乙型病毒性肝硬化肝细胞癌自发性坏死1例报告。

IF 0.7 Q4 ONCOLOGY
Case Reports in Oncology Pub Date : 2025-06-27 eCollection Date: 2025-01-01 DOI:10.1159/000546699
Yasmine Hidous, Abdelwaheb Nakhli, Emna Mrabet, Nesrine Hemdani, Zeineb Benzarti, Bochra Bouchabou, Rym Ennaifer
{"title":"乙型病毒性肝硬化肝细胞癌自发性坏死1例报告。","authors":"Yasmine Hidous, Abdelwaheb Nakhli, Emna Mrabet, Nesrine Hemdani, Zeineb Benzarti, Bochra Bouchabou, Rym Ennaifer","doi":"10.1159/000546699","DOIUrl":null,"url":null,"abstract":"<p><strong>Introduction: </strong>Hepatocellular carcinoma (HCC) is a leading cause of cancer-related mortality worldwide and its prognosis largely depends on the stage at diagnosis and the feasibility of curative treatments. Spontaneous necrosis of HCC is an extremely rare phenomenon with an unclear pathophysiology. Various mechanisms, including vascular disturbances, immune-mediated response, and recurrent infection, have been considered. This case report presents a rare case of spontaneous necrosis of a small HCC in a patient with hepatitis B-related cirrhosis.</p><p><strong>Case presentation: </strong>A 63-year-old male with compensated hepatitis B-related cirrhosis was under routine surveillance when a suspicious liver lesion was detected on ultrasound. Subsequent contrast-enhanced computed tomography (CT) confirmed the presence of an 18-mm HCC in segment VIII, corresponding to Barcelona Clinical Liver Cancer stage A. Due to limited curative treatment options, transarterial chemoembolization was considered. However, a follow-up CT scan was performed 2 weeks before the procedure unexpectedly revealed complete regression of arterial enhancement, suggestive of spontaneous tumor necrosis. The patient remained asymptomatic, with stable liver function and mild biological inflammatory markers. No evidence of vascular thrombosis or significant systemic inflammation was noted, suggesting localized vascular disturbances or intrinsic tumor factors might have precipitated the necrosis.</p><p><strong>Conclusion: </strong>This case highlights the exceptional occurrence of spontaneous necrosis in a small HCC. While the underlying mechanisms remain speculative, further documentation and research on similar cases may provide insights into HCC pathophysiology and potential implications for future therapeutic strategies.</p>","PeriodicalId":9625,"journal":{"name":"Case Reports in Oncology","volume":"18 1","pages":"1028-1033"},"PeriodicalIF":0.7000,"publicationDate":"2025-06-27","publicationTypes":"Journal Article","fieldsOfStudy":null,"isOpenAccess":false,"openAccessPdf":"https://www.ncbi.nlm.nih.gov/pmc/articles/PMC12310190/pdf/","citationCount":"0","resultStr":"{\"title\":\"Spontaneous Necrosis of Hepatocellular Carcinoma in Viral B Cirrhosis: A Case Report.\",\"authors\":\"Yasmine Hidous, Abdelwaheb Nakhli, Emna Mrabet, Nesrine Hemdani, Zeineb Benzarti, Bochra Bouchabou, Rym Ennaifer\",\"doi\":\"10.1159/000546699\",\"DOIUrl\":null,\"url\":null,\"abstract\":\"<p><strong>Introduction: </strong>Hepatocellular carcinoma (HCC) is a leading cause of cancer-related mortality worldwide and its prognosis largely depends on the stage at diagnosis and the feasibility of curative treatments. Spontaneous necrosis of HCC is an extremely rare phenomenon with an unclear pathophysiology. Various mechanisms, including vascular disturbances, immune-mediated response, and recurrent infection, have been considered. This case report presents a rare case of spontaneous necrosis of a small HCC in a patient with hepatitis B-related cirrhosis.</p><p><strong>Case presentation: </strong>A 63-year-old male with compensated hepatitis B-related cirrhosis was under routine surveillance when a suspicious liver lesion was detected on ultrasound. Subsequent contrast-enhanced computed tomography (CT) confirmed the presence of an 18-mm HCC in segment VIII, corresponding to Barcelona Clinical Liver Cancer stage A. Due to limited curative treatment options, transarterial chemoembolization was considered. However, a follow-up CT scan was performed 2 weeks before the procedure unexpectedly revealed complete regression of arterial enhancement, suggestive of spontaneous tumor necrosis. The patient remained asymptomatic, with stable liver function and mild biological inflammatory markers. No evidence of vascular thrombosis or significant systemic inflammation was noted, suggesting localized vascular disturbances or intrinsic tumor factors might have precipitated the necrosis.</p><p><strong>Conclusion: </strong>This case highlights the exceptional occurrence of spontaneous necrosis in a small HCC. While the underlying mechanisms remain speculative, further documentation and research on similar cases may provide insights into HCC pathophysiology and potential implications for future therapeutic strategies.</p>\",\"PeriodicalId\":9625,\"journal\":{\"name\":\"Case Reports in Oncology\",\"volume\":\"18 1\",\"pages\":\"1028-1033\"},\"PeriodicalIF\":0.7000,\"publicationDate\":\"2025-06-27\",\"publicationTypes\":\"Journal Article\",\"fieldsOfStudy\":null,\"isOpenAccess\":false,\"openAccessPdf\":\"https://www.ncbi.nlm.nih.gov/pmc/articles/PMC12310190/pdf/\",\"citationCount\":\"0\",\"resultStr\":null,\"platform\":\"Semanticscholar\",\"paperid\":null,\"PeriodicalName\":\"Case Reports in Oncology\",\"FirstCategoryId\":\"1085\",\"ListUrlMain\":\"https://doi.org/10.1159/000546699\",\"RegionNum\":0,\"RegionCategory\":null,\"ArticlePicture\":[],\"TitleCN\":null,\"AbstractTextCN\":null,\"PMCID\":null,\"EPubDate\":\"2025/1/1 0:00:00\",\"PubModel\":\"eCollection\",\"JCR\":\"Q4\",\"JCRName\":\"ONCOLOGY\",\"Score\":null,\"Total\":0}","platform":"Semanticscholar","paperid":null,"PeriodicalName":"Case Reports in Oncology","FirstCategoryId":"1085","ListUrlMain":"https://doi.org/10.1159/000546699","RegionNum":0,"RegionCategory":null,"ArticlePicture":[],"TitleCN":null,"AbstractTextCN":null,"PMCID":null,"EPubDate":"2025/1/1 0:00:00","PubModel":"eCollection","JCR":"Q4","JCRName":"ONCOLOGY","Score":null,"Total":0}
引用次数: 0

