18F-FDG PET/CT显示甲状腺乳头状癌患者广泛恶性血栓。

IF 1.1 Q4 RADIOLOGY, NUCLEAR MEDICINE & MEDICAL IMAGING
Merve Nida Calderon Tobar, Lütfü Perktaş, Hasan Önner, Gonca Kara Gedik
{"title":"18F-FDG PET/CT显示甲状腺乳头状癌患者广泛恶性血栓。","authors":"Merve Nida Calderon Tobar, Lütfü Perktaş, Hasan Önner, Gonca Kara Gedik","doi":"10.4274/mirt.galenos.2025.15986","DOIUrl":null,"url":null,"abstract":"<p><p>A 59-year-old man admitted to the hospital complained of left arm and neck pain. Magnetic resonance imaging was performed for possible cervical discopathy. It revealed that in the C7 vertebral body, lesions with surrounding bone marrow edema were observed, which were compatible with metastasis that caused cervical stenosis. Cervical stenosis surgery was performed, and the lesion was pathologically diagnosed as a metastasis of thyroid carcinoma. <sup>18</sup>F-fluorodeoxyglucose positron emission tomography/computed tomography (<sup>18</sup>F-FDG PET/CT) scan was ordered for further evaluation. The PET/CT images showed an increased <sup>18</sup>F-FDG uptake from the left internal jugular vein to the right atrium. It was considered a malignant thrombus.</p>","PeriodicalId":44681,"journal":{"name":"Molecular Imaging and Radionuclide Therapy","volume":" ","pages":"231-233"},"PeriodicalIF":1.1000,"publicationDate":"2025-10-08","publicationTypes":"Journal Article","fieldsOfStudy":null,"isOpenAccess":false,"openAccessPdf":"https://www.ncbi.nlm.nih.gov/pmc/articles/PMC12505170/pdf/","citationCount":"0","resultStr":"{\"title\":\"Extensive Malignant Thrombus Revealed by <sup>18</sup>F-FDG PET/CT in Patient with Papillary Thyroid Cancer.\",\"authors\":\"Merve Nida Calderon Tobar, Lütfü Perktaş, Hasan Önner, Gonca Kara Gedik\",\"doi\":\"10.4274/mirt.galenos.2025.15986\",\"DOIUrl\":null,\"url\":null,\"abstract\":\"<p><p>A 59-year-old man admitted to the hospital complained of left arm and neck pain. Magnetic resonance imaging was performed for possible cervical discopathy. It revealed that in the C7 vertebral body, lesions with surrounding bone marrow edema were observed, which were compatible with metastasis that caused cervical stenosis. Cervical stenosis surgery was performed, and the lesion was pathologically diagnosed as a metastasis of thyroid carcinoma. <sup>18</sup>F-fluorodeoxyglucose positron emission tomography/computed tomography (<sup>18</sup>F-FDG PET/CT) scan was ordered for further evaluation. The PET/CT images showed an increased <sup>18</sup>F-FDG uptake from the left internal jugular vein to the right atrium. It was considered a malignant thrombus.</p>\",\"PeriodicalId\":44681,\"journal\":{\"name\":\"Molecular Imaging and Radionuclide Therapy\",\"volume\":\" \",\"pages\":\"231-233\"},\"PeriodicalIF\":1.1000,\"publicationDate\":\"2025-10-08\",\"publicationTypes\":\"Journal Article\",\"fieldsOfStudy\":null,\"isOpenAccess\":false,\"openAccessPdf\":\"https://www.ncbi.nlm.nih.gov/pmc/articles/PMC12505170/pdf/\",\"citationCount\":\"0\",\"resultStr\":null,\"platform\":\"Semanticscholar\",\"paperid\":null,\"PeriodicalName\":\"Molecular Imaging and Radionuclide Therapy\",\"FirstCategoryId\":\"1085\",\"ListUrlMain\":\"https://doi.org/10.4274/mirt.galenos.2025.15986\",\"RegionNum\":0,\"RegionCategory\":null,\"ArticlePicture\":[],\"TitleCN\":null,\"AbstractTextCN\":null,\"PMCID\":null,\"EPubDate\":\"2025/8/1 0:00:00\",\"PubModel\":\"Epub\",\"JCR\":\"Q4\",\"JCRName\":\"RADIOLOGY, NUCLEAR MEDICINE & MEDICAL IMAGING\",\"Score\":null,\"Total\":0}","platform":"Semanticscholar","paperid":null,"PeriodicalName":"Molecular Imaging and Radionuclide Therapy","FirstCategoryId":"1085","ListUrlMain":"https://doi.org/10.4274/mirt.galenos.2025.15986","RegionNum":0,"RegionCategory":null,"ArticlePicture":[],"TitleCN":null,"AbstractTextCN":null,"PMCID":null,"EPubDate":"2025/8/1 0:00:00","PubModel":"Epub","JCR":"Q4","JCRName":"RADIOLOGY, NUCLEAR MEDICINE & MEDICAL IMAGING","Score":null,"Total":0}
引用次数: 0

