登革脑炎:有什么新进展?

IF 4 3区 医学 Q2 INFECTIOUS DISEASES
Current Opinion in Infectious Diseases Pub Date : 2025-10-01 Epub Date: 2025-07-29 DOI:10.1097/QCO.0000000000001128
Adrian Keith Noronha, Angel Miraclin T, Priscilla Rupali
{"title":"登革脑炎:有什么新进展?","authors":"Adrian Keith Noronha, Angel Miraclin T, Priscilla Rupali","doi":"10.1097/QCO.0000000000001128","DOIUrl":null,"url":null,"abstract":"<p><strong>Purpose of review: </strong>Neurological manifestations of dengue (NeuroDengue) are uncommon but can often mimic those of other tropical infections. This review aims to present new insights on dengue encephalitis, emphasizing pathogenesis, clinical features, and diagnostic challenges. We highlight unique neuroimaging patterns, observed through MRI, which may aid in diagnosing NeuroDengue. The aim is to significantly enhance early recognition and management of this underreported but severe complication of dengue, providing valuable insights for healthcare professionals.</p><p><strong>Recent findings: </strong>Recent research has improved our understanding of dengue encephalitis and the neurotropism of the dengue virus in regions such as the thalamus, basal ganglia, and cortex. Notable MRI findings include the 'double doughnut' sign and microhaemorrhages, although these findings are nonspecific and may also appear in other flavivirus encephalitides. A definitive diagnosis requires a positive cerebrospinal fluid (CSF) PCR for the dengue virus, often combined with antibody testing in both CSF and serum. Additionally, elevated levels of IL-6 and TNF-α in CSF indicate enhanced inflammatory responses, which strengthens the early identification of dengue encephalitis and informs potential management strategies.</p><p><strong>Summary: </strong>Evidence affirms the neurotropic nature of dengue, confirmed by positive CSF PCR results. MRI typically reveals T2 hyperintensities in specific brain areas, along with the presence of micro-haemorrhages, and the 'double doughnut' sign. Recent advancements in diagnostics include analysing CSF dengue antibody indices and neuroinflammatory markers. Dengue serotypes 2 and 3 exhibit heightened neurovirulence, with seizures occurring in 30-40% of cases. While supportive management with fluids is crucial, a subset of patients may benefit from intravenous, immunoglobulin (IVIG) and steroids. Early identification of dengue encephalitis could significantly improve patient outcomes.</p>","PeriodicalId":10880,"journal":{"name":"Current Opinion in Infectious Diseases","volume":" ","pages":"364-371"},"PeriodicalIF":4.0000,"publicationDate":"2025-10-01","publicationTypes":"Journal Article","fieldsOfStudy":null,"isOpenAccess":false,"openAccessPdf":"https://www.ncbi.nlm.nih.gov/pmc/articles/PMC12404627/pdf/","citationCount":"0","resultStr":"{\"title\":\"Dengue encephalitis: what's new?\",\"authors\":\"Adrian Keith Noronha, Angel Miraclin T, Priscilla Rupali\",\"doi\":\"10.1097/QCO.0000000000001128\",\"DOIUrl\":null,\"url\":null,\"abstract\":\"<p><strong>Purpose of review: </strong>Neurological manifestations of dengue (NeuroDengue) are uncommon but can often mimic those of other tropical infections. This review aims to present new insights on dengue encephalitis, emphasizing pathogenesis, clinical features, and diagnostic challenges. We highlight unique neuroimaging patterns, observed through MRI, which may aid in diagnosing NeuroDengue. The aim is to significantly enhance early recognition and management of this underreported but severe complication of dengue, providing valuable insights for healthcare professionals.</p><p><strong>Recent findings: </strong>Recent research has improved our understanding of dengue encephalitis and the neurotropism of the dengue virus in regions such as the thalamus, basal ganglia, and cortex. Notable MRI findings include the 'double doughnut' sign and microhaemorrhages, although these findings are nonspecific and may also appear in other flavivirus encephalitides. A definitive diagnosis requires a positive cerebrospinal fluid (CSF) PCR for the dengue virus, often combined with antibody testing in both CSF and serum. Additionally, elevated levels of IL-6 and TNF-α in CSF indicate enhanced inflammatory responses, which strengthens the early identification of dengue encephalitis and informs potential management strategies.</p><p><strong>Summary: </strong>Evidence affirms the neurotropic nature of dengue, confirmed by positive CSF PCR results. MRI typically reveals T2 hyperintensities in specific brain areas, along with the presence of micro-haemorrhages, and the 'double doughnut' sign. Recent advancements in diagnostics include analysing CSF dengue antibody indices and neuroinflammatory markers. Dengue serotypes 2 and 3 exhibit heightened neurovirulence, with seizures occurring in 30-40% of cases. While supportive management with fluids is crucial, a subset of patients may benefit from intravenous, immunoglobulin (IVIG) and steroids. Early identification of dengue encephalitis could significantly improve patient outcomes.</p>\",\"PeriodicalId\":10880,\"journal\":{\"name\":\"Current Opinion in Infectious Diseases\",\"volume\":\" \",\"pages\":\"364-371\"},\"PeriodicalIF\":4.0000,\"publicationDate\":\"2025-10-01\",\"publicationTypes\":\"Journal Article\",\"fieldsOfStudy\":null,\"isOpenAccess\":false,\"openAccessPdf\":\"https://www.ncbi.nlm.nih.gov/pmc/articles/PMC12404627/pdf/\",\"citationCount\":\"0\",\"resultStr\":null,\"platform\":\"Semanticscholar\",\"paperid\":null,\"PeriodicalName\":\"Current Opinion in Infectious Diseases\",\"FirstCategoryId\":\"3\",\"ListUrlMain\":\"https://doi.org/10.1097/QCO.0000000000001128\",\"RegionNum\":3,\"RegionCategory\":\"医学\",\"ArticlePicture\":[],\"TitleCN\":null,\"AbstractTextCN\":null,\"PMCID\":null,\"EPubDate\":\"2025/7/29 0:00:00\",\"PubModel\":\"Epub\",\"JCR\":\"Q2\",\"JCRName\":\"INFECTIOUS DISEASES\",\"Score\":null,\"Total\":0}","platform":"Semanticscholar","paperid":null,"PeriodicalName":"Current Opinion in Infectious Diseases","FirstCategoryId":"3","ListUrlMain":"https://doi.org/10.1097/QCO.0000000000001128","RegionNum":3,"RegionCategory":"医学","ArticlePicture":[],"TitleCN":null,"AbstractTextCN":null,"PMCID":null,"EPubDate":"2025/7/29 0:00:00","PubModel":"Epub","JCR":"Q2","JCRName":"INFECTIOUS DISEASES","Score":null,"Total":0}
引用次数: 0

