基于深度学习的冠状动脉ct血管造影扫描范围的确定。

IF 1.5 Q3 RADIOLOGY, NUCLEAR MEDICINE & MEDICAL IMAGING
Yu-Hao Zhao, Yi-Han Fan, Xiao-Yan Wu, Tian Qin, Qing-Ting Sun, Bao-Hui Liang
{"title":"基于深度学习的冠状动脉ct血管造影扫描范围的确定。","authors":"Yu-Hao Zhao, Yi-Han Fan, Xiao-Yan Wu, Tian Qin, Qing-Ting Sun, Bao-Hui Liang","doi":"10.4329/wjr.v17.i7.110394","DOIUrl":null,"url":null,"abstract":"<p><strong>Background: </strong>Coronary computed tomography angiography (CCTA) is essential for diagnosing coronary artery disease as it provides detailed images of the heart's blood vessels to identify blockages or abnormalities. Traditionally, determining the computed tomography (CT) scanning range has relied on manual methods due to limited automation in this area.</p><p><strong>Aim: </strong>To develop and evaluate a novel deep learning approach to automate the determination of CCTA scan ranges using anteroposterior scout images.</p><p><strong>Methods: </strong>A retrospective analysis was conducted on chest CT data from 1388 patients at the Radiology Department of the First Affiliated Hospital of a university-affiliated hospital, collected between February 27 and March 27, 2024. A deep learning model was trained on anteroposterior scout images with annotations based on CCTA standards. The dataset was split into training (672 cases), validation (167 cases), and test (167 cases) sets to ensure robust model evaluation.</p><p><strong>Results: </strong>The study demonstrated exceptional performance on the test set, achieving a mean average precision (mAP50) of 0.995 and mAP50-95 of 0.994 for determining CCTA scan ranges.</p><p><strong>Conclusion: </strong>This study demonstrates that: (1) Anteroposterior scout images can effectively estimate CCTA scan ranges; and (2) Estimates can be dynamically adjusted to meet the needs of various medical institutions.</p>","PeriodicalId":23819,"journal":{"name":"World journal of radiology","volume":"17 7","pages":"110394"},"PeriodicalIF":1.5000,"publicationDate":"2025-07-28","publicationTypes":"Journal Article","fieldsOfStudy":null,"isOpenAccess":false,"openAccessPdf":"https://www.ncbi.nlm.nih.gov/pmc/articles/PMC12308584/pdf/","citationCount":"0","resultStr":"{\"title\":\"Determining the scanning range of coronary computed tomography angiography based on deep learning.\",\"authors\":\"Yu-Hao Zhao, Yi-Han Fan, Xiao-Yan Wu, Tian Qin, Qing-Ting Sun, Bao-Hui Liang\",\"doi\":\"10.4329/wjr.v17.i7.110394\",\"DOIUrl\":null,\"url\":null,\"abstract\":\"<p><strong>Background: </strong>Coronary computed tomography angiography (CCTA) is essential for diagnosing coronary artery disease as it provides detailed images of the heart's blood vessels to identify blockages or abnormalities. Traditionally, determining the computed tomography (CT) scanning range has relied on manual methods due to limited automation in this area.</p><p><strong>Aim: </strong>To develop and evaluate a novel deep learning approach to automate the determination of CCTA scan ranges using anteroposterior scout images.</p><p><strong>Methods: </strong>A retrospective analysis was conducted on chest CT data from 1388 patients at the Radiology Department of the First Affiliated Hospital of a university-affiliated hospital, collected between February 27 and March 27, 2024. A deep learning model was trained on anteroposterior scout images with annotations based on CCTA standards. The dataset was split into training (672 cases), validation (167 cases), and test (167 cases) sets to ensure robust model evaluation.</p><p><strong>Results: </strong>The study demonstrated exceptional performance on the test set, achieving a mean average precision (mAP50) of 0.995 and mAP50-95 of 0.994 for determining CCTA scan ranges.</p><p><strong>Conclusion: </strong>This study demonstrates that: (1) Anteroposterior scout images can effectively estimate CCTA scan ranges; and (2) Estimates can be dynamically adjusted to meet the needs of various medical institutions.</p>\",\"PeriodicalId\":23819,\"journal\":{\"name\":\"World journal of radiology\",\"volume\":\"17 7\",\"pages\":\"110394\"},\"PeriodicalIF\":1.5000,\"publicationDate\":\"2025-07-28\",\"publicationTypes\":\"Journal Article\",\"fieldsOfStudy\":null,\"isOpenAccess\":false,\"openAccessPdf\":\"https://www.ncbi.nlm.nih.gov/pmc/articles/PMC12308584/pdf/\",\"citationCount\":\"0\",\"resultStr\":null,\"platform\":\"Semanticscholar\",\"paperid\":null,\"PeriodicalName\":\"World journal of radiology\",\"FirstCategoryId\":\"1085\",\"ListUrlMain\":\"https://doi.org/10.4329/wjr.v17.i7.110394\",\"RegionNum\":0,\"RegionCategory\":null,\"ArticlePicture\":[],\"TitleCN\":null,\"AbstractTextCN\":null,\"PMCID\":null,\"EPubDate\":\"\",\"PubModel\":\"\",\"JCR\":\"Q3\",\"JCRName\":\"RADIOLOGY, NUCLEAR MEDICINE & MEDICAL IMAGING\",\"Score\":null,\"Total\":0}","platform":"Semanticscholar","paperid":null,"PeriodicalName":"World journal of radiology","FirstCategoryId":"1085","ListUrlMain":"https://doi.org/10.4329/wjr.v17.i7.110394","RegionNum":0,"RegionCategory":null,"ArticlePicture":[],"TitleCN":null,"AbstractTextCN":null,"PMCID":null,"EPubDate":"","PubModel":"","JCR":"Q3","JCRName":"RADIOLOGY, NUCLEAR MEDICINE & MEDICAL IMAGING","Score":null,"Total":0}
引用次数: 0

