链球菌性咽炎并发有临床意义的风湿性心包炎1例。

IF 0.8 Q3 MEDICINE, GENERAL & INTERNAL
Amanda Nguyen, Garrett Cohen, Matthew Lam
{"title":"链球菌性咽炎并发有临床意义的风湿性心包炎1例。","authors":"Amanda Nguyen, Garrett Cohen, Matthew Lam","doi":"10.1177/23247096251362985","DOIUrl":null,"url":null,"abstract":"<p><p>Acute rheumatic fever (ARF) is a complication of streptococcal pharyngitis that can present with cardiac, joint, skin, and neurological symptoms. Cardiac manifestations most often involve valvular dysfunction, but can also include myocarditis or pericarditis. Although advances in healthcare have reduced the prevalence of streptococcal pharyngitis, and subsequently ARF, individual cases and outbreaks can still occur. We present a case of rheumatic myopericarditis in a 60-year-old White male who initially presented to the emergency department with sore throat for 6 days. Initial workup was largely unremarkable, and no microbiological testing was performed at that time. He was diagnosed with presumed viral pharyngitis and discharged home with supportive care. He returned 1 week later with pleuritic mid-sternal chest pain and dyspnea. Laboratory tests were significant for elevated inflammatory markers, cardiac enzyme markers, anti-streptolysin O titers, and <i>Streptococcus pyogenes</i> bacteremia. Further evaluation revealed pericarditis, moderate pericardial effusion without tamponade, and reduced systolic function without valvular disease. The patient was diagnosed with rheumatic myopericarditis. Management included pericardial drainage, guideline-directed medical therapy for systolic heart failure and pericarditis, and primary treatment and secondary prevention of ARF with antibiotics. Currently, the patient's cardiac function has recovered, and he regularly follows up with his medical care team. Although less common in present times, clinicians are encouraged to consider streptococcal pharyngitis and ARF on the differential diagnosis for patients presenting with pharyngeal symptoms and subsequent cardiac manifestations, with or without valvular dysfunction. Primary and secondary prevention of ARF is paramount to maintaining the low incidence of this disease.</p>","PeriodicalId":16198,"journal":{"name":"Journal of investigative medicine high impact case reports","volume":"13 ","pages":"23247096251362985"},"PeriodicalIF":0.8000,"publicationDate":"2025-01-01","publicationTypes":"Journal Article","fieldsOfStudy":null,"isOpenAccess":false,"openAccessPdf":"https://www.ncbi.nlm.nih.gov/pmc/articles/PMC12317263/pdf/","citationCount":"0","resultStr":"{\"title\":\"Streptococcal Pharyngitis Complicated by Clinically Significant Rheumatic Myopericarditis: A Case Report.\",\"authors\":\"Amanda Nguyen, Garrett Cohen, Matthew Lam\",\"doi\":\"10.1177/23247096251362985\",\"DOIUrl\":null,\"url\":null,\"abstract\":\"<p><p>Acute rheumatic fever (ARF) is a complication of streptococcal pharyngitis that can present with cardiac, joint, skin, and neurological symptoms. Cardiac manifestations most often involve valvular dysfunction, but can also include myocarditis or pericarditis. Although advances in healthcare have reduced the prevalence of streptococcal pharyngitis, and subsequently ARF, individual cases and outbreaks can still occur. We present a case of rheumatic myopericarditis in a 60-year-old White male who initially presented to the emergency department with sore throat for 6 days. Initial workup was largely unremarkable, and no microbiological testing was performed at that time. He was diagnosed with presumed viral pharyngitis and discharged home with supportive care. He returned 1 week later with pleuritic mid-sternal chest pain and dyspnea. Laboratory tests were significant for elevated inflammatory markers, cardiac enzyme markers, anti-streptolysin O titers, and <i>Streptococcus pyogenes</i> bacteremia. Further evaluation revealed pericarditis, moderate pericardial effusion without tamponade, and reduced systolic function without valvular disease. The patient was diagnosed with rheumatic myopericarditis. Management included pericardial drainage, guideline-directed medical therapy for systolic heart failure and pericarditis, and primary treatment and secondary prevention of ARF with antibiotics. Currently, the patient's cardiac function has recovered, and he regularly follows up with his medical care team. Although less common in present times, clinicians are encouraged to consider streptococcal pharyngitis and ARF on the differential diagnosis for patients presenting with pharyngeal symptoms and subsequent cardiac manifestations, with or without valvular dysfunction. Primary and secondary prevention of ARF is paramount to maintaining the low incidence of this disease.</p>\",\"PeriodicalId\":16198,\"journal\":{\"name\":\"Journal of investigative medicine high impact case reports\",\"volume\":\"13 \",\"pages\":\"23247096251362985\"},\"PeriodicalIF\":0.8000,\"publicationDate\":\"2025-01-01\",\"publicationTypes\":\"Journal Article\",\"fieldsOfStudy\":null,\"isOpenAccess\":false,\"openAccessPdf\":\"https://www.ncbi.nlm.nih.gov/pmc/articles/PMC12317263/pdf/\",\"citationCount\":\"0\",\"resultStr\":null,\"platform\":\"Semanticscholar\",\"paperid\":null,\"PeriodicalName\":\"Journal of investigative medicine high impact case reports\",\"FirstCategoryId\":\"1085\",\"ListUrlMain\":\"https://doi.org/10.1177/23247096251362985\",\"RegionNum\":0,\"RegionCategory\":null,\"ArticlePicture\":[],\"TitleCN\":null,\"AbstractTextCN\":null,\"PMCID\":null,\"EPubDate\":\"2025/7/31 0:00:00\",\"PubModel\":\"Epub\",\"JCR\":\"Q3\",\"JCRName\":\"MEDICINE, GENERAL & INTERNAL\",\"Score\":null,\"Total\":0}","platform":"Semanticscholar","paperid":null,"PeriodicalName":"Journal of investigative medicine high impact case reports","FirstCategoryId":"1085","ListUrlMain":"https://doi.org/10.1177/23247096251362985","RegionNum":0,"RegionCategory":null,"ArticlePicture":[],"TitleCN":null,"AbstractTextCN":null,"PMCID":null,"EPubDate":"2025/7/31 0:00:00","PubModel":"Epub","JCR":"Q3","JCRName":"MEDICINE, GENERAL & INTERNAL","Score":null,"Total":0}
引用次数: 0

