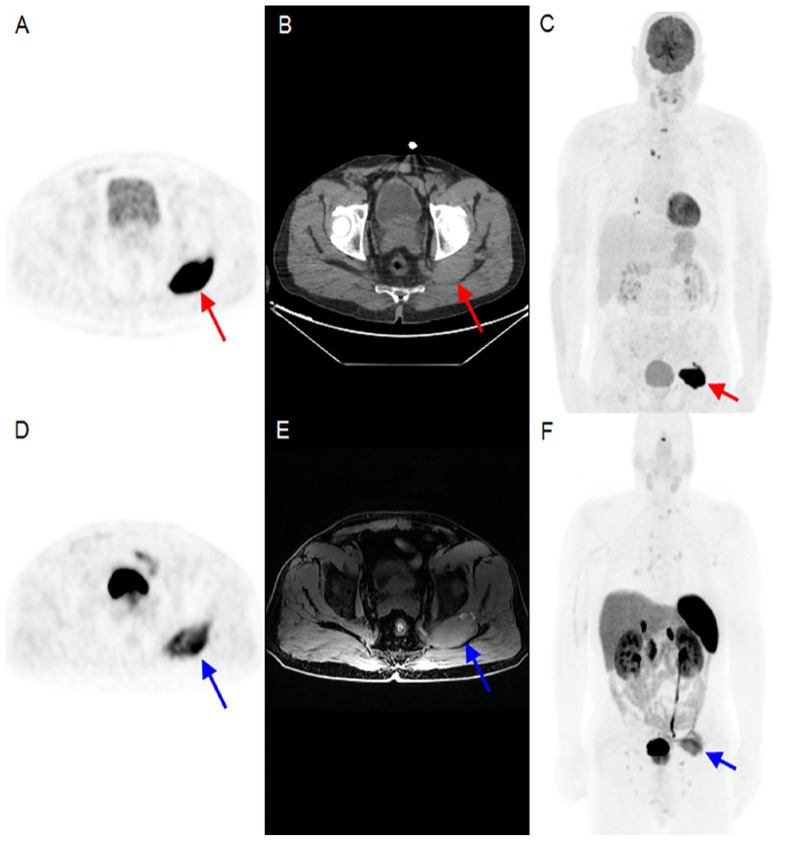
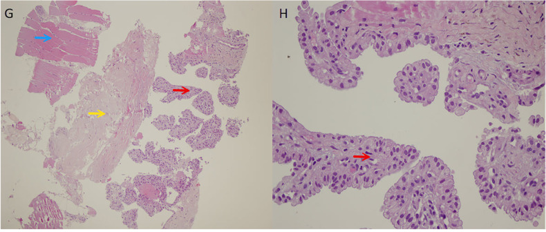
56岁男性患者行甲状腺全切除术,病理显示多中心乳头状甲状腺癌。术后刺激甲状腺球蛋白值为50 ~ 500 ng/mL。18f -氟脱氧葡萄糖正电子发射断层扫描(PET)计算机断层扫描显示高代谢转移性肺结节,颈部和纵隔淋巴结。左臀肌也有高代谢病变。由于患者在同一区域有毛鞘囊肿病史,因此也考虑了脓肿的可能性,并且由于病变中没有放射性碘(RAI)摄取,因此认为随访是适当的。在随访期间,随着患者进展到rai -难治性状态,68Ga-DOTATATE PET/磁共振成像(用于放射性核素治疗计划)显示臀病变部位摄取不均匀增加。随后的活检证实了甲状腺癌转移的诊断。
本文章由计算机程序翻译,如有差异,请以英文原文为准。

Gluteal Muscle Metastasis of Papillary Thyroid Cancer with Increased Somatostatin Receptor Expression in <sup>68</sup>Ga-DOTATATE PET/MRI.

Gluteal Muscle Metastasis of Papillary Thyroid Cancer with Increased Somatostatin Receptor Expression in <sup>68</sup>Ga-DOTATATE PET/MRI.

Gluteal Muscle Metastasis of Papillary Thyroid Cancer with Increased Somatostatin Receptor Expression in <sup>68</sup>Ga-DOTATATE PET/MRI.

Gluteal Muscle Metastasis of Papillary Thyroid Cancer with Increased Somatostatin Receptor Expression in 68Ga-DOTATATE PET/MRI.

A 56-year-old male patient underwent total thyroidectomy, and pathology revealed multicentric papillary thyroid cancer. His post-operative stimulated thyroglobulin value was >500 ng/mL. 18F-fluorodeoxyglucose positron emission tomography (PET) computed tomography revealed hypermetabolic metastatic pulmonary nodules, cervical, and mediastinal lymph nodes. There was also a hypermetabolic lesion in the left gluteal muscle. Due to the patient's history of a pilonidal cyst in the same region, the possibility of an abscess was also considered, and due to the absence of radioactive iodine (RAI) uptake in the lesion, follow-up was deemed appropriate. During follow-up, as the patient progressed to RAI-refractory state, 68Ga-DOTATATE PET/magnetic resonance imaging, which was done for radionuclide therapy planning, revealed heterogeneously increased uptake in the gluteal lesion. A subsequent biopsy confirmed the diagnosis of PTC metastasis.

求助全文
通过发布文献求助,成功后即可免费获取论文全文。 去求助
来源期刊
Molecular Imaging and Radionuclide Therapy
Molecular Imaging and Radionuclide Therapy RADIOLOGY, NUCLEAR MEDICINE & MEDICAL IMAGING-
CiteScore
1.30
自引率
0.00%
发文量
50
期刊介绍: Molecular Imaging and Radionuclide Therapy (Mol Imaging Radionucl Ther, MIRT) is publishes original research articles, invited reviews, editorials, short communications, letters, consensus statements, guidelines and case reports with a literature review on the topic, in the field of molecular imaging, multimodality imaging, nuclear medicine, radionuclide therapy, radiopharmacy, medical physics, dosimetry and radiobiology.
×
引用
GB/T 7714-2015
复制
MLA
复制
APA
复制
导出至
BibTeX EndNote RefMan NoteFirst NoteExpress
×
提示
您的信息不完整,为了账户安全,请先补充。
现在去补充
×
提示
您因"违规操作"
具体请查看互助需知
我知道了
×
提示
确定
请完成安全验证×
copy
已复制链接
快去分享给好友吧!
我知道了
右上角分享
点击右上角分享
0
联系我们:info@booksci.cn Book学术提供免费学术资源搜索服务,方便国内外学者检索中英文文献。致力于提供最便捷和优质的服务体验。 Copyright © 2023 布克学术 All rights reserved.
京ICP备2023020795号-1
ghs 京公网安备 11010802042870号
Book学术文献互助
Book学术文献互助群
群 号:604180095
Book学术官方微信