双活动髋臼杯在全髋关节置换术中的应用:减轻不稳定风险。

Q2 Medicine
Medical Journal of the Islamic Republic of Iran Pub Date : 2025-04-07 eCollection Date: 2025-01-01 DOI:10.47176/mjiri.39.51
Javad Khaje Mozafari, Amir Aminian, Ali Yeganeh, Mansour Abolghasemian
{"title":"双活动髋臼杯在全髋关节置换术中的应用:减轻不稳定风险。","authors":"Javad Khaje Mozafari, Amir Aminian, Ali Yeganeh, Mansour Abolghasemian","doi":"10.47176/mjiri.39.51","DOIUrl":null,"url":null,"abstract":"<p><strong>Background: </strong>With the increase in life expectancy and the rising number of total hip arthroplasty (THA) cases, the rate of complications is also expected to increase. One of the most challenging complications is dislocation, which is the leading cause of revision surgery within the first year after THA. This study aimed to assess hip instability rates in high-risk patients who underwent dual mobility cup (DMC) implantation.</p><p><strong>Methods: </strong>This retrospective study reviewed all patients who underwent THA with DMC at Rasul-e-Akram Hospital between 2014 and 2021. DMC was used in high-risk patients for dislocation, including those with neuromuscular diseases (e.g., Parkinson's disease, poliomyelitis) and intracapsular femoral neck fractures (FNF), instead of the standard cup. Clinical outcomes, instability, and other complications were recorded. All data was analyzed using SPSS software version 27.0.1. The chi-squared test was used to compare binary variables, and the student's t-test was used to compare numerical variables after checking for normal distribution.</p><p><strong>Results: </strong>A total of 163 patients (168 hips) underwent THA with DMC, with a mean age of 58 ± 5.3 years. Five patients had bilateral total hip surgery. The average follow-up time was 48 ± 5.8 months. The average BMI of patients was 28.3 ± 3.1. The preoperative Harris Hip Score (HHS) was 49 ± 8.5, while the postoperative HHS at the four-year follow-up was 89 ± 2.4. None of the patients experienced a dislocation requiring revision, and One case of severe wear on the polyethylene's inner surface and intraprosthetic dislocation, without a dislocated metal head, was identified and revised. No cases of component loosening or significant osteolysis were observed.</p><p><strong>Conclusion: </strong>The use of DMC can significantly reduce the dislocation rate in patients with risk factors such as femoral neck fractures while improving patient satisfaction and restoring near-normal function. We recommend greater consideration of this cup in patients at risk of dislocation.</p>","PeriodicalId":18361,"journal":{"name":"Medical Journal of the Islamic Republic of Iran","volume":"39 ","pages":"51"},"PeriodicalIF":0.0000,"publicationDate":"2025-04-07","publicationTypes":"Journal Article","fieldsOfStudy":null,"isOpenAccess":false,"openAccessPdf":"https://www.ncbi.nlm.nih.gov/pmc/articles/PMC12313306/pdf/","citationCount":"0","resultStr":"{\"title\":\"Dual Mobility Acetabular Cup Utilization in Total Hip Arthroplasty: Mitigating Instability Risks.\",\"authors\":\"Javad Khaje Mozafari, Amir Aminian, Ali Yeganeh, Mansour Abolghasemian\",\"doi\":\"10.47176/mjiri.39.51\",\"DOIUrl\":null,\"url\":null,\"abstract\":\"<p><strong>Background: </strong>With the increase in life expectancy and the rising number of total hip arthroplasty (THA) cases, the rate of complications is also expected to increase. One of the most challenging complications is dislocation, which is the leading cause of revision surgery within the first year after THA. This study aimed to assess hip instability rates in high-risk patients who underwent dual mobility cup (DMC) implantation.</p><p><strong>Methods: </strong>This retrospective study reviewed all patients who underwent THA with DMC at Rasul-e-Akram Hospital between 2014 and 2021. DMC was used in high-risk patients for dislocation, including those with neuromuscular diseases (e.g., Parkinson's disease, poliomyelitis) and intracapsular femoral neck fractures (FNF), instead of the standard cup. Clinical outcomes, instability, and other complications were recorded. All data was analyzed using SPSS software version 27.0.1. The chi-squared test was used to compare binary variables, and the student's t-test was used to compare numerical variables after checking for normal distribution.</p><p><strong>Results: </strong>A total of 163 patients (168 hips) underwent THA with DMC, with a mean age of 58 ± 5.3 years. Five patients had bilateral total hip surgery. The average follow-up time was 48 ± 5.8 months. The average BMI of patients was 28.3 ± 3.1. The preoperative Harris Hip Score (HHS) was 49 ± 8.5, while the postoperative HHS at the four-year follow-up was 89 ± 2.4. None of the patients experienced a dislocation requiring revision, and One case of severe wear on the polyethylene's inner surface and intraprosthetic dislocation, without a dislocated metal head, was identified and revised. No cases of component loosening or significant osteolysis were observed.</p><p><strong>Conclusion: </strong>The use of DMC can significantly reduce the dislocation rate in patients with risk factors such as femoral neck fractures while improving patient satisfaction and restoring near-normal function. We recommend greater consideration of this cup in patients at risk of dislocation.</p>\",\"PeriodicalId\":18361,\"journal\":{\"name\":\"Medical Journal of the Islamic Republic of Iran\",\"volume\":\"39 \",\"pages\":\"51\"},\"PeriodicalIF\":0.0000,\"publicationDate\":\"2025-04-07\",\"publicationTypes\":\"Journal Article\",\"fieldsOfStudy\":null,\"isOpenAccess\":false,\"openAccessPdf\":\"https://www.ncbi.nlm.nih.gov/pmc/articles/PMC12313306/pdf/\",\"citationCount\":\"0\",\"resultStr\":null,\"platform\":\"Semanticscholar\",\"paperid\":null,\"PeriodicalName\":\"Medical Journal of the Islamic Republic of Iran\",\"FirstCategoryId\":\"1085\",\"ListUrlMain\":\"https://doi.org/10.47176/mjiri.39.51\",\"RegionNum\":0,\"RegionCategory\":null,\"ArticlePicture\":[],\"TitleCN\":null,\"AbstractTextCN\":null,\"PMCID\":null,\"EPubDate\":\"2025/1/1 0:00:00\",\"PubModel\":\"eCollection\",\"JCR\":\"Q2\",\"JCRName\":\"Medicine\",\"Score\":null,\"Total\":0}","platform":"Semanticscholar","paperid":null,"PeriodicalName":"Medical Journal of the Islamic Republic of Iran","FirstCategoryId":"1085","ListUrlMain":"https://doi.org/10.47176/mjiri.39.51","RegionNum":0,"RegionCategory":null,"ArticlePicture":[],"TitleCN":null,"AbstractTextCN":null,"PMCID":null,"EPubDate":"2025/1/1 0:00:00","PubModel":"eCollection","JCR":"Q2","JCRName":"Medicine","Score":null,"Total":0}
引用次数: 0

