TTF-1、Napsin A、p40和p63在非小细胞肺癌分型中的评价:来自印度的横断面研究

Q3 Medicine
Iranian Journal of Pathology Pub Date : 2025-01-01 Epub Date: 2025-07-01 DOI:10.30699/ijp.2025.2044252.3371
Surbhi Patel, Deepa Sowkur Anandarama Adiga
{"title":"TTF-1、Napsin A、p40和p63在非小细胞肺癌分型中的评价:来自印度的横断面研究","authors":"Surbhi Patel, Deepa Sowkur Anandarama Adiga","doi":"10.30699/ijp.2025.2044252.3371","DOIUrl":null,"url":null,"abstract":"<p><strong>Background & objective: </strong>Subtyping non-small cell lung carcinoma (NSCLC) into adenocarcinoma (ADC) and squamous cell carcinoma (SCC) is crucial for selecting appropriate molecular tests, as driver mutations are often subtype-specific. This study aimed to evaluate the utility of TTF-1, Napsin A, p40, and p63 immunohistochemical (IHC) markers in subtyping NSCLC on small biopsies, with the goal of identifying a minimal marker panel.</p><p><strong>Methods: </strong>This retrospective, cross-sectional study was conducted at Kasturba Medical College, Mangalore, from January 2014 to December 2020. All NSCLC cases diagnosed during the study period were included. Immunohistochemical expressions of TTF-1, Napsin A, p40, and p63 were evaluated and correlated with morphological findings.</p><p><strong>Results: </strong>Ninety-five NSCLC cases were included: adenocarcinoma (n = 35), squamous cell carcinoma (n = 57), and NSCLC-not otherwise specified (NOS) (n = 2). IHC reclassification based on marker expression resulted in six ADC cases retyped as SCC and eight SCC cases retyped as ADC. TTF-1 and Napsin A expression were significantly associated with adenocarcinoma (<i>p</i> < 0.001), while p40 and p63 expression were significantly associated with SCC (<i>p</i> < 0.001).</p><p><strong>Conclusion: </strong>IHC is essential in overcoming the diagnostic limitations of small biopsy specimens, especially in morphologically heterogeneous tumors. A minimal panel comprising TTF-1 and p40 is sufficient for accurate subtyping of NSCLC and can help preserve tissue for downstream molecular testing.</p>","PeriodicalId":38900,"journal":{"name":"Iranian Journal of Pathology","volume":"20 3","pages":"297-306"},"PeriodicalIF":0.0000,"publicationDate":"2025-01-01","publicationTypes":"Journal Article","fieldsOfStudy":null,"isOpenAccess":false,"openAccessPdf":"https://www.ncbi.nlm.nih.gov/pmc/articles/PMC12308192/pdf/","citationCount":"0","resultStr":"{\"title\":\"Evaluation of TTF-1, Napsin A, p40, and p63 in the Subtyping of Non-Small Cell Lung Carcinoma: A Cross-Sectional Study from India.\",\"authors\":\"Surbhi Patel, Deepa Sowkur Anandarama Adiga\",\"doi\":\"10.30699/ijp.2025.2044252.3371\",\"DOIUrl\":null,\"url\":null,\"abstract\":\"<p><strong>Background & objective: </strong>Subtyping non-small cell lung carcinoma (NSCLC) into adenocarcinoma (ADC) and squamous cell carcinoma (SCC) is crucial for selecting appropriate molecular tests, as driver mutations are often subtype-specific. This study aimed to evaluate the utility of TTF-1, Napsin A, p40, and p63 immunohistochemical (IHC) markers in subtyping NSCLC on small biopsies, with the goal of identifying a minimal marker panel.</p><p><strong>Methods: </strong>This retrospective, cross-sectional study was conducted at Kasturba Medical College, Mangalore, from January 2014 to December 2020. All NSCLC cases diagnosed during the study period were included. Immunohistochemical expressions of TTF-1, Napsin A, p40, and p63 were evaluated and correlated with morphological findings.</p><p><strong>Results: </strong>Ninety-five NSCLC cases were included: adenocarcinoma (n = 35), squamous cell carcinoma (n = 57), and NSCLC-not otherwise specified (NOS) (n = 2). IHC reclassification based on marker expression resulted in six ADC cases retyped as SCC and eight SCC cases retyped as ADC. TTF-1 and Napsin A expression were significantly associated with adenocarcinoma (<i>p</i> < 0.001), while p40 and p63 expression were significantly associated with SCC (<i>p</i> < 0.001).</p><p><strong>Conclusion: </strong>IHC is essential in overcoming the diagnostic limitations of small biopsy specimens, especially in morphologically heterogeneous tumors. A minimal panel comprising TTF-1 and p40 is sufficient for accurate subtyping of NSCLC and can help preserve tissue for downstream molecular testing.</p>\",\"PeriodicalId\":38900,\"journal\":{\"name\":\"Iranian Journal of Pathology\",\"volume\":\"20 3\",\"pages\":\"297-306\"},\"PeriodicalIF\":0.0000,\"publicationDate\":\"2025-01-01\",\"publicationTypes\":\"Journal Article\",\"fieldsOfStudy\":null,\"isOpenAccess\":false,\"openAccessPdf\":\"https://www.ncbi.nlm.nih.gov/pmc/articles/PMC12308192/pdf/\",\"citationCount\":\"0\",\"resultStr\":null,\"platform\":\"Semanticscholar\",\"paperid\":null,\"PeriodicalName\":\"Iranian Journal of Pathology\",\"FirstCategoryId\":\"1085\",\"ListUrlMain\":\"https://doi.org/10.30699/ijp.2025.2044252.3371\",\"RegionNum\":0,\"RegionCategory\":null,\"ArticlePicture\":[],\"TitleCN\":null,\"AbstractTextCN\":null,\"PMCID\":null,\"EPubDate\":\"2025/7/1 0:00:00\",\"PubModel\":\"Epub\",\"JCR\":\"Q3\",\"JCRName\":\"Medicine\",\"Score\":null,\"Total\":0}","platform":"Semanticscholar","paperid":null,"PeriodicalName":"Iranian Journal of Pathology","FirstCategoryId":"1085","ListUrlMain":"https://doi.org/10.30699/ijp.2025.2044252.3371","RegionNum":0,"RegionCategory":null,"ArticlePicture":[],"TitleCN":null,"AbstractTextCN":null,"PMCID":null,"EPubDate":"2025/7/1 0:00:00","PubModel":"Epub","JCR":"Q3","JCRName":"Medicine","Score":null,"Total":0}
引用次数: 0

