模拟腹膜播种的腹膜包虫囊肿;一个病例报告。

Q3 Medicine
Iranian Journal of Pathology Pub Date : 2025-01-01 Epub Date: 2025-07-01 DOI:10.30699/ijp.2025.2056341.3430
Nasser Malekpour Alamdari, Iman Ansari, Maede Karimian, Elnaz Babakhani, Sara Hatami, Parisa Mohammadsadeghi, Maryam Abbasi
{"title":"模拟腹膜播种的腹膜包虫囊肿;一个病例报告。","authors":"Nasser Malekpour Alamdari, Iman Ansari, Maede Karimian, Elnaz Babakhani, Sara Hatami, Parisa Mohammadsadeghi, Maryam Abbasi","doi":"10.30699/ijp.2025.2056341.3430","DOIUrl":null,"url":null,"abstract":"<p><strong>Background & objective: </strong>This study presents a rare case of hydatid cysts involving the liver, spleen, and peritoneum, in which clinical features and radiologic findings initially raised strong suspicion for abdominal malignancy with peritoneal seeding.</p><p><strong>Case presentation: </strong>A 64-year-old man presented with vague epigastric pain, weight loss, and iron deficiency anemia. Abdominal ultrasonography revealed multiple splenic lesions suggestive of hydatid cysts. Hydatid serology was negative. Chest CT was unremarkable. Abdominal and pelvic CT showed splenomegaly with cystic lesions, including a calcified cyst in segment VI of the liver. Numerous hypodense peritoneal nodules were identified, particularly in the mid-omentum and supraumbilical region. Differential diagnoses included hydatid disease, primary peritoneal neoplasms, and peritoneal metastases. Due to anemia, weight loss, and the suspicion of peritoneal carcinomatosis, hydatid disease alone could not fully account for the findings, prompting further diagnostic evaluation. Endoscopy and colonoscopy were unremarkable. The patient underwent exploratory laparotomy and splenectomy, along with partial omentectomy where hydatid involvement was suspected. Postoperatively, he was treated with albendazole 800 mg daily and discharged on postoperative day three. At 3- and 6-month follow-ups, the patient reported resolution of abdominal pain, and physical examinations were normal.</p><p><strong>Conclusion: </strong>Peritoneal hydatid disease is rare and can mimic peritoneal carcinomatosis, leading to diagnostic uncertainty and treatment delay. Surgical excision followed by antiparasitic therapy remains the cornerstone of management.</p>","PeriodicalId":38900,"journal":{"name":"Iranian Journal of Pathology","volume":"20 3","pages":"330-334"},"PeriodicalIF":0.0000,"publicationDate":"2025-01-01","publicationTypes":"Journal Article","fieldsOfStudy":null,"isOpenAccess":false,"openAccessPdf":"https://www.ncbi.nlm.nih.gov/pmc/articles/PMC12308191/pdf/","citationCount":"0","resultStr":"{\"title\":\"Peritoneal Hydatid Cyst Mimicking Peritoneal Seeding; A Case Report.\",\"authors\":\"Nasser Malekpour Alamdari, Iman Ansari, Maede Karimian, Elnaz Babakhani, Sara Hatami, Parisa Mohammadsadeghi, Maryam Abbasi\",\"doi\":\"10.30699/ijp.2025.2056341.3430\",\"DOIUrl\":null,\"url\":null,\"abstract\":\"<p><strong>Background & objective: </strong>This study presents a rare case of hydatid cysts involving the liver, spleen, and peritoneum, in which clinical features and radiologic findings initially raised strong suspicion for abdominal malignancy with peritoneal seeding.</p><p><strong>Case presentation: </strong>A 64-year-old man presented with vague epigastric pain, weight loss, and iron deficiency anemia. Abdominal ultrasonography revealed multiple splenic lesions suggestive of hydatid cysts. Hydatid serology was negative. Chest CT was unremarkable. Abdominal and pelvic CT showed splenomegaly with cystic lesions, including a calcified cyst in segment VI of the liver. Numerous hypodense peritoneal nodules were identified, particularly in the mid-omentum and supraumbilical region. Differential diagnoses included hydatid disease, primary peritoneal neoplasms, and peritoneal metastases. Due to anemia, weight loss, and the suspicion of peritoneal carcinomatosis, hydatid disease alone could not fully account for the findings, prompting further diagnostic evaluation. Endoscopy and colonoscopy were unremarkable. The patient underwent exploratory laparotomy and splenectomy, along with partial omentectomy where hydatid involvement was suspected. Postoperatively, he was treated with albendazole 800 mg daily and discharged on postoperative day three. At 3- and 6-month follow-ups, the patient reported resolution of abdominal pain, and physical examinations were normal.</p><p><strong>Conclusion: </strong>Peritoneal hydatid disease is rare and can mimic peritoneal carcinomatosis, leading to diagnostic uncertainty and treatment delay. Surgical excision followed by antiparasitic therapy remains the cornerstone of management.</p>\",\"PeriodicalId\":38900,\"journal\":{\"name\":\"Iranian Journal of Pathology\",\"volume\":\"20 3\",\"pages\":\"330-334\"},\"PeriodicalIF\":0.0000,\"publicationDate\":\"2025-01-01\",\"publicationTypes\":\"Journal Article\",\"fieldsOfStudy\":null,\"isOpenAccess\":false,\"openAccessPdf\":\"https://www.ncbi.nlm.nih.gov/pmc/articles/PMC12308191/pdf/\",\"citationCount\":\"0\",\"resultStr\":null,\"platform\":\"Semanticscholar\",\"paperid\":null,\"PeriodicalName\":\"Iranian Journal of Pathology\",\"FirstCategoryId\":\"1085\",\"ListUrlMain\":\"https://doi.org/10.30699/ijp.2025.2056341.3430\",\"RegionNum\":0,\"RegionCategory\":null,\"ArticlePicture\":[],\"TitleCN\":null,\"AbstractTextCN\":null,\"PMCID\":null,\"EPubDate\":\"2025/7/1 0:00:00\",\"PubModel\":\"Epub\",\"JCR\":\"Q3\",\"JCRName\":\"Medicine\",\"Score\":null,\"Total\":0}","platform":"Semanticscholar","paperid":null,"PeriodicalName":"Iranian Journal of Pathology","FirstCategoryId":"1085","ListUrlMain":"https://doi.org/10.30699/ijp.2025.2056341.3430","RegionNum":0,"RegionCategory":null,"ArticlePicture":[],"TitleCN":null,"AbstractTextCN":null,"PMCID":null,"EPubDate":"2025/7/1 0:00:00","PubModel":"Epub","JCR":"Q3","JCRName":"Medicine","Score":null,"Total":0}
引用次数: 0