摘要

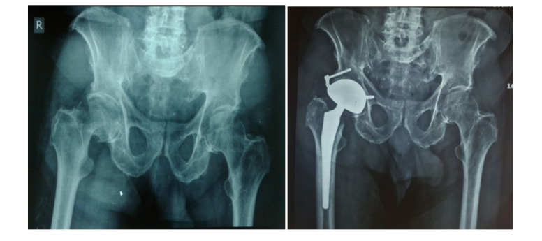
背景:随着预期寿命的增加和全髋关节置换术(THA)病例的增加,并发症的发生率也预计会增加。最具挑战性的并发症之一是脱位,这是THA术后第一年内翻修手术的主要原因。本研究旨在评估接受双活动杯(DMC)植入的高危患者髋关节不稳定率。方法:本回顾性研究回顾了2014年至2021年在Rasul-e-Akram医院接受DMC的所有THA患者。DMC用于脱位高危患者,包括患有神经肌肉疾病(如帕金森病、脊髓灰质炎)和股骨颈囊内骨折(FNF)的患者,而不是标准杯。记录临床结果、不稳定性和其他并发症。所有数据采用SPSS软件27.0.1进行分析。二元变量比较采用卡方检验,数值变量比较采用学生t检验,检验是否符合正态分布。结果:163例患者(168髋)行THA合并DMC,平均年龄58±5.3岁。5例患者行双侧全髋关节手术。平均随访时间48±5.8个月。患者平均BMI为28.3±3.1。术前Harris髋关节评分(HHS)为49±8.5,术后4年随访HHS为89±2.4。没有患者出现需要翻修的脱位,有一例聚乙烯内表面严重磨损和假体内脱位,没有金属头脱位,被确定并翻修。没有观察到构件松动或明显的骨溶解。结论:应用DMC可显著降低股骨颈骨折等危险因素患者的脱位率,提高患者满意度,恢复接近正常的功能。我们建议有脱位风险的患者更多地考虑这个杯。
本文章由计算机程序翻译,如有差异,请以英文原文为准。

