[一例因甲状腺髓样癌异位促肾上腺皮质激素产生而引起的严重acth依赖性库欣综合征]。

N I Timofeeva, R A Chernikov, I V Sleptsov, V F Rusakov, D V Rebrova, S L Vorobyev, T S Pridvizhkina, A A Semenov, M A Alexeev, A U Kulikov
{"title":"[一例因甲状腺髓样癌异位促肾上腺皮质激素产生而引起的严重acth依赖性库欣综合征]。","authors":"N I Timofeeva, R A Chernikov, I V Sleptsov, V F Rusakov, D V Rebrova, S L Vorobyev, T S Pridvizhkina, A A Semenov, M A Alexeev, A U Kulikov","doi":"10.14341/probl13512","DOIUrl":null,"url":null,"abstract":"<p><p>Medullary thyroid carcinoma is a rare aggressive tumor of thyroid gland. Due to its neuroendocrine origine medullary thyroid carcinoma can be the source of ectopic production of different peptides and hormones. We describe a unique case of severe ACTH-dependent Cushing's syndrome due to ectopic corticotropin production by medullary thyroid carcinoma in a male patient of 39 years old with calcitonin level more than 4000 pg/ml (&lt;11,8), thyroid nodule, multiple neck jugular and central lymphnodes. The potassium level was 1,34 mmol/l (3,5-5,1), hypercortisolemia up to 1613,2 nmol/l (185-624) with elevated level of ACTH up to 24,7 pmol/l (1,03-10,74). After the correction of water and electrolytes disorders an operation was performed - thyroidectomy, central and lateral neck dissection. Postoperative calcitonin decreased to 126 pg/ml (&lt;11,8), calcium and parathormone blood levels remained normal. The potassium level didn't decrease without any pharmacological treatment. There was a sharp fall in postoperative blood levels of cortisol and ACTH. The hormonal replacement treatment with hydrocortisone was induced. Morphological examination showed medullary carcinoma with ACTH production in tumor nodule, with metastatic neck lymph nodes. Thus this is a rare case and successful treatment of patient with severe hypercortisolism by thyroidectomy and neck lymphnodes dissection.</p>","PeriodicalId":101419,"journal":{"name":"Problemy endokrinologii","volume":"71 3","pages":"25-33"},"PeriodicalIF":0.0000,"publicationDate":"2025-07-22","publicationTypes":"Journal Article","fieldsOfStudy":null,"isOpenAccess":false,"openAccessPdf":"https://www.ncbi.nlm.nih.gov/pmc/articles/PMC12319636/pdf/","citationCount":"0","resultStr":"{\"title\":\"[A unique case of severe ACTH-dependent Cushing's syndrome due to ectopic corticotropin production by medullary thyroid carcinoma].\",\"authors\":\"N I Timofeeva, R A Chernikov, I V Sleptsov, V F Rusakov, D V Rebrova, S L Vorobyev, T S Pridvizhkina, A A Semenov, M A Alexeev, A U Kulikov\",\"doi\":\"10.14341/probl13512\",\"DOIUrl\":null,\"url\":null,\"abstract\":\"<p><p>Medullary thyroid carcinoma is a rare aggressive tumor of thyroid gland. Due to its neuroendocrine origine medullary thyroid carcinoma can be the source of ectopic production of different peptides and hormones. We describe a unique case of severe ACTH-dependent Cushing's syndrome due to ectopic corticotropin production by medullary thyroid carcinoma in a male patient of 39 years old with calcitonin level more than 4000 pg/ml (&lt;11,8), thyroid nodule, multiple neck jugular and central lymphnodes. The potassium level was 1,34 mmol/l (3,5-5,1), hypercortisolemia up to 1613,2 nmol/l (185-624) with elevated level of ACTH up to 24,7 pmol/l (1,03-10,74). After the correction of water and electrolytes disorders an operation was performed - thyroidectomy, central and lateral neck dissection. Postoperative calcitonin decreased to 126 pg/ml (&lt;11,8), calcium and parathormone blood levels remained normal. The potassium level didn't decrease without any pharmacological treatment. There was a sharp fall in postoperative blood levels of cortisol and ACTH. The hormonal replacement treatment with hydrocortisone was induced. Morphological examination showed medullary carcinoma with ACTH production in tumor nodule, with metastatic neck lymph nodes. Thus this is a rare case and successful treatment of patient with severe hypercortisolism by thyroidectomy and neck lymphnodes dissection.</p>\",\"PeriodicalId\":101419,\"journal\":{\"name\":\"Problemy endokrinologii\",\"volume\":\"71 3\",\"pages\":\"25-33\"},\"PeriodicalIF\":0.0000,\"publicationDate\":\"2025-07-22\",\"publicationTypes\":\"Journal Article\",\"fieldsOfStudy\":null,\"isOpenAccess\":false,\"openAccessPdf\":\"https://www.ncbi.nlm.nih.gov/pmc/articles/PMC12319636/pdf/\",\"citationCount\":\"0\",\"resultStr\":null,\"platform\":\"Semanticscholar\",\"paperid\":null,\"PeriodicalName\":\"Problemy endokrinologii\",\"FirstCategoryId\":\"1085\",\"ListUrlMain\":\"https://doi.org/10.14341/probl13512\",\"RegionNum\":0,\"RegionCategory\":null,\"ArticlePicture\":[],\"TitleCN\":null,\"AbstractTextCN\":null,\"PMCID\":null,\"EPubDate\":\"\",\"PubModel\":\"\",\"JCR\":\"\",\"JCRName\":\"\",\"Score\":null,\"Total\":0}","platform":"Semanticscholar","paperid":null,"PeriodicalName":"Problemy endokrinologii","FirstCategoryId":"1085","ListUrlMain":"https://doi.org/10.14341/probl13512","RegionNum":0,"RegionCategory":null,"ArticlePicture":[],"TitleCN":null,"AbstractTextCN":null,"PMCID":null,"EPubDate":"","PubModel":"","JCR":"","JCRName":"","Score":null,"Total":0}
引用次数: 0

