甲状腺血管肉瘤:一罕见恶性肿瘤病例报告及文献系统复习。

IF 1.8 Q3 ENDOCRINOLOGY & METABOLISM
Sahar Taleb, Anthony Abou Mrad, Mustafa Natout, Yusef Hazimeh, Layla Alkhuder, Bassel Hafez, Marc Mourad, Hala Kfoury Kassouf, Jaber Abbas, Hazem I Assi, Mustapha El Lakis
{"title":"甲状腺血管肉瘤:一罕见恶性肿瘤病例报告及文献系统复习。","authors":"Sahar Taleb, Anthony Abou Mrad, Mustafa Natout, Yusef Hazimeh, Layla Alkhuder, Bassel Hafez, Marc Mourad, Hala Kfoury Kassouf, Jaber Abbas, Hazem I Assi, Mustapha El Lakis","doi":"10.1186/s13044-025-00252-9","DOIUrl":null,"url":null,"abstract":"<p><strong>Background: </strong>Thyroid angiosarcoma is a rare, highly aggressive malignancy of endothelial origin, characterized by rapid growth, invasive behavior, and a high metastatic potential. While most cases are reported from the Alpine regions of Europe, its occurrence elsewhere is exceedingly rare. The aim of our review is to report a case of thyroid angiosarcoma and provide a systematic review of the literature, focusing on clinical presentation, diagnostic strategies, and treatment outcomes.</p><p><strong>Methods: </strong>A literature search of thyroid angiosarcoma case reports and series was performed according to PRISMA guidelines. Data on clinical features, diagnostic and treatment methods, and clinical outcomes were retrieved and analyzed. Kaplan-Meier survival curve was constructed to assess overall survival.</p><p><strong>Results: </strong>A systematic review of 72 cases of thyroid angiosarcoma reported in 52 articles was conducted. The median patient age was 66 years, with female predominance (4:3). Most patients presented with a rapidly enlarging thyroid mass and compressive symptoms. Diagnosis required a combination of histopathology and radiologic imaging, with Fine Needle Aspiration Cytology as the initial tool in 47% of patients. Total thyroidectomy was performed in 67% of cases, and 42% of patients received adjuvant therapies. The prognosis remains poor, with a median overall survival of 28 months and a 3-year survival rate of 40%.</p><p><strong>Conclusion: </strong>This case highlights the aggressive nature of thyroid angiosarcoma, and the challenges associated with its diagnosis and management. The literature review underscores the need for standardized management protocols and further research to improve patient outcomes.</p>","PeriodicalId":39048,"journal":{"name":"Thyroid Research","volume":"18 1","pages":"38"},"PeriodicalIF":1.8000,"publicationDate":"2025-08-01","publicationTypes":"Journal Article","fieldsOfStudy":null,"isOpenAccess":false,"openAccessPdf":"https://www.ncbi.nlm.nih.gov/pmc/articles/PMC12315268/pdf/","citationCount":"0","resultStr":"{\"title\":\"Thyroid angiosarcoma: a rare malignancy - case report and systematic review of the literature.\",\"authors\":\"Sahar Taleb, Anthony Abou Mrad, Mustafa Natout, Yusef Hazimeh, Layla Alkhuder, Bassel Hafez, Marc Mourad, Hala Kfoury Kassouf, Jaber Abbas, Hazem I Assi, Mustapha El Lakis\",\"doi\":\"10.1186/s13044-025-00252-9\",\"DOIUrl\":null,\"url\":null,\"abstract\":\"<p><strong>Background: </strong>Thyroid angiosarcoma is a rare, highly aggressive malignancy of endothelial origin, characterized by rapid growth, invasive behavior, and a high metastatic potential. While most cases are reported from the Alpine regions of Europe, its occurrence elsewhere is exceedingly rare. The aim of our review is to report a case of thyroid angiosarcoma and provide a systematic review of the literature, focusing on clinical presentation, diagnostic strategies, and treatment outcomes.</p><p><strong>Methods: </strong>A literature search of thyroid angiosarcoma case reports and series was performed according to PRISMA guidelines. Data on clinical features, diagnostic and treatment methods, and clinical outcomes were retrieved and analyzed. Kaplan-Meier survival curve was constructed to assess overall survival.</p><p><strong>Results: </strong>A systematic review of 72 cases of thyroid angiosarcoma reported in 52 articles was conducted. The median patient age was 66 years, with female predominance (4:3). Most patients presented with a rapidly enlarging thyroid mass and compressive symptoms. Diagnosis required a combination of histopathology and radiologic imaging, with Fine Needle Aspiration Cytology as the initial tool in 47% of patients. Total thyroidectomy was performed in 67% of cases, and 42% of patients received adjuvant therapies. The prognosis remains poor, with a median overall survival of 28 months and a 3-year survival rate of 40%.</p><p><strong>Conclusion: </strong>This case highlights the aggressive nature of thyroid angiosarcoma, and the challenges associated with its diagnosis and management. The literature review underscores the need for standardized management protocols and further research to improve patient outcomes.</p>\",\"PeriodicalId\":39048,\"journal\":{\"name\":\"Thyroid Research\",\"volume\":\"18 1\",\"pages\":\"38\"},\"PeriodicalIF\":1.8000,\"publicationDate\":\"2025-08-01\",\"publicationTypes\":\"Journal Article\",\"fieldsOfStudy\":null,\"isOpenAccess\":false,\"openAccessPdf\":\"https://www.ncbi.nlm.nih.gov/pmc/articles/PMC12315268/pdf/\",\"citationCount\":\"0\",\"resultStr\":null,\"platform\":\"Semanticscholar\",\"paperid\":null,\"PeriodicalName\":\"Thyroid Research\",\"FirstCategoryId\":\"1085\",\"ListUrlMain\":\"https://doi.org/10.1186/s13044-025-00252-9\",\"RegionNum\":0,\"RegionCategory\":null,\"ArticlePicture\":[],\"TitleCN\":null,\"AbstractTextCN\":null,\"PMCID\":null,\"EPubDate\":\"\",\"PubModel\":\"\",\"JCR\":\"Q3\",\"JCRName\":\"ENDOCRINOLOGY & METABOLISM\",\"Score\":null,\"Total\":0}","platform":"Semanticscholar","paperid":null,"PeriodicalName":"Thyroid Research","FirstCategoryId":"1085","ListUrlMain":"https://doi.org/10.1186/s13044-025-00252-9","RegionNum":0,"RegionCategory":null,"ArticlePicture":[],"TitleCN":null,"AbstractTextCN":null,"PMCID":null,"EPubDate":"","PubModel":"","JCR":"Q3","JCRName":"ENDOCRINOLOGY & METABOLISM","Score":null,"Total":0}
引用次数: 0

