使用二维和三维计算机断层成像技术测量手工关节盂形状的比较分析。

IF 1.7 Q2 ORTHOPEDICS
Maxwell S Renna, Ashley I Simpson
{"title":"使用二维和三维计算机断层成像技术测量手工关节盂形状的比较分析。","authors":"Maxwell S Renna, Ashley I Simpson","doi":"10.5397/cise.2025.00318","DOIUrl":null,"url":null,"abstract":"<p><strong>Background: </strong>Accurate measurement of glenoid version is essential for optimal implant positioning in shoulder arthroplasty. This study compared the accuracy and reliability of unformatted two-dimensional computed tomography (2D-CT), formatted 2D-CT, and three-dimensional CT (3D-CT) reconstructions in measuring glenoid version.</p><p><strong>Methods: </strong>Shoulder CT scans for arthroplasty were analyzed retrospectively. Glenoid version was measured at the estimated glenoid midpoint using unformatted and formatted 2D-CT in the scapular plane. Measurements from 3D-CT reconstructions using the Corrected Friedman Method were used as the control. Inter- and intra-observer reliability was calculated as well as minimally detectable difference.</p><p><strong>Results: </strong>Sixty-five CT scans were analyzed (mean age, 61.7 years). Mean glenoid version was -3.48° (standard deviation [SD], 8.7°) on unformatted 2D-CT, -3.27° (SD, 8.15°) on formatted 2D-CT, and -4.25° (SD, 7.92°) on 3D-CT. Although no significant difference in mean values was observed (analysis of variance, P=0.245), formatted 2D-CT measurements were within 6° of 3D-CT in 95.4% of cases versus 83.1% for unformatted 2D-CT (P=0.023). Directional error occurred in 27.7% of unformatted scans and 16.9% of formatted scans. Inter-observer reliability was highest for 3D-CT (intraclass correlation coefficient [ICC]=0.83; 95% CI, 0.74-0.89), and intra-observer agreement was strongest for 3D-CT (ICC=0.91; 95% CI, 0.86-0.94), followed by formatted 2D-CT (ICC=0.83; 95% CI, 0.73-0.89) and unformatted 2D-CT (ICC=0.77; 95% CI, 0.65-0.85).</p><p><strong>Conclusions: </strong>3D-CT reconstructions are widely considered the most accurate and reproducible method for glenoid version assessment, supported by multiple comparative imaging studies. Formatted 2D-CT provides a reliable alternative when 3D-CT is unavailable, significantly outperforming unformatted 2D-CT in both agreement with the 3D reference and intra- and inter-observer reliability. Level of evidence: IV.</p>","PeriodicalId":33981,"journal":{"name":"Clinics in Shoulder and Elbow","volume":" ","pages":""},"PeriodicalIF":1.7000,"publicationDate":"2025-07-31","publicationTypes":"Journal Article","fieldsOfStudy":null,"isOpenAccess":false,"openAccessPdf":"https://www.ncbi.nlm.nih.gov/pmc/articles/PMC12415454/pdf/","citationCount":"0","resultStr":"{\"title\":\"A comparative analysis of manual glenoid version measurement using two-dimensional and three-dimensional computed tomography imaging techniques.\",\"authors\":\"Maxwell S Renna, Ashley I Simpson\",\"doi\":\"10.5397/cise.2025.00318\",\"DOIUrl\":null,\"url\":null,\"abstract\":\"<p><strong>Background: </strong>Accurate measurement of glenoid version is essential for optimal implant positioning in shoulder arthroplasty. This study compared the accuracy and reliability of unformatted two-dimensional computed tomography (2D-CT), formatted 2D-CT, and three-dimensional CT (3D-CT) reconstructions in measuring glenoid version.</p><p><strong>Methods: </strong>Shoulder CT scans for arthroplasty were analyzed retrospectively. Glenoid version was measured at the estimated glenoid midpoint using unformatted and formatted 2D-CT in the scapular plane. Measurements from 3D-CT reconstructions using the Corrected Friedman Method were used as the control. Inter- and intra-observer reliability was calculated as well as minimally detectable difference.</p><p><strong>Results: </strong>Sixty-five CT scans were analyzed (mean age, 61.7 years). Mean glenoid version was -3.48° (standard deviation [SD], 8.7°) on unformatted 2D-CT, -3.27° (SD, 8.15°) on formatted 2D-CT, and -4.25° (SD, 7.92°) on 3D-CT. Although no significant difference in mean values was observed (analysis of variance, P=0.245), formatted 2D-CT measurements were within 6° of 3D-CT in 95.4% of cases versus 83.1% for unformatted 2D-CT (P=0.023). Directional error occurred in 27.7% of unformatted scans and 16.9% of formatted scans. Inter-observer reliability was highest for 3D-CT (intraclass correlation coefficient [ICC]=0.83; 95% CI, 0.74-0.89), and intra-observer agreement was strongest for 3D-CT (ICC=0.91; 95% CI, 0.86-0.94), followed by formatted 2D-CT (ICC=0.83; 95% CI, 0.73-0.89) and unformatted 2D-CT (ICC=0.77; 95% CI, 0.65-0.85).</p><p><strong>Conclusions: </strong>3D-CT reconstructions are widely considered the most accurate and reproducible method for glenoid version assessment, supported by multiple comparative imaging studies. Formatted 2D-CT provides a reliable alternative when 3D-CT is unavailable, significantly outperforming unformatted 2D-CT in both agreement with the 3D reference and intra- and inter-observer reliability. Level of evidence: IV.</p>\",\"PeriodicalId\":33981,\"journal\":{\"name\":\"Clinics in Shoulder and Elbow\",\"volume\":\" \",\"pages\":\"\"},\"PeriodicalIF\":1.7000,\"publicationDate\":\"2025-07-31\",\"publicationTypes\":\"Journal Article\",\"fieldsOfStudy\":null,\"isOpenAccess\":false,\"openAccessPdf\":\"https://www.ncbi.nlm.nih.gov/pmc/articles/PMC12415454/pdf/\",\"citationCount\":\"0\",\"resultStr\":null,\"platform\":\"Semanticscholar\",\"paperid\":null,\"PeriodicalName\":\"Clinics in Shoulder and Elbow\",\"FirstCategoryId\":\"1085\",\"ListUrlMain\":\"https://doi.org/10.5397/cise.2025.00318\",\"RegionNum\":0,\"RegionCategory\":null,\"ArticlePicture\":[],\"TitleCN\":null,\"AbstractTextCN\":null,\"PMCID\":null,\"EPubDate\":\"\",\"PubModel\":\"\",\"JCR\":\"Q2\",\"JCRName\":\"ORTHOPEDICS\",\"Score\":null,\"Total\":0}","platform":"Semanticscholar","paperid":null,"PeriodicalName":"Clinics in Shoulder and Elbow","FirstCategoryId":"1085","ListUrlMain":"https://doi.org/10.5397/cise.2025.00318","RegionNum":0,"RegionCategory":null,"ArticlePicture":[],"TitleCN":null,"AbstractTextCN":null,"PMCID":null,"EPubDate":"","PubModel":"","JCR":"Q2","JCRName":"ORTHOPEDICS","Score":null,"Total":0}
引用次数: 0

