模拟炎性乳腺癌的巨大梗死性泌乳腺瘤:索马里首例报告。

IF 0.7 Q3 MEDICINE, GENERAL & INTERNAL
International Medical Case Reports Journal Pub Date : 2025-07-26 eCollection Date: 2025-01-01 DOI:10.2147/IMCRJ.S528825
Ismail Mohamud Abdullahi, Ismail Gedi Ibrahim
{"title":"模拟炎性乳腺癌的巨大梗死性泌乳腺瘤:索马里首例报告。","authors":"Ismail Mohamud Abdullahi, Ismail Gedi Ibrahim","doi":"10.2147/IMCRJ.S528825","DOIUrl":null,"url":null,"abstract":"<p><p>A lactating adenoma is a rare and benign breast tumor that usually occurs during pregnancy or lactation period for women. These adenomas are typically small, <3 centimeters, well circumscribed, mobile, and lobulated masses, and are most commonly witnessed in primiparous women (those having their first child) between the ages of 20 and 40 years during the third trimester of their pregnancies due to hormonal changes. In this case report, we describe an unusual variant of lactating adenoma that is characterized by the ischemic infarction of breast tissue and its giant dimensions, surpassing 16 centimeters. The case in question had poorly defined margins in addition to chronic mastitis, which can make differentiating from standard lactating adenoma presentations quite difficult clinically. Infarction associated with chronic mastitis serves to complicate the distinction, and tends to mimic inflammatory breast carcinoma. This case report emphasizes how these rare and unusual presentations of lactating adenomas can mimic a highly aggressive malignancy, leading to diagnostic confusion and potentially unnecessary interventions. Inflammatory breast carcinoma is a rapidly progressive malignancy requiring aggressive oncological management, unlike infarcted lactating adenomas, which are benign and can be effectively treated with surgical excision alone. This case adds an important dimension to the medical literature, particularly given its context of occurrence in Somalia, where resources and access to advanced diagnostic tools are limited. By detailing this unique instance, the study not only contributes to the understanding of breast pathology but also emphasizes the necessity for keen clinical acumen in achieving appropriate therapeutic interventions in diverse health-care settings.</p>","PeriodicalId":14337,"journal":{"name":"International Medical Case Reports Journal","volume":"18 ","pages":"931-936"},"PeriodicalIF":0.7000,"publicationDate":"2025-07-26","publicationTypes":"Journal Article","fieldsOfStudy":null,"isOpenAccess":false,"openAccessPdf":"https://www.ncbi.nlm.nih.gov/pmc/articles/PMC12309573/pdf/","citationCount":"0","resultStr":"{\"title\":\"Giant Infarcted Lactating Adenoma Mimicking Inflammatory Breast Carcinoma: A First Case Report from Somalia.\",\"authors\":\"Ismail Mohamud Abdullahi, Ismail Gedi Ibrahim\",\"doi\":\"10.2147/IMCRJ.S528825\",\"DOIUrl\":null,\"url\":null,\"abstract\":\"<p><p>A lactating adenoma is a rare and benign breast tumor that usually occurs during pregnancy or lactation period for women. These adenomas are typically small, <3 centimeters, well circumscribed, mobile, and lobulated masses, and are most commonly witnessed in primiparous women (those having their first child) between the ages of 20 and 40 years during the third trimester of their pregnancies due to hormonal changes. In this case report, we describe an unusual variant of lactating adenoma that is characterized by the ischemic infarction of breast tissue and its giant dimensions, surpassing 16 centimeters. The case in question had poorly defined margins in addition to chronic mastitis, which can make differentiating from standard lactating adenoma presentations quite difficult clinically. Infarction associated with chronic mastitis serves to complicate the distinction, and tends to mimic inflammatory breast carcinoma. This case report emphasizes how these rare and unusual presentations of lactating adenomas can mimic a highly aggressive malignancy, leading to diagnostic confusion and potentially unnecessary interventions. Inflammatory breast carcinoma is a rapidly progressive malignancy requiring aggressive oncological management, unlike infarcted lactating adenomas, which are benign and can be effectively treated with surgical excision alone. This case adds an important dimension to the medical literature, particularly given its context of occurrence in Somalia, where resources and access to advanced diagnostic tools are limited. By detailing this unique instance, the study not only contributes to the understanding of breast pathology but also emphasizes the necessity for keen clinical acumen in achieving appropriate therapeutic interventions in diverse health-care settings.</p>\",\"PeriodicalId\":14337,\"journal\":{\"name\":\"International Medical Case Reports Journal\",\"volume\":\"18 \",\"pages\":\"931-936\"},\"PeriodicalIF\":0.7000,\"publicationDate\":\"2025-07-26\",\"publicationTypes\":\"Journal Article\",\"fieldsOfStudy\":null,\"isOpenAccess\":false,\"openAccessPdf\":\"https://www.ncbi.nlm.nih.gov/pmc/articles/PMC12309573/pdf/\",\"citationCount\":\"0\",\"resultStr\":null,\"platform\":\"Semanticscholar\",\"paperid\":null,\"PeriodicalName\":\"International Medical Case Reports Journal\",\"FirstCategoryId\":\"1085\",\"ListUrlMain\":\"https://doi.org/10.2147/IMCRJ.S528825\",\"RegionNum\":0,\"RegionCategory\":null,\"ArticlePicture\":[],\"TitleCN\":null,\"AbstractTextCN\":null,\"PMCID\":null,\"EPubDate\":\"2025/1/1 0:00:00\",\"PubModel\":\"eCollection\",\"JCR\":\"Q3\",\"JCRName\":\"MEDICINE, GENERAL & INTERNAL\",\"Score\":null,\"Total\":0}","platform":"Semanticscholar","paperid":null,"PeriodicalName":"International Medical Case Reports Journal","FirstCategoryId":"1085","ListUrlMain":"https://doi.org/10.2147/IMCRJ.S528825","RegionNum":0,"RegionCategory":null,"ArticlePicture":[],"TitleCN":null,"AbstractTextCN":null,"PMCID":null,"EPubDate":"2025/1/1 0:00:00","PubModel":"eCollection","JCR":"Q3","JCRName":"MEDICINE, GENERAL & INTERNAL","Score":null,"Total":0}
引用次数: 0