摘要

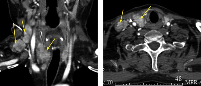
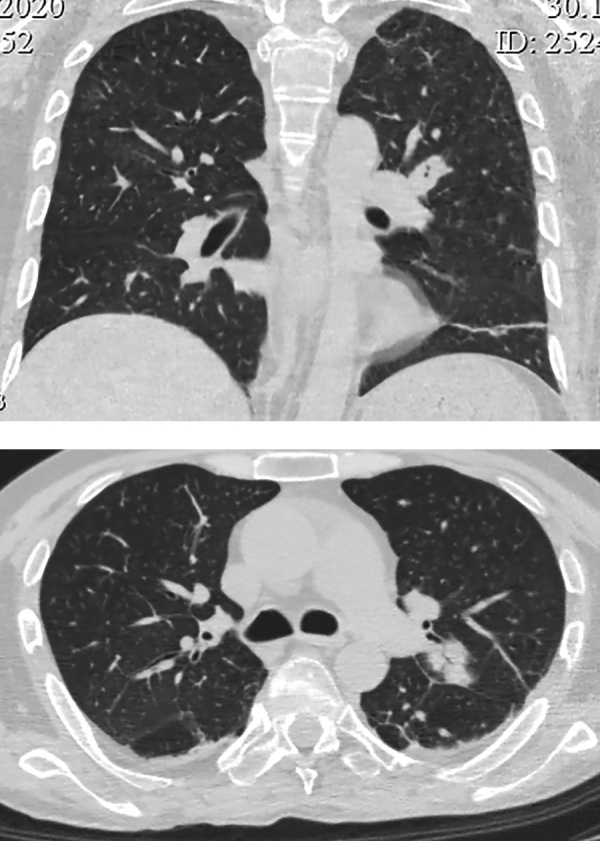
摘要甲状腺髓样癌是一种罕见的侵袭性甲状腺肿瘤。由于其神经内分泌的原发性甲状腺髓样癌可能是不同肽和激素异位产生的来源。我们描述了一个独特的病例严重acth依赖性库欣综合征由于异位促肾上腺皮质激素产生甲状腺髓样癌的39岁男性患者降钙素水平超过4000 pg/ml (<11,8),甲状腺结节,多个颈颈和中央淋巴结。钾水平为1,34 mmol/l(3,5-5,1),高皮质醇血症高达1613,2 nmol/l (185-624), ACTH水平升高高达24,7 pmol/l(1,03-10,74)。水电解质紊乱纠正后,行甲状腺切除术、中外侧颈清扫术。术后降钙素降至126 pg/ml (<11,8),血钙和甲状旁激素水平保持正常。未经任何药物治疗,钾水平没有下降。术后血液皮质醇和ACTH水平急剧下降。诱导氢化可的松激素替代治疗。形态学检查显示髓样癌,肿瘤结节内产生ACTH,伴颈部淋巴结转移。因此,这是一个罕见的病例和成功的治疗患者甲状腺切除术和颈部淋巴结清扫。
本文章由计算机程序翻译,如有差异,请以英文原文为准。