摘要

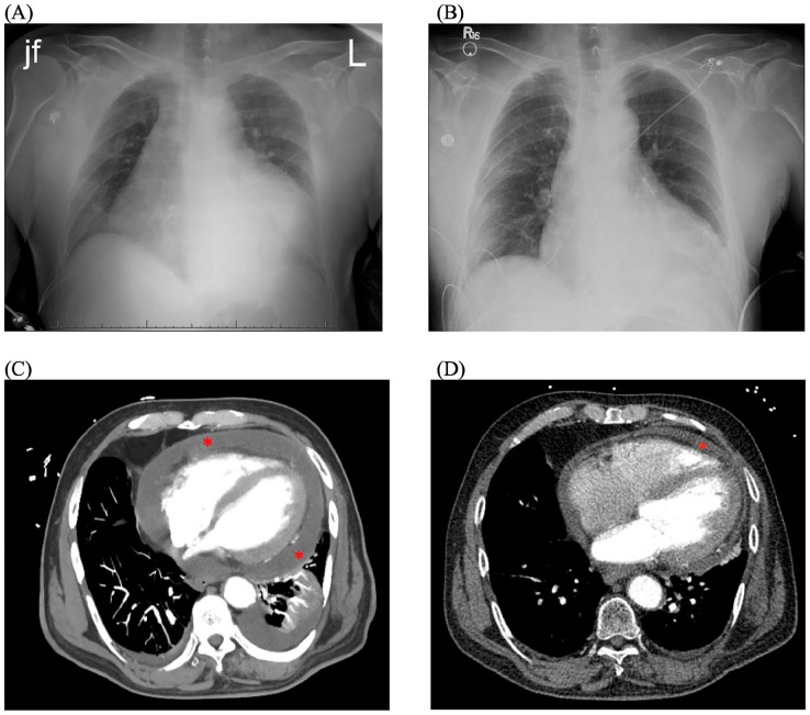
急性风湿热(ARF)是链球菌性咽炎的并发症,可伴有心脏、关节、皮肤和神经系统症状。心脏表现最常包括瓣膜功能障碍,但也可包括心肌炎或心包炎。尽管卫生保健方面的进步减少了链球菌性咽炎的流行,并随后减少了急性呼吸道感染,但仍可能发生个别病例和暴发。我们提出一例风湿性心包炎在一个60岁的白人男性谁最初提出的咽喉痛6天急诊科。最初的检查基本上是不起眼的,当时没有进行微生物检测。他被诊断为病毒性咽炎,在接受支持性治疗后出院。1周后复发胸膜性胸痛和呼吸困难。实验室检测显示炎症标志物、心脏酶标志物、抗溶血素O滴度和化脓性链球菌菌血症显著升高。进一步的评估显示心包炎,中度心包积液,无心包填塞,收缩功能降低,无瓣膜疾病。患者被诊断为风湿性心包炎。治疗方法包括心包引流、指南指导的药物治疗收缩期心力衰竭和心包炎,以及抗生素对ARF的一级治疗和二级预防。目前,患者的心脏功能已经恢复,他定期跟进他的医疗团队。虽然目前不太常见,但鼓励临床医生在出现咽部症状和随后的心脏表现,伴有或不伴有瓣膜功能障碍的患者的鉴别诊断中考虑链球菌性咽炎和ARF。一级和二级预防ARF对于维持该疾病的低发病率至关重要。
本文章由计算机程序翻译,如有差异,请以英文原文为准。