摘要

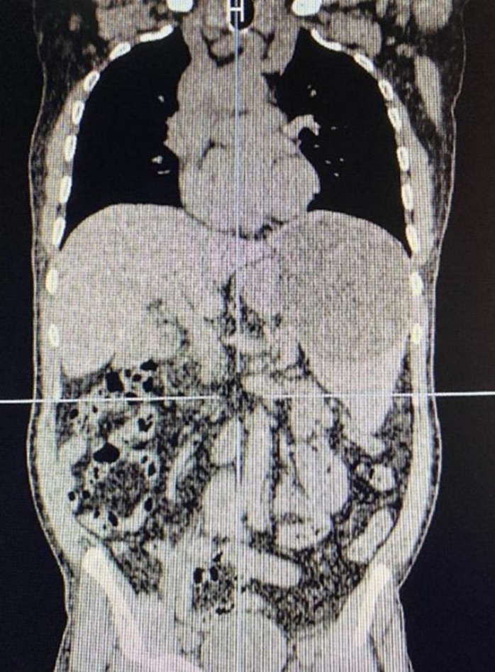
背景与目的:本研究报告一例罕见的包虫病累及肝脏、脾脏和腹膜,其临床特征和影像学表现最初强烈怀疑腹部恶性肿瘤伴腹膜播散。病例介绍:一名64岁男性,表现为模糊的上腹痛、体重减轻和缺铁性贫血。腹部超声显示脾脏多发病灶提示包虫囊肿。包虫血清学阴性。胸部CT未见明显变化。腹部及盆腔CT显示脾肿大伴囊性病变,包括肝VI节段一钙化囊肿。许多低密度的腹膜结节被发现,特别是在网膜中部和脐上区域。鉴别诊断包括包虫病、原发性腹膜肿瘤和腹膜转移。由于贫血、体重减轻和腹膜癌的怀疑,单独的包虫病不能完全解释这些发现,需要进一步的诊断评估。内窥镜和结肠镜检查无明显差异。患者行剖腹探查和脾切除术,并行部分网膜切除术,怀疑包虫病累及。术后给予阿苯达唑800 mg / d治疗,术后第3天出院。在3个月和6个月的随访中,患者报告腹痛消退,体格检查正常。结论:腹膜包虫病罕见,可与腹膜癌相似,导致诊断不确定和治疗延误。手术切除后抗寄生虫治疗仍然是治疗的基石。
本文章由计算机程序翻译,如有差异,请以英文原文为准。