摘要

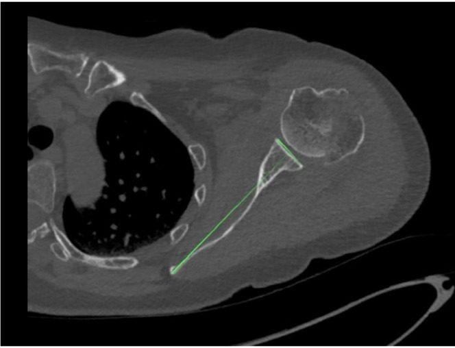
背景:在肩关节置换术中,准确测量关节盂的形状对于植入物的最佳定位至关重要。本研究比较了未格式化二维计算机断层扫描(2D-CT)、格式化二维计算机断层扫描(2D-CT)和三维计算机断层扫描(3D-CT)重建测量关节盂形状的准确性和可靠性。方法:回顾性分析肩关节置换术的CT扫描结果。在肩胛骨平面上使用未格式化和格式化的2D-CT在估计的肩关节中点测量关节盂版本。使用校正弗里德曼方法重建的3D-CT测量结果作为对照。计算了观察者之间和观察者内部的信度以及最小可检测的差异。结果:分析65例CT扫描,平均年龄61.7岁。未格式化2D-CT的平均关节盂形态为-3.48°(标准差[SD], 8.7°),格式化2D-CT的平均关节盂形态为-3.27°(SD, 8.15°),3D-CT的平均关节盂形态为-4.25°(SD, 7.92°)。虽然观察到的平均值没有显著差异(方差分析,P=0.245),但格式化2D-CT测量值在95.4%的病例中与3D-CT测量值相差6°以内,而未格式化2D-CT测量值为83.1% (P=0.023)。27.7%的未格式化扫描和16.9%的格式化扫描出现方向性错误。3D-CT的观察者间信度最高(类内相关系数[ICC]=0.83;95% CI, 0.74-0.89),观察者内部一致性最强的是3D-CT (ICC=0.91;95% CI, 0.86-0.94),其次是格式化的2D-CT (ICC=0.83;95% CI, 0.73-0.89)和未格式化2D-CT (ICC=0.77;95% ci, 0.65-0.85)。结论:在多项对比影像学研究的支持下,3D-CT重建被广泛认为是评估关节盂形态最准确和可重复性最高的方法。当3D- ct无法使用时,格式化的2D-CT提供了一个可靠的替代方案,在与3D参考的一致性以及观察者内部和观察者之间的可靠性方面都明显优于未格式化的2D-CT。证据等级:四级。
本文章由计算机程序翻译,如有差异,请以英文原文为准。