摘要

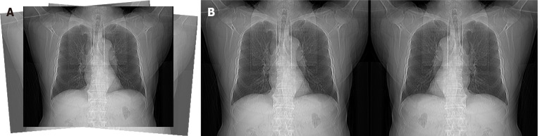
背景:冠状动脉计算机断层血管造影(CCTA)对诊断冠状动脉疾病至关重要,因为它提供了心脏血管的详细图像,以识别阻塞或异常。传统上,由于该领域的自动化程度有限,确定计算机断层扫描(CT)的扫描范围依赖于人工方法。目的:开发和评估一种新的深度学习方法,利用正位侦察图像自动确定CCTA扫描范围。方法:回顾性分析某大学附属医院第一附属医院放射科于2024年2月27日至3月27日收治的1388例患者的胸部CT资料。基于CCTA标准,对侦察图像进行深度学习训练。数据集被分为训练集(672例)、验证集(167例)和测试集(167例),以确保模型评估的鲁棒性。结果:该研究在测试集上表现出优异的性能,在确定CCTA扫描范围方面实现了0.995的平均精度(mAP50)和0.994的mAP50-95。结论:本研究表明:(1)正位侦察图像能有效估计CCTA扫描范围;(2)估算值可以动态调整,以满足不同医疗机构的需求。
本文章由计算机程序翻译,如有差异,请以英文原文为准。

Determining the scanning range of coronary computed tomography angiography based on deep learning.

Determining the scanning range of coronary computed tomography angiography based on deep learning.

Determining the scanning range of coronary computed tomography angiography based on deep learning.

Determining the scanning range of coronary computed tomography angiography based on deep learning.

Background: Coronary computed tomography angiography (CCTA) is essential for diagnosing coronary artery disease as it provides detailed images of the heart's blood vessels to identify blockages or abnormalities. Traditionally, determining the computed tomography (CT) scanning range has relied on manual methods due to limited automation in this area.

Aim: To develop and evaluate a novel deep learning approach to automate the determination of CCTA scan ranges using anteroposterior scout images.

Methods: A retrospective analysis was conducted on chest CT data from 1388 patients at the Radiology Department of the First Affiliated Hospital of a university-affiliated hospital, collected between February 27 and March 27, 2024. A deep learning model was trained on anteroposterior scout images with annotations based on CCTA standards. The dataset was split into training (672 cases), validation (167 cases), and test (167 cases) sets to ensure robust model evaluation.

Results: The study demonstrated exceptional performance on the test set, achieving a mean average precision (mAP50) of 0.995 and mAP50-95 of 0.994 for determining CCTA scan ranges.

Conclusion: This study demonstrates that: (1) Anteroposterior scout images can effectively estimate CCTA scan ranges; and (2) Estimates can be dynamically adjusted to meet the needs of various medical institutions.

求助全文
通过发布文献求助,成功后即可免费获取论文全文。 去求助
来源期刊
World journal of radiology
World journal of radiology RADIOLOGY, NUCLEAR MEDICINE & MEDICAL IMAGING-
自引率
8.00%
发文量
35
×
引用
GB/T 7714-2015
复制
MLA
复制
APA
复制
导出至
BibTeX EndNote RefMan NoteFirst NoteExpress
×
提示
您的信息不完整,为了账户安全,请先补充。
现在去补充
×
提示
您因"违规操作"
具体请查看互助需知
我知道了
×
提示
确定
请完成安全验证×
copy
已复制链接
快去分享给好友吧!
我知道了
右上角分享
点击右上角分享
0
联系我们:info@booksci.cn Book学术提供免费学术资源搜索服务,方便国内外学者检索中英文文献。致力于提供最便捷和优质的服务体验。 Copyright © 2023 布克学术 All rights reserved.
京ICP备2023020795号-1
ghs 京公网安备 11010802042870号
Book学术文献互助
Book学术文献互助群
群 号:604180095
Book学术官方微信