摘要

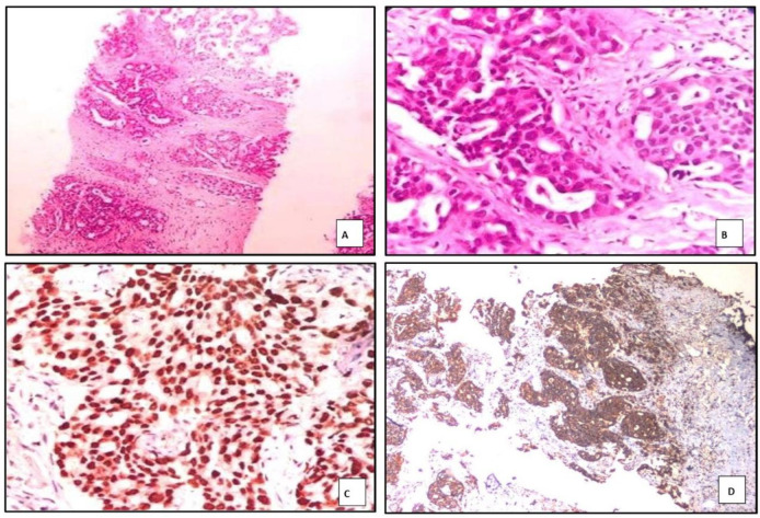
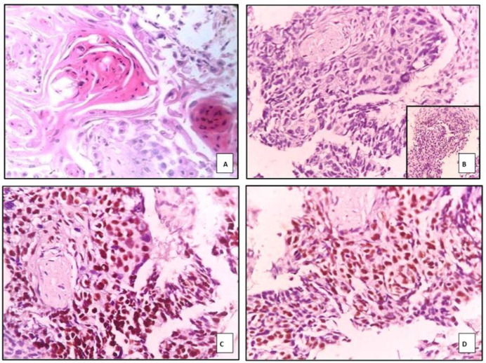
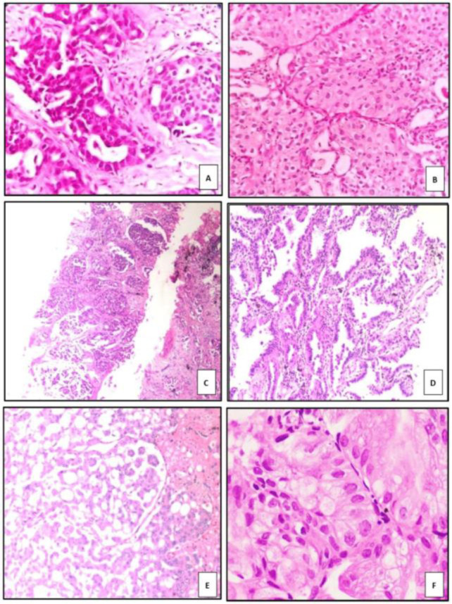
背景与目的:将非小细胞肺癌(NSCLC)分型为腺癌(ADC)和鳞状细胞癌(SCC)对于选择合适的分子检测至关重要,因为驱动突变通常是亚型特异性的。本研究旨在评估TTF-1、Napsin A、p40和p63免疫组化(IHC)标志物在小活检NSCLC分型中的应用,目的是确定一个最小的标志物组。方法:这项回顾性横断面研究于2014年1月至2020年12月在芒格洛尔Kasturba医学院进行。所有在研究期间确诊的非小细胞肺癌病例均被纳入。免疫组织化学检测TTF-1、Napsin A、p40和p63的表达,并与形态学结果相关联。结果:纳入95例非小细胞肺癌:腺癌(n = 35)、鳞状细胞癌(n = 57)和非特异性非小细胞肺癌(NOS) (n = 2)。基于标志物表达的免疫组化重分类导致6例ADC重分型为SCC, 8例SCC重分型为ADC。TTF-1和Napsin A表达与腺癌显著相关(p < 0.001), p40和p63表达与SCC显著相关(p < 0.001)。结论:免疫组化是克服小活检标本诊断局限性的必要手段,尤其是在形态学异质性肿瘤中。包含TTF-1和p40的最小面板足以准确分型NSCLC,并有助于保存组织以进行下游分子检测。
本文章由计算机程序翻译,如有差异,请以英文原文为准。