Dual Mobility Acetabular Cup Utilization in Total Hip Arthroplasty: Mitigating Instability Risks.

Dual Mobility Acetabular Cup Utilization in Total Hip Arthroplasty: Mitigating Instability Risks.

Dual Mobility Acetabular Cup Utilization in Total Hip Arthroplasty: Mitigating Instability Risks.

Dual Mobility Acetabular Cup Utilization in Total Hip Arthroplasty: Mitigating Instability Risks.

Background: With the increase in life expectancy and the rising number of total hip arthroplasty (THA) cases, the rate of complications is also expected to increase. One of the most challenging complications is dislocation, which is the leading cause of revision surgery within the first year after THA. This study aimed to assess hip instability rates in high-risk patients who underwent dual mobility cup (DMC) implantation.

Methods: This retrospective study reviewed all patients who underwent THA with DMC at Rasul-e-Akram Hospital between 2014 and 2021. DMC was used in high-risk patients for dislocation, including those with neuromuscular diseases (e.g., Parkinson's disease, poliomyelitis) and intracapsular femoral neck fractures (FNF), instead of the standard cup. Clinical outcomes, instability, and other complications were recorded. All data was analyzed using SPSS software version 27.0.1. The chi-squared test was used to compare binary variables, and the student's t-test was used to compare numerical variables after checking for normal distribution.

Results: A total of 163 patients (168 hips) underwent THA with DMC, with a mean age of 58 ± 5.3 years. Five patients had bilateral total hip surgery. The average follow-up time was 48 ± 5.8 months. The average BMI of patients was 28.3 ± 3.1. The preoperative Harris Hip Score (HHS) was 49 ± 8.5, while the postoperative HHS at the four-year follow-up was 89 ± 2.4. None of the patients experienced a dislocation requiring revision, and One case of severe wear on the polyethylene's inner surface and intraprosthetic dislocation, without a dislocated metal head, was identified and revised. No cases of component loosening or significant osteolysis were observed.

Conclusion: The use of DMC can significantly reduce the dislocation rate in patients with risk factors such as femoral neck fractures while improving patient satisfaction and restoring near-normal function. We recommend greater consideration of this cup in patients at risk of dislocation.

求助全文
通过发布文献求助,成功后即可免费获取论文全文。 去求助
来源期刊
CiteScore
2.40
自引率
0.00%
发文量
90
审稿时长
8 weeks
×
引用
GB/T 7714-2015
复制
MLA
复制
APA
复制
导出至
BibTeX EndNote RefMan NoteFirst NoteExpress
×
提示
您的信息不完整,为了账户安全,请先补充。
现在去补充
×
提示
您因"违规操作"
具体请查看互助需知
我知道了
×
提示
确定
请完成安全验证×
copy
已复制链接
快去分享给好友吧!
我知道了
右上角分享
点击右上角分享
0
联系我们:info@booksci.cn Book学术提供免费学术资源搜索服务,方便国内外学者检索中英文文献。致力于提供最便捷和优质的服务体验。 Copyright © 2023 布克学术 All rights reserved.
京ICP备2023020795号-1
ghs 京公网安备 11010802042870号
Book学术文献互助
Book学术文献互助群
群 号:604180095
Book学术官方微信