Peritoneal Hydatid Cyst Mimicking Peritoneal Seeding; A Case Report.

Peritoneal Hydatid Cyst Mimicking Peritoneal Seeding; A Case Report.

Peritoneal Hydatid Cyst Mimicking Peritoneal Seeding; A Case Report.

Peritoneal Hydatid Cyst Mimicking Peritoneal Seeding; A Case Report.

Background & objective: This study presents a rare case of hydatid cysts involving the liver, spleen, and peritoneum, in which clinical features and radiologic findings initially raised strong suspicion for abdominal malignancy with peritoneal seeding.

Case presentation: A 64-year-old man presented with vague epigastric pain, weight loss, and iron deficiency anemia. Abdominal ultrasonography revealed multiple splenic lesions suggestive of hydatid cysts. Hydatid serology was negative. Chest CT was unremarkable. Abdominal and pelvic CT showed splenomegaly with cystic lesions, including a calcified cyst in segment VI of the liver. Numerous hypodense peritoneal nodules were identified, particularly in the mid-omentum and supraumbilical region. Differential diagnoses included hydatid disease, primary peritoneal neoplasms, and peritoneal metastases. Due to anemia, weight loss, and the suspicion of peritoneal carcinomatosis, hydatid disease alone could not fully account for the findings, prompting further diagnostic evaluation. Endoscopy and colonoscopy were unremarkable. The patient underwent exploratory laparotomy and splenectomy, along with partial omentectomy where hydatid involvement was suspected. Postoperatively, he was treated with albendazole 800 mg daily and discharged on postoperative day three. At 3- and 6-month follow-ups, the patient reported resolution of abdominal pain, and physical examinations were normal.

Conclusion: Peritoneal hydatid disease is rare and can mimic peritoneal carcinomatosis, leading to diagnostic uncertainty and treatment delay. Surgical excision followed by antiparasitic therapy remains the cornerstone of management.

求助全文
通过发布文献求助,成功后即可免费获取论文全文。 去求助
来源期刊
Iranian Journal of Pathology
Iranian Journal of Pathology Medicine-Pathology and Forensic Medicine
CiteScore
2.00
自引率
0.00%
发文量
99
审稿时长
20 weeks
×
引用
GB/T 7714-2015
复制
MLA
复制
APA
复制
导出至
BibTeX EndNote RefMan NoteFirst NoteExpress
×
提示
您的信息不完整,为了账户安全,请先补充。
现在去补充
×
提示
您因"违规操作"
具体请查看互助需知
我知道了
×
提示
确定
请完成安全验证×
copy
已复制链接
快去分享给好友吧!
我知道了
右上角分享
点击右上角分享
0
联系我们:info@booksci.cn Book学术提供免费学术资源搜索服务,方便国内外学者检索中英文文献。致力于提供最便捷和优质的服务体验。 Copyright © 2023 布克学术 All rights reserved.
京ICP备2023020795号-1
ghs 京公网安备 11010802042870号
Book学术文献互助
Book学术文献互助群
群 号:604180095
Book学术官方微信