摘要

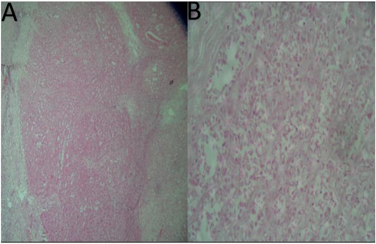
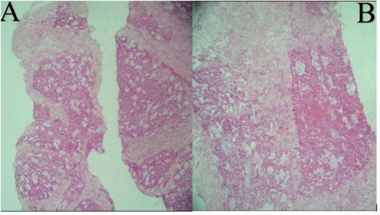
泌乳性腺瘤是一种罕见的良性乳腺肿瘤,通常发生在妇女怀孕或哺乳期。这些腺瘤通常很小,
本文章由计算机程序翻译,如有差异,请以英文原文为准。

Giant Infarcted Lactating Adenoma Mimicking Inflammatory Breast Carcinoma: A First Case Report from Somalia.

Giant Infarcted Lactating Adenoma Mimicking Inflammatory Breast Carcinoma: A First Case Report from Somalia.

Giant Infarcted Lactating Adenoma Mimicking Inflammatory Breast Carcinoma: A First Case Report from Somalia.

A lactating adenoma is a rare and benign breast tumor that usually occurs during pregnancy or lactation period for women. These adenomas are typically small, <3 centimeters, well circumscribed, mobile, and lobulated masses, and are most commonly witnessed in primiparous women (those having their first child) between the ages of 20 and 40 years during the third trimester of their pregnancies due to hormonal changes. In this case report, we describe an unusual variant of lactating adenoma that is characterized by the ischemic infarction of breast tissue and its giant dimensions, surpassing 16 centimeters. The case in question had poorly defined margins in addition to chronic mastitis, which can make differentiating from standard lactating adenoma presentations quite difficult clinically. Infarction associated with chronic mastitis serves to complicate the distinction, and tends to mimic inflammatory breast carcinoma. This case report emphasizes how these rare and unusual presentations of lactating adenomas can mimic a highly aggressive malignancy, leading to diagnostic confusion and potentially unnecessary interventions. Inflammatory breast carcinoma is a rapidly progressive malignancy requiring aggressive oncological management, unlike infarcted lactating adenomas, which are benign and can be effectively treated with surgical excision alone. This case adds an important dimension to the medical literature, particularly given its context of occurrence in Somalia, where resources and access to advanced diagnostic tools are limited. By detailing this unique instance, the study not only contributes to the understanding of breast pathology but also emphasizes the necessity for keen clinical acumen in achieving appropriate therapeutic interventions in diverse health-care settings.

求助全文
通过发布文献求助,成功后即可免费获取论文全文。 去求助
来源期刊
International Medical Case Reports Journal
International Medical Case Reports Journal MEDICINE, GENERAL & INTERNAL-
CiteScore
1.40
自引率
0.00%
发文量
135
审稿时长
16 weeks
期刊介绍: International Medical Case Reports Journal is an international, peer-reviewed, open access, online journal publishing original case reports from all medical specialties. Submissions should not normally exceed 3,000 words or 4 published pages including figures, diagrams and references. As of 1st April 2019, the International Medical Case Reports Journal will no longer consider meta-analyses for publication.
×
引用
GB/T 7714-2015
复制
MLA
复制
APA
复制
导出至
BibTeX EndNote RefMan NoteFirst NoteExpress
×
提示
您的信息不完整,为了账户安全,请先补充。
现在去补充
×
提示
您因"违规操作"
具体请查看互助需知
我知道了
×
提示
确定
请完成安全验证×
copy
已复制链接
快去分享给好友吧!
我知道了
右上角分享
点击右上角分享
0
联系我们:info@booksci.cn Book学术提供免费学术资源搜索服务,方便国内外学者检索中英文文献。致力于提供最便捷和优质的服务体验。 Copyright © 2023 布克学术 All rights reserved.
京ICP备2023020795号-1
ghs 京公网安备 11010802042870号
Book学术文献互助
Book学术文献互助群
群 号:604180095
Book学术官方微信