外耳道孤立性黏液瘤1例报告。

IF 1.4 Q3 OTORHINOLARYNGOLOGY
Journal of Audiology and Otology Pub Date : 2025-07-01 Epub Date: 2025-07-18 DOI:10.7874/jao.2024.00423
Eun Kyung Jeon, Min Heon Kim, Dong Hwan Kwon, Young Joon Seo
{"title":"外耳道孤立性黏液瘤1例报告。","authors":"Eun Kyung Jeon, Min Heon Kim, Dong Hwan Kwon, Young Joon Seo","doi":"10.7874/jao.2024.00423","DOIUrl":null,"url":null,"abstract":"<p><p>Isolated myxomas of the external auditory canal are extremely rare, benign tumors. We present a case of a 77-year-old male patient who presented with a benign mass in the right external auditory canal. Isolated myxomas of the tragus around the external auditory canal are rare. This case report highlights the clinical presentation, surgical management, and pathological findings of this patient. The importance of considering myxoma in the differential diagnosis of benign tumors of the external auditory canal is emphasized. Long-term follow-up is necessary to monitor for potential recurrence or associated conditions. Further studies are needed to better understand the etiology, pathogenesis, and optimal management of this rare type of tumor.</p>","PeriodicalId":44886,"journal":{"name":"Journal of Audiology and Otology","volume":"29 3","pages":"232-235"},"PeriodicalIF":1.4000,"publicationDate":"2025-07-01","publicationTypes":"Journal Article","fieldsOfStudy":null,"isOpenAccess":false,"openAccessPdf":"https://www.ncbi.nlm.nih.gov/pmc/articles/PMC12313435/pdf/","citationCount":"0","resultStr":"{\"title\":\"Isolated Myxoma of the External Auditory Canal: A Rare Case Report.\",\"authors\":\"Eun Kyung Jeon, Min Heon Kim, Dong Hwan Kwon, Young Joon Seo\",\"doi\":\"10.7874/jao.2024.00423\",\"DOIUrl\":null,\"url\":null,\"abstract\":\"<p><p>Isolated myxomas of the external auditory canal are extremely rare, benign tumors. We present a case of a 77-year-old male patient who presented with a benign mass in the right external auditory canal. Isolated myxomas of the tragus around the external auditory canal are rare. This case report highlights the clinical presentation, surgical management, and pathological findings of this patient. The importance of considering myxoma in the differential diagnosis of benign tumors of the external auditory canal is emphasized. Long-term follow-up is necessary to monitor for potential recurrence or associated conditions. Further studies are needed to better understand the etiology, pathogenesis, and optimal management of this rare type of tumor.</p>\",\"PeriodicalId\":44886,\"journal\":{\"name\":\"Journal of Audiology and Otology\",\"volume\":\"29 3\",\"pages\":\"232-235\"},\"PeriodicalIF\":1.4000,\"publicationDate\":\"2025-07-01\",\"publicationTypes\":\"Journal Article\",\"fieldsOfStudy\":null,\"isOpenAccess\":false,\"openAccessPdf\":\"https://www.ncbi.nlm.nih.gov/pmc/articles/PMC12313435/pdf/\",\"citationCount\":\"0\",\"resultStr\":null,\"platform\":\"Semanticscholar\",\"paperid\":null,\"PeriodicalName\":\"Journal of Audiology and Otology\",\"FirstCategoryId\":\"1085\",\"ListUrlMain\":\"https://doi.org/10.7874/jao.2024.00423\",\"RegionNum\":0,\"RegionCategory\":null,\"ArticlePicture\":[],\"TitleCN\":null,\"AbstractTextCN\":null,\"PMCID\":null,\"EPubDate\":\"2025/7/18 0:00:00\",\"PubModel\":\"Epub\",\"JCR\":\"Q3\",\"JCRName\":\"OTORHINOLARYNGOLOGY\",\"Score\":null,\"Total\":0}","platform":"Semanticscholar","paperid":null,"PeriodicalName":"Journal of Audiology and Otology","FirstCategoryId":"1085","ListUrlMain":"https://doi.org/10.7874/jao.2024.00423","RegionNum":0,"RegionCategory":null,"ArticlePicture":[],"TitleCN":null,"AbstractTextCN":null,"PMCID":null,"EPubDate":"2025/7/18 0:00:00","PubModel":"Epub","JCR":"Q3","JCRName":"OTORHINOLARYNGOLOGY","Score":null,"Total":0}
引用次数: 0

