肿瘤间转移:乳腺癌转移至嗜铬细胞瘤1例。

Q3 Medicine
Iranian Journal of Pathology Pub Date : 2025-01-01 Epub Date: 2025-07-01 DOI:10.30699/ijp.2025.2049764.3396
Parisa Adelnia, Mitra Heidarpour
{"title":"肿瘤间转移:乳腺癌转移至嗜铬细胞瘤1例。","authors":"Parisa Adelnia, Mitra Heidarpour","doi":"10.30699/ijp.2025.2049764.3396","DOIUrl":null,"url":null,"abstract":"<p><strong>Background & objective: </strong>Tumor-to-tumor metastasis is a rare phenomenon in which one primary tumor metastasizes into another histologically distinct tumor. This report presents a unique case of breast carcinoma metastasizing to a pheochromocytoma, posing significant diagnostic and therapeutic challenges.</p><p><strong>Case presentation: </strong>A 71-year-old woman with a history of breast carcinoma-status post mastectomy 7 years prior-presented with elevated levels of cancer antigen 15-3 (CA15-3), raising suspicion of disease recurrence or metastasis. Imaging studies revealed a mass in the adrenal gland. Surgical excision of the adrenal lesion was performed, and subsequent histopathological and immunohistochemical analyses confirmed the coexistence of two distinct tumor components: primary pheochromocytoma and metastatic breast carcinoma.</p><p><strong>Conclusion: </strong>Although tumor-to-tumor metastasis is exceedingly rare, awareness of this entity is crucial for accurate diagnosis and effective treatment planning. This case underscores the importance of considering prior malignancies in the differential diagnosis of new adrenal masses and highlights the complexities involved in managing a hormone-secreting neoplasm concurrently harboring metastatic disease.</p>","PeriodicalId":38900,"journal":{"name":"Iranian Journal of Pathology","volume":"20 3","pages":"326-329"},"PeriodicalIF":0.0000,"publicationDate":"2025-01-01","publicationTypes":"Journal Article","fieldsOfStudy":null,"isOpenAccess":false,"openAccessPdf":"https://www.ncbi.nlm.nih.gov/pmc/articles/PMC12308184/pdf/","citationCount":"0","resultStr":"{\"title\":\"Tumor-to-Tumor Metastasis: An Uncommon Case of Metastatic Breast Carcinoma to Pheochromocytoma.\",\"authors\":\"Parisa Adelnia, Mitra Heidarpour\",\"doi\":\"10.30699/ijp.2025.2049764.3396\",\"DOIUrl\":null,\"url\":null,\"abstract\":\"<p><strong>Background & objective: </strong>Tumor-to-tumor metastasis is a rare phenomenon in which one primary tumor metastasizes into another histologically distinct tumor. This report presents a unique case of breast carcinoma metastasizing to a pheochromocytoma, posing significant diagnostic and therapeutic challenges.</p><p><strong>Case presentation: </strong>A 71-year-old woman with a history of breast carcinoma-status post mastectomy 7 years prior-presented with elevated levels of cancer antigen 15-3 (CA15-3), raising suspicion of disease recurrence or metastasis. Imaging studies revealed a mass in the adrenal gland. Surgical excision of the adrenal lesion was performed, and subsequent histopathological and immunohistochemical analyses confirmed the coexistence of two distinct tumor components: primary pheochromocytoma and metastatic breast carcinoma.</p><p><strong>Conclusion: </strong>Although tumor-to-tumor metastasis is exceedingly rare, awareness of this entity is crucial for accurate diagnosis and effective treatment planning. This case underscores the importance of considering prior malignancies in the differential diagnosis of new adrenal masses and highlights the complexities involved in managing a hormone-secreting neoplasm concurrently harboring metastatic disease.</p>\",\"PeriodicalId\":38900,\"journal\":{\"name\":\"Iranian Journal of Pathology\",\"volume\":\"20 3\",\"pages\":\"326-329\"},\"PeriodicalIF\":0.0000,\"publicationDate\":\"2025-01-01\",\"publicationTypes\":\"Journal Article\",\"fieldsOfStudy\":null,\"isOpenAccess\":false,\"openAccessPdf\":\"https://www.ncbi.nlm.nih.gov/pmc/articles/PMC12308184/pdf/\",\"citationCount\":\"0\",\"resultStr\":null,\"platform\":\"Semanticscholar\",\"paperid\":null,\"PeriodicalName\":\"Iranian Journal of Pathology\",\"FirstCategoryId\":\"1085\",\"ListUrlMain\":\"https://doi.org/10.30699/ijp.2025.2049764.3396\",\"RegionNum\":0,\"RegionCategory\":null,\"ArticlePicture\":[],\"TitleCN\":null,\"AbstractTextCN\":null,\"PMCID\":null,\"EPubDate\":\"2025/7/1 0:00:00\",\"PubModel\":\"Epub\",\"JCR\":\"Q3\",\"JCRName\":\"Medicine\",\"Score\":null,\"Total\":0}","platform":"Semanticscholar","paperid":null,"PeriodicalName":"Iranian Journal of Pathology","FirstCategoryId":"1085","ListUrlMain":"https://doi.org/10.30699/ijp.2025.2049764.3396","RegionNum":0,"RegionCategory":null,"ArticlePicture":[],"TitleCN":null,"AbstractTextCN":null,"PMCID":null,"EPubDate":"2025/7/1 0:00:00","PubModel":"Epub","JCR":"Q3","JCRName":"Medicine","Score":null,"Total":0}
引用次数: 0

