骨显像意外发现穹窿破裂一例。

IF 1.1 Q4 RADIOLOGY, NUCLEAR MEDICINE & MEDICAL IMAGING
Salah Nabih Oueriagli, Ayoub Dribla, Omar Ait Sahel, Yassir Benameur, Abderrahim Doudouh
{"title":"骨显像意外发现穹窿破裂一例。","authors":"Salah Nabih Oueriagli, Ayoub Dribla, Omar Ait Sahel, Yassir Benameur, Abderrahim Doudouh","doi":"10.4274/mirt.galenos.2025.43402","DOIUrl":null,"url":null,"abstract":"<p><p>A 62-year-old male patient, with bladder carcinoma, was referred to our institution for Technetium-99m methylene diphosphonate bone scintigraphy to assess for bone metastasis. While the bone scan showed no abnormal uptake, extraosseous uptake was detected in the left perirenal and pelvic regions on the whole body scan. Computed tomography showed fornix rupture and demonstrated tracer pooling in the perirenal collection. Our diagnosis was very consistent, and oriented the therapeutic attitude towards a percutaneous drainage for the perinephric urinary leak.</p>","PeriodicalId":44681,"journal":{"name":"Molecular Imaging and Radionuclide Therapy","volume":" ","pages":"246-248"},"PeriodicalIF":1.1000,"publicationDate":"2025-10-08","publicationTypes":"Journal Article","fieldsOfStudy":null,"isOpenAccess":false,"openAccessPdf":"https://www.ncbi.nlm.nih.gov/pmc/articles/PMC12505204/pdf/","citationCount":"0","resultStr":"{\"title\":\"An Interesting Case of Fornix Rupture Discovered Accidentally on Bone Scintigraphy.\",\"authors\":\"Salah Nabih Oueriagli, Ayoub Dribla, Omar Ait Sahel, Yassir Benameur, Abderrahim Doudouh\",\"doi\":\"10.4274/mirt.galenos.2025.43402\",\"DOIUrl\":null,\"url\":null,\"abstract\":\"<p><p>A 62-year-old male patient, with bladder carcinoma, was referred to our institution for Technetium-99m methylene diphosphonate bone scintigraphy to assess for bone metastasis. While the bone scan showed no abnormal uptake, extraosseous uptake was detected in the left perirenal and pelvic regions on the whole body scan. Computed tomography showed fornix rupture and demonstrated tracer pooling in the perirenal collection. Our diagnosis was very consistent, and oriented the therapeutic attitude towards a percutaneous drainage for the perinephric urinary leak.</p>\",\"PeriodicalId\":44681,\"journal\":{\"name\":\"Molecular Imaging and Radionuclide Therapy\",\"volume\":\" \",\"pages\":\"246-248\"},\"PeriodicalIF\":1.1000,\"publicationDate\":\"2025-10-08\",\"publicationTypes\":\"Journal Article\",\"fieldsOfStudy\":null,\"isOpenAccess\":false,\"openAccessPdf\":\"https://www.ncbi.nlm.nih.gov/pmc/articles/PMC12505204/pdf/\",\"citationCount\":\"0\",\"resultStr\":null,\"platform\":\"Semanticscholar\",\"paperid\":null,\"PeriodicalName\":\"Molecular Imaging and Radionuclide Therapy\",\"FirstCategoryId\":\"1085\",\"ListUrlMain\":\"https://doi.org/10.4274/mirt.galenos.2025.43402\",\"RegionNum\":0,\"RegionCategory\":null,\"ArticlePicture\":[],\"TitleCN\":null,\"AbstractTextCN\":null,\"PMCID\":null,\"EPubDate\":\"2025/8/1 0:00:00\",\"PubModel\":\"Epub\",\"JCR\":\"Q4\",\"JCRName\":\"RADIOLOGY, NUCLEAR MEDICINE & MEDICAL IMAGING\",\"Score\":null,\"Total\":0}","platform":"Semanticscholar","paperid":null,"PeriodicalName":"Molecular Imaging and Radionuclide Therapy","FirstCategoryId":"1085","ListUrlMain":"https://doi.org/10.4274/mirt.galenos.2025.43402","RegionNum":0,"RegionCategory":null,"ArticlePicture":[],"TitleCN":null,"AbstractTextCN":null,"PMCID":null,"EPubDate":"2025/8/1 0:00:00","PubModel":"Epub","JCR":"Q4","JCRName":"RADIOLOGY, NUCLEAR MEDICINE & MEDICAL IMAGING","Score":null,"Total":0}
引用次数: 0