摘要

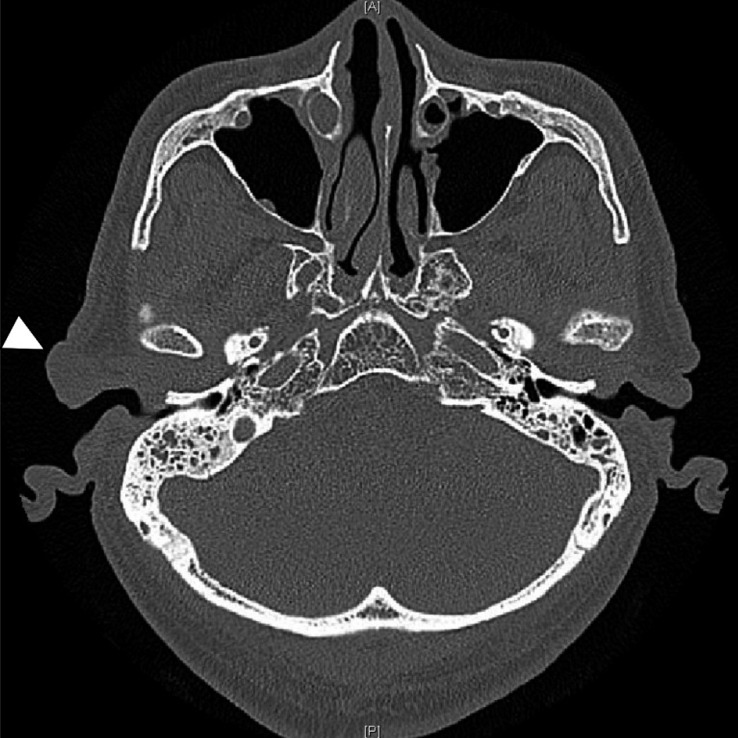
孤立的外耳道黏液瘤是极为罕见的良性肿瘤。我们提出一个病例77岁的男性患者谁提出了良性肿块在右外耳道。外耳道周围耳屏的孤立性黏液瘤是罕见的。本病例报告强调了该患者的临床表现、手术处理和病理结果。强调了在外耳道良性肿瘤鉴别诊断中考虑黏液瘤的重要性。长期随访是必要的,以监测潜在的复发或相关情况。需要进一步的研究来更好地了解这种罕见肿瘤的病因、发病机制和最佳治疗方法。
本文章由计算机程序翻译,如有差异,请以英文原文为准。

Isolated Myxoma of the External Auditory Canal: A Rare Case Report.

Isolated Myxoma of the External Auditory Canal: A Rare Case Report.

Isolated Myxoma of the External Auditory Canal: A Rare Case Report.

Isolated Myxoma of the External Auditory Canal: A Rare Case Report.

Isolated myxomas of the external auditory canal are extremely rare, benign tumors. We present a case of a 77-year-old male patient who presented with a benign mass in the right external auditory canal. Isolated myxomas of the tragus around the external auditory canal are rare. This case report highlights the clinical presentation, surgical management, and pathological findings of this patient. The importance of considering myxoma in the differential diagnosis of benign tumors of the external auditory canal is emphasized. Long-term follow-up is necessary to monitor for potential recurrence or associated conditions. Further studies are needed to better understand the etiology, pathogenesis, and optimal management of this rare type of tumor.

求助全文
通过发布文献求助,成功后即可免费获取论文全文。 去求助
来源期刊
Journal of Audiology and Otology
Journal of Audiology and Otology OTORHINOLARYNGOLOGY-
CiteScore
1.90
自引率
9.10%
发文量
20
期刊介绍: Journal of Audiology and Otology (JAO) (formerly known as Korean Journal of Audiology) aims to publish the most advanced findings for all aspects of the auditory and vestibular system and diseases of the ear using state-of-the-art techniques and analyses. The journal covers recent trends related to the topics of audiology, otology, and neurotology conducted by professionals, with the goal of providing better possible treatment to people of all ages, from infants to the elderly, who suffer from auditory and/or vestibular disorders and thus, improving their quality of life. This journal encourages the submission of review papers about current professional issues, research papers presenting a scientific base and clinical application, and case papers with unique reports or clinical trials. We also invite letters to the editor and papers related to the manufacture and distribution of medical devices. This journal provides integrated views from otologists, audiologists, and other healthcare practitioners, offering readers high quality scientific and clinical information. This peer-reviewed and open access journal has been the official journal of the Korean Audiological Society since 1997 and of both the Korean Audiological Society and the Korean Otological Society since 2017. It is published in English four times a year in January, April, July, and October.
×
引用
GB/T 7714-2015
复制
MLA
复制
APA
复制
导出至
BibTeX EndNote RefMan NoteFirst NoteExpress
×
提示
您的信息不完整,为了账户安全,请先补充。
现在去补充
×
提示
您因"违规操作"
具体请查看互助需知
我知道了
×
提示
确定
请完成安全验证×
copy
已复制链接
快去分享给好友吧!
我知道了
右上角分享
点击右上角分享
0
联系我们:info@booksci.cn Book学术提供免费学术资源搜索服务,方便国内外学者检索中英文文献。致力于提供最便捷和优质的服务体验。 Copyright © 2023 布克学术 All rights reserved.
京ICP备2023020795号-1
ghs 京公网安备 11010802042870号
Book学术文献互助
Book学术文献互助群
群 号:604180095
Book学术官方微信