摘要

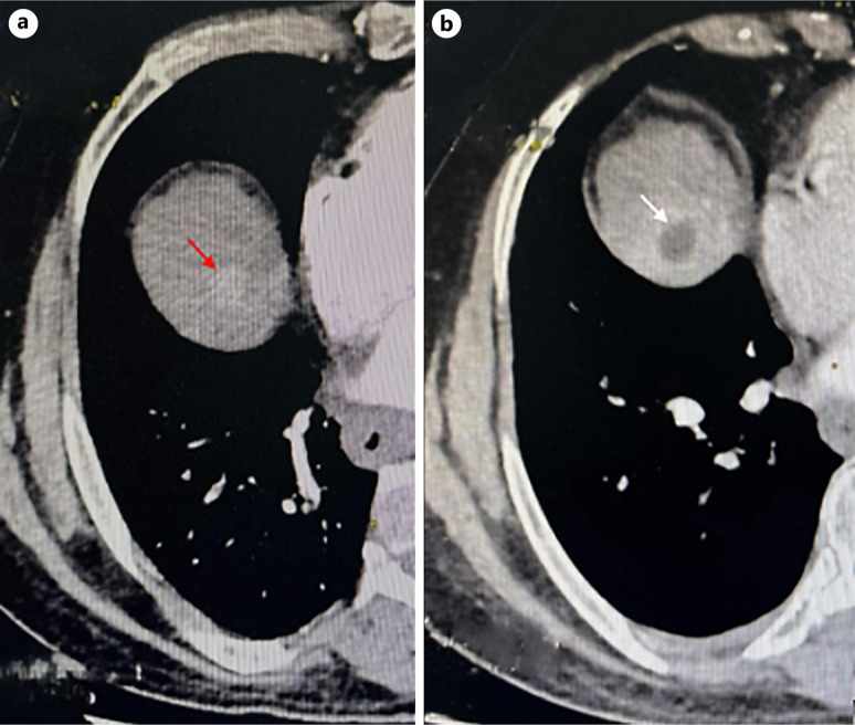
肝细胞癌(HCC)是全球癌症相关死亡的主要原因,其预后在很大程度上取决于诊断阶段和治愈治疗的可行性。肝细胞癌的自发性坏死是一种极其罕见的现象,病理生理机制尚不清楚。各种机制,包括血管紊乱,免疫介导的反应和复发性感染,已被考虑。本病例报告报告了一例罕见的乙型肝炎相关肝硬化患者小肝癌自发性坏死的病例。病例介绍:一名63岁男性伴代偿性乙型肝炎相关肝硬化,在常规监护下超声检查发现可疑肝脏病变。随后的对比增强计算机断层扫描(CT)证实在VIII节段存在18mm HCC,对应于巴塞罗那临床肝癌a期。由于治疗选择有限,考虑经动脉化疗栓塞。然而,在手术前2周进行的随访CT扫描意外地显示动脉强化完全消退,提示自发性肿瘤坏死。患者无症状,肝功能稳定,生物炎症标志物轻微。未发现血管血栓形成或明显的全身性炎症,提示局部血管紊乱或内在肿瘤因素可能导致坏死。结论:本病例突出了小肝癌中罕见的自发性坏死。虽然潜在的机制仍然是推测性的,但对类似病例的进一步文献和研究可能会为HCC的病理生理学和未来治疗策略的潜在影响提供见解。
本文章由计算机程序翻译,如有差异,请以英文原文为准。

