细胞角蛋白19在口腔癌变中的表达评价。

Q3 Medicine
Iranian Journal of Pathology Pub Date : 2025-01-01 Epub Date: 2025-07-01 DOI:10.30699/ijp.2025.2044451.3375
Narges Ghazi, Nasrollah Saghravanian, Soheila Shamshiri, Yasamin Ayatollahi
{"title":"细胞角蛋白19在口腔癌变中的表达评价。","authors":"Narges Ghazi, Nasrollah Saghravanian, Soheila Shamshiri, Yasamin Ayatollahi","doi":"10.30699/ijp.2025.2044451.3375","DOIUrl":null,"url":null,"abstract":"<p><strong>Background & objective: </strong>Oral squamous cell carcinoma (OSCC) accounts for over 90% of oral cancers. Cytokeratin 19 (CK19), produced by suprabasal epithelial cells, reflects alterations in cellular behavior and has been associated with premalignant changes in the oral epithelium. This study aimed to evaluate the expression of CK19 in OSCC and oral epithelial dysplasia (OED) and its potential role in oral carcinogenesis.</p><p><strong>Methods: </strong>A total of 50 samples were analyzed, including 30 OSCC cases and 10 OED cases obtained from the archives of the Department of Pathology, as well as 10 normal oral mucosa samples collected from clinically healthy areas adjacent to mucocele lesions. CK19 expression was assessed using immunohistochemistry.</p><p><strong>Results: </strong>Positive immunoreactivity for CK19 was observed in 90% (27/30) of OSCC samples. CK19 expression in the OSCC group was significantly higher compared to the OED and normal mucosa groups. Among OSCC cases, grade III tumors exhibited stronger CK19 expression than grades I and II. Additionally, CK19 expression in grade II OSCC was higher than in the OED group.</p><p><strong>Conclusion: </strong>The progressive increase in CK19 expression from normal mucosa to OED and OSCC supports its involvement in oral mucosal carcinogenesis. Moreover, higher CK19 expression correlated with increasing tumor grade and decreasing cellular differentiation, suggesting its potential value as a diagnostic and prognostic biomarker in OSCC.</p>","PeriodicalId":38900,"journal":{"name":"Iranian Journal of Pathology","volume":"20 3","pages":"280-287"},"PeriodicalIF":0.0000,"publicationDate":"2025-01-01","publicationTypes":"Journal Article","fieldsOfStudy":null,"isOpenAccess":false,"openAccessPdf":"https://www.ncbi.nlm.nih.gov/pmc/articles/PMC12308186/pdf/","citationCount":"0","resultStr":"{\"title\":\"Evaluation of Cytokeratin 19 Expression in Oral Carcinogenesis.\",\"authors\":\"Narges Ghazi, Nasrollah Saghravanian, Soheila Shamshiri, Yasamin Ayatollahi\",\"doi\":\"10.30699/ijp.2025.2044451.3375\",\"DOIUrl\":null,\"url\":null,\"abstract\":\"<p><strong>Background & objective: </strong>Oral squamous cell carcinoma (OSCC) accounts for over 90% of oral cancers. Cytokeratin 19 (CK19), produced by suprabasal epithelial cells, reflects alterations in cellular behavior and has been associated with premalignant changes in the oral epithelium. This study aimed to evaluate the expression of CK19 in OSCC and oral epithelial dysplasia (OED) and its potential role in oral carcinogenesis.</p><p><strong>Methods: </strong>A total of 50 samples were analyzed, including 30 OSCC cases and 10 OED cases obtained from the archives of the Department of Pathology, as well as 10 normal oral mucosa samples collected from clinically healthy areas adjacent to mucocele lesions. CK19 expression was assessed using immunohistochemistry.</p><p><strong>Results: </strong>Positive immunoreactivity for CK19 was observed in 90% (27/30) of OSCC samples. CK19 expression in the OSCC group was significantly higher compared to the OED and normal mucosa groups. Among OSCC cases, grade III tumors exhibited stronger CK19 expression than grades I and II. Additionally, CK19 expression in grade II OSCC was higher than in the OED group.</p><p><strong>Conclusion: </strong>The progressive increase in CK19 expression from normal mucosa to OED and OSCC supports its involvement in oral mucosal carcinogenesis. Moreover, higher CK19 expression correlated with increasing tumor grade and decreasing cellular differentiation, suggesting its potential value as a diagnostic and prognostic biomarker in OSCC.</p>\",\"PeriodicalId\":38900,\"journal\":{\"name\":\"Iranian Journal of Pathology\",\"volume\":\"20 3\",\"pages\":\"280-287\"},\"PeriodicalIF\":0.0000,\"publicationDate\":\"2025-01-01\",\"publicationTypes\":\"Journal Article\",\"fieldsOfStudy\":null,\"isOpenAccess\":false,\"openAccessPdf\":\"https://www.ncbi.nlm.nih.gov/pmc/articles/PMC12308186/pdf/\",\"citationCount\":\"0\",\"resultStr\":null,\"platform\":\"Semanticscholar\",\"paperid\":null,\"PeriodicalName\":\"Iranian Journal of Pathology\",\"FirstCategoryId\":\"1085\",\"ListUrlMain\":\"https://doi.org/10.30699/ijp.2025.2044451.3375\",\"RegionNum\":0,\"RegionCategory\":null,\"ArticlePicture\":[],\"TitleCN\":null,\"AbstractTextCN\":null,\"PMCID\":null,\"EPubDate\":\"2025/7/1 0:00:00\",\"PubModel\":\"Epub\",\"JCR\":\"Q3\",\"JCRName\":\"Medicine\",\"Score\":null,\"Total\":0}","platform":"Semanticscholar","paperid":null,"PeriodicalName":"Iranian Journal of Pathology","FirstCategoryId":"1085","ListUrlMain":"https://doi.org/10.30699/ijp.2025.2044451.3375","RegionNum":0,"RegionCategory":null,"ArticlePicture":[],"TitleCN":null,"AbstractTextCN":null,"PMCID":null,"EPubDate":"2025/7/1 0:00:00","PubModel":"Epub","JCR":"Q3","JCRName":"Medicine","Score":null,"Total":0}
引用次数: 0

