利伐沙班治疗美国可卡犬慢性肝炎门静脉血栓1例。

IF 1.1 4区 农林科学 Q3 VETERINARY SCIENCES
Journal of Veterinary Medical Science Pub Date : 2025-09-05 Epub Date: 2025-07-31 DOI:10.1292/jvms.24-0517
Ryo Niijima, Takehiko Kakizaki, Chun-Ho Park, Satoshi Kameshima, Yuya Otaka, Hiroaki Kawaguchi
{"title":"利伐沙班治疗美国可卡犬慢性肝炎门静脉血栓1例。","authors":"Ryo Niijima, Takehiko Kakizaki, Chun-Ho Park, Satoshi Kameshima, Yuya Otaka, Hiroaki Kawaguchi","doi":"10.1292/jvms.24-0517","DOIUrl":null,"url":null,"abstract":"<p><p>Anticoagulants are commonly used to treat venous thrombosis. Rivaroxaban, a direct factor Xa inhibitor, is widely used in veterinary medicine to prevent and treat thromboembolism. It has been used to manage portal vein thrombosis (PVT) in humans. As the incidence of PVT with chronic hepatitis (CH) is low in dogs, treatment methods have not been fully established. This case report describes the treatment of a 9-year-old male American cocker spaniel with CH and ascites, possibly due to concurrent PVT, using rivaroxaban. During treatment with rivaroxaban and diuretics, the patient showed improvement in portal hypertension, ascites, and edema. Herein, we report the first case of using rivaroxaban for the management of PVT with CH (treated with glucocorticoids) in a dog.</p>","PeriodicalId":49959,"journal":{"name":"Journal of Veterinary Medical Science","volume":" ","pages":"1086-1091"},"PeriodicalIF":1.1000,"publicationDate":"2025-09-05","publicationTypes":"Journal Article","fieldsOfStudy":null,"isOpenAccess":false,"openAccessPdf":"https://www.ncbi.nlm.nih.gov/pmc/articles/PMC12417733/pdf/","citationCount":"0","resultStr":"{\"title\":\"Treatment of portal vein thrombosis with rivaroxaban in an American cocker spaniel with chronic hepatitis: a case report.\",\"authors\":\"Ryo Niijima, Takehiko Kakizaki, Chun-Ho Park, Satoshi Kameshima, Yuya Otaka, Hiroaki Kawaguchi\",\"doi\":\"10.1292/jvms.24-0517\",\"DOIUrl\":null,\"url\":null,\"abstract\":\"<p><p>Anticoagulants are commonly used to treat venous thrombosis. Rivaroxaban, a direct factor Xa inhibitor, is widely used in veterinary medicine to prevent and treat thromboembolism. It has been used to manage portal vein thrombosis (PVT) in humans. As the incidence of PVT with chronic hepatitis (CH) is low in dogs, treatment methods have not been fully established. This case report describes the treatment of a 9-year-old male American cocker spaniel with CH and ascites, possibly due to concurrent PVT, using rivaroxaban. During treatment with rivaroxaban and diuretics, the patient showed improvement in portal hypertension, ascites, and edema. Herein, we report the first case of using rivaroxaban for the management of PVT with CH (treated with glucocorticoids) in a dog.</p>\",\"PeriodicalId\":49959,\"journal\":{\"name\":\"Journal of Veterinary Medical Science\",\"volume\":\" \",\"pages\":\"1086-1091\"},\"PeriodicalIF\":1.1000,\"publicationDate\":\"2025-09-05\",\"publicationTypes\":\"Journal Article\",\"fieldsOfStudy\":null,\"isOpenAccess\":false,\"openAccessPdf\":\"https://www.ncbi.nlm.nih.gov/pmc/articles/PMC12417733/pdf/\",\"citationCount\":\"0\",\"resultStr\":null,\"platform\":\"Semanticscholar\",\"paperid\":null,\"PeriodicalName\":\"Journal of Veterinary Medical Science\",\"FirstCategoryId\":\"97\",\"ListUrlMain\":\"https://doi.org/10.1292/jvms.24-0517\",\"RegionNum\":4,\"RegionCategory\":\"农林科学\",\"ArticlePicture\":[],\"TitleCN\":null,\"AbstractTextCN\":null,\"PMCID\":null,\"EPubDate\":\"2025/7/31 0:00:00\",\"PubModel\":\"Epub\",\"JCR\":\"Q3\",\"JCRName\":\"VETERINARY SCIENCES\",\"Score\":null,\"Total\":0}","platform":"Semanticscholar","paperid":null,"PeriodicalName":"Journal of Veterinary Medical Science","FirstCategoryId":"97","ListUrlMain":"https://doi.org/10.1292/jvms.24-0517","RegionNum":4,"RegionCategory":"农林科学","ArticlePicture":[],"TitleCN":null,"AbstractTextCN":null,"PMCID":null,"EPubDate":"2025/7/31 0:00:00","PubModel":"Epub","JCR":"Q3","JCRName":"VETERINARY SCIENCES","Score":null,"Total":0}
引用次数: 0