摘要

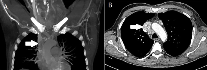
一名59岁男子入院,主诉左臂和颈部疼痛。对可能出现的颈椎脱臼进行磁共振成像检查。C7椎体可见病变伴周围骨髓水肿,与颈椎狭窄的转移相吻合。行颈椎狭窄手术,病理诊断为甲状腺癌转移灶。18f -氟脱氧葡萄糖正电子发射断层扫描/计算机断层扫描(18F-FDG PET/CT)进行进一步评估。PET/CT图像显示左颈内静脉至右心房的18F-FDG摄取增加。它被认为是恶性血栓。
本文章由计算机程序翻译,如有差异,请以英文原文为准。

Extensive Malignant Thrombus Revealed by <sup>18</sup>F-FDG PET/CT in Patient with Papillary Thyroid Cancer.

Extensive Malignant Thrombus Revealed by <sup>18</sup>F-FDG PET/CT in Patient with Papillary Thyroid Cancer.

Extensive Malignant Thrombus Revealed by 18F-FDG PET/CT in Patient with Papillary Thyroid Cancer.

A 59-year-old man admitted to the hospital complained of left arm and neck pain. Magnetic resonance imaging was performed for possible cervical discopathy. It revealed that in the C7 vertebral body, lesions with surrounding bone marrow edema were observed, which were compatible with metastasis that caused cervical stenosis. Cervical stenosis surgery was performed, and the lesion was pathologically diagnosed as a metastasis of thyroid carcinoma. 18F-fluorodeoxyglucose positron emission tomography/computed tomography (18F-FDG PET/CT) scan was ordered for further evaluation. The PET/CT images showed an increased 18F-FDG uptake from the left internal jugular vein to the right atrium. It was considered a malignant thrombus.

求助全文
通过发布文献求助,成功后即可免费获取论文全文。 去求助
来源期刊
Molecular Imaging and Radionuclide Therapy
Molecular Imaging and Radionuclide Therapy RADIOLOGY, NUCLEAR MEDICINE & MEDICAL IMAGING-
CiteScore
1.30
自引率
0.00%
发文量
50
期刊介绍: Molecular Imaging and Radionuclide Therapy (Mol Imaging Radionucl Ther, MIRT) is publishes original research articles, invited reviews, editorials, short communications, letters, consensus statements, guidelines and case reports with a literature review on the topic, in the field of molecular imaging, multimodality imaging, nuclear medicine, radionuclide therapy, radiopharmacy, medical physics, dosimetry and radiobiology.
×
引用
GB/T 7714-2015
复制
MLA
复制
APA
复制
导出至
BibTeX EndNote RefMan NoteFirst NoteExpress
×
提示
您的信息不完整,为了账户安全,请先补充。
现在去补充
×
提示
您因"违规操作"
具体请查看互助需知
我知道了
×
提示
确定
请完成安全验证×
copy
已复制链接
快去分享给好友吧!
我知道了
右上角分享
点击右上角分享
0
联系我们:info@booksci.cn Book学术提供免费学术资源搜索服务,方便国内外学者检索中英文文献。致力于提供最便捷和优质的服务体验。 Copyright © 2023 布克学术 All rights reserved.
京ICP备2023020795号-1
ghs 京公网安备 11010802042870号
Book学术文献互助
Book学术文献互助群
群 号:604180095
Book学术官方微信