摘要

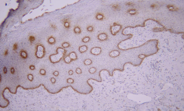
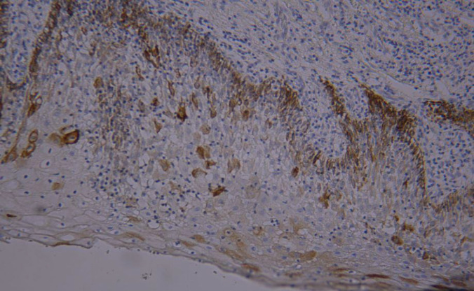
背景与目的:口腔鳞状细胞癌(Oral squamous cell carcinoma, OSCC)占口腔癌的90%以上。细胞角蛋白19 (CK19)由基底上上皮细胞产生,反映了细胞行为的改变,并与口腔上皮的癌前病变有关。本研究旨在评估CK19在OSCC和口腔上皮异常增生(OED)中的表达及其在口腔癌变中的潜在作用。方法:对50例标本进行分析,包括病理科档案中OSCC病例30例、OED病例10例,以及黏液囊肿病变旁临床健康区正常口腔黏膜标本10例。免疫组织化学检测CK19表达。结果:90%(27/30)的OSCC样本中CK19免疫反应阳性。CK19在OSCC组中的表达明显高于OED组和正常粘膜组。在OSCC病例中,III级肿瘤的CK19表达强于I级和II级。此外,CK19在II级OSCC中的表达高于OED组。结论:CK19从正常黏膜到OED和OSCC的表达逐渐增加,支持其参与口腔黏膜癌变。此外,较高的CK19表达与肿瘤分级增加和细胞分化减少相关,表明其作为OSCC诊断和预后生物标志物的潜在价值。
本文章由计算机程序翻译,如有差异,请以英文原文为准。

Evaluation of Cytokeratin 19 Expression in Oral Carcinogenesis.

Evaluation of Cytokeratin 19 Expression in Oral Carcinogenesis.

Evaluation of Cytokeratin 19 Expression in Oral Carcinogenesis.

Evaluation of Cytokeratin 19 Expression in Oral Carcinogenesis.

Background & objective: Oral squamous cell carcinoma (OSCC) accounts for over 90% of oral cancers. Cytokeratin 19 (CK19), produced by suprabasal epithelial cells, reflects alterations in cellular behavior and has been associated with premalignant changes in the oral epithelium. This study aimed to evaluate the expression of CK19 in OSCC and oral epithelial dysplasia (OED) and its potential role in oral carcinogenesis.

Methods: A total of 50 samples were analyzed, including 30 OSCC cases and 10 OED cases obtained from the archives of the Department of Pathology, as well as 10 normal oral mucosa samples collected from clinically healthy areas adjacent to mucocele lesions. CK19 expression was assessed using immunohistochemistry.

Results: Positive immunoreactivity for CK19 was observed in 90% (27/30) of OSCC samples. CK19 expression in the OSCC group was significantly higher compared to the OED and normal mucosa groups. Among OSCC cases, grade III tumors exhibited stronger CK19 expression than grades I and II. Additionally, CK19 expression in grade II OSCC was higher than in the OED group.

Conclusion: The progressive increase in CK19 expression from normal mucosa to OED and OSCC supports its involvement in oral mucosal carcinogenesis. Moreover, higher CK19 expression correlated with increasing tumor grade and decreasing cellular differentiation, suggesting its potential value as a diagnostic and prognostic biomarker in OSCC.

求助全文
通过发布文献求助,成功后即可免费获取论文全文。 去求助
来源期刊
Iranian Journal of Pathology
Iranian Journal of Pathology Medicine-Pathology and Forensic Medicine
CiteScore
2.00
自引率
0.00%
发文量
99
审稿时长
20 weeks
×
引用
GB/T 7714-2015
复制
MLA
复制
APA
复制
导出至
BibTeX EndNote RefMan NoteFirst NoteExpress
×
提示
您的信息不完整,为了账户安全,请先补充。
现在去补充
×
提示
您因"违规操作"
具体请查看互助需知
我知道了
×
提示
确定
请完成安全验证×
copy
已复制链接
快去分享给好友吧!
我知道了
右上角分享
点击右上角分享
0
联系我们:info@booksci.cn Book学术提供免费学术资源搜索服务,方便国内外学者检索中英文文献。致力于提供最便捷和优质的服务体验。 Copyright © 2023 布克学术 All rights reserved.
京ICP备2023020795号-1
ghs 京公网安备 11010802042870号
Book学术文献互助
Book学术文献互助群
群 号:604180095
Book学术官方微信