摘要

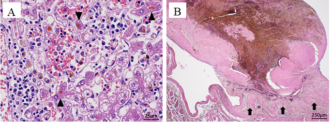
抗凝剂常用于治疗静脉血栓。利伐沙班是一种直接Xa因子抑制剂,在兽医学中广泛用于预防和治疗血栓栓塞。它已被用于管理门静脉血栓形成(PVT)在人类。由于犬伴慢性肝炎(CH)的PVT发病率较低,治疗方法尚未完全建立。本病例报告描述了一只患有CH和腹水的9岁雄性美国可卡犬,可能是由于并发PVT,使用利伐沙班治疗。在利伐沙班和利尿剂治疗期间,患者出现门静脉高压、腹水和水肿的改善。在此,我们报告了第一例使用利伐沙班治疗犬PVT合并CH(用糖皮质激素治疗)的病例。
本文章由计算机程序翻译,如有差异,请以英文原文为准。

Treatment of portal vein thrombosis with rivaroxaban in an American cocker spaniel with chronic hepatitis: a case report.

Treatment of portal vein thrombosis with rivaroxaban in an American cocker spaniel with chronic hepatitis: a case report.

Treatment of portal vein thrombosis with rivaroxaban in an American cocker spaniel with chronic hepatitis: a case report.

Treatment of portal vein thrombosis with rivaroxaban in an American cocker spaniel with chronic hepatitis: a case report.

Anticoagulants are commonly used to treat venous thrombosis. Rivaroxaban, a direct factor Xa inhibitor, is widely used in veterinary medicine to prevent and treat thromboembolism. It has been used to manage portal vein thrombosis (PVT) in humans. As the incidence of PVT with chronic hepatitis (CH) is low in dogs, treatment methods have not been fully established. This case report describes the treatment of a 9-year-old male American cocker spaniel with CH and ascites, possibly due to concurrent PVT, using rivaroxaban. During treatment with rivaroxaban and diuretics, the patient showed improvement in portal hypertension, ascites, and edema. Herein, we report the first case of using rivaroxaban for the management of PVT with CH (treated with glucocorticoids) in a dog.

求助全文
通过发布文献求助,成功后即可免费获取论文全文。 去求助
来源期刊
Journal of Veterinary Medical Science
Journal of Veterinary Medical Science 农林科学-兽医学
CiteScore
2.30
自引率
8.30%
发文量
230
审稿时长
9-18 weeks
期刊介绍: JVMS is a peer-reviewed journal and publishes a variety of papers on veterinary science from basic research to applied science and clinical research. JVMS is published monthly and consists of twelve issues per year. Papers are from the areas of anatomy, physiology, pharmacology, toxicology, pathology, immunology, microbiology, virology, parasitology, internal medicine, surgery, clinical pathology, theriogenology, avian disease, public health, ethology, and laboratory animal science. Although JVMS has played a role in publishing the scientific achievements of Japanese researchers and clinicians for many years, it now also accepts papers submitted from all over the world.
×
引用
GB/T 7714-2015
复制
MLA
复制
APA
复制
导出至
BibTeX EndNote RefMan NoteFirst NoteExpress
×
提示
您的信息不完整,为了账户安全,请先补充。
现在去补充
×
提示
您因"违规操作"
具体请查看互助需知
我知道了
×
提示
确定
请完成安全验证×
copy
已复制链接
快去分享给好友吧!
我知道了
右上角分享
点击右上角分享
0
联系我们:info@booksci.cn Book学术提供免费学术资源搜索服务,方便国内外学者检索中英文文献。致力于提供最便捷和优质的服务体验。 Copyright © 2023 布克学术 All rights reserved.
京ICP备2023020795号-1
ghs 京公网安备 11010802042870号
Book学术文献互助
Book学术文献互助群
群 号:604180095
Book学术官方微信