摘要

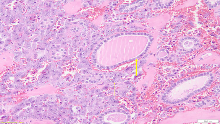
背景:甲状腺血管肉瘤是一种罕见的、高度侵袭性的内皮源性恶性肿瘤,其特点是生长迅速、具有侵袭性和高转移潜力。虽然大多数病例报告发生在欧洲阿尔卑斯地区,但在其他地方极为罕见。我们的回顾的目的是报告一个甲状腺血管肉瘤的病例,并提供一个系统的文献回顾,重点是临床表现,诊断策略和治疗结果。方法:根据PRISMA指南检索甲状腺血管肉瘤病例报告和系列文献。检索和分析临床特征、诊断和治疗方法以及临床结果的数据。构建Kaplan-Meier生存曲线评估总生存率。结果:对52篇报道的72例甲状腺血管肉瘤进行了系统回顾。患者年龄中位数为66岁,以女性为主(4:3)。大多数患者表现为甲状腺肿块迅速增大和压迫症状。诊断需要组织病理学和放射学成像的结合,在47%的患者中,细针穿刺细胞学是最初的工具。67%的患者接受了甲状腺全切除术,42%的患者接受了辅助治疗。预后仍然很差,中位总生存期为28个月,3年生存率为40%。结论:本病例突出了甲状腺血管肉瘤的侵袭性,以及与诊断和治疗相关的挑战。文献综述强调需要标准化的管理方案和进一步的研究来改善患者的预后。
本文章由计算机程序翻译,如有差异,请以英文原文为准。

Thyroid angiosarcoma: a rare malignancy - case report and systematic review of the literature.

Thyroid angiosarcoma: a rare malignancy - case report and systematic review of the literature.

Thyroid angiosarcoma: a rare malignancy - case report and systematic review of the literature.

Thyroid angiosarcoma: a rare malignancy - case report and systematic review of the literature.

Background: Thyroid angiosarcoma is a rare, highly aggressive malignancy of endothelial origin, characterized by rapid growth, invasive behavior, and a high metastatic potential. While most cases are reported from the Alpine regions of Europe, its occurrence elsewhere is exceedingly rare. The aim of our review is to report a case of thyroid angiosarcoma and provide a systematic review of the literature, focusing on clinical presentation, diagnostic strategies, and treatment outcomes.

Methods: A literature search of thyroid angiosarcoma case reports and series was performed according to PRISMA guidelines. Data on clinical features, diagnostic and treatment methods, and clinical outcomes were retrieved and analyzed. Kaplan-Meier survival curve was constructed to assess overall survival.

Results: A systematic review of 72 cases of thyroid angiosarcoma reported in 52 articles was conducted. The median patient age was 66 years, with female predominance (4:3). Most patients presented with a rapidly enlarging thyroid mass and compressive symptoms. Diagnosis required a combination of histopathology and radiologic imaging, with Fine Needle Aspiration Cytology as the initial tool in 47% of patients. Total thyroidectomy was performed in 67% of cases, and 42% of patients received adjuvant therapies. The prognosis remains poor, with a median overall survival of 28 months and a 3-year survival rate of 40%.

Conclusion: This case highlights the aggressive nature of thyroid angiosarcoma, and the challenges associated with its diagnosis and management. The literature review underscores the need for standardized management protocols and further research to improve patient outcomes.

求助全文
通过发布文献求助,成功后即可免费获取论文全文。 去求助
来源期刊
Thyroid Research
Thyroid Research Medicine-Endocrinology, Diabetes and Metabolism
CiteScore
3.10
自引率
4.50%
发文量
21
审稿时长
8 weeks
×
引用
GB/T 7714-2015
复制
MLA
复制
APA
复制
导出至
BibTeX EndNote RefMan NoteFirst NoteExpress
×
提示
您的信息不完整,为了账户安全,请先补充。
现在去补充
×
提示
您因"违规操作"
具体请查看互助需知
我知道了
×
提示
确定
请完成安全验证×
copy
已复制链接
快去分享给好友吧!
我知道了
右上角分享
点击右上角分享
0
联系我们:info@booksci.cn Book学术提供免费学术资源搜索服务,方便国内外学者检索中英文文献。致力于提供最便捷和优质的服务体验。 Copyright © 2023 布克学术 All rights reserved.
京ICP备2023020795号-1
ghs 京公网安备 11010802042870号
Book学术文献互助
Book学术文献互助群
群 号:604180095
Book学术官方微信