Evaluation of TTF-1, Napsin A, p40, and p63 in the Subtyping of Non-Small Cell Lung Carcinoma: A Cross-Sectional Study from India.

Evaluation of TTF-1, Napsin A, p40, and p63 in the Subtyping of Non-Small Cell Lung Carcinoma: A Cross-Sectional Study from India.

Evaluation of TTF-1, Napsin A, p40, and p63 in the Subtyping of Non-Small Cell Lung Carcinoma: A Cross-Sectional Study from India.

Evaluation of TTF-1, Napsin A, p40, and p63 in the Subtyping of Non-Small Cell Lung Carcinoma: A Cross-Sectional Study from India.

Background & objective: Subtyping non-small cell lung carcinoma (NSCLC) into adenocarcinoma (ADC) and squamous cell carcinoma (SCC) is crucial for selecting appropriate molecular tests, as driver mutations are often subtype-specific. This study aimed to evaluate the utility of TTF-1, Napsin A, p40, and p63 immunohistochemical (IHC) markers in subtyping NSCLC on small biopsies, with the goal of identifying a minimal marker panel.

Methods: This retrospective, cross-sectional study was conducted at Kasturba Medical College, Mangalore, from January 2014 to December 2020. All NSCLC cases diagnosed during the study period were included. Immunohistochemical expressions of TTF-1, Napsin A, p40, and p63 were evaluated and correlated with morphological findings.

Results: Ninety-five NSCLC cases were included: adenocarcinoma (n = 35), squamous cell carcinoma (n = 57), and NSCLC-not otherwise specified (NOS) (n = 2). IHC reclassification based on marker expression resulted in six ADC cases retyped as SCC and eight SCC cases retyped as ADC. TTF-1 and Napsin A expression were significantly associated with adenocarcinoma (p < 0.001), while p40 and p63 expression were significantly associated with SCC (p < 0.001).

Conclusion: IHC is essential in overcoming the diagnostic limitations of small biopsy specimens, especially in morphologically heterogeneous tumors. A minimal panel comprising TTF-1 and p40 is sufficient for accurate subtyping of NSCLC and can help preserve tissue for downstream molecular testing.

求助全文
通过发布文献求助,成功后即可免费获取论文全文。 去求助
来源期刊
Iranian Journal of Pathology
Iranian Journal of Pathology Medicine-Pathology and Forensic Medicine
CiteScore
2.00
自引率
0.00%
发文量
99
审稿时长
20 weeks
×
引用
GB/T 7714-2015
复制
MLA
复制
APA
复制
导出至
BibTeX EndNote RefMan NoteFirst NoteExpress
×
提示
您的信息不完整,为了账户安全,请先补充。
现在去补充
×
提示
您因"违规操作"
具体请查看互助需知
我知道了
×
提示
确定
请完成安全验证×
copy
已复制链接
快去分享给好友吧!
我知道了
右上角分享
点击右上角分享
0
联系我们:info@booksci.cn Book学术提供免费学术资源搜索服务,方便国内外学者检索中英文文献。致力于提供最便捷和优质的服务体验。 Copyright © 2023 布克学术 All rights reserved.
京ICP备2023020795号-1
ghs 京公网安备 11010802042870号
Book学术文献互助
Book学术文献互助群
群 号:604180095
Book学术官方微信