[A unique case of severe ACTH-dependent Cushing's syndrome due to ectopic corticotropin production by medullary thyroid carcinoma].

[A unique case of severe ACTH-dependent Cushing's syndrome due to ectopic corticotropin production by medullary thyroid carcinoma].

[A unique case of severe ACTH-dependent Cushing's syndrome due to ectopic corticotropin production by medullary thyroid carcinoma].

[A unique case of severe ACTH-dependent Cushing's syndrome due to ectopic corticotropin production by medullary thyroid carcinoma].

Medullary thyroid carcinoma is a rare aggressive tumor of thyroid gland. Due to its neuroendocrine origine medullary thyroid carcinoma can be the source of ectopic production of different peptides and hormones. We describe a unique case of severe ACTH-dependent Cushing's syndrome due to ectopic corticotropin production by medullary thyroid carcinoma in a male patient of 39 years old with calcitonin level more than 4000 pg/ml (<11,8), thyroid nodule, multiple neck jugular and central lymphnodes. The potassium level was 1,34 mmol/l (3,5-5,1), hypercortisolemia up to 1613,2 nmol/l (185-624) with elevated level of ACTH up to 24,7 pmol/l (1,03-10,74). After the correction of water and electrolytes disorders an operation was performed - thyroidectomy, central and lateral neck dissection. Postoperative calcitonin decreased to 126 pg/ml (<11,8), calcium and parathormone blood levels remained normal. The potassium level didn't decrease without any pharmacological treatment. There was a sharp fall in postoperative blood levels of cortisol and ACTH. The hormonal replacement treatment with hydrocortisone was induced. Morphological examination showed medullary carcinoma with ACTH production in tumor nodule, with metastatic neck lymph nodes. Thus this is a rare case and successful treatment of patient with severe hypercortisolism by thyroidectomy and neck lymphnodes dissection.

求助全文
通过发布文献求助,成功后即可免费获取论文全文。 去求助
来源期刊
自引率
0.00%
发文量
0
×
引用
GB/T 7714-2015
复制
MLA
复制
APA
复制
导出至
BibTeX EndNote RefMan NoteFirst NoteExpress
×
提示
您的信息不完整,为了账户安全,请先补充。
现在去补充
×
提示
您因"违规操作"
具体请查看互助需知
我知道了
×
提示
确定
请完成安全验证×
copy
已复制链接
快去分享给好友吧!
我知道了
右上角分享
点击右上角分享
0
联系我们:info@booksci.cn Book学术提供免费学术资源搜索服务,方便国内外学者检索中英文文献。致力于提供最便捷和优质的服务体验。 Copyright © 2023 布克学术 All rights reserved.
京ICP备2023020795号-1
ghs 京公网安备 11010802042870号
Book学术文献互助
Book学术文献互助群
群 号:604180095
Book学术官方微信