摘要

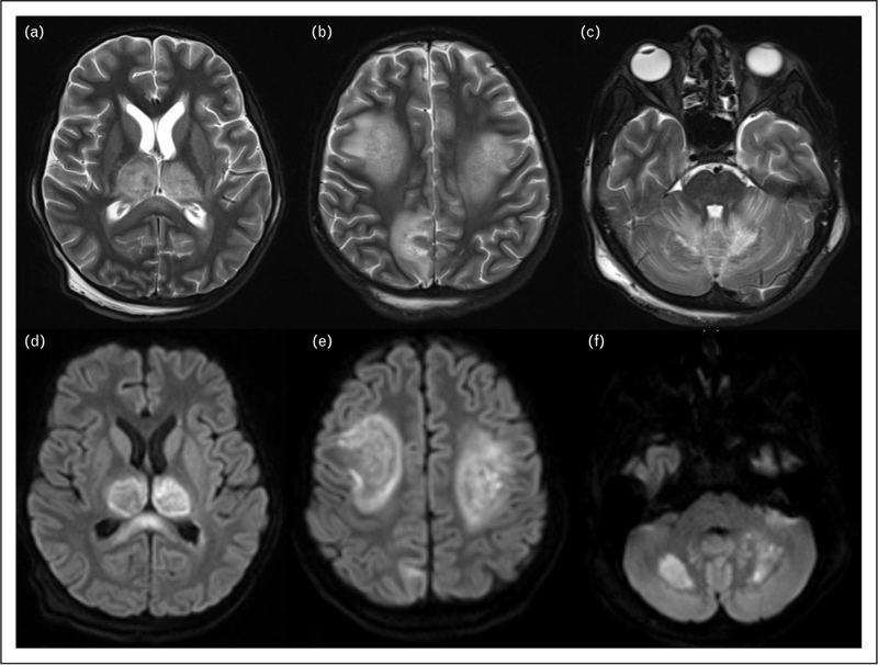
综述目的:登革热(神经性登革热)的神经系统表现不常见,但通常可以模仿其他热带感染。这篇综述的目的是提出新的见解登革脑炎,强调发病机制,临床特征和诊断挑战。我们强调独特的神经成像模式,通过MRI观察,这可能有助于诊断神经登革热。其目的是显著加强对这一少报但严重的登革热并发症的早期识别和管理,为卫生保健专业人员提供有价值的见解。最近的发现:最近的研究提高了我们对登革脑炎和登革病毒在丘脑、基底神经节和皮质等区域的嗜神经性的认识。值得注意的MRI表现包括“双甜甜圈”征和微出血,尽管这些表现是非特异性的,也可能出现在其他黄病毒脑炎中。明确诊断需要脑脊液(CSF) PCR检测登革病毒阳性,通常结合CSF和血清抗体检测。此外,脑脊液中IL-6和TNF-α水平升高表明炎症反应增强,这加强了登革热脑炎的早期识别,并为潜在的管理策略提供信息。总结:有证据证实登革热的嗜神经性,CSF PCR阳性结果证实了这一点。MRI通常显示特定脑区T2高信号,并伴有微出血和“双甜甜圈”征。诊断方面的最新进展包括分析脑脊液登革热抗体指数和神经炎症标志物。登革热血清2型和3型表现出较高的神经毒性,30-40%的病例出现癫痫发作。虽然液体支持管理至关重要,但一小部分患者可能受益于静脉注射、免疫球蛋白(IVIG)和类固醇。早期发现登革脑炎可显著改善患者预后。
本文章由计算机程序翻译,如有差异,请以英文原文为准。