A comparative analysis of manual glenoid version measurement using two-dimensional and three-dimensional computed tomography imaging techniques.

A comparative analysis of manual glenoid version measurement using two-dimensional and three-dimensional computed tomography imaging techniques.

A comparative analysis of manual glenoid version measurement using two-dimensional and three-dimensional computed tomography imaging techniques.

A comparative analysis of manual glenoid version measurement using two-dimensional and three-dimensional computed tomography imaging techniques.

Background: Accurate measurement of glenoid version is essential for optimal implant positioning in shoulder arthroplasty. This study compared the accuracy and reliability of unformatted two-dimensional computed tomography (2D-CT), formatted 2D-CT, and three-dimensional CT (3D-CT) reconstructions in measuring glenoid version.

Methods: Shoulder CT scans for arthroplasty were analyzed retrospectively. Glenoid version was measured at the estimated glenoid midpoint using unformatted and formatted 2D-CT in the scapular plane. Measurements from 3D-CT reconstructions using the Corrected Friedman Method were used as the control. Inter- and intra-observer reliability was calculated as well as minimally detectable difference.

Results: Sixty-five CT scans were analyzed (mean age, 61.7 years). Mean glenoid version was -3.48° (standard deviation [SD], 8.7°) on unformatted 2D-CT, -3.27° (SD, 8.15°) on formatted 2D-CT, and -4.25° (SD, 7.92°) on 3D-CT. Although no significant difference in mean values was observed (analysis of variance, P=0.245), formatted 2D-CT measurements were within 6° of 3D-CT in 95.4% of cases versus 83.1% for unformatted 2D-CT (P=0.023). Directional error occurred in 27.7% of unformatted scans and 16.9% of formatted scans. Inter-observer reliability was highest for 3D-CT (intraclass correlation coefficient [ICC]=0.83; 95% CI, 0.74-0.89), and intra-observer agreement was strongest for 3D-CT (ICC=0.91; 95% CI, 0.86-0.94), followed by formatted 2D-CT (ICC=0.83; 95% CI, 0.73-0.89) and unformatted 2D-CT (ICC=0.77; 95% CI, 0.65-0.85).

Conclusions: 3D-CT reconstructions are widely considered the most accurate and reproducible method for glenoid version assessment, supported by multiple comparative imaging studies. Formatted 2D-CT provides a reliable alternative when 3D-CT is unavailable, significantly outperforming unformatted 2D-CT in both agreement with the 3D reference and intra- and inter-observer reliability. Level of evidence: IV.

求助全文
通过发布文献求助,成功后即可免费获取论文全文。 去求助
来源期刊
CiteScore
0.30
自引率
0.00%
发文量
55
审稿时长
15 weeks
×
引用
GB/T 7714-2015
复制
MLA
复制
APA
复制
导出至
BibTeX EndNote RefMan NoteFirst NoteExpress
×
提示
您的信息不完整,为了账户安全,请先补充。
现在去补充
×
提示
您因"违规操作"
具体请查看互助需知
我知道了
×
提示
确定
请完成安全验证×
copy
已复制链接
快去分享给好友吧!
我知道了
右上角分享
点击右上角分享
0
联系我们:info@booksci.cn Book学术提供免费学术资源搜索服务,方便国内外学者检索中英文文献。致力于提供最便捷和优质的服务体验。 Copyright © 2023 布克学术 All rights reserved.
京ICP备2023020795号-1
ghs 京公网安备 11010802042870号
Book学术文献互助
Book学术文献互助群
群 号:604180095
Book学术官方微信