Streptococcal Pharyngitis Complicated by Clinically Significant Rheumatic Myopericarditis: A Case Report.

Streptococcal Pharyngitis Complicated by Clinically Significant Rheumatic Myopericarditis: A Case Report.

Streptococcal Pharyngitis Complicated by Clinically Significant Rheumatic Myopericarditis: A Case Report.

Streptococcal Pharyngitis Complicated by Clinically Significant Rheumatic Myopericarditis: A Case Report.

Acute rheumatic fever (ARF) is a complication of streptococcal pharyngitis that can present with cardiac, joint, skin, and neurological symptoms. Cardiac manifestations most often involve valvular dysfunction, but can also include myocarditis or pericarditis. Although advances in healthcare have reduced the prevalence of streptococcal pharyngitis, and subsequently ARF, individual cases and outbreaks can still occur. We present a case of rheumatic myopericarditis in a 60-year-old White male who initially presented to the emergency department with sore throat for 6 days. Initial workup was largely unremarkable, and no microbiological testing was performed at that time. He was diagnosed with presumed viral pharyngitis and discharged home with supportive care. He returned 1 week later with pleuritic mid-sternal chest pain and dyspnea. Laboratory tests were significant for elevated inflammatory markers, cardiac enzyme markers, anti-streptolysin O titers, and Streptococcus pyogenes bacteremia. Further evaluation revealed pericarditis, moderate pericardial effusion without tamponade, and reduced systolic function without valvular disease. The patient was diagnosed with rheumatic myopericarditis. Management included pericardial drainage, guideline-directed medical therapy for systolic heart failure and pericarditis, and primary treatment and secondary prevention of ARF with antibiotics. Currently, the patient's cardiac function has recovered, and he regularly follows up with his medical care team. Although less common in present times, clinicians are encouraged to consider streptococcal pharyngitis and ARF on the differential diagnosis for patients presenting with pharyngeal symptoms and subsequent cardiac manifestations, with or without valvular dysfunction. Primary and secondary prevention of ARF is paramount to maintaining the low incidence of this disease.

求助全文
通过发布文献求助,成功后即可免费获取论文全文。 去求助
来源期刊
CiteScore
1.90
自引率
0.00%
发文量
165
审稿时长
12 weeks
期刊介绍: The AFMR is committed to enhancing the training and career development of our members and to furthering its mission to facilitate the conduct of research to improve medical care. Case reports represent an important avenue for trainees (interns, residents, and fellows) and early-stage faculty to demonstrate productive, scholarly activity.
×
引用
GB/T 7714-2015
复制
MLA
复制
APA
复制
导出至
BibTeX EndNote RefMan NoteFirst NoteExpress
×
提示
您的信息不完整,为了账户安全,请先补充。
现在去补充
×
提示
您因"违规操作"
具体请查看互助需知
我知道了
×
提示
确定
请完成安全验证×
copy
已复制链接
快去分享给好友吧!
我知道了
右上角分享
点击右上角分享
0
联系我们:info@booksci.cn Book学术提供免费学术资源搜索服务,方便国内外学者检索中英文文献。致力于提供最便捷和优质的服务体验。 Copyright © 2023 布克学术 All rights reserved.
京ICP备2023020795号-1
ghs 京公网安备 11010802042870号
Book学术文献互助
Book学术文献互助群
群 号:604180095
Book学术官方微信