摘要

背景与目的:肿瘤到肿瘤转移是一种罕见的原发肿瘤转移到另一个组织学上不同的肿瘤的现象。本报告提出了一个独特的病例乳腺癌转移到嗜铬细胞瘤,提出了重大的诊断和治疗挑战。病例介绍:一名71岁女性,乳房切除术后7年有乳腺癌病史,表现为癌抗原15-3 (CA15-3)水平升高,怀疑疾病复发或转移。影像学检查显示肾上腺有肿块。手术切除肾上腺病变,随后的组织病理学和免疫组织化学分析证实了两种不同肿瘤成分的共存:原发性嗜铬细胞瘤和转移性乳腺癌。结论:虽然肿瘤间转移极为罕见,但对肿瘤转移的认识对于准确诊断和制定有效的治疗方案至关重要。本病例强调了在鉴别诊断新发肾上腺肿块时考虑既往恶性肿瘤的重要性,并强调了治疗伴有转移性疾病的激素分泌肿瘤的复杂性。
本文章由计算机程序翻译,如有差异,请以英文原文为准。

Tumor-to-Tumor Metastasis: An Uncommon Case of Metastatic Breast Carcinoma to Pheochromocytoma.

Tumor-to-Tumor Metastasis: An Uncommon Case of Metastatic Breast Carcinoma to Pheochromocytoma.

Tumor-to-Tumor Metastasis: An Uncommon Case of Metastatic Breast Carcinoma to Pheochromocytoma.

Tumor-to-Tumor Metastasis: An Uncommon Case of Metastatic Breast Carcinoma to Pheochromocytoma.

Background & objective: Tumor-to-tumor metastasis is a rare phenomenon in which one primary tumor metastasizes into another histologically distinct tumor. This report presents a unique case of breast carcinoma metastasizing to a pheochromocytoma, posing significant diagnostic and therapeutic challenges.

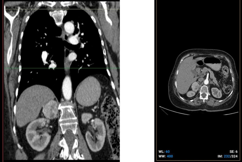
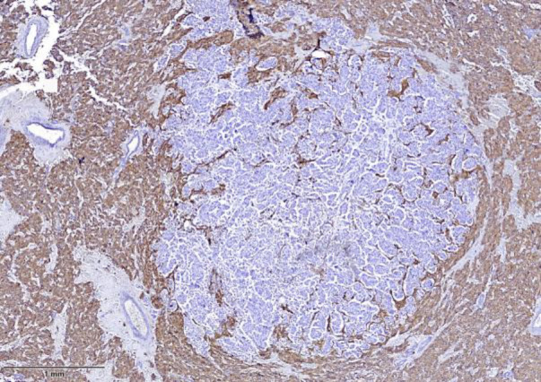
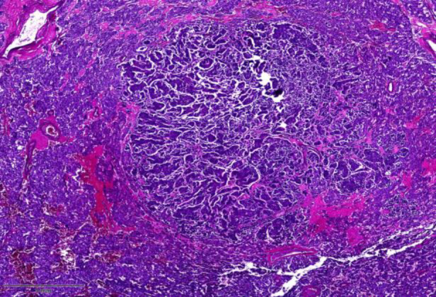
Case presentation: A 71-year-old woman with a history of breast carcinoma-status post mastectomy 7 years prior-presented with elevated levels of cancer antigen 15-3 (CA15-3), raising suspicion of disease recurrence or metastasis. Imaging studies revealed a mass in the adrenal gland. Surgical excision of the adrenal lesion was performed, and subsequent histopathological and immunohistochemical analyses confirmed the coexistence of two distinct tumor components: primary pheochromocytoma and metastatic breast carcinoma.

Conclusion: Although tumor-to-tumor metastasis is exceedingly rare, awareness of this entity is crucial for accurate diagnosis and effective treatment planning. This case underscores the importance of considering prior malignancies in the differential diagnosis of new adrenal masses and highlights the complexities involved in managing a hormone-secreting neoplasm concurrently harboring metastatic disease.

求助全文
通过发布文献求助,成功后即可免费获取论文全文。 去求助
来源期刊
Iranian Journal of Pathology
Iranian Journal of Pathology Medicine-Pathology and Forensic Medicine
CiteScore
2.00
自引率
0.00%
发文量
99
审稿时长
20 weeks
×
引用
GB/T 7714-2015
复制
MLA
复制
APA
复制
导出至
BibTeX EndNote RefMan NoteFirst NoteExpress
×
提示
您的信息不完整,为了账户安全,请先补充。
现在去补充
×
提示
您因"违规操作"
具体请查看互助需知
我知道了
×
提示
确定
请完成安全验证×
copy
已复制链接
快去分享给好友吧!
我知道了
右上角分享
点击右上角分享
0
联系我们:info@booksci.cn Book学术提供免费学术资源搜索服务,方便国内外学者检索中英文文献。致力于提供最便捷和优质的服务体验。 Copyright © 2023 布克学术 All rights reserved.
京ICP备2023020795号-1
ghs 京公网安备 11010802042870号
Book学术文献互助
Book学术文献互助群
群 号:604180095
Book学术官方微信