罕见的结肠癌十二指肠转移病例:文献回顾及新疗法的见解。

IF 0.5 Q4 GASTROENTEROLOGY & HEPATOLOGY
Case Reports in Gastrointestinal Medicine Pub Date : 2025-07-22 eCollection Date: 2025-01-01 DOI:10.1155/crgm/8864636
Ammar Ismail, William K B Boateng, Amira Alnakeb, Youssef Botros, Allan L Cruz
{"title":"罕见的结肠癌十二指肠转移病例:文献回顾及新疗法的见解。","authors":"Ammar Ismail, William K B Boateng, Amira Alnakeb, Youssef Botros, Allan L Cruz","doi":"10.1155/crgm/8864636","DOIUrl":null,"url":null,"abstract":"<p><p>Metastasis to the duodenum from colorectal cancer is exceptionally rare and presents significant diagnostic and therapeutic challenges. We describe a 68-year-old female with right colon adenocarcinoma, who developed a duodenal metastasis despite treatment with FOLFOX chemotherapy. Transition to FOLFIRI yielded limited success, emphasizing the need for innovative approaches. Genetic analysis revealed a KRAS G12D mutation, for which targeted therapies are not yet approved. Immunohistochemistry confirmed the gastrointestinal origin of the duodenal mass. Literature indicates that surgical resection can offer curative potential in select cases, although it was not viable here. Emerging KRAS-targeted agents, such as MRTX1133, represent promising options for addressing this mutation. This case underscores the challenges of managing rare metastatic patterns, the potential of personalized therapies, and the necessity for further research into innovative treatments for advanced colorectal cancer. It highlights the importance of developing targeted strategies to improve outcomes for patients with such complex metastatic diseases.</p>","PeriodicalId":45645,"journal":{"name":"Case Reports in Gastrointestinal Medicine","volume":"2025 ","pages":"8864636"},"PeriodicalIF":0.5000,"publicationDate":"2025-07-22","publicationTypes":"Journal Article","fieldsOfStudy":null,"isOpenAccess":false,"openAccessPdf":"https://www.ncbi.nlm.nih.gov/pmc/articles/PMC12308049/pdf/","citationCount":"0","resultStr":"{\"title\":\"Rare Case of Duodenal Metastasis From Colon Cancer: Review of Literature and Insights on Novel Therapies.\",\"authors\":\"Ammar Ismail, William K B Boateng, Amira Alnakeb, Youssef Botros, Allan L Cruz\",\"doi\":\"10.1155/crgm/8864636\",\"DOIUrl\":null,\"url\":null,\"abstract\":\"<p><p>Metastasis to the duodenum from colorectal cancer is exceptionally rare and presents significant diagnostic and therapeutic challenges. We describe a 68-year-old female with right colon adenocarcinoma, who developed a duodenal metastasis despite treatment with FOLFOX chemotherapy. Transition to FOLFIRI yielded limited success, emphasizing the need for innovative approaches. Genetic analysis revealed a KRAS G12D mutation, for which targeted therapies are not yet approved. Immunohistochemistry confirmed the gastrointestinal origin of the duodenal mass. Literature indicates that surgical resection can offer curative potential in select cases, although it was not viable here. Emerging KRAS-targeted agents, such as MRTX1133, represent promising options for addressing this mutation. This case underscores the challenges of managing rare metastatic patterns, the potential of personalized therapies, and the necessity for further research into innovative treatments for advanced colorectal cancer. It highlights the importance of developing targeted strategies to improve outcomes for patients with such complex metastatic diseases.</p>\",\"PeriodicalId\":45645,\"journal\":{\"name\":\"Case Reports in Gastrointestinal Medicine\",\"volume\":\"2025 \",\"pages\":\"8864636\"},\"PeriodicalIF\":0.5000,\"publicationDate\":\"2025-07-22\",\"publicationTypes\":\"Journal Article\",\"fieldsOfStudy\":null,\"isOpenAccess\":false,\"openAccessPdf\":\"https://www.ncbi.nlm.nih.gov/pmc/articles/PMC12308049/pdf/\",\"citationCount\":\"0\",\"resultStr\":null,\"platform\":\"Semanticscholar\",\"paperid\":null,\"PeriodicalName\":\"Case Reports in Gastrointestinal Medicine\",\"FirstCategoryId\":\"1085\",\"ListUrlMain\":\"https://doi.org/10.1155/crgm/8864636\",\"RegionNum\":0,\"RegionCategory\":null,\"ArticlePicture\":[],\"TitleCN\":null,\"AbstractTextCN\":null,\"PMCID\":null,\"EPubDate\":\"2025/1/1 0:00:00\",\"PubModel\":\"eCollection\",\"JCR\":\"Q4\",\"JCRName\":\"GASTROENTEROLOGY & HEPATOLOGY\",\"Score\":null,\"Total\":0}","platform":"Semanticscholar","paperid":null,"PeriodicalName":"Case Reports in Gastrointestinal Medicine","FirstCategoryId":"1085","ListUrlMain":"https://doi.org/10.1155/crgm/8864636","RegionNum":0,"RegionCategory":null,"ArticlePicture":[],"TitleCN":null,"AbstractTextCN":null,"PMCID":null,"EPubDate":"2025/1/1 0:00:00","PubModel":"eCollection","JCR":"Q4","JCRName":"GASTROENTEROLOGY & HEPATOLOGY","Score":null,"Total":0}
引用次数: 0