摘要

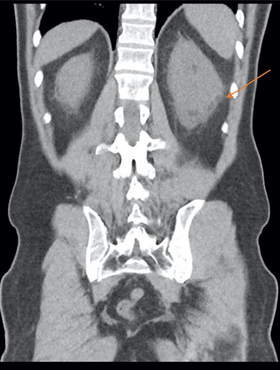
一位患有膀胱癌的62岁男性患者被转介到我们的机构进行锝-99m亚甲基二膦酸盐骨显像以评估骨转移。虽然骨扫描未显示异常摄取,但全身扫描在左侧肾周和骨盆区域检测到骨外摄取。计算机断层扫描显示穹窿破裂,示踪剂在肾周聚集。我们的诊断非常一致,并以经皮引流术治疗肾周尿漏的治疗态度为导向。
本文章由计算机程序翻译,如有差异,请以英文原文为准。

An Interesting Case of Fornix Rupture Discovered Accidentally on Bone Scintigraphy.

An Interesting Case of Fornix Rupture Discovered Accidentally on Bone Scintigraphy.

An Interesting Case of Fornix Rupture Discovered Accidentally on Bone Scintigraphy.

A 62-year-old male patient, with bladder carcinoma, was referred to our institution for Technetium-99m methylene diphosphonate bone scintigraphy to assess for bone metastasis. While the bone scan showed no abnormal uptake, extraosseous uptake was detected in the left perirenal and pelvic regions on the whole body scan. Computed tomography showed fornix rupture and demonstrated tracer pooling in the perirenal collection. Our diagnosis was very consistent, and oriented the therapeutic attitude towards a percutaneous drainage for the perinephric urinary leak.

求助全文
通过发布文献求助,成功后即可免费获取论文全文。 去求助
来源期刊
Molecular Imaging and Radionuclide Therapy
Molecular Imaging and Radionuclide Therapy RADIOLOGY, NUCLEAR MEDICINE & MEDICAL IMAGING-
CiteScore
1.30
自引率
0.00%
发文量
50
期刊介绍: Molecular Imaging and Radionuclide Therapy (Mol Imaging Radionucl Ther, MIRT) is publishes original research articles, invited reviews, editorials, short communications, letters, consensus statements, guidelines and case reports with a literature review on the topic, in the field of molecular imaging, multimodality imaging, nuclear medicine, radionuclide therapy, radiopharmacy, medical physics, dosimetry and radiobiology.
×
引用
GB/T 7714-2015
复制
MLA
复制
APA
复制
导出至
BibTeX EndNote RefMan NoteFirst NoteExpress
×
提示
您的信息不完整,为了账户安全,请先补充。
现在去补充
×
提示
您因"违规操作"
具体请查看互助需知
我知道了
×
提示
确定
请完成安全验证×
copy
已复制链接
快去分享给好友吧!
我知道了
右上角分享
点击右上角分享
0
联系我们:info@booksci.cn Book学术提供免费学术资源搜索服务,方便国内外学者检索中英文文献。致力于提供最便捷和优质的服务体验。 Copyright © 2023 布克学术 All rights reserved.
京ICP备2023020795号-1
ghs 京公网安备 11010802042870号
Book学术文献互助
Book学术文献互助群
群 号:604180095
Book学术官方微信