Spontaneous Necrosis of Hepatocellular Carcinoma in Viral B Cirrhosis: A Case Report.

Spontaneous Necrosis of Hepatocellular Carcinoma in Viral B Cirrhosis: A Case Report.

Spontaneous Necrosis of Hepatocellular Carcinoma in Viral B Cirrhosis: A Case Report.

Introduction: Hepatocellular carcinoma (HCC) is a leading cause of cancer-related mortality worldwide and its prognosis largely depends on the stage at diagnosis and the feasibility of curative treatments. Spontaneous necrosis of HCC is an extremely rare phenomenon with an unclear pathophysiology. Various mechanisms, including vascular disturbances, immune-mediated response, and recurrent infection, have been considered. This case report presents a rare case of spontaneous necrosis of a small HCC in a patient with hepatitis B-related cirrhosis.

Case presentation: A 63-year-old male with compensated hepatitis B-related cirrhosis was under routine surveillance when a suspicious liver lesion was detected on ultrasound. Subsequent contrast-enhanced computed tomography (CT) confirmed the presence of an 18-mm HCC in segment VIII, corresponding to Barcelona Clinical Liver Cancer stage A. Due to limited curative treatment options, transarterial chemoembolization was considered. However, a follow-up CT scan was performed 2 weeks before the procedure unexpectedly revealed complete regression of arterial enhancement, suggestive of spontaneous tumor necrosis. The patient remained asymptomatic, with stable liver function and mild biological inflammatory markers. No evidence of vascular thrombosis or significant systemic inflammation was noted, suggesting localized vascular disturbances or intrinsic tumor factors might have precipitated the necrosis.

Conclusion: This case highlights the exceptional occurrence of spontaneous necrosis in a small HCC. While the underlying mechanisms remain speculative, further documentation and research on similar cases may provide insights into HCC pathophysiology and potential implications for future therapeutic strategies.

求助全文
通过发布文献求助,成功后即可免费获取论文全文。 去求助
来源期刊
CiteScore
1.40
自引率
12.50%
发文量
151
审稿时长
7 weeks
×
引用
GB/T 7714-2015
复制
MLA
复制
APA
复制
导出至
BibTeX EndNote RefMan NoteFirst NoteExpress
×
提示
您的信息不完整,为了账户安全,请先补充。
现在去补充
×
提示
您因"违规操作"
具体请查看互助需知
我知道了
×
提示
确定
请完成安全验证×
copy
已复制链接
快去分享给好友吧!
我知道了
右上角分享
点击右上角分享
0
联系我们:info@booksci.cn Book学术提供免费学术资源搜索服务,方便国内外学者检索中英文文献。致力于提供最便捷和优质的服务体验。 Copyright © 2023 布克学术 All rights reserved.
京ICP备2023020795号-1
ghs 京公网安备 11010802042870号
Book学术文献互助
Book学术文献互助群
群 号:604180095
Book学术官方微信