摘要

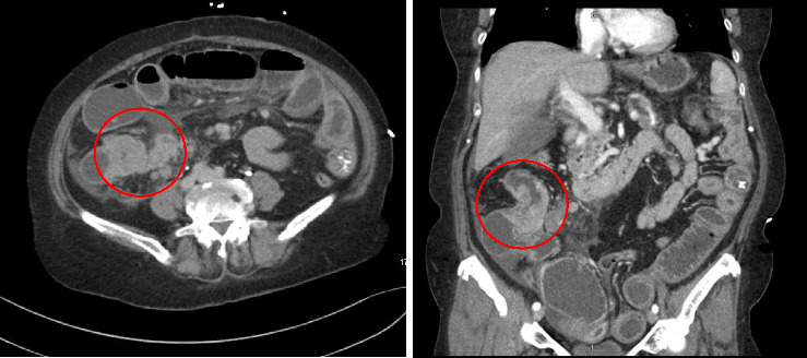
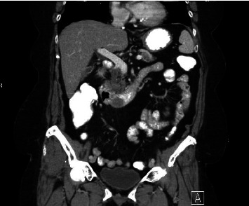
结直肠癌转移到十二指肠是非常罕见的,并提出了重大的诊断和治疗挑战。我们描述了一位68岁的女性右结肠腺癌患者,尽管接受了FOLFOX化疗,但仍发生了十二指肠转移。向FOLFIRI的过渡取得了有限的成功,强调了创新方法的必要性。遗传分析显示KRAS G12D突变,针对该突变的靶向治疗尚未获批。免疫组织化学证实十二指肠肿块起源于胃肠道。文献表明,手术切除可以提供治疗潜力,在某些情况下,虽然它是不可行的。新兴的kras靶向药物,如MRTX1133,代表了解决这种突变的有希望的选择。该病例强调了管理罕见转移模式的挑战,个性化治疗的潜力,以及进一步研究晚期结直肠癌创新治疗的必要性。它强调了制定有针对性的策略来改善这种复杂转移性疾病患者预后的重要性。
本文章由计算机程序翻译,如有差异,请以英文原文为准。

Rare Case of Duodenal Metastasis From Colon Cancer: Review of Literature and Insights on Novel Therapies.

Rare Case of Duodenal Metastasis From Colon Cancer: Review of Literature and Insights on Novel Therapies.

Rare Case of Duodenal Metastasis From Colon Cancer: Review of Literature and Insights on Novel Therapies.

Rare Case of Duodenal Metastasis From Colon Cancer: Review of Literature and Insights on Novel Therapies.

Metastasis to the duodenum from colorectal cancer is exceptionally rare and presents significant diagnostic and therapeutic challenges. We describe a 68-year-old female with right colon adenocarcinoma, who developed a duodenal metastasis despite treatment with FOLFOX chemotherapy. Transition to FOLFIRI yielded limited success, emphasizing the need for innovative approaches. Genetic analysis revealed a KRAS G12D mutation, for which targeted therapies are not yet approved. Immunohistochemistry confirmed the gastrointestinal origin of the duodenal mass. Literature indicates that surgical resection can offer curative potential in select cases, although it was not viable here. Emerging KRAS-targeted agents, such as MRTX1133, represent promising options for addressing this mutation. This case underscores the challenges of managing rare metastatic patterns, the potential of personalized therapies, and the necessity for further research into innovative treatments for advanced colorectal cancer. It highlights the importance of developing targeted strategies to improve outcomes for patients with such complex metastatic diseases.

求助全文
通过发布文献求助,成功后即可免费获取论文全文。 去求助
来源期刊
Case Reports in Gastrointestinal Medicine
Case Reports in Gastrointestinal Medicine GASTROENTEROLOGY & HEPATOLOGY-
自引率
0.00%
发文量
33
审稿时长
14 weeks
×
引用
GB/T 7714-2015
复制
MLA
复制
APA
复制
导出至
BibTeX EndNote RefMan NoteFirst NoteExpress
×
提示
您的信息不完整,为了账户安全,请先补充。
现在去补充
×
提示
您因"违规操作"
具体请查看互助需知
我知道了
×
提示
确定
请完成安全验证×
copy
已复制链接
快去分享给好友吧!
我知道了
右上角分享
点击右上角分享
0
联系我们:info@booksci.cn Book学术提供免费学术资源搜索服务,方便国内外学者检索中英文文献。致力于提供最便捷和优质的服务体验。 Copyright © 2023 布克学术 All rights reserved.
京ICP备2023020795号-1
ghs 京公网安备 11010802042870号
Book学术文献互助
Book学术文献互助群
群 号:604180095
Book学术官方微信