Dengue encephalitis: what's new?

Dengue encephalitis: what's new?

Dengue encephalitis: what's new?

Purpose of review: Neurological manifestations of dengue (NeuroDengue) are uncommon but can often mimic those of other tropical infections. This review aims to present new insights on dengue encephalitis, emphasizing pathogenesis, clinical features, and diagnostic challenges. We highlight unique neuroimaging patterns, observed through MRI, which may aid in diagnosing NeuroDengue. The aim is to significantly enhance early recognition and management of this underreported but severe complication of dengue, providing valuable insights for healthcare professionals.

Recent findings: Recent research has improved our understanding of dengue encephalitis and the neurotropism of the dengue virus in regions such as the thalamus, basal ganglia, and cortex. Notable MRI findings include the 'double doughnut' sign and microhaemorrhages, although these findings are nonspecific and may also appear in other flavivirus encephalitides. A definitive diagnosis requires a positive cerebrospinal fluid (CSF) PCR for the dengue virus, often combined with antibody testing in both CSF and serum. Additionally, elevated levels of IL-6 and TNF-α in CSF indicate enhanced inflammatory responses, which strengthens the early identification of dengue encephalitis and informs potential management strategies.

Summary: Evidence affirms the neurotropic nature of dengue, confirmed by positive CSF PCR results. MRI typically reveals T2 hyperintensities in specific brain areas, along with the presence of micro-haemorrhages, and the 'double doughnut' sign. Recent advancements in diagnostics include analysing CSF dengue antibody indices and neuroinflammatory markers. Dengue serotypes 2 and 3 exhibit heightened neurovirulence, with seizures occurring in 30-40% of cases. While supportive management with fluids is crucial, a subset of patients may benefit from intravenous, immunoglobulin (IVIG) and steroids. Early identification of dengue encephalitis could significantly improve patient outcomes.

求助全文
通过发布文献求助,成功后即可免费获取论文全文。 去求助
来源期刊
CiteScore
6.70
自引率
2.60%
发文量
121
审稿时长
6-12 weeks
期刊介绍: This reader-friendly, bimonthly resource provides a powerful, broad-based perspective on the most important advances from throughout the world literature. Featuring renowned guest editors and focusing exclusively on two topics, every issue of Current Opinion in Infectious Disease delivers unvarnished, expert assessments of developments from the previous year. Insightful editorials and on-the-mark invited reviews cover key subjects such as HIV infection and AIDS; skin and soft tissue infections; respiratory infections; paediatric and neonatal infections; gastrointestinal infections; tropical and travel-associated diseases; and antimicrobial agents.
×
引用
GB/T 7714-2015
复制
MLA
复制
APA
复制
导出至
BibTeX EndNote RefMan NoteFirst NoteExpress
×
提示
您的信息不完整,为了账户安全,请先补充。
现在去补充
×
提示
您因"违规操作"
具体请查看互助需知
我知道了
×
提示
确定
请完成安全验证×
copy
已复制链接
快去分享给好友吧!
我知道了
右上角分享
点击右上角分享
0
联系我们:info@booksci.cn Book学术提供免费学术资源搜索服务,方便国内外学者检索中英文文献。致力于提供最便捷和优质的服务体验。 Copyright © 2023 布克学术 All rights reserved.
京ICP备2023020795号-1
ghs 京公网安备 11010802042870号
Book学术文献互助
Book学术文献互助群
群 号:604180095
Book学术官方微信